Назад КТ коронарных артерий в СПБ

Цена:
9 500 руб
Записаться
  • Срок получения результата В течение 24 часов
Описание

Коронарные артерии отходят непосредственно от корня аорты и обеспечивают потребности сердца в кислороде и питательных веществах для его нормальной работы. Различные патологические процессы, такие как атеросклероз, системные васкулиты, аномалии развития, опухоли сердца, приводят к уменьшению просвета коронарных артерий. 

В результате сердце испытывает нехватку кислорода и необходимых питательных веществ, что вызывает характерные боли за грудиной (стенокардию). По началу боли появляются на фоне физической нагрузки, а потом и в покое. При увеличении размеров атеросклеротической бляшки в коронарной артерии или при резком спазме просвет сосуда быстро перекрывается и происходит отмирание участка мышечной ткани сердца – так возникает инфаркт миокарда. 

Ранняя диагностика сужения просвета коронарных артерий дает возможность провести своевременное лечение и предотвратить развитие инфаркта миокарда. Одним из информативных методов диагностики стенозов коронарных артерий является КТ-коронарография.

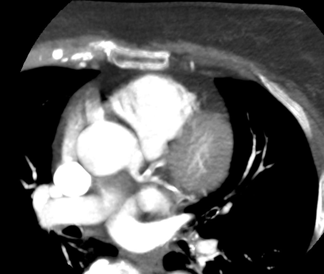
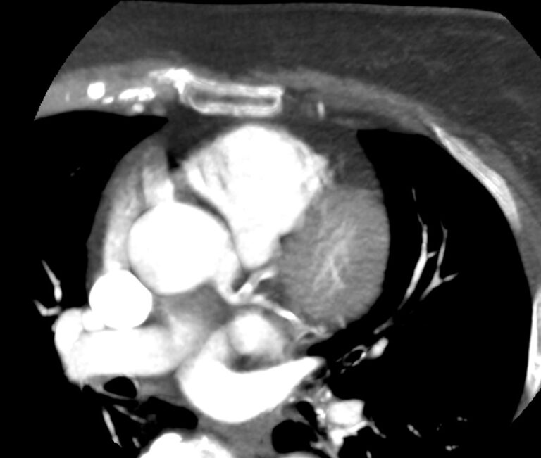
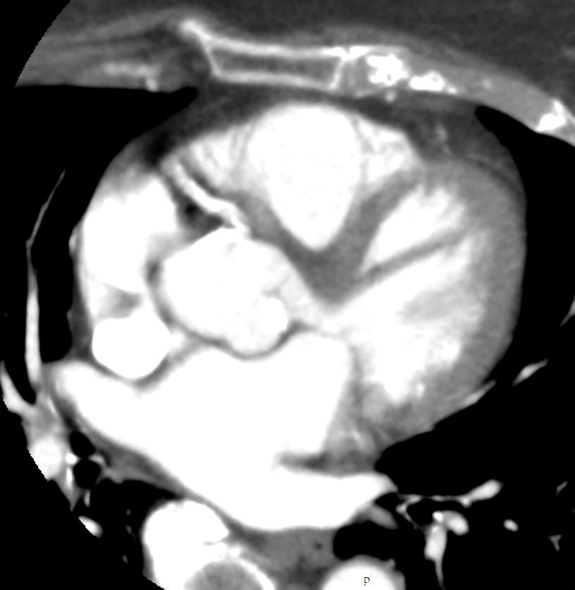
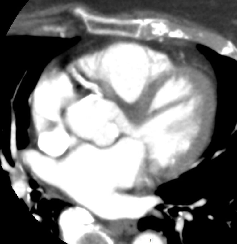
Мультиспиральная КТ сосудов сердца (коронарография) является лучевым методом исследования состояния кровеносных сосудов сердца. Это значит, что для получения изображения сосудов сердца используется рентгеновское излучение.

КТ-коронарография позволяет выявить участки сужения просвета коронарных сосудов еще до того, как появляются симптомы стенокардии. Исследование отличается быстротой, безопасностью и неинвазивностью, то есть не требует вмешательства в организм человека. Это делает КТ-коронарографию незаменимым скрининговым методом обследования для раннего выявления патологии коронарных артерий.

В нашей клинике КТ-коронарография выполняется на современных мультиспиральных компьютерных томографах последнего поколения TOSHIBA AQUILION. Трубка томографа испускает рентгеновские лучи, непрерывно вращаясь вокруг области исследования. Аппараты оборудованы увеличенным количеством детекторов, которые улавливают сигналы от внутренних органов после прохождения рентгеновских лучей. С помощью цифровых приложений полученные результаты преобразуются в трехмерные изображения сосудистой системы сердца.  

Для того, чтобы качественно визуализировать коронарные артерии пациенту внутривенно вводится контрастный препарат на основе йода. Благодаря способности контраста поглощать рентгеновские лучи, коронарные сосуды ярко контрастируют на фоне окружающих тканей. Метод КТ-коронарографии дает информацию о точной локализации стеноза, позволяет судить о степени сужения коронарных артерий, позволяет выявить аномалии развития сосудов сердца, а также оценить состояние установленных в просвет артерий стентов, функционирование шунтов после операции аортокоронарного шунтирования. При этом аппараты обеспечивают минимальную дозу рентгеновского облучения для организма человека.

Показания для выполнения КТ сосудов сердца

Свернуть/развернуть

КТ-коронарография назначается: 

  • пациентам с жалобами на давящие боли за грудиной, которые возникают при физической нагрузке и в покое и отдают в левую руку, шею, лопатку; одышку, учащенное сердцебиение, перебои в работе сердца, слабость;
  • пациентам с бессимптомным течением ишемической болезни сердца (ИБС); 
  • при наличии факторов риска (ожирение, сахарный диабет, курение, артериальная гипертензия, повышенный уровень холестерина в крови, наличие ближайших родственников, перенесших инфаркт или инсульт, низкая физическая активность);
  • пациентам с изменениями на ЭКГ, при подозрении на аномалии развития коронарных артерий по данным ЭХОКГ; 
  • пациентам с сомнительными результатами нагрузочных проб (велоэргометрия, тредмил-тест);
  • для оценки функционирования стентов и шунтов после оперативного лечения ИБС (стентирование коронарных артерий, аортокоронарное шунтирование).

Что покажет КТ сосудов сердца

Свернуть/развернуть

Мультиспиральная КТ сосудов сердца позволяет оценить анатомические особенности строения коронарных артерий, выявить участки сужения просвета сосудов, изучить структуру атеросклеротической бляшки, выявить кальциноз стенок сосудов и клапанов сердца.

Возможности КТ-коронарографии позволяют:

 

  • выявить атеросклеротические бляшки в коронарных артериях, стенозы (сужение) или окклюзии (полная закупорка просвета), патологические извитости, аномалии развития коронарных артерий;
  • дифференцировать причины болевого синдрома в грудной клетке (например, при отрицательных и сомнительных нагрузочных пробах);
  • решить вопрос о необходимости дальнейшего обследования и лечения пациента (проведение эндоваскулярной коронароангиографии, стентирования, аортокоронарного шунтирования);
  • провести профилактическое обследование пациентов с высоким риском развития ИБС для выявления коронарного атеросклероза;
  • проконтролировать эффективность проводимого лечения и определить прогрессирование атеросклероза коронарных сосудов.

Подготовка к КТ сердца

Свернуть/развернуть

Из-за того, что сердце постоянно находится в движении, для получения качественных результатов сканирования нужно, чтобы у пациента не было учащенного пульса. При невозможности самостоятельного сведения частоты сердечных сокращений до 60 ударов в минуту необходимо заранее обратиться к кардиологу, чтобы заранее назначить необходимые в подготовке препараты.

В связи с этим, мы рекомендуем перед исследованием не употреблять напитки, содержащие кофеин (чай, кофе, кока-кола). Также непосредственно перед процедурой необходимо воздержаться от курения. С целью уменьшения частоты сердцебиений за 30 минут до исследования пациенту дается препарат из группы бета-блокаторов, который урежает пульс. 

Для более точной диагностики необходимо предоставить результаты ранее выполненных исследований и все документы, относящиеся к зоне сканирования:

  • Направление лечащего врача;
  • Выписка из истории болезни или амбулаторной карты;
  • Рентгеновские снимки, CD/DVD диски предыдущих КТ-исследований сердца, результаты ЭХОКГ;
  • Заключения профильных специалистов.

Так как КТ сосудов сердца проводится с внутривенным болюсным контрастированием, то перед исследованием необходимо сдать биохимический анализ крови для оценки уровня креатинина (контрастное вещество выводится преимущественно почками, поэтому важно исключить у пациента почечную недостаточность). Анализ крови необходимо сдать в течение 2-х недель до даты исследования.

Пациентам, которые принимают по поводу сахарного диабета такие сахароснижающие препараты, как Метформин (Глюкофаж) или другие метформинсодержащие препараты, необходимо отменить прием данных лекарств за 48 часов до исследования с контрастированием и на 48 часов после введения контраста (временную отмену данных препаратов необходимо согласовать с эндокринологом).

Для введения контраста пациенту предварительно в периферическую вену (обычно в локтевую) устанавливается венозный катетер. Контрастное вещество вводится при помощи специального дозирующего устройства (инжектора), которое подключается к венозному катетеру. В первые минуты после введения контраста может появиться неприятный привкус во рту, ощущение прилива, жара во всем теле, но этот дискомфорт быстро исчезает. Контрастное вещество выводится из организма преимущественно почками в течение последующих суток.

Если контрастное усиление проводится кормящей женщине, то пациентке необходимо на 24-48 часов после процедуры с введением контраста не прикладывать ребенка к груди, при этом молоко сцеживать и выливать. Предварительно мы рекомендуем сделать запас грудного молока.

Для выполнения сканирования пациент ложится спиной на выдвижной стол томографа. По сравнению с магнитно-резонансными томографами отверстие компьютерного томографа широкое, вокруг пространство полностью открытое и свободное. 

В течение всего времени проведения процедуры медицинский персонал находится в соседнем помещении. Врач наблюдает за пациентом через смотровое окно. В определенный момент пациента просят задержать дыхание, так как при дыхательных движениях могут получиться некачественные изображения. Разговаривать с врачом можно с помощью переговорного устройства, которое вмонтировано в томограф.

В каких случаях противопоказана КТ сосудов сердца

Свернуть/развернуть

Компьютерная томография во время беременности не проводится. Во время исследования применяется рентгеновское излучение, которое может вызвать возникновение пороков развития у плода.

Кроме того, в нашей клинике нельзя провести сканирование пациентам с массой тела, превышающей 120 кг, из-за ограничения по весу подвижного стола томографа.

Противопоказано введение контрастного препарата в следующих случаях:

  • если в анамнезе имеются указания на аллергическую реакцию на йодсодержащий контрастный препарат; 
  • пациентам с заболеваниями почек, которые сопровождаются резким снижением функции почек;
  • при сердечной недостаточности;
  • при заболеваниях щитовидной железы с явлениями гипертиреоза и тиреотоксикоза;
  • в случае тяжелого течения бронхиальной астмы;
  • при декомпенсированном сахарном диабете.

Запишитесь на КТ коронарных артерий по удобному адресу

Записаться
Фильтр по услугам КТ сосудов

Введение контраста

С контрастом Без контраста

Станция метро

Площадь Восстания Проспект Просвещения Нарвская Рыбацкое Девяткино Гражданский проспект Академическая Политехническая Площадь Мужества Лесная Выборгская Площадь Ленина Чернышевская Владимирская Пушкинская Технологический институт Балтийская Кировский завод Автово Ленинский проспект Проспект Ветеранов Парнас Озерки Удельная Пионерская Чёрная речка Петроградская Горьковская Невский проспект Сенная площадь Фрунзенская Московские ворота Электросила Парк Победы Московская Звёздная Купчино Беговая Зенит Приморская Василеостровская Гостиный двор Маяковская Площадь Александра Невского Елизаровская Ломоносовская Пролетарская Обухово Спасская Достоевская Лиговский проспект Площадь Александра Невского Новочеркасская Ладожская Проспект Большевиков Улица Дыбенко Комендантский проспект Старая Деревня Крестовский остров Чкаловская Спортивная Адмиралтейская Садовая Звенигородская Обводный канал Волковская Бухарестская Международная Проспект Славы Дунайская Шушары Богатырская Каменка Театральная Горный институт Путиловская Юго-Западная Кудрово Шуваловский проспект Каретная Боровая Заставская Броневая

Возраст пациента

Взрослому Ребенку от 15 лет

Пол пациента

Мужчине Женщине

Программы страхования

ДМС Платно ОМС

Цены

Услуги, соответствующие запросу, не найдены.

КТ сосудов головного мозга
руб
6 400 руб
КТ сосудов шеи
руб
6 400 руб
КТ сосудов шеи и головного мозга (брахиоцефальных артерий)
руб
9 100 руб
КТ грудного отдела аорты и ее ветвей
руб
9 500 руб
КТ коронарных артерий (коронарография)
руб
9 500 руб
КТ легочной артерии и ее ветвей
руб
10 600 руб
КТ брюшного отдела аорты и ее ветвей
руб
9 500 руб
КТ нижней полой вены
руб
8 600 руб
КТ чревного ствола с функциональными пробами на вдохе и выдохе
руб
7 600 руб
КТ воротной вены
руб
6 400 руб
КТ сосудов почек
руб
10 600 руб
КТ сосудов малого таза
руб
6 400 руб
КТ брюшного отдела аорты и сосудов (артерий) нижних конечностей
руб
13 500 руб
КТ сосудов верхних конечностей (1 рука)
руб
6 400 руб
КТ сосудов (артерий) нижних конечностей (2 ноги)
руб
От 7 500 руб
от бифуркации аорты до коленного сустава
руб
7 500 руб
от бифуркации аорты до стопы
руб
9 500 руб

Адреса диагностических центров "Доступная Медицина"

Преимущества наших диагностических центров

Доступные цены

Приемлемые цены
на все услуги

Качественный сервис

Контроль качества
оказываемых услуг

Лучшие специалисты

Высококвалифицированные врачи

Новейшее оборудование

Современные томографы с высочайшим качеством визуализации

Близость к метро

Мы находимся в непосредственной близости от метро и остановок общественного транспорта

Лицензии

Современные томографы с высочайшим качеством визуализации

Назад
Вперед
Ключникова Екатерина Игоревна
Информация проверена главным врачом клиники Domedica24
Ключникова Екатерина Игоревна
Стаж более 8 лет, главный врач, врач-рентгенолог 1 категории
Площадь Стачек, 9">
ул. 1-я Советская, 8">