Назад МРТ пояснично-крестцового отдела позвоночника + МРТ крестцово-подвздошных сочленений в СПБ

7 600
/
По акции в Рыбацком
6 200
руб
Записаться на прием
7 600 руб
По акции в Рыбацком
6 200 руб
Записаться
  • Срок получения результата В течение дня
  • Ограничения по весу 120 кг
Описание

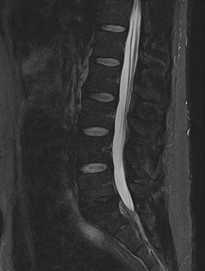
Боли в нижней части спины появляются на фоне различных заболеваний позвоночника, которые возникают при сочетанном поражении пояснично-крестцового отдела и крестцово-подвздошных сочленений. 

Пояснично-крестцовый отдел позвоночника принимает на себя основной вес тела, поэтому поясничные позвонки отличаются массивным строением. Крестец образует единую кость за счет 5 сросшихся между собой позвонков и помогает поддерживать тело в вертикальном положении. Крестцово-подвздошное сочленение – крупный малоподвижный сустав, место соединения крестца и подвздошных костей. Эти анатомические области испытывают большие нагрузки и достаточно часто вовлекаются в патологический процесс при травмах, дегенеративных поражениях, инфекциях и опухолевых заболеваниях.

Наиболее точным и эффективным способом диагностики причин появления болей в нижней части спины является МРТ. С помощью данного метода можно оценить состояние всех анатомических структур позвоночного столба на исследуемом уровне, диагностировать поражение позвоночника на начальной стадии, когда другие методы не дают результатов. Такой патологией, в частности, является сакроилеит (воспаление крестцово-подвздошного сочленения), который часто становится причиной анкилоза (сращения) или нестабильности (патологической подвижности) сустава. Выявление сакроилеита на ранней стадии значительно улучшает прогноз в плане лечения и профилактики осложнений. 

В клинике «Доступная медицина» диагностика патологии нижней части спины осуществляется на высокотехнологичном оборудовании – новейшем высокопольном томографе TOSHIBA VANTAGE TITAN 1,5 Тесла, который обеспечивает высочайшее качество изображений, точность и достоверность полученных данных. Магнитно-резонансная томография осуществляется без применения ионизирующего излучения, поэтому является безопасным методом обследования и может применяться неоднократно по мере необходимости. 

Данное комплексное исследование МРТ, как правило, выполняется без использования контраста, но при подозрении на опухолевый процесс необходимо введение контрастного вещества для улучшения визуализации патологических очагов. Для контрастирования применяется достаточно безопасный препарат на основе солей гадолиния, который полностью удаляется из организма за 24 часа.

Показания для МРТ пояснично-крестцового отдела позвоночника + МРТ крестцово-подвздошных сочленений

Свернуть/развернуть

Данное комплексное исследование показано при:

  • при болях в нижних отделах спины неясного происхождения;
  • травмах спины в пояснично-крестцовой области;
  • при подозрение на межпозвонковые грыжи пояснично-крестцового отдела позвоночника, при наличии корешкового синдрома;
  • опухолевом и метастатическом поражении на этом уровне;
  • при параплегиях и парезах нижних конечностей;
  • воспалительных процессах межпозвонковых дисков;
  • при планировании операций на пояснично-крестцовом отделе, для проведения послеоперационного наблюдения.

Что можно диагностировать при проведении МРТ пояснично-крестцового отдела позвоночника + МРТ крестцово-подвздошных сочленений

Свернуть/развернуть

При проведении данного комплексного обследования можно выявить:

  • дегенеративно-дистрофические заболевания позвоночника: спондилез, спондилоартроз, остеохондроз;
  • стеноз (сужение) позвоночного канала;
  • грыжи межпозвонковых дисков (протрузии, экструзии);
  • переломы позвонков, их смещение;
  • спондилиты, гнойные артриты, сакроилеит, абсцессы околопозвоночных тканей и другие воспалительные заболевания, туберкулез; 
  • опухоли позвоночника и окружающих тканей;
  • патологические изгибы позвоночника, сколиоз, усиленный или выпрямленный лордоз как нарушение статической функции позвоночника;
  • аномалии строении позвоночника.

Как и любой метод исследования, МРТ имеет ряд противопоказаний, при наличии которых в клинике «Доступная медицина» проводится КТ двух отделов позвоночника на аппарате экспертного класса со сниженной лучевой нагрузкой.

Как подготовиться к МРТ пояснично-крестцового отдела позвоночника + МРТ крестцово-подвздошных сочленений

Свернуть/развернуть

При данном обследовании от пациента не требуется никаких специальных подготовительных действий.

Необходимо принести с собой медицинскую документацию, относящуюся к зоне исследования:

  • направление от лечащего врача;
  • выписки из амбулаторных карт и стационаров;
  • результаты предыдущих исследований (МР-снимки, CD/DVD диски, снимки КТ).

При наличии имплантатов, позволяющих проводить МРТ, нужно предоставить документы из медучреждения, в котором они были установлены. 

Если планируется контрастное усиление у пациента с подозрением на почечную недостаточность, нужно провести контроль уровня креатинина крови не более, чем за 14 дней до исследования. 

Для введения контраста в локтевую вену устанавливается катетер с подключенным дозирующим устройством. В определенный момент во время исследования контраст подается в вену. При этом может возникнуть ощущение тепла или холода во всем теле, неприятный привкус во рту, но этот дискомфорт исчезает через пару минут. Контрастное вещество выводится из организма в течение суток, поэтому кормящим женщинам рекомендуется приостановить грудное кормление на 24-48 часов после исследования, а сцеженное молоко выливать. 

Перед исследованием нужно оставить в соседнем помещении все электронные устройства, пластиковые карты, мобильные телефоны, металлические предметы, снять аксессуары из металла, пирсинг, одежду с металлической фурнитурой.  

Так как томограф во время работы издает громкий шум, для защиты ушей можно воспользоваться берушами или наушниками.

В случае тревожности и волнения можно пригласить с собой сопровождающего, который во время проведение томографии будет находиться в диагностическом кабинете. С медицинским персоналом общение осуществляется с помощью переговорного устройства, вмонтированного в аппарат. При необходимости можно вызвать медработника, нажав на сигнальную грушу.

Противопоказания для МРТ пояснично-крестцового отдела позвоночника + МРТ крестцово-подвздошных сочленений

Свернуть/развернуть

Данное исследование невозможно выполнить в следующих случаях:

  • Если у пациента имеются вживленные электронные устройства, работа которых может нарушиться под действием магнитного поля томографа. К ним относятся: кардиостимуляторы, дефибрилляторы, имплантаты внутреннего уха, дозирующие инсулиновые насосы, нейростимуляторы. 
  • При наличии в теле металлических изделий медицинского назначения (протезы, штифты, винты, пластины, сосудистые скобы, клипсы, стенты, кава-фильтры), а также инородных предметов из металла (это могут быть осколки, металлическая стружка, пули, дробь, неснимаемый пирсинг, татуировки с использованием металлизированных красок). Часть медицинских изделий изготовлено из сплавов на основе металлов, которые не препятствуют проведению МРТ. О таких имплантированных предметах нужно сообщить врачу-рентгенологу и предоставить документы из учреждения, где они были установлены. На основе предоставленной информации и, учитывая месторасположение имплантата, можно оценить возможность проведения МРТ. 
  • Женщинам в первом триместре беременности нежелательно проводить МРТ из-за риска воздействия индукции магнитного поля на формирующиеся органы плода.
  • На любом сроке беременности противопоказано введение контраста. 
  • Противопоказано контрастирование при заболеваниях почек со снижением их функции, а также при наличии в анамнезе аллергических реакций на контрастное вещество. 
  • Клаустрофобия (боязнь закрытых пространств) может ограничивать проведение МРТ. 
  • Из-за технических ограничений по весу томографа невозможно выполнить исследование пациентам с массой тела более 120 кг.

Запишитесь на МРТ пояснично-крестцового отдела позвоночника + МРТ крестцово-подвздошных сочленений по удобному адресу

Записаться
Фильтр по услугам Комплексные исследования МРТ

Введение контраста

С контрастом Без контраста

Станция метро

Площадь Восстания Нарвская Проспект Просвещения Рыбацкое Девяткино Гражданский проспект Академическая Политехническая Площадь Мужества Лесная Выборгская Площадь Ленина Чернышевская Владимирская Пушкинская Технологический институт Балтийская Кировский завод Автово Ленинский проспект Проспект Ветеранов Парнас Озерки Удельная Пионерская Чёрная речка Петроградская Горьковская Невский проспект Сенная площадь Фрунзенская Московские ворота Электросила Парк Победы Московская Звёздная Купчино Беговая Зенит Приморская Василеостровская Гостиный двор Маяковская Площадь Александра Невского Елизаровская Ломоносовская Пролетарская Обухово Спасская Достоевская Лиговский проспект Площадь Александра Невского Новочеркасская Ладожская Проспект Большевиков Улица Дыбенко Комендантский проспект Старая Деревня Крестовский остров Чкаловская Спортивная Адмиралтейская Садовая Звенигородская Обводный канал Волковская Бухарестская Международная Проспект Славы Дунайская Шушары Богатырская Каменка Театральная Горный институт Путиловская Юго-Западная Кудрово Шуваловский проспект Каретная Боровая Заставская Броневая

Возраст пациента

Взрослому Ребенку от 15 лет

Пол пациента

Мужчине Женщине

Тип аппарата

Открытый Закрытый

Мощность МРТ

1.5 Тл 3 Тесла

Программы страхования

ДМС Платно ОМС

Цены

Услуги, соответствующие запросу, не найдены.

МР-скрининг всего тела
руб
14 200 руб
МРТ головного мозга + МР-ангиография головного мозга + МР-венография головного мозга
руб
10 400 / 9 000 руб
Подробнее
МРТ головного мозга + МР-ангиография головного мозга + МР-венография головного мозга + черепно-мозговые нервы
руб
13 400 / 12 200 руб
Подробнее
МРТ головного мозга + МРТ шейного отдела позвоночника + МР ангиография шеи
руб
10 400 / 9 000 руб
Подробнее
МРТ головного мозга + МР ангиография головного мозга + МРТ шейного отдела позвоночника
руб
10 400 / 9 000 руб
Подробнее
МРТ головного мозга + МР-ангиография головного мозга + 3 отдела позвоночника
руб
14 900 / 13 500 руб
Подробнее
МРТ головного мозга + МРТ шейного отдела позвоночника + МР-ангиография шеи и головного мозга
руб
13 400 / 12 200 руб
Подробнее
МРТ шейного отдела позвоночника + МР-ангиография шеи
руб
7 600 / 6 200 руб
Подробнее
МРТ головного мозга + МРТ орбит
руб
7 600 / 6 200 руб
Подробнее
МРТ головного мозга и гипофиза
руб
От 11 300 / 9 200 руб
Подробнее
МРТ головного мозга + черепно-мозговые нервы
руб
7 600 / 6 600 руб
Подробнее
МРТ головного мозга + шейного отдела позвоночника
руб
7 600 / 6 200 руб
Подробнее
МР-ангиография шеи и головного мозга
руб
7 600 / 6 200 руб
Подробнее
МРТ брюшной полости + МРТ забрюшинного пространства
руб
8 500 руб
МРТ брюшной полости+МР-холангиография
руб
9 600 / 8 600 руб
Подробнее
МРТ пояснично-крестцового отдела + копчик
руб
7 600 / 6 200 руб
Подробнее
МРТ пояснично-крестцового отдела позвоночника + МРТ крестцово-подвздошных сочленений
руб
7 600 / 6 200 руб
Подробнее
МРТ головного мозга, все отделы позвоночника
руб
13 400 / 12 200 руб
Подробнее
Комплексная МРТ позвоночника – 3 отдела
руб
10 600 / 9 200 руб
Подробнее
МРТ пояснично-крестцового отдела позвоночника + МРТ тазобедренных суставов
руб
8 300 / 6 900 руб
Подробнее
МРТ пояснично-крестцового отдела позвоночника + МРТ коленного сустава
руб
8 300 / 6 900 руб
Подробнее
МРТ шейного отдела позвоночника + МРТ плечевого сустава
руб
8 300 / 6 900 руб
Подробнее
МРТ всего позвоночника – 3 отдела + копчик
руб
13 400 / 12 200 руб
Подробнее

Адреса диагностических центров "Доступная Медицина"

Преимущества наших диагностических центров

Доступные цены

Приемлемые цены
на все услуги

Качественный сервис

Контроль качества
оказываемых услуг

Лучшие специалисты

Высококвалифицированные врачи

Новейшее оборудование

Современные томографы с высочайшим качеством визуализации

Близость к метро

Мы находимся в непосредственной близости от метро и остановок общественного транспорта

Лицензии

Современные томографы с высочайшим качеством визуализации

Назад
Вперед
Ключникова Екатерина Игоревна
Информация проверена главным врачом клиники Domedica24
Ключникова Екатерина Игоревна
Стаж более 8 лет, главный врач, врач-рентгенолог 1 категории
Площадь Стачек, 9">
ул. 1-я Советская, 8">