Назад МРТ мошонки в СПБ

6 900
/
По акции в Рыбацком
5 500
руб
Записаться на прием
6 900 руб
По акции в Рыбацком
5 500 руб
Записаться
  • Срок получения результата В течение дня
  • Ограничения по возрасту От 15 лет
  • Ограничения по весу 120 кг
Описание

Магнитно-резонансная томография является одним из самых точных методов диагностики, основанный на использовании явления магнитного резонанса без применения вредного ионизирующего излучения, что имеет важное значение при обследовании органов репродуктивной системы.

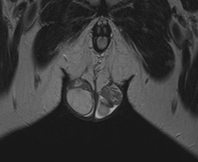
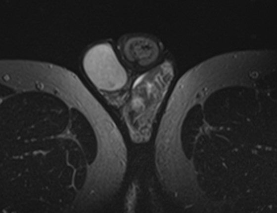
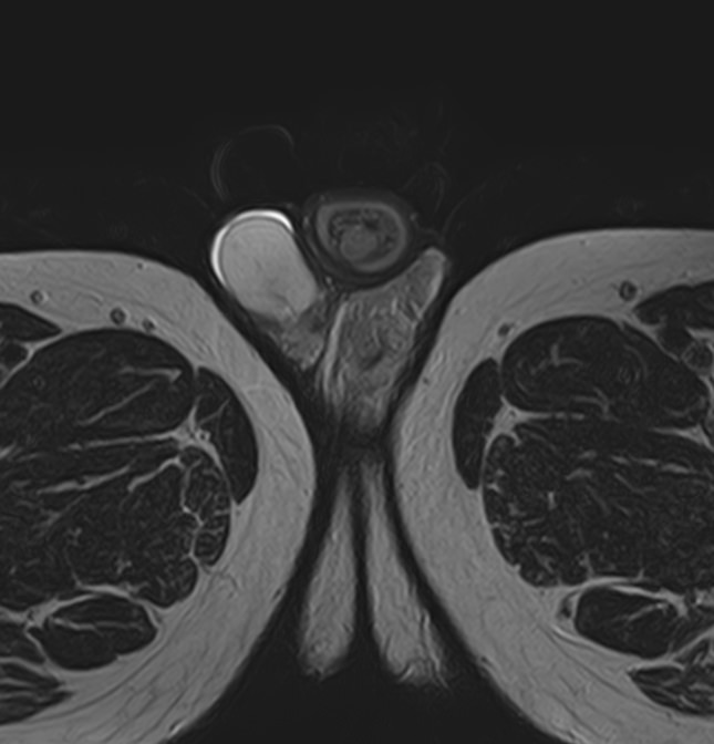
Метод позволяет диагностировать патологию мужских половых желез (яичек), их придатков и семявыносящих протоков. Эти органы, вместе с кровеносными сосудами, лимфатическими протоками и нервами, располагаются в мошонке – мешотчатом образовании из гладких мышц и кожи.

В клинике «Доступная медицина» МРТ органов мошонки осуществляется на новейшем 32-канальном высокопольном томографе экспертного класса TOSHIBA VANTAGE TITAN 1,5 Тесла, имеющего превосходную разрешающую способность за счет высокой индукции магнитного поля. 

Во время исследования производится послойное сканирование в трех взаимно перпендикулярных плоскостях с шагом от 1 мм, в дальнейшем с помощью инновационных приложений аппарат трансформирует полученные данные в трехмерные изображения. Методика позволяет выявлять структурные изменения органов мошонки на самой начальной стадии. Особенно это важно для диагностики опухолей. 

При подозрении на развитие объемных образований, для проведения дифференциальной диагностики, может применяться контрастное усиление. В таких случаях, пациенту внутривенно вводится контрастный препарат, содержащий гадодиамид (соли металла гадолиния), который способен «высвечивать» патологические очаги при попадании в зону действия магнитного поля томографа. С помощью контрастирования удается выявлять опухоли размером от 1 мм. Ранняя диагностика онкозаболеваний позволяет вовремя назначить необходимое лечение. 

Сделать МРТ мошонки уролог, сексолог, онколог, сосудистый хирург направят при:

Свернуть/развернуть
  • дефектах строения и развития;
  • воспалениях;
  • кистах, опухолях яичек и придатков;
  • грыжах в паховой области;
  • скоплении жидкости (гидроцеле);
  • варикозном изменении вен (варикоцеле);
  • травмах;
  • Бесплодии, плохом качестве спермы по результатам анализов;
  • отечности мошонки и/или изменении цвета покрывающей кожи (покраснение, синюшность и др.);
  • асимметрии правой и левой части;
  • боли в мошонке;
  • патологических включениях в эякуляте (кровь, гной и др.);
  • болезненном семяизвержении;
  • преждевременной эякуляции;
  • пальпируемом новообразовании в мошонке;
  • увеличении регионарных лимфоузлов.

Как подготовиться к МРТ мошонки

Свернуть/развернуть

Для данного обследования подготовка не требуется.

Необходимо принести с собой медицинскую документацию, относящуюся к зоне исследования:

  • направление от лечащего врача;
  • выписки из амбулаторных карт и стационаров;
  • результаты предыдущих исследований (МР-снимки, СD/DVD диски, снимки КТ).

Перед началом процедуры необходимо снять с себя все металлические предметы, включая украшения, пирсинг, а также одежду с металлическими элементами. Также следует убрать все электронные устройства: смартфоны, часы, планшеты, слуховые аппараты. 

При наличии немагнитных пластин или протезов, изготовленных из пара- и диамагнетиков (например, титан, алюминий), необходимо предупредить об этом врача-рентгенолога и предоставить справку из учреждения, в котором они были установлены. Кроме материала еще учитывается расположение изделия по отношению к исследуемой области. Если зона сканирования находится вблизи имплантата, это может вызвать искажение результата. В каждом конкретном случае врач определит возможность проведения исследования или предложит другой способ визуализации.

Если планируется применение контраста пациенту с подозрением на почечную недостаточность, необходимо выполнить исследование уровня креатинина крови не позднее, чем за 14 дней до проведения МРТ. 

При проведении обследования необходимо сохранять неподвижность для получения качественных изображений исследуемой области. Томограф издает шум во время своей работы, поэтому для уменьшения дискомфорта пациенту предлагается надеть наушники или воспользоваться берушами. 

С медперсоналом можно общаться через переговорное устройство. Для вызова медработника есть специальная сигнальная груша.

В каких случаях противопоказано МРТ мошонки

Свернуть/развернуть
  • Противопоказанием является наличие в теле имплантированных электронных устройств (кардиостимуляторов, нейростимуляторов, имплантатов внутреннего уха, инсулиновых помп).
  • Наличие протезов или медицинских конструкций, изготовленных из ферромагнитных материалов, например, металлоконструкций после остеосинтеза, спиц, штифтов, винтов, сосудистых скоб, клипс, искусственных клапанов сердца (кроме изготовленных из биополимеров).
  • Имеющиеся металлические инородные предметы в теле являются противопоказанием для МРТ (это может быть металлическая стружка, осколки, пули, неснимаемый пирсинг), также татуировки с использованием металлизированных красок.
  • Невозможно выполнить МРТ пациентам с массой тела свыше 120 кг (ограничение по весу подвижного стола томографа).
  • Боязнь закрытых пространств (клаустрофобия).
  • Противопоказаниями для МРТ с контрастированием является аллергия на контрастное вещество, заболевания почек со снижением функции почек. 

РЕЗУЛЬТАТЫ ИССЛЕДОВАНИЯ

Свернуть/развернуть

После того, как исследование окончено, задачей врача является расшифровка полученных снимков. Чаще всего удается определить следующие патологические процессы:

  • Аномалии строения органа;
  • Злокачественные или доброкачественные новообразования;
  • Фиброзные изменения кавернозных тел;
  • Сосудистые патологии, в том числе варикоцеле;
  • Водянка яичка;
  • Наличие абсцесса;
  • Пневматоз;
  • Склероз яичек;
  • Крипторхизм;
  • Воспалительные процессы;
  • Аденомиоз;

Запишитесь на МРТ мошонки по удобному адресу

Записаться
Фильтр по услугам МРТ органов малого таза

Введение контраста

С контрастом Без контраста

Станция метро

Площадь Восстания Нарвская Проспект Просвещения Рыбацкое Девяткино Гражданский проспект Академическая Политехническая Площадь Мужества Лесная Выборгская Площадь Ленина Чернышевская Владимирская Пушкинская Технологический институт Балтийская Кировский завод Автово Ленинский проспект Проспект Ветеранов Парнас Озерки Удельная Пионерская Чёрная речка Петроградская Горьковская Невский проспект Сенная площадь Фрунзенская Московские ворота Электросила Парк Победы Московская Звёздная Купчино Беговая Зенит Приморская Василеостровская Гостиный двор Маяковская Площадь Александра Невского Елизаровская Ломоносовская Пролетарская Обухово Спасская Достоевская Лиговский проспект Площадь Александра Невского Новочеркасская Ладожская Проспект Большевиков Улица Дыбенко Комендантский проспект Старая Деревня Крестовский остров Чкаловская Спортивная Адмиралтейская Садовая Звенигородская Обводный канал Волковская Бухарестская Международная Проспект Славы Дунайская Шушары Богатырская Каменка Театральная Горный институт Путиловская Юго-Западная Кудрово Шуваловский проспект Каретная Боровая Заставская Броневая

Возраст пациента

Взрослому Ребенку от 15 лет

Пол пациента

Мужчине Женщине

Тип аппарата

Открытый Закрытый

Мощность МРТ

1.5 Тл 3 Тесла

Программы страхования

ДМС Платно ОМС

Цены

Услуги, соответствующие запросу, не найдены.

Адреса диагностических центров "Доступная Медицина"

Преимущества наших диагностических центров

Доступные цены

Приемлемые цены
на все услуги

Качественный сервис

Контроль качества
оказываемых услуг

Лучшие специалисты

Высококвалифицированные врачи

Новейшее оборудование

Современные томографы с высочайшим качеством визуализации

Близость к метро

Мы находимся в непосредственной близости от метро и остановок общественного транспорта

Лицензии

Современные томографы с высочайшим качеством визуализации

Назад
Вперед
Ключникова Екатерина Игоревна
Информация проверена главным врачом клиники Domedica24
Ключникова Екатерина Игоревна
Стаж более 8 лет, главный врач, врач-рентгенолог 1 категории
Площадь Стачек, 9">
ул. 1-я Советская, 8">