Назад МРТ крестцово-подвздошных сочленений в СПБ

4 600
/
По акции в Рыбацком
3 200
руб
Записаться на прием
4 600 руб
По акции в Рыбацком
3 200 руб
Записаться
  • Длительность выполнения 15-30 минут
  • Срок получения результата В течение дня
  • Введение контраста Нет
  • Ограничения по возрасту От 15 лет
  • Ограничения по весу 120 кг
Описание

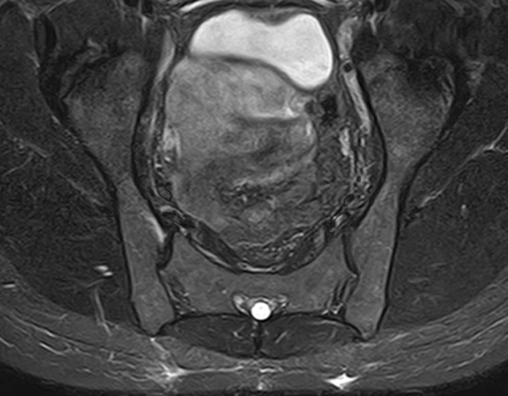
Крестцово-подвздошное сочленение – это крупный малоподвижный сустав, место соединения крестца и подвздошных костей, которое часто вовлекается в патологический процесс при травмах, дегенеративных поражениях, инфекциях и опухолевых заболеваниях.

С помощью МРТ можно диагностировать поражение крестцово-подвздошных сочленений на начальной стадии, когда другие методы не дают результатов. Такой патологией, в частности, является сакроилеит (воспаление крестцово-подвздошного сочленения), который часто становится причиной анкилоза (сращения) или нестабильности (патологической подвижности) сустава. Выявление сакроилеита на ранней стадии значительно улучшает прогноз в плане лечения и профилактики осложнений. 

В клинике «Доступная медицина» диагностика патологии крестцово-подвздошных сочленений осуществляется на новейшем высокопольном томографе экспертного уровня TOSHIBA VANTAGE TITAN 1,5 Тесла. Аппарат проводит сканирование в различных плоскостях, делая срезы с шагом от 1 мм, затем с помощью компьютерных программ преобразует полученные данные в трехмерные изображения.

Стандартная методика обследования не предусматривает применение контраста, однако в ряде случаев это может потребоваться. При необходимости визуализации мельчайших очагов воспаления, метастазов или опухолевых образований проводится контрастное усиление. Для этого внутривенно вводится препарат на основе солей гадолиния (редкоземельный металл). Контрастное вещество относительно безопасно и полностью выводится из организма в течение суток. 

При наличии противопоказаний для МРТ в клинике «Доступная медицина» можно провести КТ крестцово-подвздошных сочленений.

Показания

Свернуть/развернуть

МРТ крестцово-подвздошных сочленений показано, во-первых, при подозрении на нарушение нормальной структуры суставов и связок, соединяющих крестец с тазовыми костями и, во-вторых, при подозрении на наличие поражений самого крестца и костей таза. К наиболее частым заболеваниям крестцово-подвздошной зоны относятся:

  • Болезнь Бехтерева.
  • Системные поражения суставов.
  • Травматические поражения таза.
  • Опухоли или метастазы костей таза и внутренних органов таза.
  • Остеоартроз крестцово-подвздошного сустава.
  • Острый или хронический сакроилеит.
  • Воспалительное вовлечение крестцово-подвздошного сочленения при инфекциях органов таза.

Симптомы, которые могут указать на наличие поражения крестцово-подвздошной зоны, бывают как локальные, так и общие:

  • Боли в тазу. Могут иррадиировать в нижние конечности.
  • Снижение объема движений в тазобедренном суставе.
  • Онемение конечностей.
  • Хромота.
  • Невозможность длительного нахождения в положении сидя.
  • Болезненные или безболезненные пальпируемые опухолевидные образования в тазу.
  • Повышение температуры тела.
  • Общая слабость.
  • Боли в других суставах.

Что показывает МРТ крестцово-подвздошных сочленений

Свернуть/развернуть
  • Повреждения суставно-связочного аппарата в этой области;
  • Врожденные изменения в области крестцово-подвздошного соединения у детей;
  • Дегенеративные и воспалительные процессы;
  • Метастазы и опухолевые процессы. МРТ крестцово-подвздошных сочленений помогает выявлять новообразования на ранних стадиях, что не под силу многим другим методикам исследования. МРТ крестцово-подвздошного сочленения рекомендуют при наличии следующих жалоб пациента:
    • боль внизу спины, в ягодицах, крестце, отдающая в бедро – признак сакроилеита и нестабильности КПС;
    • боль усиливается, когда человек долго стоит или сидит, при поворотах тела, длительной ходьбе, при попытках изменить положение, встать со стула;
    • характерный симптом – возникновение или усиление болей при подъеме по лестнице, переносе тяжести тела с одной ноги на другую, попытке перевернуться лежа в постели;
    • ограничение подвижности позвоночника;
    • наличие объемных образований, отека, припухлости, узлов и шишек, определяющихся визуально или на ощупь.

Подготовка к МРТ крестцово-подвздошных сочленений

Свернуть/развернуть

Для данного метода обследования не требуется специальная подготовка.

Необходимо принести с собой медицинскую документацию, относящуюся к зоне исследования:

  • направление от лечащего врача;
  • выписки из амбулаторных карт и стационаров;
  • результаты предыдущих исследований (МР-снимки, CD/DVD диски).

 Необходимо предупредить врача о наличии беременности, лекарственной непереносимости, наличии штифтов, протезов, зубных металлоконструкций, электронных устройств. 

При наличии МРТ совместимых протезов или имплантатов, нужно принести документы с информацией о материале, из которого изготовлен протез (справку можно взять в медучреждении, где он был установлен).

Если планируется применение контрастирования, при подозрении на снижение функции почек необходимо исследование уровня креатинина крови не позднее, чем за 14 дней до исследования. 

Введение контраста происходит через предварительно установленный в руку катетер и может сопровождаться появлением чувства теплоты во всем теле и металлического привкуса во рту, но эти ощущения быстро исчезают. 

Контраст выводится преимущественно почками в течение суток. Поэтому в случае необходимости введения контраста кормящей матери, нужно прервать грудное вскармливание на 24-48 часов после введения контрастирующего вещества, сцеженное молоко выливать.

Перед процедурой пациенту нужно убрать все гаджеты, снять украшения и одежду с металлическими пуговицами, молниями, застежками, освободиться от съемных протезов, пирсинга. 

Пациент располагается на столе томографа. В течение всего времени исследования нельзя двигаться, чтобы получить качественные результаты сканирования. 

Из-за того, что работа томографа сопровождается громким шумом, пациенту можно воспользоваться берушами или наушниками для шумоподавления. 

С медперсоналом связь осуществляется посредством переговорного устройства, которое вмонтировано в аппарат. Для вызова медицинского работника имеется специальная кнопка в виде сигнальной груши. 

Если пациент испытывает выраженную тревожность и боязнь перед исследованием, допускается присутствие сопровождающего в течение всего времени сканирования.

МРТ крестцово-подвздошных сочленения запрещено, если имеются противопоказания:

Свернуть/развернуть
  • кардиостимуляторы, дефибрилляторы, кохлеарные импланты и другие медицинские устройства, имплантируемые в организм пациента – абсолютное противопоказание, если только имплант не изготовлен из МРТ совместимых материалов;
  • магнитно-резонансная томография не проводится у пациентов до 5 лет и у беременных в I триместре беременности;
  • инородные тела из магнитного металла – также абсолютное противопоказание для МРТ (это особенно касается мелких кусочков металла в глазах, стальных клипс на сосудах головного мозга, осколков и фрагментов боеприпасов);
  • вес пациента более 130 кг и/или окружность тела более 150 см – препятствие для исследования, из-за несоответствия антропометрических данных и размеров оборудования для МРТ;
  • тяжелая клаустрофобия.

Запишитесь на МРТ крестцово-подвздошных сочленений по удобному адресу

Записаться
Фильтр по услугам МРТ позвоночника

Введение контраста

С контрастом Без контраста

Станция метро

Площадь Восстания Нарвская Проспект Просвещения Рыбацкое Девяткино Гражданский проспект Академическая Политехническая Площадь Мужества Лесная Выборгская Площадь Ленина Чернышевская Владимирская Пушкинская Технологический институт Балтийская Кировский завод Автово Ленинский проспект Проспект Ветеранов Парнас Озерки Удельная Пионерская Чёрная речка Петроградская Горьковская Невский проспект Сенная площадь Фрунзенская Московские ворота Электросила Парк Победы Московская Звёздная Купчино Беговая Зенит Приморская Василеостровская Гостиный двор Маяковская Площадь Александра Невского Елизаровская Ломоносовская Пролетарская Обухово Спасская Достоевская Лиговский проспект Площадь Александра Невского Новочеркасская Ладожская Проспект Большевиков Улица Дыбенко Комендантский проспект Старая Деревня Крестовский остров Чкаловская Спортивная Адмиралтейская Садовая Звенигородская Обводный канал Волковская Бухарестская Международная Проспект Славы Дунайская Шушары Богатырская Каменка Театральная Горный институт Путиловская Юго-Западная Кудрово Шуваловский проспект Каретная Боровая Заставская Броневая

Возраст пациента

Взрослому Ребенку от 15 лет

Пол пациента

Мужчине Женщине

Тип аппарата

Открытый Закрытый

Мощность МРТ

1.5 Тл 3 Тесла

Программы страхования

ДМС Платно ОМС

Цены

Услуги, соответствующие запросу, не найдены.

Комплексная МРТ позвоночника – 3 отдела
руб
10 600 / 9 200 руб
Подробнее
МРТ центральной нервной системы (ЦНС) (головной мозг + 3 отдела позвоночника)
руб
13 400 / 12 200 руб
Подробнее
МРТ шейного отдела и головного мозга
руб
7 600 / 6 200 руб
Подробнее
МРТ крестцово-подвздошных сочленений
руб
4 600 / 3 200 руб
Подробнее
МРТ грудного отдела позвоночника
руб
4 600 / 3 200 руб
Подробнее
МРТ пояснично-крестцового отдела позвоночника
руб
4 600 / 3 200 руб
Подробнее
МРТ шейного отдела позвоночника
руб
4 600 / 3 200 руб
Подробнее
МРТ копчика
руб
4 600 / 3 200 руб
Подробнее
МРТ краниовертебрального перехода
руб
4 600 / 3 200 руб
Подробнее
МРТ одного отдела позвоночника
руб
4 600 / 3 200 руб
Подробнее
МРТ двух отделов позвоночника
руб
7 600 / 6 200 руб
Подробнее
МРТ пояснично-крестцового отдела + копчик
руб
7 600 / 6 200 руб
Подробнее
МРТ грудного и поясничного отдела
руб
7 600 / 6 200 руб
Подробнее
МРТ грудного отдела позвоночника (в режиме металлоподавления в зоне сканирования)
руб
9 000 руб
МРТ шейного отдела позвоночника (в режиме металлоподавления в зоне сканирования)
руб
9 000 руб
МРТ пояснично-крестцового отдела (в режиме металлоподавления в зоне сканирования)
руб
9 000 руб
МРТ двух отделов позвоночника (в режиме металлоподавления в зоне сканирования)
руб
15 000 руб
МРТ всего позвоночника - 3 отдела (в режиме металлоподавления в зоне сканирования)
руб
21 000 руб

Адреса диагностических центров "Доступная Медицина"

Преимущества наших диагностических центров

Доступные цены

Приемлемые цены
на все услуги

Качественный сервис

Контроль качества
оказываемых услуг

Лучшие специалисты

Высококвалифицированные врачи

Новейшее оборудование

Современные томографы с высочайшим качеством визуализации

Близость к метро

Мы находимся в непосредственной близости от метро и остановок общественного транспорта

Лицензии

Современные томографы с высочайшим качеством визуализации

Назад
Вперед
Ключникова Екатерина Игоревна
Информация проверена главным врачом клиники Domedica24
Ключникова Екатерина Игоревна
Стаж более 8 лет, главный врач, врач-рентгенолог 1 категории
Площадь Стачек, 9">
ул. 1-я Советская, 8">