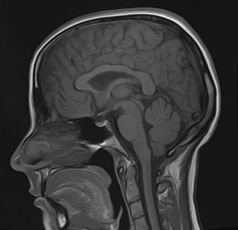
Назад МРТ головного мозга + шейного отдела позвоночника в СПБ

7 600
/
По акции в Рыбацком
6 200
руб
Записаться на прием
7 600 руб
По акции в Рыбацком
6 200 руб
Записаться
  • Срок получения результата В течение дня
  • Ограничения по весу 120 кг
Описание

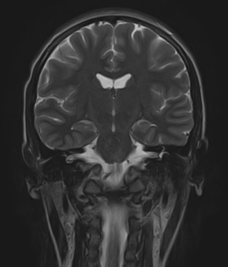
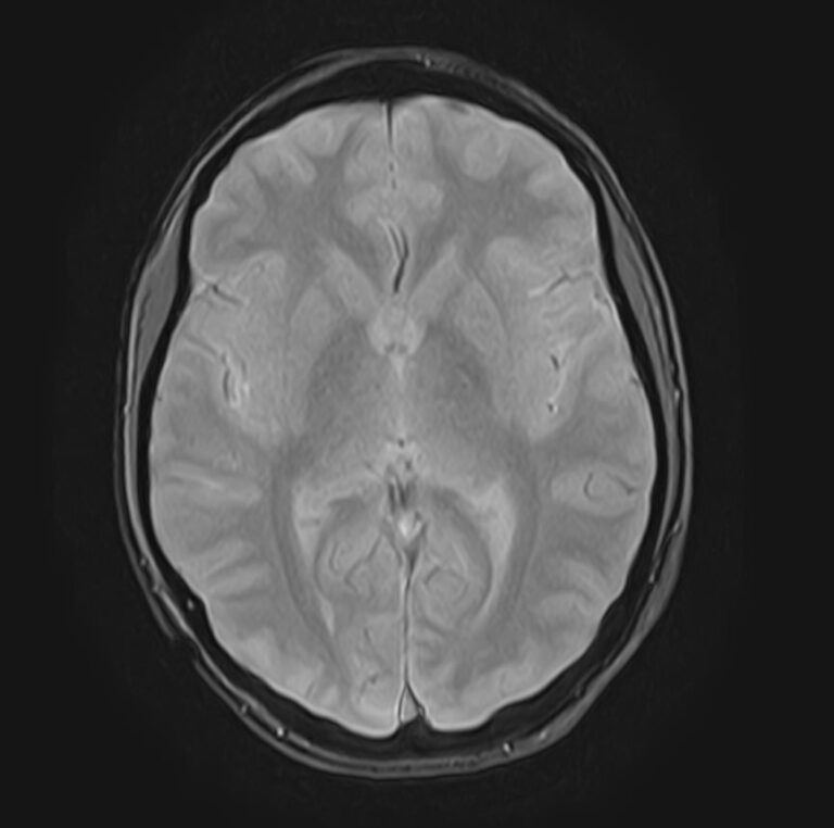
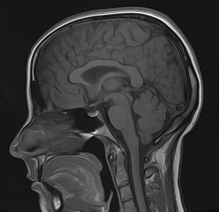
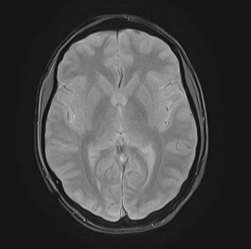
В клинике «Доступная медицина» можно пройти комплексное обследование, включающее в себя два протокола сканирования близко расположенных друг от друга анатомических областей – шейного отдела позвоночника и головного мозга. Метод комплексного обследования оценивает состояние всех структур головного мозга и самого верхнего сегмента позвоночного столба, который включает в себя 7 шейных позвонков, спинной мозг с отходящими от него нервными корешками и окружающими мягкими тканями.

 Шейный отдел позвоночника испытывает повышенные нагрузки, подвержен травмам и развитию различных заболеваний. При этом патологические процессы в шейном отделе позвоночника могут нарушать работу головного мозга. 

Так, например, опухоли и дегенеративно-дистрофические заболевания шейного отдела позвоночника могут привести к ухудшению кровоснабжения головного мозга и стать причиной появления различных неврологических симптомов. Поэтому бывает важно комплексно визуализировать эти анатомические структуры. Также при травмах головного мозга и шейного отдела позвоночника необходимо одномоментно оценить состояние этих анатомических областей, особенно в ходе предоперационной подготовки, а также в дальнейшем отслеживать динамику состояния структур в послеоперационном периоде и на фоне реабилитационных мероприятий.

Сканирование проводится на современном высокопольном магнитно-резонансном томографе закрытого типа TOSHIBA VANTAGE TITAN 1,5 Тесла. Магнитно-резонансный томограф производит послойное сканирование исследуемой зоны в разных плоскостях, затем при помощи компьютерных программ преобразует полученные данные в трехмерные изображения с высокой степенью детализации. 

МРТ является достаточно быстрым, точным, высокоинформативным, при этом неинвазивным и безопасным (отсутствует рентгеновское облучение) методом диагностики, что дает возможность выявлять патологические изменения на ранних стадиях и назначать своевременное лечение. 

Стандартная МРТ проводится без использования контрастных веществ. при подозрении на опухолевый процесс исследование проводится с внутривенным введением контраста, содержащего соли гадолиния (Омнискан, Магневист и др). Контрастное вещество попадает в кровоток и при сканировании МР-томографом измененные участки становятся лучше видимыми, что помогает в диагностике таких заболеваний, как рассеянный склероз, способствует выявлению опухолевых новообразований и некоторых сосудистых патологий.

Когда показано проведение МРТ головного мозга + шейного отдела позвоночника

Свернуть/развернуть

Комплексное исследование рекомендуется провести при следующих симптомах:

  • частые головные боли, изменение характера и частоты возникновения головных болей;
  • головокружение, шум в ушах, нарушения координации;
  • выраженное ухудшение памяти, снижение внимания, расстройства психики;
  • эпизоды потери сознания, обмороки, эпилептические припадки;
  • онемение и слабость в конечностях;
  • нарушения речи, выраженное снижение слуха, зрения;
  • подозрение на развитие опухоли головного мозга или шейного отдела позвоночника;
  • травмы головы и шейного отдела позвоночника;
  • нейродегенеративные заболевания, рассеянный склероз.

Что показывает МРТ головного мозга + шейного отдела позвоночника

Свернуть/развернуть

В рамках проведения данного комплексного исследования можно выявить:

  • очаги ишемического и геморрагического инсульта, область поражения, признаки отека головного мозга, стадию развития заболевания;
  • доброкачественные и злокачественные новообразования, их точную локализацию, стадию развития процесса, проводить динамическое наблюдение за опухолевым процессом на фоне лечения;
  • признаки демиелинизирующих заболеваний (рассеянный склероз), выявить очаги поражения миелиновой оболочки нервных волокон, определить стадию заболевания;
  • характерные признаки дегенеративных заболеваний головного мозга (болезнь Альцгеймера, старческая деменция, болезнь Паркинсона), определить изменения коры головного мозга и подкорковых структур;
  • поражение структур головного мозга на фоне травм, гематомы головного мозга;
  • изменения, характерные для психических расстройств различного генеза (эндогенных и экзогенных), после вирусных инфекций, черепно-мозговых травм, отравлений токсическими веществами, на фоне наследственных заболеваний;
  • остеохондроз, спондилоартроз, спондилез, межпозвонковые грыжи, унковертебральный артроз, сколиоз, усиленный или выпрямленный лордоз как нарушение статической функции позвоночника, травмы, аномалии позвоночника.

Какая нужна подготовка

Свернуть/развернуть

Пациенту не нужно специально готовиться к данному исследованию. 

Необходимо принести с собой медицинскую документацию, относящуюся к зоне исследования:

  • направление от лечащего врача;
  • выписки из амбулаторных карт и стационаров;
  • результаты предыдущих исследований (МР-снимки, СD/DVD диски, снимки КТ).

Необходимо сообщить врачу о всех вживленных протезах и электронных устройствах, а также о возможной беременности. Также нужно предоставить справки об имеющихся имплантатах, так как они могут быть изготовлены из материалов, позволяющих проводить МРТ. Если их расположение не создает помех для визуализации исследуемой зоны, врач-рентгенолог примет решение о возможности проведения МРТ.

Если планируется применение контрастирования, при подозрении на снижение функции почек необходимо исследование уровня креатинина крови не позднее, чем за 14 дней до исследования. 

Введение контраста производится внутривенно, непосредственно во время исследования. Поступление контраста в кровоток может сопровождаться в течение нескольких минут ощущением теплоты во всем теле, появлением неприятного привкуса во рту, в дальнейшем этот дискомфорт полностью исчезает. 

Контраст выводится из организма в течение последующих суток, поэтому кормящим матерям необходимо прервать грудное вскармливание на 24-48 часов после исследования, молоко сцеживать и выливать.

Непосредственно перед исследованием в соседнем помещении необходимо оставить все электронные гаджеты, украшения и одежду с металлическими предметами. Женщинам может быть предложено удалить макияж из-за того, что в нем могут быть металлические частицы.

Во время нахождения в туннеле томографа необходимо лежать, не двигаясь, чтобы получить качественный результат исследования. 

Процедура полностью безболезненна, небольшой дискомфорт может доставлять громкий звук работы прибора, что обусловлено технологией процесса. Чтобы уменьшить шум, можно воспользоваться берушами или наушниками. 

В руку пациенту дается сигнальное устройство в виде груши для связи с персоналом. Если пациент испытывает волнение или тревожность, возможно присутствие сопровождающего во время проведения исследования. 

при введении контраста мб неприятные ощущения

Когда противопоказана МРТ

Свернуть/развернуть
  • при наличии в теле пациента имплантированных ферромагнитных медицинских изделий (пластин, штифтов, спиц, винтов, сосудистых клипс, скоб, ортодонтических конструкций) или инородных металлических предметов (частицы металлической стружки, пули, дробь, осколки, пирсинг, который нельзя удалить и пр.);
  • если имеются вживленные электронные устройства (дефибрилляторы, кардиостимуляторы, водители ритма, имплантаты внутреннего уха);
  • если пациент страдает клаустрофобией, то есть испытывает панические атаки в закрытом помещении;
  • не рекомендуется проводить МРТ беременным женщинам сроком до 13 недель (в это время необходимо исключить любое неблагоприятное воздействие на плод);
  • вес пациента, превышающий 120 кг, является препятствием для проведения МРТ (ограничение по весу определяется техническими характеристиками томографа);
  • введение контраста противопоказано на любом сроке беременности, при наличии указаний в анамнезе на аллергические реакции на контрастное вещество, при нарушениях функции почек.

Запишитесь на МРТ головного мозга + шейного отдела позвоночника по удобному адресу

Записаться
Фильтр по услугам Комплексные исследования МРТ

Введение контраста

С контрастом Без контраста

Станция метро

Площадь Восстания Нарвская Проспект Просвещения Рыбацкое Девяткино Гражданский проспект Академическая Политехническая Площадь Мужества Лесная Выборгская Площадь Ленина Чернышевская Владимирская Пушкинская Технологический институт Балтийская Кировский завод Автово Ленинский проспект Проспект Ветеранов Парнас Озерки Удельная Пионерская Чёрная речка Петроградская Горьковская Невский проспект Сенная площадь Фрунзенская Московские ворота Электросила Парк Победы Московская Звёздная Купчино Беговая Зенит Приморская Василеостровская Гостиный двор Маяковская Площадь Александра Невского Елизаровская Ломоносовская Пролетарская Обухово Спасская Достоевская Лиговский проспект Площадь Александра Невского Новочеркасская Ладожская Проспект Большевиков Улица Дыбенко Комендантский проспект Старая Деревня Крестовский остров Чкаловская Спортивная Адмиралтейская Садовая Звенигородская Обводный канал Волковская Бухарестская Международная Проспект Славы Дунайская Шушары Богатырская Каменка Театральная Горный институт Путиловская Юго-Западная Кудрово Шуваловский проспект Каретная Боровая Заставская Броневая

Возраст пациента

Взрослому Ребенку от 15 лет

Пол пациента

Мужчине Женщине

Тип аппарата

Открытый Закрытый

Мощность МРТ

1.5 Тл 3 Тесла

Программы страхования

ДМС Платно ОМС

Цены

Услуги, соответствующие запросу, не найдены.

МР-скрининг всего тела
руб
14 200 руб
МРТ головного мозга + МР-ангиография головного мозга + МР-венография головного мозга
руб
10 400 / 9 000 руб
Подробнее
МРТ головного мозга + МР-ангиография головного мозга + МР-венография головного мозга + черепно-мозговые нервы
руб
13 400 / 12 200 руб
Подробнее
МРТ головного мозга + МРТ шейного отдела позвоночника + МР ангиография шеи
руб
10 400 / 9 000 руб
Подробнее
МРТ головного мозга + МР ангиография головного мозга + МРТ шейного отдела позвоночника
руб
10 400 / 9 000 руб
Подробнее
МРТ головного мозга + МР-ангиография головного мозга + 3 отдела позвоночника
руб
14 900 / 13 500 руб
Подробнее
МРТ головного мозга + МРТ шейного отдела позвоночника + МР-ангиография шеи и головного мозга
руб
13 400 / 12 200 руб
Подробнее
МРТ шейного отдела позвоночника + МР-ангиография шеи
руб
7 600 / 6 200 руб
Подробнее
МРТ головного мозга + МРТ орбит
руб
7 600 / 6 200 руб
Подробнее
МРТ головного мозга и гипофиза
руб
От 11 300 / 9 200 руб
Подробнее
МРТ головного мозга + черепно-мозговые нервы
руб
7 600 / 6 600 руб
Подробнее
МРТ головного мозга + шейного отдела позвоночника
руб
7 600 / 6 200 руб
Подробнее
МР-ангиография шеи и головного мозга
руб
7 600 / 6 200 руб
Подробнее
МРТ брюшной полости + МРТ забрюшинного пространства
руб
8 500 руб
МРТ брюшной полости+МР-холангиография
руб
9 600 / 8 600 руб
Подробнее
МРТ пояснично-крестцового отдела + копчик
руб
7 600 / 6 200 руб
Подробнее
МРТ пояснично-крестцового отдела позвоночника + МРТ крестцово-подвздошных сочленений
руб
7 600 / 6 200 руб
Подробнее
МРТ головного мозга, все отделы позвоночника
руб
13 400 / 12 200 руб
Подробнее
Комплексная МРТ позвоночника – 3 отдела
руб
10 600 / 9 200 руб
Подробнее
МРТ пояснично-крестцового отдела позвоночника + МРТ тазобедренных суставов
руб
8 300 / 6 900 руб
Подробнее
МРТ пояснично-крестцового отдела позвоночника + МРТ коленного сустава
руб
8 300 / 6 900 руб
Подробнее
МРТ шейного отдела позвоночника + МРТ плечевого сустава
руб
8 300 / 6 900 руб
Подробнее
МРТ всего позвоночника – 3 отдела + копчик
руб
13 400 / 12 200 руб
Подробнее

Адреса диагностических центров "Доступная Медицина"

Преимущества наших диагностических центров

Доступные цены

Приемлемые цены
на все услуги

Качественный сервис

Контроль качества
оказываемых услуг

Лучшие специалисты

Высококвалифицированные врачи

Новейшее оборудование

Современные томографы с высочайшим качеством визуализации

Близость к метро

Мы находимся в непосредственной близости от метро и остановок общественного транспорта

Лицензии

Современные томографы с высочайшим качеством визуализации

Назад
Вперед
Ключникова Екатерина Игоревна
Информация проверена главным врачом клиники Domedica24
Ключникова Екатерина Игоревна
Стаж более 8 лет, главный врач, врач-рентгенолог 1 категории
Площадь Стачек, 9">
ул. 1-я Советская, 8">