КТ надпочечников в СПБ
- Длительность выполнения 10 минут
- Ограничения по весу 120 кг
- Ограничения по возрасту От 15 лет
- Введение контраста Нет
- Срок получения результата В течение дня
Надпочечники являются парными железами внутренней секреции, расположенными над верхним полюсом каждой почки. Надпочечники вырабатывают ряд важных для организма человека гормонов, которые регулируют обменные процессы, влияют на уровень артериального давления, обеспечивают нормальную репродуктивную функцию. Отклонения в работе надпочечников ведут к нарушениям обмена веществ, изменению массы тела, скачкам артериального давления, бесплодию.
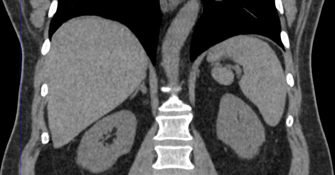
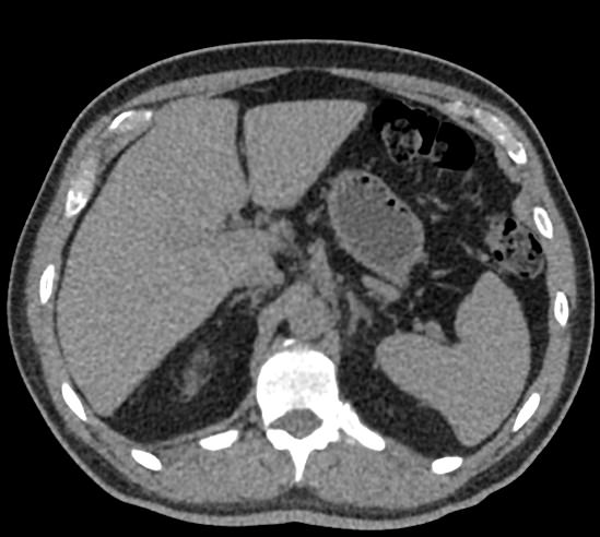
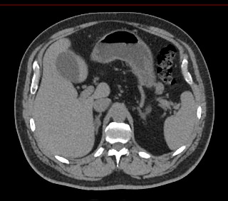
Одним из наиболее информативных методов диагностики заболеваний надпочечников является мультиспиральная компьютерная томография. МСКТ надпочечников относится к лучевым методам исследования, то есть для получения послойного изображения структуры органа используется проникающая способность рентгеновских лучей.
В клинике «Доступная медицина» мультиспиральная КТ надпочечников выполняется на современном 128-срезовом томографе экспертного класса TOSHIBA AQUILION CXL, который производит множество послойных снимков за несколько секунд. Быстрота исследования обеспечивает пониженный уровень лучевой нагрузки на пациента, а благодаря инновационным компьютерным программам томограф создает трехмерные модели органа, позволяющие оценить структуру надпочечников и окружающие ткани.
Кроме нативной компьютерной томографии МСКТ надпочечников проводится с применением рентгеноконтрастного вещества на основе йода. Контраст вводится пациенту внутривенно и усиливает визуализацию новообразований на фоне неизмененных тканей.
Контрастирование позволяет, в первую очередь, обнаружить опухоли минимальных размеров, что особенно важно при онкологических процессах для назначения своевременного лечения.
- Показания для проведения КТ надпочечников
- Что показывает КТ надпочечников:
- Подготовка к компьютерной томографии надпочечников
- Что является противопоказанием к проведению КТ надпочечников
Показания для проведения КТ надпочечников
- гиперпигментация кожи (появление пятен нетипичной окраски с четкой локализацией или без нее).
- резкое увеличение или уменьшение массы тела, особенно без явных причин.
- быстрое оволосение тела (у женщин по мужскому типу).
- стойкая депрессия и тревожные состояния.
- постоянная усталость и ощущение слабости.
- частые повышения артериального давления, тахикардия.
- появление растяжек на бедрах, руках, ногах.
- избыток стероидных гормонов.
- изменение цвета десен, внутренней стороны щек.
- повышенная потливость.
- увеличение грудных желез у мужчин, изменение голоса у женщин.
- гинекомастия.
- атрофия яичек.
- проблемы с либидо, бесплодие.
- повышение артериального давления;
- эмоциональная раздражительность, депрессия, агрессивное поведение;
- появление волос у женщин в области шеи, на животе, над верхней губой (по «мужскому типу»). «Женские» признаки у мужчин (увеличение молочных желез);
- нарушения менструального цикла у женщин, проблемы с потенцией у мужчин;
- боли в суставах, судороги, временное онемение конечностей;
- беспричинные проблемы с желудочно-кишечным трактом;
- быстрая утомляемость, чувство усталости с самого утра.
Что показывает КТ надпочечников:
- доброкачественные новообразования (опухоли)
- злокачественные новообразования (опухоли)
- гиперплазию надпочечников
- кисты
- обызвествления
Компьютерная томография надпочечников позволяет выявить следующие патологии:
- болезнь Аддисона (недостаточность коры надпочечников).
- болезнь Иценко-Кушинга.
- врожденная гиперплазия коры надпочечников.
- повышенная секреция альдостерона, синдром Кона.
- сниженная секреция альдостерона.
- некроз, кровоизлияния в ткани надпочечников.
Подготовка к компьютерной томографии надпочечников
Специальных рекомендаций о том, как подготовиться к компьютерному сканированию надпочечников, нет. Для нейтрализации рисков нефротоксического эффекта необходимо сделать тесты на креатинин крови. Такой анализ можно сдать в лаборатории наших центров, не позднее, чем за 14 суток до диагностической процедуры.
Врачи сети медицинских центров «Доступная медицина» будут признательны пациентам, предоставляющим перед исследованием максимально возможную тематическую медицинскую документацию:
- результаты осмотров и анализов;
- выписки из истории болезни;
- результаты ранее проведенных КТ, УЗИ или МРТ надпочечников и т.д.
Обязаны предупредить пациентов о возможной сомнительности результатов обследования вследствие появления на КТ-снимках артефактов (затрудняющее визуализацию органа изображение). Такой неблагоприятный эффект возникает из-за:
- проведенного накануне рентген-исследования органов брюшной полости с применением бариевого контраста. Не успев естественным образом покинуть кишечник, он будет давать специфические тени на КТ-снимках;
- наличия на теле пациента в момент обследования металлических предметов. Их обязательно следует снимать перед прохождением компьютерной диагностики;
- наличие в организме пациента инородных или медицинских металлических предметов и приборов. Об их нахождении следует обязательно предупредить специалистов центра.
Для пациентов с сахарным диабетом, нуждающихся в проведении такого исследования с контрастом важно прекратить за 48 часов до обследования и на 48 часов после него прием лекарственных препаратов Метформин и (или) Глюкофаж.
Что является противопоказанием к проведению КТ надпочечников
Данное обследование не может быть проведено:
- беременным из-за подтвержденных данных об угрозе для развития плода ионизирующего излучения томографа;
- пациентам с весом тела более 120 кг;
- пациентам с аллергией на йод (он входит в состав контрастирующих веществ, вводимых в организм при исследовании);
- пациентам с почечной недостаточностью.
Пациентам необходимо сдать тесты на креатинин крови. Особенно рекомендуем сделать это лицам с заболеваниями почек. Такие анализы проводятся в лаборатории нашего диагностического центра.
Также противопоказаниями к проведению КТ надпочечников являются:
- тяжелое течение сахарного диабета с применением метформина и невозможности его отмены;
- печеночная недостаточность;
- тяжелое течение астмы;
- клаустрофобия и психические расстройства с невозможностью контролировать движения тела;
- кормление грудью. Кормящие мамы, нуждающиеся в этом обследовании, должны сделать запас молока, а после проведения КТ с контрастом, как минимум 24-48 часов сцеживать и утилизировать его, не давая грудь малышу;
- патологии щитовидной железы;
- миеломная болезнь;
- превышенная предельно допустимая лучевая нагрузка.
Если у пациента имеются противопоказания для проведения компьютерной томографии и введения йодсодержащего контраста, в нашей клинике можно провести МРТ надпочечников на новейшем высокопольном магнитно-резонансном томографе экспертного класса.
Узнать о нюансах процедуры, сроках выдачи на руки описаний вы можете по телефону справочной службы центров: +7(812) 380-83-84с 9:00 до 22:00.
Запишитесь на КТ надпочечников по удобному адресу
ЗаписатьсяСтанция метро
Площадь Восстания Проспект Просвещения Нарвская Рыбацкое Девяткино Гражданский проспект Академическая Политехническая Площадь Мужества Лесная Выборгская Площадь Ленина Чернышевская Владимирская Пушкинская Технологический институт Балтийская Кировский завод Автово Ленинский проспект Проспект Ветеранов Парнас Озерки Удельная Пионерская Чёрная речка Петроградская Горьковская Невский проспект Сенная площадь Фрунзенская Московские ворота Электросила Парк Победы Московская Звёздная Купчино Беговая Зенит Приморская Василеостровская Гостиный двор Маяковская Площадь Александра Невского Елизаровская Ломоносовская Пролетарская Обухово Спасская Достоевская Лиговский проспект Площадь Александра Невского Новочеркасская Ладожская Проспект Большевиков Улица Дыбенко Комендантский проспект Старая Деревня Крестовский остров Чкаловская Спортивная Адмиралтейская Садовая Звенигородская Обводный канал Волковская Бухарестская Международная Проспект Славы Дунайская Шушары Богатырская Каменка Театральная Горный институт Путиловская Юго-Западная Кудрово Шуваловский проспект Каретная Боровая Заставская БроневаяРайон
Центральный Выборгский Кировский Адмиралтейски Василеостровский Калининский Колпинский Красногвардейский Красносельски Кронштадтский Курортный Московский Невский Петроградский Петродворцовый Приморский Пушкинский ФрунзенскийГород
Санкт-Петербург Бокситогорск Бугры Волосово Волхов Всеволожск Выборг Высоцк Гатчина Ивангород Каменногорск Кингисепп Кириши Кировск Колтуши Коммунар Кудрово Лодейное Поле Луга Любань Мурино Никольское Новая Ладога Отрадное Пикалёво Подпорожье Приморск Приозерск Светогорск Сертолово Сланцы Сосновый Бор Сясьстрой Тельмана Тихвин Тосно ШлиссельбургЦены
Услуги, соответствующие запросу, не найдены.
Адреса диагностических центров "Доступная Медицина"
Преимущества наших диагностических центров
Доступные цены
Приемлемые цены
на все услуги
Качественный сервис
Контроль качества
оказываемых услуг
Лучшие специалисты
Высококвалифицированные врачи
Новейшее оборудование
Современные томографы с высочайшим качеством визуализации
Близость к метро
Мы находимся в непосредственной близости от метро и остановок общественного транспорта
Наше оборудование
КТ-СПЕЦИАЛИСТЫ
Лицензии
Современные томографы с высочайшим качеством визуализации
Статьи наших врачей