КТ одного сустава в СПБ
- Срок получения результата В течение дня
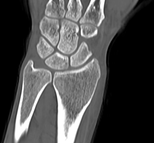
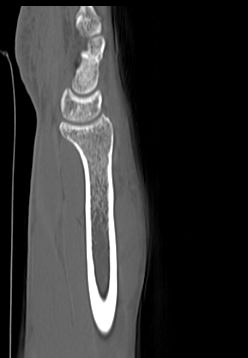
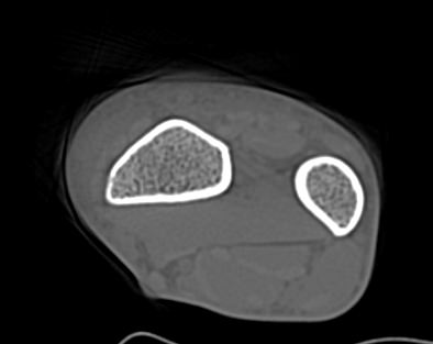
Мультиспиральная компьютерная томография, как и обычный рентген, относится к лучевым методам исследования и включает в себя сканирование сустава при помощи рентгеновских лучей. Костные ткани хорошо поглощают лучи рентгена, поэтому ярко визуализируются на снимках. Однако при обычном рентгене изображения костей могут накладываться друг на друга, затрудняя диагностику.
В компьютерном томографе излучатель рентгеновских лучей установлен в кольцевой части аппарата и, непрерывно вращаясь вокруг зоны исследования, производит послойное сканирование в различных плоскостях. В результате получаются снимки сустава в мельчайших подробностях, а после цифровой обработки полученных данных – точные трехмерные объемные модели исследуемой области. При этом изображения сустава можно приблизить, повернуть в разные стороны, что значительно повышает точность диагностики заболеваний костно-суставного аппарата.
Для улучшения визуализации мягких структур (связок, мышц, сухожилий, кровеносных сосудов и лимфатических узлов) в ряде случаев проводится дополнительно контрастное усиление. Для этого пациенту внутривенно вводится йодсодержащий контрастный препарат, который активно поглощает рентгеновские лучи. Благодаря способности контраста накапливаться в патологических участках, они становятся хорошо видны на снимках КТ. Контрастное усиление позволяет оценить состояние сосудистой системы, выявить участки воспаления и опухолевые образования. С помощью контрастирования удается выявлять опухоли минимальных размеров, определить точные размеры и границы опухоли, степень ее воздействия на окружающие ткани.
В диагностических центрах «Доступная медицина» обследование суставов проводится на современных мультиспиральных компьютерных томографах экспертного класса TOSHIBA AQUILION. На аппаратах применяется методика скоростного мультисрезового сканирования, благодаря чему удается минимизировать дозу рентгеновского облучения для пациента, при этом обеспечить высокое качество изображений на снимках и трехмерных реконструкциях.
- Когда проводится КТ одного сустава?
- Что покажет КТ одного сустава?
- Подготовка к КТ одного сустава
- Противопоказания для проведения КТ одного сустава
Когда проводится КТ одного сустава?
Компьютерная томография – это быстрая безболезненная неинвазивная (то есть без вмешательства в организм) процедура. Поэтому КТ часто применяется при получении травм, переломов костей, ушибов, разрывов связок. Также мультиспиральная КТ может быть назначена при подозрении на системные аутоиммунные заболевания суставов (например, ревматоидный артрит, волчаночный артрит), воспалительные и инфекционные заболевания (остеомиелит). КТ проводится при подозрении на опухолевые образования доброкачественного или злокачественного характера.
Кроме того, компьютерная томография проводится при планировании оперативного вмешательства и в послеоперационном периоде для визуального контроля успешности проведенной операции, мониторинга процесса восстановления костных тканей.
Что покажет КТ одного сустава?
Мультиспиральная КТ одного сустава наиболее часто применяется в ортопедии, травматологии, хирургии, онкологии и ревматологии. Данное исследование позволяет диагностировать:
- Травматические повреждения костей скелета (различные переломы, ушибы надкостницы, вывихи, разрывы связок);
- Воспалительные заболевания суставов (артриты), в том числе, системные аутоиммунные процессы (ревматоидный артрит, поражение суставов на фоне системной красной волчанки, псориаза, склеродермии);
- Дегенеративно-дистрофические заболевания суставов (артрозы);
- Аномалии развития костного скелета;
- Гнойно-септические поражения костей скелета (остеомиелит);
- Опухолевые образования костей скелета (доброкачественного и злокачественного характера).
Подготовка к КТ одного сустава
Мультиспиральная компьютерная томография является быстрой и безболезненной процедурой, она не требует предварительной подготовки.
Для сравнения данных с предыдущими результатами обследований мы рекомендуем принести в день исследования врачу-рентгенологу все документы, касающиеся зоны исследования. К таким документам относятся:
- Направление лечащего врача;
- Выписка из истории болезни или амбулаторной карты;
- Рентгеновские снимки, CD/DVD диски предыдущих КТ или МРТ-исследования сустава, который требует обследования;
- Заключения профильных специалистов.
Так как контраст выводится из организма преимущественно почками, при выполнении процедуры с введением контрастного вещества предварительно требуется оценить функциональную способность почек. Для этого пациенту нужно сдать анализ крови на уровень креатинина (показатель, отражающий функцию почек). Анализ крови действителен не более 2 недель с момента забора биоматериала.
Пациентам, принимающим по поводу сахарного диабета Метформин (Глюкофаж или другие метформинсодержащие препараты), необходимо согласовать с эндокринологом временную отмену данного препарата за 48 часов до исследования с контрастированием и на 48 часов после введения контраста.
Введение контрастного препарата осуществляется с помощью специального дозирующего устройства. Оно подключается к предварительно установленному в периферическую вену венозному катетеру. В момент введения контраста может быть ощущение тепла или жара во всем теле и неприятный привкус во рту, но этот дискомфорт полностью исчезает через 1-2 минуты.
Если необходимо проведение внутривенного болюсного контрастирования женщине в период лактации, то мы рекомендуем предварительно сделать запас грудного молока, а после процедуры с введением контраста не прикладывать ребенка к груди в течение 24-48 часов, при этом молоко нужно сцеживать и выливать.
Исследование проводится лежа на спине на выдвижном столе томографа, который плавно передвигается в кольцевой раме томографа.
Врач-рентгенолог и рентгенолаборант находятся в соседнем помещении, отделенном от диагностического кабинета стеклянной перегородкой. Связь с пациентом осуществляется через переговорное устройство, встроенное в томограф.
Противопоказания для проведения КТ одного сустава
Компьютерная томография основана на использовании рентгеновского излучения, поэтому может негативно влиять на плод во время внутриутробного развития. Учитывая это, КТ не проводится женщинам в течение всего периода беременности.
Кроме того, компьютерные томографы имеют ограничения по весу, поэтому в наших центрах невозможно выполнить КТ пациентам с массой тела, превышающей 120 кг.
В некоторых случаях у пациента могут быть ограничения для введения контрастного препарата. Поэтому контрастирование не проводится:
- если ранее отмечались аллергические реакции на йодсодержащие контрастные препараты;
- если у пациента имеются заболевания почек с развитием выраженной почечной недостаточности;
- при наличии застойной сердечной недостаточности;
- если имеются заболевания щитовидной железы с явлениями гипертиреоза, тиреотоксикоза;
- в случае тяжелого течения бронхиальной астмы;
- при декомпенсированном сахарном диабете.
Запишитесь на КТ одного сустава по удобному адресу
ЗаписатьсяСтанция метро
Площадь Восстания Проспект Просвещения Нарвская Рыбацкое Девяткино Гражданский проспект Академическая Политехническая Площадь Мужества Лесная Выборгская Площадь Ленина Чернышевская Владимирская Пушкинская Технологический институт Балтийская Кировский завод Автово Ленинский проспект Проспект Ветеранов Парнас Озерки Удельная Пионерская Чёрная речка Петроградская Горьковская Невский проспект Сенная площадь Фрунзенская Московские ворота Электросила Парк Победы Московская Звёздная Купчино Беговая Зенит Приморская Василеостровская Гостиный двор Маяковская Площадь Александра Невского Елизаровская Ломоносовская Пролетарская Обухово Спасская Достоевская Лиговский проспект Площадь Александра Невского Новочеркасская Ладожская Проспект Большевиков Улица Дыбенко Комендантский проспект Старая Деревня Крестовский остров Чкаловская Спортивная Адмиралтейская Садовая Звенигородская Обводный канал Волковская Бухарестская Международная Проспект Славы Дунайская Шушары Богатырская Каменка Театральная Горный институт Путиловская Юго-Западная Кудрово Шуваловский проспект Каретная Боровая Заставская БроневаяРайон
Центральный Выборгский Кировский Адмиралтейски Василеостровский Калининский Колпинский Красногвардейский Красносельски Кронштадтский Курортный Московский Невский Петроградский Петродворцовый Приморский Пушкинский ФрунзенскийГород
Санкт-Петербург Бокситогорск Бугры Волосово Волхов Всеволожск Выборг Высоцк Гатчина Ивангород Каменногорск Кингисепп Кириши Кировск Колтуши Коммунар Кудрово Лодейное Поле Луга Любань Мурино Никольское Новая Ладога Отрадное Пикалёво Подпорожье Приморск Приозерск Светогорск Сертолово Сланцы Сосновый Бор Сясьстрой Тельмана Тихвин Тосно ШлиссельбургЦены
Услуги, соответствующие запросу, не найдены.
Адреса диагностических центров "Доступная Медицина"
Преимущества наших диагностических центров
Доступные цены
Приемлемые цены
на все услуги
Качественный сервис
Контроль качества
оказываемых услуг
Лучшие специалисты
Высококвалифицированные врачи
Новейшее оборудование
Современные томографы с высочайшим качеством визуализации
Близость к метро
Мы находимся в непосредственной близости от метро и остановок общественного транспорта
Наше оборудование
КТ-СПЕЦИАЛИСТЫ
Лицензии
Современные томографы с высочайшим качеством визуализации
Статьи наших врачей