Назад МРТ гипофиза в СПБ

от
7 600
/
По акции в Рыбацком
6 200
руб
Записаться на прием
от 7 600 руб
По акции в Рыбацком
6 200 руб
Записаться
  • Длительность выполнения 40 минут
  • Срок получения результата В течение 24 часов
  • Введение контраста да
  • Ограничения по весу 120 кг
  • Ограничения по возрасту От 15 лет
Воспроизвести
Описание

МРТ гипофиза назначают при отсутствии других жалоб и симптомов, если у пациента выявлены изменения уровней гормонов в результате лабораторных исследований. МРТ гипофиза может потребоваться для диагностики причин вторичных эндокринных нарушений.

Показания к МРТ гипофиза

Свернуть/развернуть

Признаками патологии гипофиза могут быть следующие симптомы:

  • сбои менструального цикла у женщин;
  • уменьшение мышечной массы;
  • увеличение груди у мужчин;
  • эректильная дисфункция неясного происхождения;
  • выделения из сосков у мужчин/женщин;
  • нарушение роста и развития в детском возрасте;
  • прибавка в весе;
  • признаки несахарного диабета (жажда, частое мочеиспускание и др.);
  • нарушение сна, апатия, раздражительность;
  • отеки;
  • ухудшение состояния волос, кожи и ногтей;
  • пониженное артериальное давление;
  • рецидивирующие головные боли;
  • нарушения зрения;
  • бесплодие у мужчин и женщин.

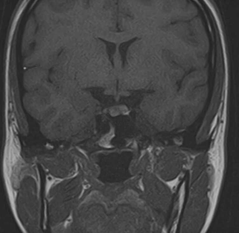
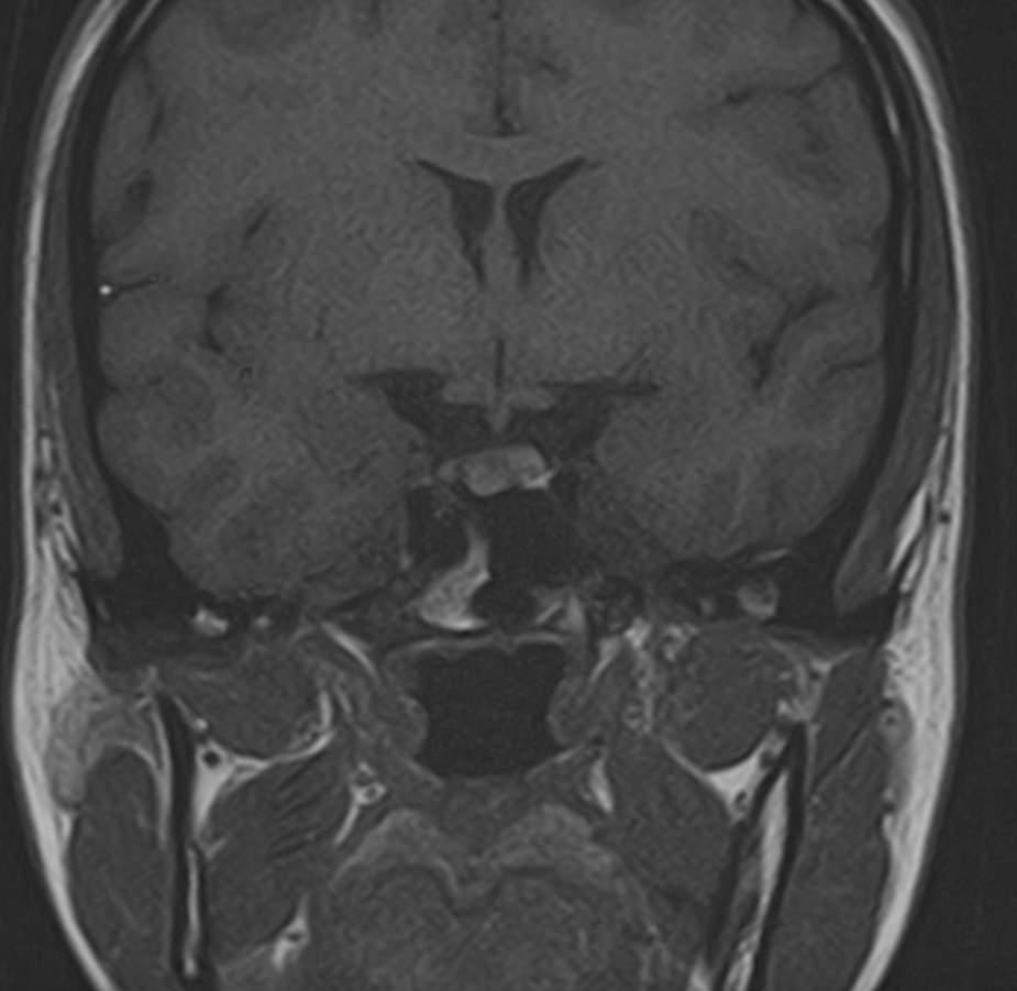
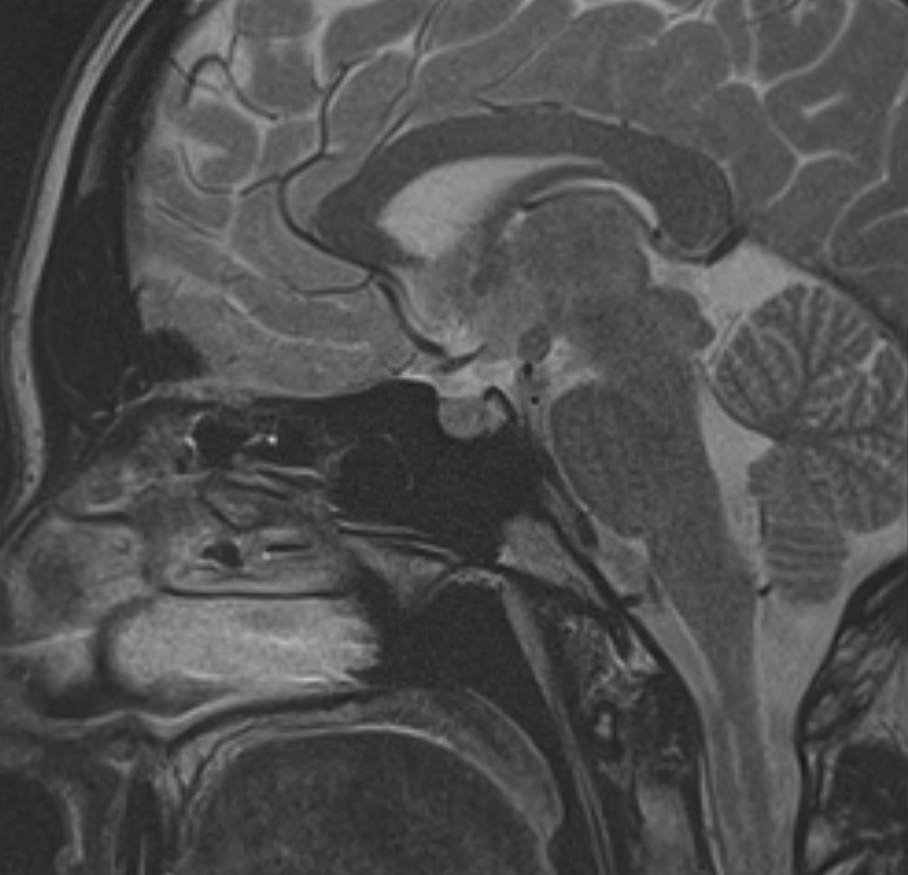
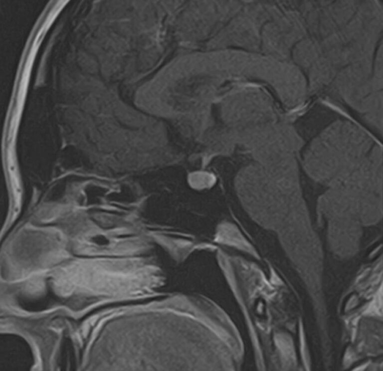
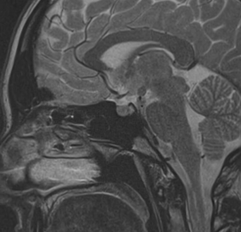
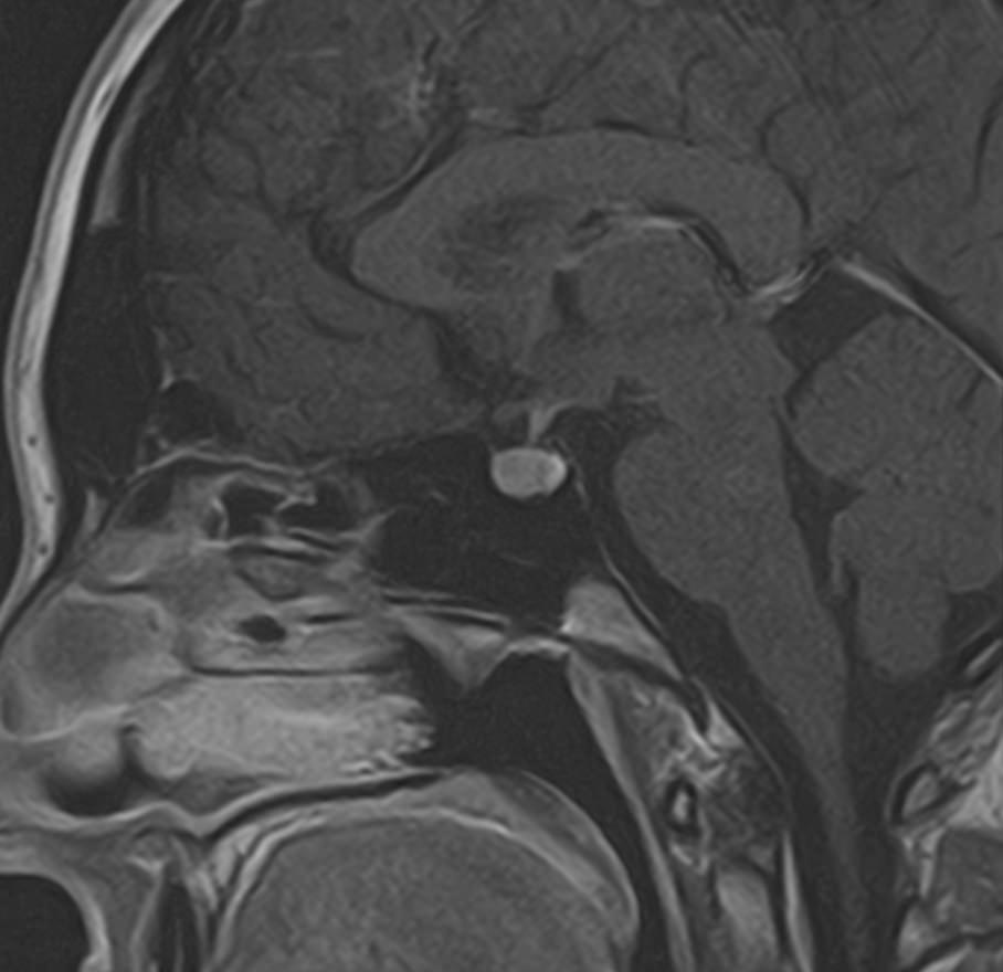
МРТ гипофиза – современный, безопасный, безболезненный и высокоинформативный метод исследования мягкотканных структур головного мозга, который с высокой точностью показывает малейшие отклонения от нормы в их строении, особенностях кровоснабжения.

Поскольку гипофиз имеет очень маленькие размеры и расположен в глубине головы, досконально изучить его структуру можно только с помощью МРТ. Ни один другой из существующих методов визуализации не способен дать настолько четкие изображения и данные о состоянии гипофиза. Расшифровка результатов выполняется рентгенологом.

С помощью МРТ гипофиза можно создать его трехмерное изображение с высокой степенью детализации. Это позволяет обнаружить патологические изменения на самых ранних этапах, начиная от аномалий развития, сосудистых нарушений, воспалительных процессов и заканчивая опухолями разной природы.

МРТ гипофиза выполняется в нашей клинике выполняеется только с контрастным усилением, что повышает четкость получаемых изображений, а по особенностям распределения контрастного препарата в тканях можно с высокой точностью не только обнаружить доброкачественные и злокачественные опухоли, но и исследовать их локализацию, структуру, определить границы и заметить метастазы.

Чаще всего исследование проводится для диагностирования аденомы гипофиза и определения ее величины: микроаденомы (до 10 мм), макроаденомы (10—30 мм) и гигантской аденомы (более 30 мм). Также с его помощью обнаруживается неоднородностьструктуры, асимметрия границ, изменения положения воронки гипофиза и ее строения, а также деформации окружающих костных тканей.

Подготовка к МРТ гипофиза

Свернуть/развернуть

Для проведения МРТ гипофиза специальная подготовка не нужна.

Необходимо принести с собой медицинскую документацию, относящуюся к зоне исследования:

  • направление от лечащего врача;
  • выписки из амбулаторных карт и стационаров;
  • результаты предыдущих исследований (МР-снимки, СD/DVD диски, снимки КТ).

При подозрении на наличие почечной недостаточности необходимо предоставить показатели уровня креатинина крови (анализ крови действителен в течение 14 дней).   

Перед проведением исследования нужно проинформировать врача о наличии аллергических реакций, почечных заболеваниях, возможной беременности, имплантированных протезах и устройствах, наличии металлических инородных тел.

В соседнем помещении нужно снять с себя все украшения, одежду с металлическими элементами, электронные гаджеты, удалить металлизированный макияж.

Пациент располагается на выдвижном столе томографа лежа на спине. Во время исследования нужно сохранять неподвижность, это требуется для исключения размытости снимков. С этой же целью голова дополнительно фиксируется в специальном креплении. 

Контраст вводится внутривенно непосредственно во время проведения сканирования. При введении может быть ощущение тепла или холода в теле, которое проходит через 1-2 минуты. 

В течение суток контраст полностью выводится из организма. Кормящим матерям следует прервать грудное вскармливание на 24-48 часов после исследования с контрастом, молоко сцеживать и выливать.

Противопоказания к МРТ гипофиза

Свернуть/развернуть
  • Из-за особенностей взаимодействия магнитного поля томографа с металлами и магнитами исследование нельзя проводить при наличии у пациента ферромагнитных имплантатов (винтов, штифтов, спиц, пластин, ортодонтических конструкций, брекет-систем, сосудистых скоб и клипс, стентов, кава-фильтров), а также металлических осколков, дроби, неснимаемого пирсинга, металлизированных татуировок. Ферромагнетики под воздействием магнитного поля томографа могут разогреваться, вибрировать, смещаться, вызывая ожоги, травматизацию и нарушая целостность тканей. Если имеются имплантаты из пара- и диамагнетиков (например, алюминий, титан), необходимо предоставить справку о материалах, из которых изготовлено изделие. Такие сведения можно получить в учреждении, где имплантат был установлен. Врач-рентгенолог проанализирует расположение протеза по отношению к исследуемой области и примет решение о возможности проведения МРТ гипофиза, либо предложит другой способ визуализации.
  • Невозможно выполнить МРТ гипофиза при наличии у пациента имплантированных электронных устройств, так как под воздействием индукции магнитного поля томографа могут быть сбои в их работе. Сюда относятся кардиостимуляторы, водители ритма, кардиовертеры-дефибрилляторы, улитковые имплантаты, нейростимуляторы.
  • Аллергические реакции на контрастное вещество на основе гадолиния.
  • Нарушение функции почек (снижение скорости клубочковой фильтрации, повышение уровня мочевины и креатинина) является противопоказанием для внутривенного введения контраста на основе гадолиния.
  • В первом триместре беременности нежелательно проводить МРТ, чтобы исключить любое неблагоприятное воздействие на развивающиеся органы плода. 
  • Введение контраста противопоказано на любом сроке беременности.
  • Клаустрофобия может быть препятствием для выполнения МРТ гипофиза. Однако истинная клаустрофобия встречается достаточно редко, чаще бывает, что страхи преувеличены. В случае волнения и тревожности можно использовать седативные средства, также допускается присутствие сопровождающего во время исследования. 
  • Вес пациента, превышающий 120 кг (ограничение по весу выдвижного стола томографа).

Запишитесь на МРТ гипофиза по удобному адресу

Записаться
Фильтр по услугам МРТ головы

Введение контраста

С контрастом Без контраста

Станция метро

Площадь Восстания Нарвская Проспект Просвещения Рыбацкое Девяткино Гражданский проспект Академическая Политехническая Площадь Мужества Лесная Выборгская Площадь Ленина Чернышевская Владимирская Пушкинская Технологический институт Балтийская Кировский завод Автово Ленинский проспект Проспект Ветеранов Парнас Озерки Удельная Пионерская Чёрная речка Петроградская Горьковская Невский проспект Сенная площадь Фрунзенская Московские ворота Электросила Парк Победы Московская Звёздная Купчино Беговая Зенит Приморская Василеостровская Гостиный двор Маяковская Площадь Александра Невского Елизаровская Ломоносовская Пролетарская Обухово Спасская Достоевская Лиговский проспект Площадь Александра Невского Новочеркасская Ладожская Проспект Большевиков Улица Дыбенко Комендантский проспект Старая Деревня Крестовский остров Чкаловская Спортивная Адмиралтейская Садовая Звенигородская Обводный канал Волковская Бухарестская Международная Проспект Славы Дунайская Шушары Богатырская Каменка Театральная Горный институт Путиловская Юго-Западная Кудрово Шуваловский проспект Каретная Боровая Заставская Броневая

Возраст пациента

Взрослому Ребенку от 15 лет

Пол пациента

Мужчине Женщине

Тип аппарата

Открытый Закрытый

Мощность МРТ

1.5 Тл 3 Тесла

Программы страхования

ДМС Платно ОМС

Цены

Услуги, соответствующие запросу, не найдены.

МРТ головного мозга
руб
4 600 / 3 200 руб
Подробнее
МР-ангиография головного мозга
руб
4 600 / 3 200 руб
Подробнее
МР-венография головного мозга
руб
4 600 / 3 200 руб
Подробнее
МРТ черепно-мозговых нервов
руб
4 600 / 3 200 руб
Подробнее
МРТ головного мозга и МР-ангиография головного мозга
руб
7 600 / 6 200 руб
Подробнее
МРТ головного мозга и МР-венография головного мозга
руб
7 600 / 6 200 руб
Подробнее
МРТ гипофиза
руб
От 7 600 / 6 200 руб
Подробнее
МРТ орбит
руб
4 600 / 3 200 руб
Подробнее
МРТ придаточных пазух носа
руб
4 600 / 3 200 руб
Подробнее
МРТ внутреннего уха
руб
5 400 / 4 000 руб
Подробнее
МРТ головного мозга и гипофиза
руб
От 11 300 / 9 200 руб
Подробнее
МРТ головного мозга+мосто-мозжечкового угла
руб
7 600 / 6 600 руб
Подробнее
МРТ головного мозга + МРТ орбит
руб
7 600 / 6 200 руб
Подробнее
МРТ головного мозга + черепно-мозговые нервы
руб
7 600 / 6 600 руб
Подробнее

Адреса диагностических центров "Доступная Медицина"

Преимущества наших диагностических центров

Доступные цены

Приемлемые цены
на все услуги

Качественный сервис

Контроль качества
оказываемых услуг

Лучшие специалисты

Высококвалифицированные врачи

Новейшее оборудование

Современные томографы с высочайшим качеством визуализации

Близость к метро

Мы находимся в непосредственной близости от метро и остановок общественного транспорта

Лицензии

Современные томографы с высочайшим качеством визуализации

Назад
Вперед
Ключникова Екатерина Игоревна
Информация проверена главным врачом клиники Domedica24
Ключникова Екатерина Игоревна
Стаж более 8 лет, главный врач, врач-рентгенолог 1 категории
Площадь Стачек, 9">
ул. 1-я Советская, 8">