КТ лимфатических узлов таза и подвздошных областей в СПБ
- Срок получения результата В течение дня
Лимфатические узлы относятся к органам иммунной системы. Они являются своеобразным биологическим фильтром и задерживают развитие инфекции, а также препятствуют распространению раковых клеток. Изменение лимфоузлов всегда является тревожным симптомом и может свидетельствовать о многих серьезных заболеваниях. Измененные увеличенные лимфатические узлы могут быть признаком инфекционных болезней, лимфопролиферативных, аутоиммунных заболеваний, а также указывать на опухолевый процесс в близлежащих органах или метастатическое распространение раковой опухоли из отдаленных очагов.
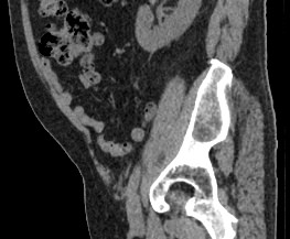
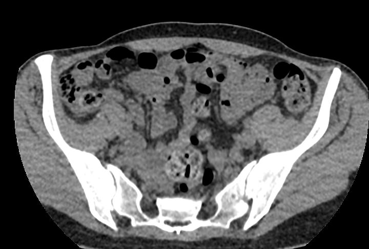
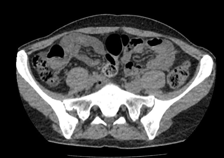
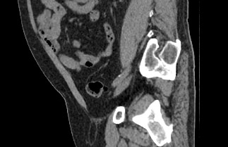
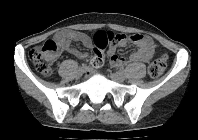
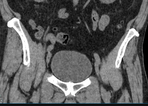
Мультиспиральная компьютерная томография позволяет детально оценить структуру лимфатических узлов, выявить ее неоднородность, определить точные размеры, выявить деформацию контуров, появление инфильтрации окружающих тканей с образованием цепочек, пакетов и конгломератов лимфоузлов.
В медицинских центрах «Доступная медицина» обследование лимфоузлов таза и подвздошных областей выполняется на современных мультиспиральных томографах экспертного класса TOSHIBA AQUILION, которые при помощи рентгеновских лучей производят послойное сканирование исследуемой области. Различные модификации аппаратов оснащены 64 или 128 детекторами. Увеличенное количество сверхчувствительных детекторов позволяет за короткий промежуток времени выполнять сканирование нескольких областей тела. Это значительно сокращает время исследования и снижает уровень лучевой нагрузки на пациента при сохранении высокого качества изображений. Полученные данные посредством инновационных цифровых приложений преобразуются в трехмерные изображения высочайшего качества, что позволяет проводить точную и достоверную диагностику.
С целью повышения информативности изображений, выявления патологических изменений в лимфоузлах дополнительно внутривенно вводится рентгеноконтрастное вещество на основе йода. Контраст накапливается в патологических очагах и под воздействием рентгеновских лучей обусловливает их яркую контрастность на фоне неизмененной ткани. Контрастирование значительно повышает диагностическую ценность исследования и помогает выявлять многие серьезные заболевания на начальных этапах.
- Показания для проведения КТ лимфатических узлов таза и подвздошных областей
- Что покажет КТ лимфатических узлов таза и подвздошных областей
- Подготовка к КТ лимфатических узлов таза и подвздошных областей
- Противопоказания для проведения КТ лимфатических узлов таза и подвздошных областей
Показания для проведения КТ лимфатических узлов таза и подвздошных областей
Проведение компьютерного сканирования может потребоваться в следующих случаях:
- При гнойно-воспалительных процессах органов малого таза.
- При инфекционных заболеваниях (лимфаденопатия на фоне туберкулеза, сифилиса, токсоплазмоза, ВИЧ).
- При подозрении на лимфогранулематоз (болезнь Ходжкина) и неходжкинскую лимфому.
- При поражении лимфоузлов на фоне лимфолейкоза.
- При увеличении лимфоузлов в сочетании с поражением суставов и внутренних органов на фоне аутоиммунных заболеваний (ревматоидный артрит, саркоидоз и др).
- В случае метастатического поражения лимфоузлов при распространении раковых клеток их опухолей органов малого таза или при метастатическом поражении из отдаленных опухолевых очагов.
- КТ лимфатических узлов является обязательным исследованием для определения стадии опухолевого процесса и выбора тактики лечения.
Что покажет КТ лимфатических узлов таза и подвздошных областей
Мультиспиральная компьютерная томография позволяет оценить структуру лимфатических узлов, обнаружить неоднородность, гиперплазию, деформацию их контуров.
Мультиспиральная компьютерная томография дает возможность визуализировать размеры лимфоузлов, их точную локализацию, взаимодействие с близлежащими органами и окружающими тканями, образование спаянных между собой инфильтратов лимфоузлов, выявить прорастание в окружающие ткани.
При проведении компьютерной томографии можно диагностировать следующие заболевания лимфатических узлов:
- Лимфадениты (острые и хронические воспалительные изменения лимфоузлов на фоне гнойных ран, фурункулов, карбункулов, флегмон);
- Опухоли (лимфогранулематоз Ходжкина, неходжкинская лимфома, лимфосаркома);
- Поражение лимфоузлов на фоне лимфолейкоза (злокачественное заболевание крови);
- Метастазы в лимфоузлах (поражение лимфатических узлов таза и подвздошных областей на фоне опухолей органов малого таза, брюшной полости;
- Изменения лимфоузлов на фоне инфекционных заболеваний (туберкулез, ВИЧ и другие);
- Аномалии развития лимфатических узлов (гипоплазия узлов, лимфангиомы).
Подготовка к КТ лимфатических узлов таза и подвздошных областей
Исследование проводится без предварительной подготовки.
Перед проведением КТ необходимо предоставить всю медицинскую документацию, которая относится к зоне исследования:
- Направление от лечащего врача;
- Выполненные ранее рентгеновские снимки легких, CD/DVD диски предыдущих КТ-исследований брюшной полости, малого таза, лимфатических узлов;
- Выписки из амбулаторных карт и стационаров;
- Заключения профильных специалистов.
Перед исследованием с контрастированием необходимо предоставить показатели креатинина крови. Этот показатель отражает функцию почек и имеет важное значение, так как контраст выводится из организма преимущественно почками. В зависимости от уровня креатинина врач-рентгенолог примет решение о возможности проведения контрастирования. Анализ крови действителен в течение 14 дней до даты исследования.
Пациентам, которые принимают по поводу сахарного диабета такие сахароснижающие препараты, как Метформин или Глюкофаж, необходимо отменить прием данных препаратов за 48 часов до исследования с контрастированием и на 48 часов после введения контраста (временную отмену данных препаратов необходимо согласовать с эндокринологом).
Для введения контраста в локтевую вену предварительно устанавливается венозный катетер. Контрастный препарат вводится с помощью автоматического инъектора. При введении контраста может появиться неприятный привкус во рту, ощущение прилива, жара во всем теле, но этот дискомфорт проходит через 1-2 минуты. Контрастное вещество выводится из организма преимущественно почками в течение последующих суток.
Если контрастное усиление проводится кормящей женщине, то пациентке необходимо на 24-48 часов после процедуры с введением контраста исключить грудное вскармливание, при этом молоко сцеживать и выливать. Предварительно мы рекомендуем сделать для малыша запас грудного молока.
Чтобы получить качественные изображения на снимках, от пациента требуется сохранять неподвижность в течение всей процедуры. Врач находится в смежном помещении, отделенном от диагностического кабинета стеклянной перегородкой. Связь с ним происходит через вмонтированное в аппарат переговорное устройство.
Противопоказания для проведения КТ лимфатических узлов таза и подвздошных областей
Компьютерная томография не проводится во время беременности, так как ионизирующее излучение оказывает вредное влияние на плод.
В нашей клинике невозможно выполнить КТ пациентам с массой тела более 120 кг из-за технических возможностей аппарата (ограничения по весу имеет выдвижной стол томографа).
При необходимости проведения КТ с контрастированием имеются противопоказания для введения контраста. Запрещено введение контраста в следующих случаях:
- если у пациента ранее отмечалась аллергия на йодсодержащие контрастные вещества;
- если имеются заболевания почек с явлениями почечной недостаточности;
- при сердечной недостаточности;
- на фоне заболеваний щитовидной железы;
- при тяжелом течении бронхиальной астмы;
- в случае декомпенсированного сахарного диабета.
Запишитесь на КТ лимфатических узлов таза и подвздошных областей по удобному адресу
ЗаписатьсяСтанция метро
Площадь Восстания Проспект Просвещения Нарвская Рыбацкое Девяткино Гражданский проспект Академическая Политехническая Площадь Мужества Лесная Выборгская Площадь Ленина Чернышевская Владимирская Пушкинская Технологический институт Балтийская Кировский завод Автово Ленинский проспект Проспект Ветеранов Парнас Озерки Удельная Пионерская Чёрная речка Петроградская Горьковская Невский проспект Сенная площадь Фрунзенская Московские ворота Электросила Парк Победы Московская Звёздная Купчино Беговая Зенит Приморская Василеостровская Гостиный двор Маяковская Площадь Александра Невского Елизаровская Ломоносовская Пролетарская Обухово Спасская Достоевская Лиговский проспект Площадь Александра Невского Новочеркасская Ладожская Проспект Большевиков Улица Дыбенко Комендантский проспект Старая Деревня Крестовский остров Чкаловская Спортивная Адмиралтейская Садовая Звенигородская Обводный канал Волковская Бухарестская Международная Проспект Славы Дунайская Шушары Богатырская Каменка Театральная Горный институт Путиловская Юго-Западная Кудрово Шуваловский проспект Каретная Боровая Заставская БроневаяРайон
Центральный Выборгский Кировский Адмиралтейски Василеостровский Калининский Колпинский Красногвардейский Красносельски Кронштадтский Курортный Московский Невский Петроградский Петродворцовый Приморский Пушкинский ФрунзенскийГород
Санкт-Петербург Бокситогорск Бугры Волосово Волхов Всеволожск Выборг Высоцк Гатчина Ивангород Каменногорск Кингисепп Кириши Кировск Колтуши Коммунар Кудрово Лодейное Поле Луга Любань Мурино Никольское Новая Ладога Отрадное Пикалёво Подпорожье Приморск Приозерск Светогорск Сертолово Сланцы Сосновый Бор Сясьстрой Тельмана Тихвин Тосно ШлиссельбургЦены
Услуги, соответствующие запросу, не найдены.
Адреса диагностических центров "Доступная Медицина"
Преимущества наших диагностических центров
Доступные цены
Приемлемые цены
на все услуги
Качественный сервис
Контроль качества
оказываемых услуг
Лучшие специалисты
Высококвалифицированные врачи
Новейшее оборудование
Современные томографы с высочайшим качеством визуализации
Близость к метро
Мы находимся в непосредственной близости от метро и остановок общественного транспорта
Наше оборудование
КТ-СПЕЦИАЛИСТЫ
Лицензии
Современные томографы с высочайшим качеством визуализации
Статьи наших врачей