Назад МРТ позвоночника с контрастом в СПБ

от
7 600
/
По акции в Рыбацком
6 200
руб
Записаться на прием
от 7 600 руб
По акции в Рыбацком
6 200 руб
Записаться
  • Срок получения результата В течение 24 часов
  • Ограничения по весу 120 кг
Описание

Боли в спине чаще всего обусловлены дегенеративно-дистрофическими изменениями позвонков, межпозвоночных дисков, на фоне чего могут возникать протрузии и грыжи дисков со сдавлением корешков спинномозговых нервов. Развитие болевого синдрома также может быть вызвано поражением позвоночника на фоне травм, воспалительных заболеваний, опухолевых процессов.

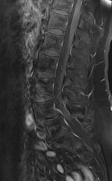
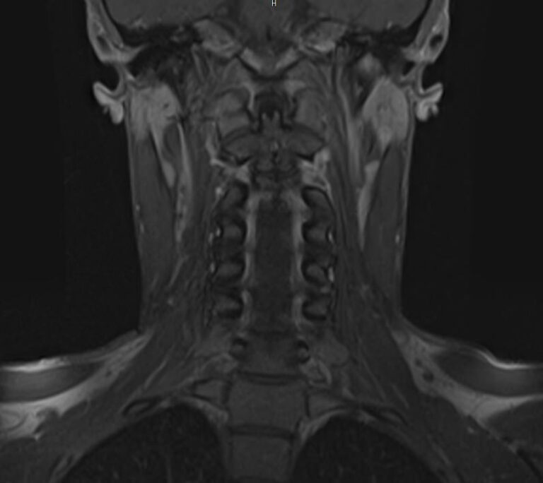
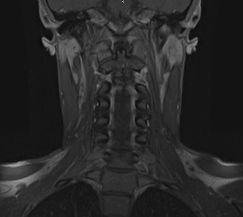
Магнитно-резонансная томография является современным, высокоинформативным и доступным методом обследования позвоночника. МРТ позволяет оценить состояние костных структур позвонков, спинного мозга, нервных корешков и окружающих мягких тканей. С помощью МРТ можно диагностировать грыжевые выпячивания межпозвонковых дисков, степень их воздействия на нервные корешки и спинной мозг. 

Но несмотря на высокую диагностическую ценность магнитно-резонансной томографии, в некоторых случаях для улучшения визуализации патологических очагов дополнительно применяется контрастное усиление. В частности, при подозрении на опухоли позвоночника или спинномозгового канала, для оценки активности очагов демиелинизации спинного мозга, требуется внутривенное введение контраста.

Для контрастирования применяется контрастные препараты, содержащие соли гадолиния (Омнискан, Магневист, Гадовист и др). Контрастное вещество попадает в кровоток, затем избирательно фиксируется в патологических участках, что способствует выявлению очагов поражения, в первую очередь, опухолевых новообразований, причем на самых ранних стадиях развития.

В клинике «Доступная медицина» выполняется МРТ различных отделов позвоночника. В зависимости от уровня поражения можно провести МР томографию шейного отдела, грудного отдела, пояснично-крестцового отдела позвоночника и копчика. 

Показания для проведения МРТ позвоночника с контрастом

Свернуть/развернуть

Проведение МРТ позвоночника рекомендуется при следующих симптомах:

  • Боли в различных отделах позвоночника и области копчика (кокцигодиния)
  • Ощущение скованности в различных отделах позвоночника.
  • Нарушения чувствительности кожи шеи, туловища, верхних и нижних конечностей.
  • Появление онемения, слабости в конечностях.
  • Для динамического наблюдения на фоне лечения, в том числе, перед операцией и после оперативного лечения заболеваний позвоночного столба.
  • Подозрение на опухоли позвоночного столба, спинного мозга и окружающих тканей.

Что покажет МРТ позвоночника с контрастом

Свернуть/развернуть

Обследование с контрастным усилением позволяет выявить следующие патологические состояния:

  • Доброкачественные и злокачественные опухоли спинного мозга, костей, нервных корешков или мягких тканей, окружающих позвоночник.
  • Инфекционные и воспалительные заболевания позвоночника и спинного мозга (спондилиты, гнойные артриты, абсцессы околопозвоночных тканей, туберкулез). 
  • Демиелинизирующие заболевания спинного мозга.

Как подготовиться к МРТ позвоночника с контрастом

Свернуть/развернуть

Для данного обследования особая подготовка не нужна. 

Необходимо принести с собой медицинскую документацию, относящуюся к зоне исследования:

  • направление от лечащего врача;
  • выписки из амбулаторных карт и стационаров;
  • результаты предыдущих исследований (МР-снимки, CD/DVD диски, снимки КТ).

При наличии немагнитных пластин или протезов, изготовленных из пара- и диамагнетиков (например, титан, алюминий), необходимо предупредить об этом врача-рентгенолога и предоставить справку из учреждения, в котором они были установлены. Кроме материала еще учитывается расположение изделия по отношению к исследуемой области. Если имплантат находится вблизи области сканирования, то это может вызвать искажение результата. В каждом конкретном случае врач определит возможность проведения исследования или предложит другой способ визуализации.

Если планируется применение контраста пациенту с подозрением на почечную недостаточность, необходимо выполнить исследование уровня креатинина крови не более, чем за 2 недели до даты проведения МРТ. Так как контраст выводится из организма не менее, чем за сутки, кормящим матерям следует прервать грудное вскармливание после исследования на 24-48 часов, молоко после сцеживания выливать.

Перед началом процедуры необходимо снять с себя все металлические предметы, включая украшения, пирсинг, а также одежду с металлическими элементами. Также следует убрать все электронные устройства: смартфоны, часы, планшеты, слуховые аппараты. 

При проведении обследования необходимо сохранять неподвижность для получения качественных изображений исследуемой области. Томограф издает шум во время своей работы, поэтому чтобы защитить слух, пациенту надевают наушники. 

Медперсонал находится в смежном помещении, отделенном от диагностического кабинета стеклянной перегородкой. С врачом можно общаться через вмонтированное в аппарат устройство связи. Для вызова медработника есть специальная сигнальная груша, которая находится в руке пациента в течение всего времени сканирования. По желанию пациента разрешается присутствие сопровождающего при проведении процедуры.

Противопоказания для МРТ позвоночника с контрастом

Свернуть/развернуть
  • Противопоказанием является наличие в теле имплантированных электронных устройств (кардиостимуляторов, нейростимуляторов, имплантатов внутреннего уха, инсулиновых помп).
  • Наличие протезов или медицинских конструкций, изготовленных из ферромагнитных материалов, например, клипсы на сосудах головного мозга (клипирование аневризмы), искусственные клапаны сердца.
  • Имеющиеся металлические инородные предметы в теле являются противопоказанием для МРТ (это может быть металлическая стружка, осколки, пули, неснимаемый пирсинг), также татуировки с использованием металлизированных красок.
  • Женщинам в первом триместре беременности нежелательно проводить МРТ из-за риска воздействия магнитного поля на формирующиеся органы плода.
  • Клаустрофобия (боязнь закрытых пространств) может ограничивать проведение МРТ. 
  • Из-за технических ограничений по весу томографа невозможно выполнить исследование пациентам с массой тела более 120 кг.

Противопоказания для введения контраста

  • Введение контраста противопоказано на любом сроке беременности.
  • Аллергические реакции на контрастное вещество на основе гадолиния.
  • Нарушение функции почек (снижение скорости клубочковой фильтрации, повышение уровня мочевины и креатинина) является противопоказанием для внутривенного введения контраста на основе гадолиния.

Если у вас имеются противопоказания для МРТ, в клинике «Доступная медицина» выполняется КТ позвоночника при помощи компьютерного томографа экспертного класса со сниженной лучевой нагрузкой.

Запишитесь на МРТ позвоночника с контрастом по удобному адресу

Записаться
Фильтр по услугам МРТ с контрастом

Введение контраста

С контрастом Без контраста

Станция метро

Площадь Восстания Нарвская Проспект Просвещения Рыбацкое Девяткино Гражданский проспект Академическая Политехническая Площадь Мужества Лесная Выборгская Площадь Ленина Чернышевская Владимирская Пушкинская Технологический институт Балтийская Кировский завод Автово Ленинский проспект Проспект Ветеранов Парнас Озерки Удельная Пионерская Чёрная речка Петроградская Горьковская Невский проспект Сенная площадь Фрунзенская Московские ворота Электросила Парк Победы Московская Звёздная Купчино Беговая Зенит Приморская Василеостровская Гостиный двор Маяковская Площадь Александра Невского Елизаровская Ломоносовская Пролетарская Обухово Спасская Достоевская Лиговский проспект Площадь Александра Невского Новочеркасская Ладожская Проспект Большевиков Улица Дыбенко Комендантский проспект Старая Деревня Крестовский остров Чкаловская Спортивная Адмиралтейская Садовая Звенигородская Обводный канал Волковская Бухарестская Международная Проспект Славы Дунайская Шушары Богатырская Каменка Театральная Горный институт Путиловская Юго-Западная Кудрово Шуваловский проспект Каретная Боровая Заставская Броневая

Возраст пациента

Взрослому Ребенку от 15 лет

Пол пациента

Мужчине Женщине

Тип аппарата

Открытый Закрытый

Мощность МРТ

1.5 Тл 3 Тесла

Программы страхования

ДМС Платно ОМС

Цены

Услуги, соответствующие запросу, не найдены.

МРТ головного мозга с контрастом
руб
От 7 600 / 6 200 руб
Подробнее
МРТ пазух носа с контрастом
руб
От 7 600 / 6 200 руб
Подробнее
МРТ гипофиза с контрастом
руб
От 7 600 / 6 200 руб
Подробнее
МРТ позвоночника с контрастом
руб
От 7 600 / 6 200 руб
Подробнее
МРТ брюшной полости с контрастом
руб
От 8 900 руб
МРТ печени с контрастом
руб
От 8 900 руб
МРТ почек с контрастом
руб
От 8 900 руб
МРТ малого таза с контрастом
руб
От 10 800 / 9 400 руб
Подробнее
МРТ мочевого пузыря с контрастом
руб
От 10 800 / 9 400 руб
Подробнее
МРТ простаты с контрастом (предстательной железы)
руб
От 10 800 / 9 400 руб
Подробнее
МРТ с контрастом при массе тела до 69 кг
руб
3 000 руб
МРТ с контрастом при массе тела от 70 до 99 кг
руб
3 700 руб
МРТ с контрастом при массе тела от 100 до 120 кг
руб
4 800 руб
МРТ молочных желез (МР – маммография), в том числе оценка целостности имплантов при их наличии (выполняется с внутривенным контрастированием):
руб
- при весе до 89 кг
руб
11 200 руб
- при весе от 90 кг
руб
12 300 руб

Адреса диагностических центров "Доступная Медицина"

Преимущества наших диагностических центров

Доступные цены

Приемлемые цены
на все услуги

Качественный сервис

Контроль качества
оказываемых услуг

Лучшие специалисты

Высококвалифицированные врачи

Новейшее оборудование

Современные томографы с высочайшим качеством визуализации

Близость к метро

Мы находимся в непосредственной близости от метро и остановок общественного транспорта

Лицензии

Современные томографы с высочайшим качеством визуализации

Назад
Вперед
Ключникова Екатерина Игоревна
Информация проверена главным врачом клиники Domedica24
Ключникова Екатерина Игоревна
Стаж более 8 лет, главный врач, врач-рентгенолог 1 категории
Площадь Стачек, 9">
ул. 1-я Советская, 8">