КТ височно-нижнечелюстных суставов в СПБ
- Срок получения результата В течение дня
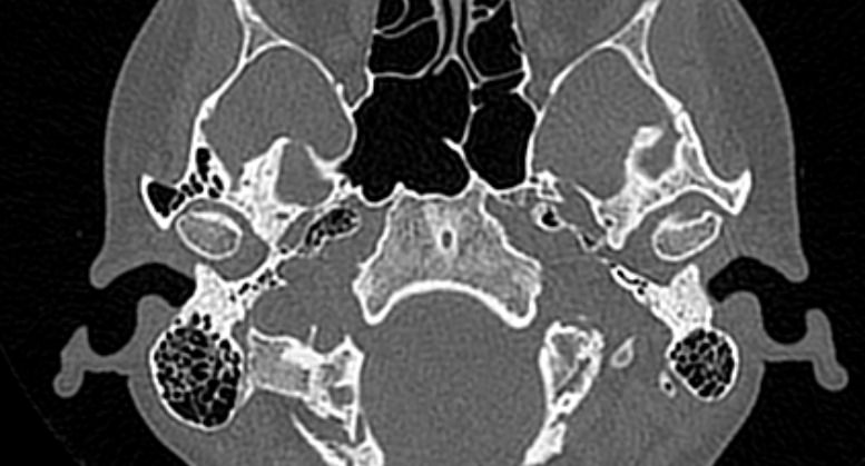
Височно-нижнечелюстной сустав (ВНЧС) – это парное сочленение, образованное нижнечелюстной ямкой височной кости и головкой нижней челюсти. Сустав соединяет нижнюю челюсть с основанием черепа. Движения в нем происходят синхронно в обоих суставах (правом и левом), двигательная активность одного сустава невозможна без другого. Поэтому при возникновении патологии обследование проводится сразу двух суставов.
ВНЧС имеет сложное строение, включающее мениск, который делит сустав на две части, крепкие связки и мышцы, удерживающие суставные поверхности в правильном положении. Движение в суставе происходит в трех плоскостях, благодаря чему мы можем жевать, разговаривать, выражать мимику на лице.
Височно-нижнечелюстные суставы испытывают постоянные нагрузки, связанные с пережевыванием пищи и участием в артикуляционных движениях нижней челюсти. Нарушение функции ВНЧС вызывают различные патологические процессы в суставах: травмы, воспаления, опухолевые процессы. Для обследования височно-нижнечелюстных суставов часто назначается обычная рентгенография. Однако при помощи данного метода не всегда удается получить полную информацию о состоянии суставов, так как на снимках изображения костных структур накладываются друг на друга.
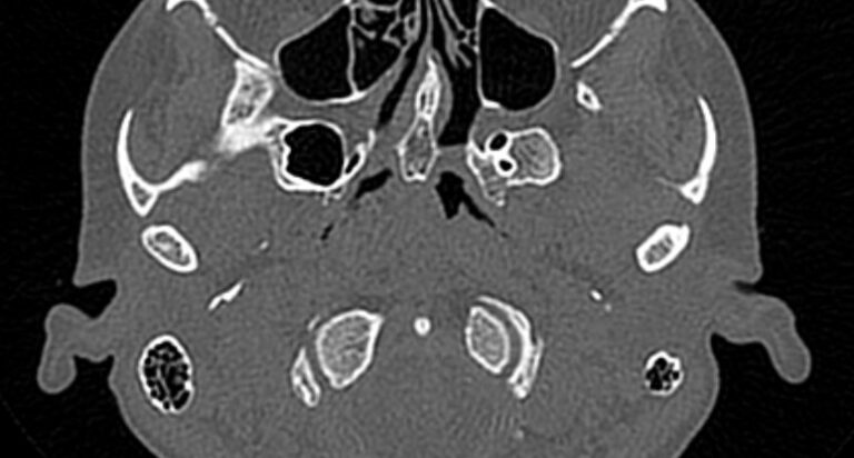
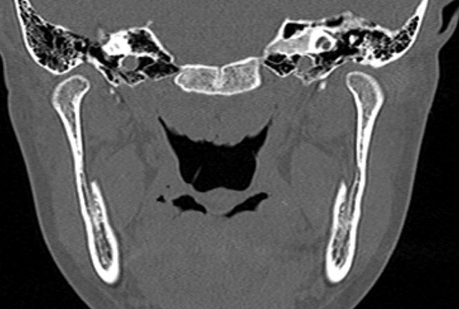
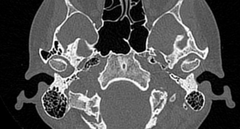
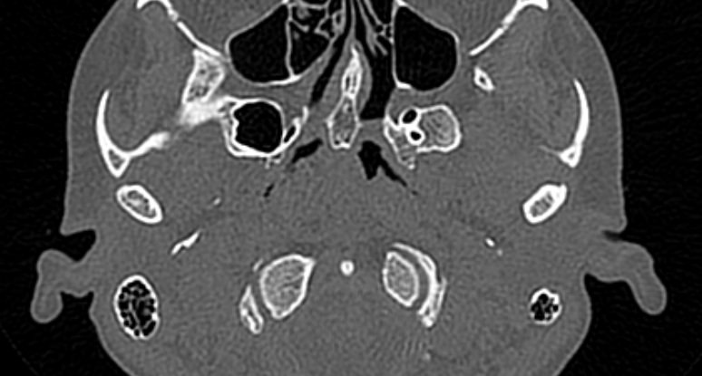
Наиболее точным и информативным методом диагностики костной патологии ВНЧС является мультиспиральная компьютерная томография. КТ относится к лучевым методам исследования, то есть для сканирования применяется рентгеновское излучение. В отличие от обычного рентгена томограф проводит одномоментно множество тончайших срезов исследуемой зоны, которые в дальнейшем проходят цифровую обработку. В результате получаются детальные снимки и трехмерные изображения области височно-нижнечелюстных суставов, которые позволяют проводить точную и достоверную диагностику.
В наших диагностических центрах установлены новейшие мультиспиральные компьютерные томографы экспертного уровня TOSHIBA AQUILION. Оснащение аппаратов позволяет получать послойные снимки и 3D-изображения области ВНЧС в мельчайших подробностях. При этом скоростное мультисрезовое сканирование обеспечивает минимальную дозу рентгеновского облучения для пациента.
Для оценки функции височно-нижнечелюстных суставов КТ-сканирование проводится в нескольких положениях: с открытым ртом и закрытым ртом. С помощью таких функциональных проб можно оценить положение суставной головки нижней челюсти при движениях нижней челюсти, выявить привычные вывихи и подвывихи суставов.
Компьютерная томография позволяет оценить состояние костных структур височно-нижнечелюстных суставов, так как рентгеновские лучи хорошо задерживаются костной тканью. Для повышения диагностических возможностей компьютерной томографии в ряде случаев дополнительно проводится контрастное усиление путем внутривенного введения йодсодержащего контрастного препарата. Эта методика применяется для улучшения визуализации мягких тканей, которые хуже видны при нативном исследовании.
Рентгеноконтрастные препараты, попадая в кровоток, обеспечивают яркую контрастность мягкотканных структур, особенно патологических образований. Методика, в первую очередь, применяется для выявления опухолей, проведения дифференциальной диагностики доброкачественных и злокачественных новообразований, для определения точных границ и размеров опухоли, выявления степени прорастания в окружающие ткани.
Чаще всего для оценки мягких тканей и функции височно-нижнечелюстных суставов назначается магнитно-резонансная томография – метод, основанный на использовании внешнего магнитного поля. Если КТ больше дает информации о состоянии костей, то МРТ в большей степени подходит для обследования именно мягкотканных структур. Лечащий врач решает в каждом конкретном случае, какой из методов обследования является наиболее информативным в зависимости от клинической картины заболевания. При необходимости в нашей клинике можно пройти МРТ височно-нижнечелюстных суставов с проведением функциональных проб на современном высокопольном 32-канальном магнитно-резонансном томографе экспертного уровня.
- Показания для проведения КТ височно-нижнечелюстных суставов
- Что покажет КТ височно-нижнечелюстных суставов?
- Какая нужна подготовка к проведению КТ височно-нижнечелюстных суставов?
- В каких случаях нельзя провести КТ височно-нижнечелюстных суставов?
Показания для проведения КТ височно-нижнечелюстных суставов
Поводом для назначения мультиспиральной КТ могут послужить жалобы пациента на:
- Головные боли и болезненность в области височно-нижнечелюстных суставов, в также со стороны жевательных мышц;
- Хруст и щелчки при движении суставов (характерный звук появляется при привычном вывихе или подвывихе сустава, когда суставная головка самостоятельно вправляется обратно);
- Ограничение открывания рта из-за болей и воспаления в суставе, скованность движений лицевых мышц;
- Повышенная стираемость эмали зубов.
Что покажет КТ височно-нижнечелюстных суставов?
С помощью КТ можно оценить состояние костной ткани суставных головок нижней челюсти, внутрисуставного мениска, суставной капсулы, связочного аппарата и жевательных мышц.
При проведении мультиспиральной КТ можно выявить следующие патологии височно-нижнечелюстных суставов:
- Травматические повреждения (переломы, вывихи или подвывихи суставов, растяжения связок);
- Воспалительные изменения (артрит височно-нижнечелюстных суставов);
- Дегенеративно-дистрофические заболевания (артроз височно-нижнечелюстных суставов, который проявляется уменьшением просвета внутрисуставной щели, истончением хрящевой ткани, разрастанием остеофитов);
- Аномалии развития внутрисуставного диска;
- Субкортикальные кисты (полость, образующаяся на месте суставной головки нижней челюсти в результате резорбции (то есть разрушения) костной ткани;
- Доброкачественные и злокачественные новообразования костных структур суставов или близлежащих мягких тканей.
Какая нужна подготовка к проведению КТ височно-нижнечелюстных суставов?
Данное исследование не требует специальной подготовки, поэтому мультиспиральная КТ может выполняться как в плановом порядке, так и в экстренной ситуации, например, при травмах черепа с повреждением височно-нижнечелюстных суставов.
Для более точной диагностики, желательно сравнить снимки с имеющимися предыдущими результатами исследований, поэтому желательно принести с собой все документы, которые относятся к зоне сканирования:
- Направление от лечащего врача;
- CD/DVD диски предыдущих КТ или МРТ костей черепа, височно-нижнечелюстных суставов;
- Выписки из амбулаторных карт и стационаров;
- Заключения профильных специалистов.
Если пациенту требуется использование контраста, то в этом случае необходимо за 2 недели до даты исследования сдать анализ крови для оценки уровня креатинина. Этот показатель показывает состояние функции почек и имеет важное значение, так как контраст выводится из организма преимущественно почками. При резко выраженном снижении функции почек пациенту нельзя вводить контраст, тогда проводится только нативная КТ, кроме того, врач-рентгенолог может посоветовать другой способ визуализации области височно-нижнечелюстных суставов.
При необходимости введения контрастного вещества пациентам, принимающим по поводу сахарного диабета Метформин или Глюкофаж (а также другие препараты, содержащие Метформин), требуется посоветоветоваться с эндокринологом о временной отмене данных препаратов за 48 часов до КТ с контрастированием и на 48 часов после исследования.
Женщинам в период лактации нужно иметь в виду, что контраст также выводится и с грудным молоком. Поэтому мы рекомендуем кормящим мамам в течение 24-48 часов после процедуры с введением контраста не прикладывать малыша к груди (предварительно сделайте ребенку запас грудного молока).
Если запланировано применение контрастного усиления, то пациенту в периферическую вену предварительно ставится венозный катетер. Во время сканирования контраст вводится с помощью автоматического шприца (инжектора), подключенного к катетеру. В момент поступления контраста в кровь может появиться ощущение жара, прилива к телу, неприятный привкус во рту, но этот дискомфорт быстро проходит.
Пациент во время исследования лежит на выдвижной части томографа лицом вверх. Стол вместе с пациентом двигается в кольце аппарата, при этом отверстие кольца широкое, вокруг пространство свободное.
Чтобы получились качественные снимки, мы просим пациента не двигаться во время сканирования.
Медицинский персонал в течение процедуры находится в соседнем кабинете за стеклянным окном. При необходимости пациент может разговаривать с врачом при помощи голосовой связи, которой оснащен томограф.
В каких случаях нельзя провести КТ височно-нижнечелюстных суставов?
Нативная КТ имеет мало противопоказаний. В частности, КТ не проводится в течение всего срока беременности из-за того, что рентгеновские лучи, на использовании которых основана методика компьютерной томографии, могут вызвать пороки развития плода во время внутриутробного развития.
Кроме того, в связи с техническими характеристиками томографов в наших медицинских центрах нельзя выполнить КТ пациентам с массой тела более 120 кг (ограничения касаются выдвижного стола томографа).
В ряде случаев противопоказания относятся к применению контрастных препаратов. КТ с контрастированием противопоказано в следующих случаях:
- Если у пациента ранее были аллергические реакции на йодсодержащий контрастный препарат;
- В случае резко выраженной почечной недостаточности;
- При заболеваниях щитовидной железы с явлениями гипертиреоза и тиреотоксикоза;
- При застойной сердечной недостаточности;
- В случае тяжелого течения бронхиальной астмы;
- При декомпенсированном сахарном диабете.
Запишитесь на КТ височно-нижнечелюстных суставов по удобному адресу
ЗаписатьсяСтанция метро
Площадь Восстания Проспект Просвещения Нарвская Рыбацкое Девяткино Гражданский проспект Академическая Политехническая Площадь Мужества Лесная Выборгская Площадь Ленина Чернышевская Владимирская Пушкинская Технологический институт Балтийская Кировский завод Автово Ленинский проспект Проспект Ветеранов Парнас Озерки Удельная Пионерская Чёрная речка Петроградская Горьковская Невский проспект Сенная площадь Фрунзенская Московские ворота Электросила Парк Победы Московская Звёздная Купчино Беговая Зенит Приморская Василеостровская Гостиный двор Маяковская Площадь Александра Невского Елизаровская Ломоносовская Пролетарская Обухово Спасская Достоевская Лиговский проспект Площадь Александра Невского Новочеркасская Ладожская Проспект Большевиков Улица Дыбенко Комендантский проспект Старая Деревня Крестовский остров Чкаловская Спортивная Адмиралтейская Садовая Звенигородская Обводный канал Волковская Бухарестская Международная Проспект Славы Дунайская Шушары Богатырская Каменка Театральная Горный институт Путиловская Юго-Западная Кудрово Шуваловский проспект Каретная Боровая Заставская БроневаяРайон
Центральный Выборгский Кировский Адмиралтейски Василеостровский Калининский Колпинский Красногвардейский Красносельски Кронштадтский Курортный Московский Невский Петроградский Петродворцовый Приморский Пушкинский ФрунзенскийГород
Санкт-Петербург Бокситогорск Бугры Волосово Волхов Всеволожск Выборг Высоцк Гатчина Ивангород Каменногорск Кингисепп Кириши Кировск Колтуши Коммунар Кудрово Лодейное Поле Луга Любань Мурино Никольское Новая Ладога Отрадное Пикалёво Подпорожье Приморск Приозерск Светогорск Сертолово Сланцы Сосновый Бор Сясьстрой Тельмана Тихвин Тосно ШлиссельбургЦены
Услуги, соответствующие запросу, не найдены.
Адреса диагностических центров "Доступная Медицина"
Преимущества наших диагностических центров
Доступные цены
Приемлемые цены
на все услуги
Качественный сервис
Контроль качества
оказываемых услуг
Лучшие специалисты
Высококвалифицированные врачи
Новейшее оборудование
Современные томографы с высочайшим качеством визуализации
Близость к метро
Мы находимся в непосредственной близости от метро и остановок общественного транспорта
Наше оборудование
КТ-СПЕЦИАЛИСТЫ
Лицензии
Современные томографы с высочайшим качеством визуализации
Статьи наших врачей