Назад КТ таза с контрастом в СПБ

Цена:
от 6 400 руб
Записаться
  • Введение контраста Да
  • Длительность выполнения 20 минут
  • Ограничения по весу 120 кг
  • Ограничения по возрасту От 15 лет
  • Срок получения результата В течение 24 часов
Описание

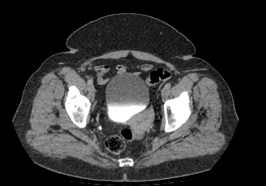
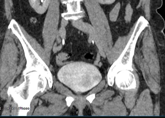
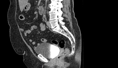
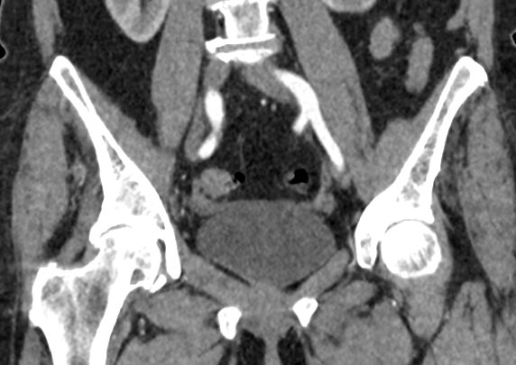
Мультиспиральная компьютерная томография органов малого таза включает в себя исследование женских половых органов (матка, яичники) или мужских половых органов (предстательная железа, семенные пузырьки, семявыносящие протоки), а также мочевого пузыря с мочеточниками на видимом протяжении, прямой кишки, тазовой брюшины, лимфатических узлов, мягких тканей малого таза.

Нативная компьютерная томография таза проводится без использования контраста. Однако при подозрении на патологические изменения со стороны органов мужской или женской половой сферы, мочевыделительной системы, прямой кишки или окружающих мягких тканей, обязательным является внутривенное введение йодсодержащего контрастного препарата. Контрастный препарат в большей степени накапливается в патологически измененных участках и обеспечивает их яркую визуализацию на фоне здоровых тканей. Это используется для диагностики онкологических заболеваний на ранних стадиях, что имеет решающее значение для жизни и здоровья пациента.

Наши медицинские центры оснащены новейшими мультиспиральными компьютерными томографами последнего поколения TOSHIBA AQUILION. Аппараты имеют различные модификации (64- и 128-срезовый), обеспечивающие высокое качество изображений при минимальной дозе облучения для пациента. 

Трубка томографа непрерывно вращается вокруг исследуемой области, испуская рентгеновские лучи. После прохождения сквозь тело человека они улавливаются высокочувствительными детекторами и таким образом происходит послойное сканирование с минимальной толщиной среза от 0,5 мм. 

В результате получаются снимки тончайших срезов исследуемой зоны с высокой степенью детализации, на основе которых производится объемная реконструкция органов малого таза, что позволяет проводить точную диагностику. Трехмерные модели дают информацию о пространственном расположении органов и патологических образований, что важно, например, при планировании оперативных вмешательств и в дальнейшем при оценке эффективности операции и проведенного лечения.

Мультиспиральная компьютерная томография используется для диагностики аномалий развития, травматических повреждений, воспалительных заболеваний и опухолевых процессов органов малого таза. Преимуществами данного исследования является высокая скорость сканирования и доступная цена. Однако в ряде случаев может быть более предпочтительно выполнение магнитно-резонансной томографии, которая обладает высокой чувствительностью и информативностью для обследования органов и мягких тканей малого таза. В клинике «Доступная медицина» МРТ малого таза можно пройти на нашем современном оборудовании экспертного уровня.

Показания к КТ малого таза с контрастом

Свернуть/развернуть

Показания у женщин:

  • наличие новообразований, кистозных структур;
  • боли неясной этиологии;
  • перенесенная травма;
  • воспалительные заболевания;
  • травма
  • планируемое оперативное вмешательство.
  • лимфаденопатия

У мужчин:

  • симптомы воспаления;
  • наличие крови в моче;
  • подозрение на наличие новообразований, метастазов;
  • травма;
  • планирование операций или других лечебных манипуляций;
  • боли неясного происхождения.

Подготовка к КТ таза с контрастом

Свернуть/развернуть

Чтобы получить качественные и достоверные результаты, необходимо заранее подготовиться к данному исследованию. Газы в кишечнике могут давать артефакты на полученных изображениях. Поэтому за 2-3 дня до исследования рекомендуется исключить из рациона пищу, повышающую газообразование (сладкое, мучное, жирное, бобовые, газированные напитки, капусту) и принимать «Эспумизан» по 2 капсулы 3 раза в день (если есть проблемы с газообразованием!). В день исследования «Эспумизан» принимать не нужно. 

За 3-4 часа до исследования следует отказаться от приема пищи.

Данное исследование проводится с наполненным мочевым пузырем. Для этого примерно за 1 час до процедуры нужно выпить 0,5 — 1 литр воды и не мочиться до окончания исследования.

Желательно принести с собой медицинскую документацию, относящуюся к зоне исследования:

  • направление от лечащего врача;
  • выписки из амбулаторных карт и стационаров;
  • результаты предыдущих исследований (МР-снимки, CD/DVD диски, снимки КТ, результаты УЗИ) малого таза.

Если запланировано применение контраста, то необходимо оценить выделительную функцию почек. Мы просим предоставить анализ крови с контролем уровня креатинина давностью не более, чем 14 дней с момента сдачи биоматериала.

Для введения контраста в локтевую вену предварительно устанавливается венозный катетер. В определенный момент во время исследования контраст вводится в вену при помощи дозирующего устройства. Поступление контраста в кровоток может сопровождаться в течение нескольких минут ощущением теплоты во всем теле, появлением неприятного привкуса во рту, в дальнейшем этот дискомфорт полностью исчезает. 

После окончания процедуры контраст выводится из организма в течение суток. Поэтому, если пациентка является кормящей мамой, то в течение следующих 24-48 часов после исследования нельзя прикладывать ребенка к груди, молоко при этом нужно сцеживать и выливать.

Пациент ложится спиной на подвижную кушетку томографа. В течение всего периода исследования необходимо не двигаться для получения качественных результатов. 

 Врач и рентгенолаборант находятся в соседнем помещении за стеклянной перегородкой. В аппарат вмонтировано переговорное устройство для связи с врачом. Кроме того, вызвать персонал можно, нажав на специальное сигнальное устройство.

Противопоказания для проведения КТ таза с контрастом

Свернуть/развернуть

Компьютерная томография не проводится во время беременности на любом сроке, так как рентгеновское излучение, которое предусмотрено методикой КТ, оказывает вредное воздействие на плод.

Также в наших центрах невозможно выполнить КТ пациентам с массой тела, превышающей 120 кг (подвижные части томографов имеют ограничения по весу).

Противопоказания для введения йодсодержащих контрастных препаратов:

  • наличие в анамнезе аллергических реакций на йодсодержащие контрастные препараты; 
  • имеющиеся заболевания почек с выраженным снижением функции почек;
  • при застойной сердечной недостаточности;
  • при некоторых заболеваниях щитовидной железы (гипертиреоз, тиреотоксикоз);
  • в случае тяжелого течения бронхиальной астмы;
  • при декомпенсированном сахарном диабете.

 

Что показывает КТ таза с контрастом

Свернуть/развернуть
  • миома матки, 
  • злокачественные новообразования матки 
  • образования яичников (кисты, рак, аденомы и прочее)
  • кисты яичников, 
  • патология костей таза, 
  • рак и прочие образования простаты, 
  • неоднородную структуру простаты, 
  • образования семенников, 
  • образования клетчатки малого таза, 
  • парапроктит, 
  • образования прямой кишки и мочевого пузыря, 
  • патологии копчика и околокопчиковой области.
  • лимфаденопатия

Запишитесь на КТ таза с контрастом по удобному адресу

Записаться
Фильтр по услугам КТ с контрастом

Введение контраста

С контрастом Без контраста

Станция метро

Площадь Восстания Проспект Просвещения Нарвская Рыбацкое Девяткино Гражданский проспект Академическая Политехническая Площадь Мужества Лесная Выборгская Площадь Ленина Чернышевская Владимирская Пушкинская Технологический институт Балтийская Кировский завод Автово Ленинский проспект Проспект Ветеранов Парнас Озерки Удельная Пионерская Чёрная речка Петроградская Горьковская Невский проспект Сенная площадь Фрунзенская Московские ворота Электросила Парк Победы Московская Звёздная Купчино Беговая Зенит Приморская Василеостровская Гостиный двор Маяковская Площадь Александра Невского Елизаровская Ломоносовская Пролетарская Обухово Спасская Достоевская Лиговский проспект Площадь Александра Невского Новочеркасская Ладожская Проспект Большевиков Улица Дыбенко Комендантский проспект Старая Деревня Крестовский остров Чкаловская Спортивная Адмиралтейская Садовая Звенигородская Обводный канал Волковская Бухарестская Международная Проспект Славы Дунайская Шушары Богатырская Каменка Театральная Горный институт Путиловская Юго-Западная Кудрово Шуваловский проспект Каретная Боровая Заставская Броневая

Возраст пациента

Взрослому Ребенку от 15 лет

Пол пациента

Мужчине Женщине

Программы страхования

ДМС Платно ОМС

Цены

Услуги, соответствующие запросу, не найдены.

КТ головного мозга с контрастом
руб
От 6 400 руб
КТ околоносовых пазух с контрастом
руб
От 6 400 руб
КТ орбит с контрастом
руб
От 6 400 руб
КТ носоглотки с контрастом
руб
От 6 400 руб
КТ щитовидной железы с контрастом
руб
От 6 400 руб
КТ лимфатических узлов с контрастом
руб
От 6 400 руб
КТ гортани с контрастом
руб
От 6 400 руб
КТ шеи с контрастом
руб
От 6 600 руб
КТ легких с контрастом
руб
От 6 400 руб
КТ почек с контрастом
руб
От 6 400 руб
КТ печени с контрастом
руб
От 6 400 руб
КТ селезенки с контрастом
руб
От 6 400 руб
КТ поджелудочной железы с контрастом
руб
От 6 400 руб
КТ надпочечников с контрастом
руб
От 6 400 руб
КТ мочевого пузыря с контрастом
руб
От 6 400 руб
КТ одной анатомической зоны с контрастом
руб
От 6 400 руб
КТ брюшной полости и забрюшинного пространства с контрастом
руб
От 6 400 руб
КТ таза с контрастом
руб
От 6 400 руб
КТ верхней конечности с контрастом
руб
От 6 400 руб
КТ нижних конечностей с контрастом
руб
От 7 500 руб
от бифуркации аорты до коленного сустава
руб
От 7 500 руб
от бифуркации аорты до стопы
руб
От 9 500 руб
Контраст 100 мл (до 100 кг)
руб
3 500 руб
Контраст 150 мл (от 100 кг до 120 кг)
руб
4 500 руб

Адреса диагностических центров "Доступная Медицина"

Преимущества наших диагностических центров

Доступные цены

Приемлемые цены
на все услуги

Качественный сервис

Контроль качества
оказываемых услуг

Лучшие специалисты

Высококвалифицированные врачи

Новейшее оборудование

Современные томографы с высочайшим качеством визуализации

Близость к метро

Мы находимся в непосредственной близости от метро и остановок общественного транспорта

Лицензии

Современные томографы с высочайшим качеством визуализации

Назад
Вперед
Ключникова Екатерина Игоревна
Информация проверена главным врачом клиники Domedica24
Ключникова Екатерина Игоревна
Стаж более 8 лет, главный врач, врач-рентгенолог 1 категории
Площадь Стачек, 9">
ул. 1-я Советская, 8">