КТ гортани с функциональными пробами в СПБ
- Срок получения результата В течение дня
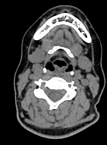
Гортань является частью дыхательного тракта и располагается между ротоглоткой и трахеей на границе верхних и нижних дыхательных путей. Хрящи гортани (перстневидный, щитовидной и черпаловидный) выполняют роль скелета гортани и обеспечивают защитную функцию.
В голосовой части гортани находятся голосовые складки, участвующие в образовании голоса и препятствующие аспирации (попаданию жидкости и пищи в дыхательные пути).
Голосовые складки часто подвержены воспалительным изменениям, травматическим повреждения и опухолевым процессам. Наиболее информативным способом оценки состояния гортани и голосового аппарата является мультиспиральная компьютерная томография гортани с функциональными пробами.
Функциональные пробы подразумевают проведение КТ гортани в трех режимах:
- Пациент делает небольшой вдох, при этом получается КТ- изображение голосовых складок в положении их наибольшего расхождения, что позволяет оценить степень их подвижности и ширину голосовой щели.
- Пациент произносит звук «и». Проба во время фонации позволяет оценить состояние голосовых складок в положении их наибольшего сближения.
- При необходимости проводится проба Вальсальвы (пациент делает глубокий вдох, зажимает нос и рот и делает выдох в носоглотку). Благодаря этому повышается давление в носоглотке и происходит раскрытие грушевидных синусов (пространства в боковых отделах гортани).
В ходе исследования хорошо визуализируются хрящевой каркас гортани, голосовые складки, голосовая щель, близлежащие органы и окружающие ткани. Помимо гортани на изображениях можно оценить состояние трахеи, носоглотки, щитовидной железы, шейных позвонков, сосудов, нервов и лимфоузлов.
КТ позволяет выявить воспалительные, дегенеративные, дистрофические, опухолевые процессы, оценить степень их распространенности, точную локализацию, взаимодействие с расположенными поблизости органами и тканями.
В нашей клинике исследование проводится на новейшем мультиспиральном компьютерном томографе последнего поколения TOSHIBA AQUILION CXL. Аппарат выполняет послойное сканирование исследуемой области с толщиной среза от 0,5 мм. При этом сканер одновременно производит 128 срезов, что позволяет проводить исследование за несколько секунд. Максимальное сокращение времени сканирования позволяет значительно снизить рентгеновское облучение пациента, при этом сверхчувствительные детекторы обеспечивают высокое качество изображений.
Кроме того, полученные снимки дают возможность воссоздать трехмерную модель анатомической области, включая гортань и близлежащие органы, оценить точную локализацию патологических структур, их размеры и степень воздействия на окружающие ткани.
Благодаря использованию современного высокотехнологичного оборудования мультиспиральная КТ гортани отличается высокой информативностью, достаточной безопасностью, кроме того, не доставляет болезненных ощущений и дискомфорта для пациента.
- Показания для КТ гортани с функциональными пробами
- Что покажет КТ гортани с функциональными пробами
- Подготовка к КТ гортани с функциональными пробами
- Противопоказания для проведения КТ гортани с функциональными пробами
Показания для КТ гортани с функциональными пробами
Данное исследование рекомендуется провести в следующих случаях:
- появление стойкой осиплости голоса (дисфония) или полная потеря голоса (афония);
- увеличение шейных лимфатических узлов, особенно в сочетании с осиплостью голоса;
- ощущение инородного тела в горле, болезненность в области гортани;
- затруднения при дыхании, нарушения глотания, першение в горле, сухой кашель;
- при травмах гортани и области шеи;
- при подозрении на опухолевые образования связочного аппарата гортани, над- и подсвязочных отделов гортани;
- при планировании хирургического лечения, для определения объема оперативного вмешательства, уточнение области облучения при прогнозировании лучевой терапии;
- для контроля и оценки эффективности хирургического и лучевого лечения по поводу опухолей гортани.
Что покажет КТ гортани с функциональными пробами
Исследование позволяет диагностировать следующие заболевания и патологические состояния гортани:
- воспалительные заболевания ротоглотки и гортани (острые и хронические ларингиты);
- доброкачественные опухоли – папилломы, фибромы, а также узелки, образующиеся при избыточной голосовой нагрузке;
- злокачественные опухоли;
- стенозы гортани после хирургического лечения, лучевой терапии;
- инородные тела гортани;
- повреждения гортани на фоне травм, ожогов кислотами, щелочами, средствами бытовой химии;
- аномалии развития гортани, хрящей гортани.
Подготовка к КТ гортани с функциональными пробами
Данное исследование проводится без использования контраста и не требует особой подготовки.
Для проведения точной диагностики бывает необходимо сравнить данные с предыдущими результатами обследований. Поэтому мы просим предоставить врачу-рентгенологу все документы, касающиеся зоны исследования. К таким документам относятся:
- Направление лечащего врача;
- Выписка из истории болезни или амбулаторной карты;
- Рентгеновские снимки, CD/DVD диски предыдущих КТ или МРТ-исследований мягких тканей шеи, лимфатических узлов, результаты УЗИ;
- Заключения профильных специалистов.
Исследование проводится лежа на спине на выдвижном столе томографа. По сравнению с магнитно-резонансными томографами отверстие компьютерного томографа широкое, вокруг пространство полностью открытое и свободное.
Врач-рентгенолог и рентгенолаборант находятся в соседнем помещении, отделенном от диагностического кабинета стеклянной перегородкой. Связь с медперсоналом осуществляется через переговорное устройство, встроенное в томограф. Врач наблюдает за состоянием пациента через окно и с помощью переговорного устройства просит пациента выполнить функциональные пробы.
Противопоказания для проведения КТ гортани с функциональными пробами
Метод компьютерной томографии основан на использовании рентгеновского излучения, поэтому может принести вред плоду во время внутриутробного развития. В связи с этим КТ запрещено проводить беременным женщинам в течение всего периода беременности.
Также в наших центрах невозможно выполнить КТ пациентам с массой тела, превышающей 120 кг (подвижная часть томографа имеет ограничения по весу).
Запишитесь на КТ гортани с функциональными пробами по удобному адресу
ЗаписатьсяСтанция метро
Площадь Восстания Проспект Просвещения Нарвская Рыбацкое Девяткино Гражданский проспект Академическая Политехническая Площадь Мужества Лесная Выборгская Площадь Ленина Чернышевская Владимирская Пушкинская Технологический институт Балтийская Кировский завод Автово Ленинский проспект Проспект Ветеранов Парнас Озерки Удельная Пионерская Чёрная речка Петроградская Горьковская Невский проспект Сенная площадь Фрунзенская Московские ворота Электросила Парк Победы Московская Звёздная Купчино Беговая Зенит Приморская Василеостровская Гостиный двор Маяковская Площадь Александра Невского Елизаровская Ломоносовская Пролетарская Обухово Спасская Достоевская Лиговский проспект Площадь Александра Невского Новочеркасская Ладожская Проспект Большевиков Улица Дыбенко Комендантский проспект Старая Деревня Крестовский остров Чкаловская Спортивная Адмиралтейская Садовая Звенигородская Обводный канал Волковская Бухарестская Международная Проспект Славы Дунайская Шушары Богатырская Каменка Театральная Горный институт Путиловская Юго-Западная Кудрово Шуваловский проспект Каретная Боровая Заставская БроневаяРайон
Центральный Выборгский Кировский Адмиралтейски Василеостровский Калининский Колпинский Красногвардейский Красносельски Кронштадтский Курортный Московский Невский Петроградский Петродворцовый Приморский Пушкинский ФрунзенскийГород
Санкт-Петербург Бокситогорск Бугры Волосово Волхов Всеволожск Выборг Высоцк Гатчина Ивангород Каменногорск Кингисепп Кириши Кировск Колтуши Коммунар Кудрово Лодейное Поле Луга Любань Мурино Никольское Новая Ладога Отрадное Пикалёво Подпорожье Приморск Приозерск Светогорск Сертолово Сланцы Сосновый Бор Сясьстрой Тельмана Тихвин Тосно ШлиссельбургЦены
Услуги, соответствующие запросу, не найдены.
Адреса диагностических центров "Доступная Медицина"
Преимущества наших диагностических центров
Доступные цены
Приемлемые цены
на все услуги
Качественный сервис
Контроль качества
оказываемых услуг
Лучшие специалисты
Высококвалифицированные врачи
Новейшее оборудование
Современные томографы с высочайшим качеством визуализации
Близость к метро
Мы находимся в непосредственной близости от метро и остановок общественного транспорта
Наше оборудование
КТ-СПЕЦИАЛИСТЫ
Лицензии
Современные томографы с высочайшим качеством визуализации
Статьи наших врачей