МРТ поджелудочной железы в СПБ
- Длительность выполнения 40 минут
- Срок получения результата В течение дня
- Введение контраста Нет
- Ограничения по весу 120 кг
- Ограничения по возрасту От 15 лет
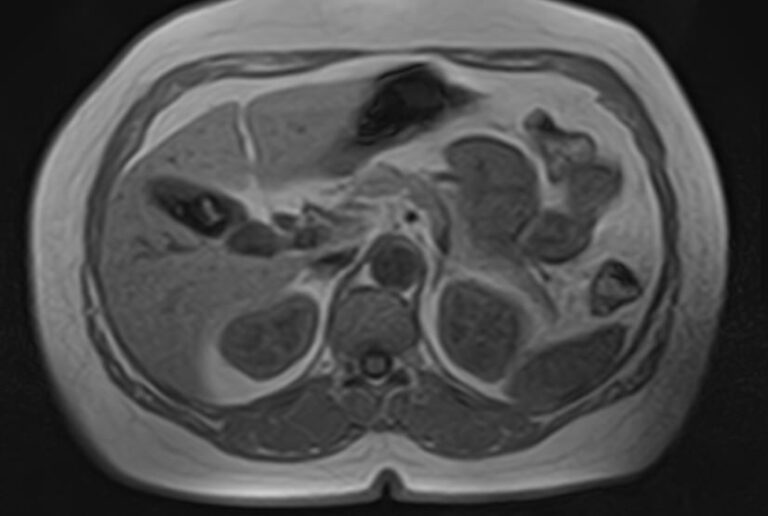
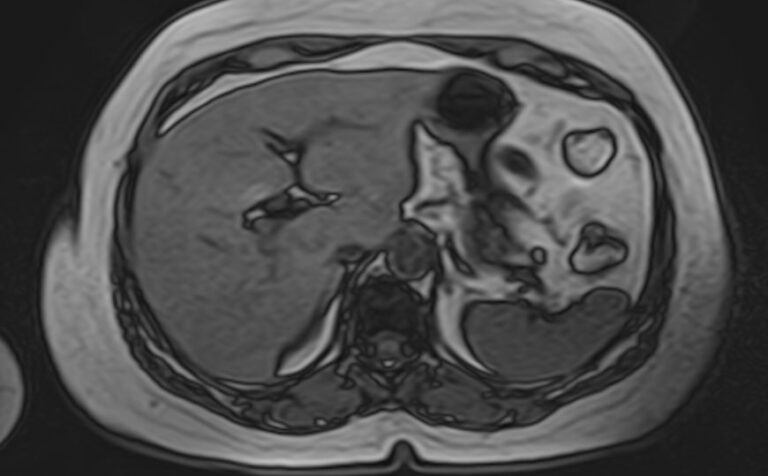
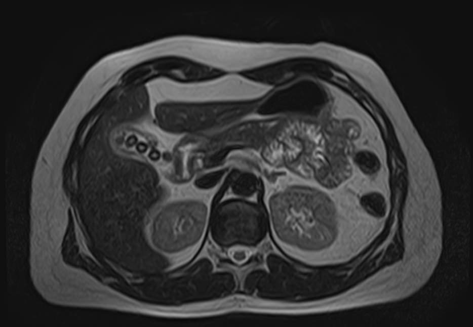
Современным методом обследования для диагностики заболеваний поджелудочной железы является магнитно-резонансная томография. В клинике «Доступная медицина» МРТ поджелудочной железы проводится на новейшем высокопольном томографе экспертного уровня TOSHIBA VANTAGE TITAN 1,5 Тесла, который позволяет получать послойные изображения исследуемой зоны с высокой степенью разрешения. Для лучшей визуализации и выявления минимальных изменений в органе применяется контрастное усиление путем внутривенного введения гадолиниевого контрастного препарата (Магневист, Гадовист, Омнискан и др).
С помощью компьютерного моделирования аппарат создает объемные изображения превосходного качества. Возможности аппарата позволяют поставить точный и достоверный диагноз, что дает возможность выявлять заболевания на ранних стадиях и назначать своевременное лечение.
- Цель проведения обследования
- Когда нужно сделать МРТ поджелудочной железы, показания
- Подготовка к МРТ поджелудочной железы
- Когда противопоказано МРТ поджелудочной железы
Цель проведения обследования
В процессе МРТ поджелудочной железы получают серию снимков органа, по которым можно оценить следующие параметры:
- топографию железы;
- форму;
- взаимоотношение с окружающими структурами;
- четкость контуров;
- целостность капсулы;
- структуру паренхимы;
- проходимость протоков.
МР-томография выступает уточняющим методом диагностики при сомнительных результатах УЗИ. Процедура позволяет определить характер, локализацию и масштабы патологического процесса.
Метод применяют при подозрении на онкологический процесс для первичной дифференциации доброкачественных и злокачественных опухолей. Подробные сведения об анатомии поджелудочной железы позволяют исключить осложнения панкреатита. МРТ также применяется для подготовки к хирургическим операциям и контроля результативности лечения.
Когда нужно сделать МРТ поджелудочной железы, показания
Детальные сведения о состоянии органа могут потребоваться при наличии следующих симптомов:
- боли в области левого подреберья, особенно опоясывающего характера;
- дискомфорт в животе после употребления пищи или алкогольных напитков;
- нарушение пищеварения (тяжесть, тошнота после еды, метеоризм и пр.);
- нестабильность стула;
- непереваренные компоненты пищи в кале.
- симптомы, дающие лечащему врачу основания подозревать поражение поджелудочной железы,
- воспалительные, дистрофические процессы,
- врождённая аномалия и пороки развития органа,
- травматические повреждения,
- наличие объёмных процессов неопухолевой природы (кист, абсцессов, гематом),
- контроль проводимого лечения (в том числе послеоперационный) или подготовка к операции.
Подготовка к МРТ поджелудочной железы
Чтобы исключить вероятность получения ошибочных данных, к данному исследованию требуется заранее подготовиться.
За три дня до исследования мы рекомендуем исключить из рациона пищу, повышающую газообразование (сладкое, мучное, жирное, бобовые, газированные напитки, капусту) и принимать «Эспумизан» по 2 капсулы 3 раза в день (если есть проблемы с газообразованием!). В день исследования «Эспумизан» принимать не нужно.
За 3-4 часа до исследования необходимо отказаться от приема пищи.
За 30-40 минут до исследования необходимо выпить 2 таблетки «Но-шпы» для снижения перистальтики кишечника.
Необходимо принести с собой медицинскую документацию, относящуюся к зоне исследования:
- направление от лечащего врача;
- выписки из амбулаторных карт и стационаров;
- результаты предыдущих исследований (МР-снимки, CD/DVD диски, результаты УЗИ, снимки КТ).
Также нужно принести справку из медучреждения, где были установлены имплантаты или протезы, о том, что они совместимы с МРТ (если имеются такие протезы). Врач-рентгенолог проанализирует их расположение по отношению к зоне исследования и примет решение о возможности проведения МРТ, либо предложит другой способ визуализации.
Если запланировано применение контраста, то пациентам с подозрением на снижение функции почек необходимо предоставить анализ крови с контролем уровня креатинина. Анализ действителен в течение 14 дней до исследования.
Для введения контраста в локтевую вену предварительно устанавливается венозный катетер. Поступление контраста в кровоток может сопровождаться в течение нескольких минут ощущением теплоты во всем теле, появлением металлического привкуса во рту, в дальнейшем этот дискомфорт полностью исчезает. После окончания процедуры контраст выводится из организма в течение суток. Поэтому кормящие женщины в течение следующих 24-48 часов после исследования должны приостановить грудное кормление, молоко при этом сцеживать и выливать.
Непосредственно перед процедурой нужно убрать все электронные устройства, мобильные телефоны, пластиковые карты и металлические предметы (украшения, пирсинг, одежду с металлической фурнитурой).
Пациент укладывается на подвижный стол томографа на спину. В течение всего периода исследования необходимо не двигаться для получения качественных результатов.
Врач и рентгенолаборант находятся в соседнем помещении за стеклянной перегородкой. В аппарат вмонтировано переговорное устройство, вызвать персонал можно, нажав на специальное сигнальное устройство. По желанию пациента разрешается присутствие родственника или близкого человека при проведении процедуры.
Когда противопоказано МРТ поджелудочной железы
- при наличии в теле пациента имплантированных ферромагнитных медицинских изделий (пластин, штифтов, спиц, винтов, сосудистых клипс, скоб, ортодонтических конструкций) или инородных металлических предметов (частицы металлической стружки, пули, дробь, осколки, пирсинг, который нельзя удалить и пр.);
- если имеются вживленные электронные устройства (дефибрилляторы, кардиостимуляторы, водители ритма, имплантаты внутреннего уха);
- если пациент страдает клаустрофобией, то есть испытывает панические атаки в закрытом помещении;
- не рекомендуется проводить МРТ беременным женщинам сроком до 13 недель (в это время необходимо исключить любое неблагоприятное воздействие на плод);
- избыточный вес пациента, превышающий 120 кг, является препятствием для проведения МРТ (ограничение по весу определяется техническими характеристиками томографа);
- противопоказано введение контраста на любом сроке беременности, при наличии в анамнезе аллергических реакций на контрастное вещество, при хронической почечной недостаточности.
Запишитесь на МРТ поджелудочной железы по удобному адресу
ЗаписатьсяСтанция метро
Площадь Восстания Нарвская Проспект Просвещения Рыбацкое Девяткино Гражданский проспект Академическая Политехническая Площадь Мужества Лесная Выборгская Площадь Ленина Чернышевская Владимирская Пушкинская Технологический институт Балтийская Кировский завод Автово Ленинский проспект Проспект Ветеранов Парнас Озерки Удельная Пионерская Чёрная речка Петроградская Горьковская Невский проспект Сенная площадь Фрунзенская Московские ворота Электросила Парк Победы Московская Звёздная Купчино Беговая Зенит Приморская Василеостровская Гостиный двор Маяковская Площадь Александра Невского Елизаровская Ломоносовская Пролетарская Обухово Спасская Достоевская Лиговский проспект Площадь Александра Невского Новочеркасская Ладожская Проспект Большевиков Улица Дыбенко Комендантский проспект Старая Деревня Крестовский остров Чкаловская Спортивная Адмиралтейская Садовая Звенигородская Обводный канал Волковская Бухарестская Международная Проспект Славы Дунайская Шушары Богатырская Каменка Театральная Горный институт Путиловская Юго-Западная Кудрово Шуваловский проспект Каретная Боровая Заставская БроневаяРайон
Центральный Кировский Выборгский Невский Адмиралтейский Василеостровский Калининский Колпинский Красногвардейский Красносельский Кронштадтский Курортный Московский Петроградский Петродворцовый Приморский Пушкинский ФрунзенскийГород
Санкт-Петербург Бокситогорск Бугры Волосово Волхов Всеволожск Выборг Высоцк Гатчина Ивангород Каменногорск Кингисепп Кириши Кировск Колтуши Коммунар Кудрово Лодейное Поле Луга Любань Мурино Никольское Новая Ладога Отрадное Пикалёво Подпорожье Приморск Приозерск Светогорск Сертолово Сланцы Сосновый Бор Сясьстрой Тельмана Тихвин Тосно ШлиссельбургЦены
Услуги, соответствующие запросу, не найдены.
Адреса диагностических центров "Доступная Медицина"
Преимущества наших диагностических центров
Доступные цены
Приемлемые цены
на все услуги
Качественный сервис
Контроль качества
оказываемых услуг
Лучшие специалисты
Высококвалифицированные врачи
Новейшее оборудование
Современные томографы с высочайшим качеством визуализации
Близость к метро
Мы находимся в непосредственной близости от метро и остановок общественного транспорта
Наше оборудование
МРТ-специалисты
Лицензии
Современные томографы с высочайшим качеством визуализации
Статьи наших врачей