МР-ангиография головного мозга и МР-венография головного мозга в СПБ
- Срок получения результата В течение дня
- Ограничения по весу 120 кг
Магнитно-резонансная томография является современным высокоточным неинвазивным методом обследования сосудистой системы головного мозга. Высокая информативность, отсутствие вредного рентгеновского излучения, достаточная быстрота и доступная цена исследования являются основными преимуществами данной методики.
В нашей клинике возможно провести комплексное исследование, при котором проводится одновременно МР-ангиография и МР-венография сосудов головного мозга. Исследование проводится на современном томографе TOSHIBA VANTAGE TITAN 1,5 Тесла, который является аппаратом с высокой разрешающей способностью и используется для точной диагностики заболеваний центральной нервной системы.
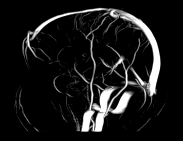
Магнитно-резонансная ангиография артериальной и венозной систем головного мозга позволяет получить трехмерное изображение сосудистой системы, кровоснабжающей центральную нервную систему, оценить анатомическое строение артерий и вен головного мозга и функциональные особенности кровотока.
С помощью внешнего магнитного поля томограф послойно сканирует структуры головного мозга, затем посредством компьютерных программ преобразует полученные данные в трехмерное изображение. При этом на снимке видна только сосудистая система без окружающих тканей. Таким образом, сканирование в режиме ангиографии позволяет визуализировать артерии и вены головного мозга без контрастирования.
- Когда показано проведение МР-ангиографии головного мозга и МР-венографии головного мозга
- Что покажет МР-ангиография головного мозга и МР-венография головного мозга
- Какая нужна подготовка к МР-ангиографии головного мозга и МР-венографии головного мозга
- В каких случаях противопоказана МР-ангиография головного мозга и МР-венография
Когда показано проведение МР-ангиографии головного мозга и МР-венографии головного мозга
Иногда пациентов в течение длительного времени беспокоят различные жалобы со стороны нервной системы, но часто сосудистые патологии головного мозга протекают бессимптомно. Так например, аневризмы (локальные расширения сосудов) или артериовенозные мальформации (состояние, при котором между артериями и венами появляются извитые шунтирующие сосуды) могут проявиться только после разрыва стенки сосуда с развитием геморрагического инсульта, ведущего к инвалидизации или летальному исходу. Лишь своевременное выявление патологических процессов в сосудах головного мозга может предотвратить развитие таких угрожающих жизни состояний.
Комплексное исследование МР- ангиография и МР-венография головного мозга рекомендуется при следующих симптомах:
- частые головные боли, изменение характера и частоты возникновения головных болей;
- головокружение, шум в ушах, нарушения координации;
- выраженное ухудшение памяти, снижение внимания, расстройства психики;
- эпизоды потери сознания, обмороки, эпилептические припадки;
- онемение и слабость в конечностях;
- нарушения речи, выраженное снижение слуха, зрения;
- подозрение на аномалии развития, аневризму сосудов головного мозга.
Что покажет МР-ангиография головного мозга и МР-венография головного мозга
Исследование позволяет выявить участки сужения или полную окклюзию (закупорку) внутричерепных сосудов, определить диаметр сосудов, оценить особенности ветвления артерий.
Также МР-ангиография показывает строение артерий и вен головного мозга, наличие или отсутствие соединений между ними, гипоплазию или аплазию артерий, наличие патологических расширений (аневризм), сосудистых мальформаций (патологических соустий между артериями и венами).
С помощью данного комплексного обследования можно диагностировать тромбозы вен головного мозга, синус-тромбозы, венозные ангиомы (мальформации), аномалии развития вен.
Какая нужна подготовка к МР-ангиографии головного мозга и МР-венографии головного мозга
Пациенту не требуется специально готовиться к исследованию.
Необходимо принести с собой медицинскую документацию, относящуюся к зоне исследования:
- направление от лечащего врача;
- выписки из амбулаторных карт и стационаров;
- результаты предыдущих исследований (МР-снимки, СD/DVD диски, снимки КТ).
Необходимо сообщить врачу о всех вживленных протезах и электронных устройствах, предоставить справки о материале, из которых они изготовлены (есть ряд металлов, относящихся к парамагнетикам, позволяющих проводить МРТ).
В соседнем помещении необходимо оставить все электронные гаджеты, украшения и одежду с металлическими предметами. Женщинам может быть предложено удалить макияж, так как он может содержать металлические частицы.
Во время нахождения в туннеле томографа необходимо лежать, не двигаясь, чтобы получить качественный результат.
Процедура полностью безболезненна, небольшой дискомфорт может доставлять громкий звук и постукивание прибора, что обусловлено технологией процесса. Чтобы уменьшить шум, можно воспользоваться берушами или наушниками. В руку пациенту дается сигнальное устройство в виде груши для связи с персоналом. В случае волнения или тревожности пациента перед процедурой возможно присутствие сопровождающего во время проведения исследования.
В каких случаях противопоказана МР-ангиография головного мозга и МР-венография
- при наличии в теле пациента ферромагнитных протезов (пластин, штифтов, спиц, винтов, сосудистых клипс, скоб, искусственных клапанов сердца, за исключением изготовленных из биополимерных материалов) или металлических предметов (дробь, осколки, пирсинг, который нельзя удалить и пр.);
- если присутствуют вживленные электронные устройства (кардиостимуляторы, водители ритма, кохлеарные имплантаты, инсулиновые помпы);
- пациент испытывает панические атаки в закрытом помещении (клаустрофобия);
- беременные женщины сроком до 13 недель (в это время необходимо исключить любое воздействие неблагоприятных факторов на плод);
- вес пациента, превышающий 120 кг, является препятствием для проведения МРТ (ограничение по весу определяется техническими характеристиками томографа).
В случае наличия противопоказаний для МР-ангиографии в клинике «Доступная медицина» можно пройти КТ сосудов головного мозга на новейшем компьютерном томографе с пониженной лучевой нагрузкой.
Запишитесь на МР-ангиография головного мозга и МР-венография головного мозга по удобному адресу
ЗаписатьсяСтанция метро
Площадь Восстания Нарвская Проспект Просвещения Рыбацкое Девяткино Гражданский проспект Академическая Политехническая Площадь Мужества Лесная Выборгская Площадь Ленина Чернышевская Владимирская Пушкинская Технологический институт Балтийская Кировский завод Автово Ленинский проспект Проспект Ветеранов Парнас Озерки Удельная Пионерская Чёрная речка Петроградская Горьковская Невский проспект Сенная площадь Фрунзенская Московские ворота Электросила Парк Победы Московская Звёздная Купчино Беговая Зенит Приморская Василеостровская Гостиный двор Маяковская Площадь Александра Невского Елизаровская Ломоносовская Пролетарская Обухово Спасская Достоевская Лиговский проспект Площадь Александра Невского Новочеркасская Ладожская Проспект Большевиков Улица Дыбенко Комендантский проспект Старая Деревня Крестовский остров Чкаловская Спортивная Адмиралтейская Садовая Звенигородская Обводный канал Волковская Бухарестская Международная Проспект Славы Дунайская Шушары Богатырская Каменка Театральная Горный институт Путиловская Юго-Западная Кудрово Шуваловский проспект Каретная Боровая Заставская БроневаяРайон
Центральный Кировский Выборгский Невский Адмиралтейский Василеостровский Калининский Колпинский Красногвардейский Красносельский Кронштадтский Курортный Московский Петроградский Петродворцовый Приморский Пушкинский ФрунзенскийГород
Санкт-Петербург Бокситогорск Бугры Волосово Волхов Всеволожск Выборг Высоцк Гатчина Ивангород Каменногорск Кингисепп Кириши Кировск Колтуши Коммунар Кудрово Лодейное Поле Луга Любань Мурино Никольское Новая Ладога Отрадное Пикалёво Подпорожье Приморск Приозерск Светогорск Сертолово Сланцы Сосновый Бор Сясьстрой Тельмана Тихвин Тосно ШлиссельбургЦены
Услуги, соответствующие запросу, не найдены.
Адреса диагностических центров "Доступная Медицина"
Преимущества наших диагностических центров
Доступные цены
Приемлемые цены
на все услуги
Качественный сервис
Контроль качества
оказываемых услуг
Лучшие специалисты
Высококвалифицированные врачи
Новейшее оборудование
Современные томографы с высочайшим качеством визуализации
Близость к метро
Мы находимся в непосредственной близости от метро и остановок общественного транспорта
Наше оборудование
МРТ-специалисты
Лицензии
Современные томографы с высочайшим качеством визуализации
Статьи наших врачей