Назад КТ воротной вены в СПБ

Цена:
6 400 руб
Записаться
  • Срок получения результата В течение 24 часов
Описание

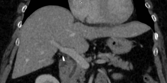
Воротная вена – это крупный венозный сосуд, в который собирается кровь от всего желудочно-кишечного тракта. Воротная вена несет венозную кровь в ворота печени для обезвреживания, выработки желчи и отложения гликогена (источника энергии для тканей).

При заболеваниях печени (гепатит, цирроз) развивается портальная гипертензия – хроническое повышение давления в просвете воротной вены. По мере увеличения давления в системе воротной вены формируются сосудистые коллатерали, то есть венозные сосуды, по которым кровь из воротной вены попадает в систему центральных вен в обход печени. Основные коллатеральные сосуды – это вены нижней трети пищевода и передней брюшной стенки.

Кроме того, в просвете воротной вены могут образовываться тромбы на фоне цирроза печени, инфекционных процессов, аномалий развития, а также за счет сдавления вены прилегающей злокачественной опухолью. 

Мультиспиральная компьютерная томография с внутривенным болюсным контрастированием является наиболее точным и информативным методом диагностики патологии воротной вены. КТ основана на применении ионизирующего излучения и способности органов и тканей в разной степени поглощать рентгеновские лучи. 

Для улучшения визуализации сосудистого русла пациенту внутривенно вводится йодсодержащий контрастный препарат. Рентгеновские лучи активно поглощаются контрастным веществом, поэтому на снимках хорошо видна сосудистая система воротной вены.

В наших медицинских центрах обследование воротной вены проводится на новейших мультиспиральных компьютерных томографах экспертного класса TOSHIBA AQUILION. Инновационные возможности аппаратов позволяют получать детальные изображения высокого качества, обеспечивая точную диагностику при минимальной лучевой нагрузке на пациента.

Показания для КТ воротной вены

Свернуть/развернуть

Прицельное исследование зоны воротной вены назначается в следующих случаях:

  • При симптомах портальной гипертензии (появление варикозно расширенных вен пищевода, передней брюшной стенки, геморроидальных вен, при накоплении патологической жидкости в брюшной полости);
  • При подозрении на тромбоз воротной вены;
  • При подозрении на сдавление воротной вены опухолью или увеличенными лимфоузлами;
  • При планировании эндоваскулярных операций по удалению тромба и стентированию воротной вены. 

Что можно диагностировать при проведении КТ воротной вены

Свернуть/развернуть

На снимках и трехмерных изображениях хорошо контрастируется сосудистая система воротной вены, участки сужения, визуализируются тромбы в просвете вены, также сеть коллатеральных сосудов, варикозно расширенные вены.

С помощью КТ воротной вены можно выявить:

  • Синдром портальной гипертензии, который может развиваться на фоне гепатитов, цирроза печени, опухолей печени и близлежащих органов, токсического поражения печени, при травмах, ожогах, при развитии застойной сердечной недостаточности.
  • Тромбоз воротной вены, который характеризуется образованием сгустков крови в просвете вены и нарушением в ней кровотока. 
  • Пилефлебит (воспаление воротной вены).
  • Врожденные аномалии развития (кавернозная трансформация).

Подготовка к КТ воротной вены

Свернуть/развернуть

Мультиспиральная компьютерная томография является быстрой и безболезненной процедурой, она не требует предварительной подготовки.

Для сравнения данных с предыдущими результатами обследований мы рекомендуем принести в день исследования врачу-рентгенологу все документы, касающиеся зоны исследования. К таким документам относятся:

  • Направление лечащего врача;
  • Выписка из истории болезни или амбулаторной карты;
  • Рентгеновские снимки, CD/DVD диски предыдущих КТ или МРТ-исследований брюшной полости, воротной вены;
  • Заключения профильных специалистов.

Так как контраст выводится из организма преимущественно почками, при выполнении процедуры с введением контрастного вещества предварительно требуется оценить функциональную способность почек. Для этого пациенту нужно сдать анализ крови на уровень креатинина (показатель, отражающий функцию почек). Анализ крови действителен не более 2 недель с момента забора биоматериала. 

Пациентам, принимающим по поводу сахарного диабета Метформин (Глюкофаж или другие метформинсодержащие препараты), необходимо согласовать с эндокринологом временную отмену данного препарата за 48 часов до исследования с контрастированием и на 48 часов после введения контраста.

Введение контрастного препарата осуществляется с помощью специального дозирующего устройства. Оно подключается к предварительно установленному в периферическую вену венозному катетеру. В момент введения контраста может быть ощущение тепла или жара во всем теле и неприятный привкус во рту, но этот дискомфорт полностью исчезает через 1-2 минуты.

Если необходимо проведение внутривенного болюсного контрастирования женщине в период лактации, то мы рекомендуем предварительно сделать запас грудного молока, а после процедуры с введением контраста не прикладывать ребенка к груди в течение 24-48 часов, при этом молоко нужно сцеживать и выливать.

Исследование проводится лежа на спине на выдвижном столе томографа, который плавно передвигается в кольцевой раме томографа.

Врач-рентгенолог и рентгенолаборант находятся в соседнем помещении, отделенном от диагностического кабинета стеклянной перегородкой. Связь с пациентом осуществляется через переговорное устройство, встроенное в томограф.

Противопоказания для проведения КТ воротной вены

Свернуть/развернуть

Компьютерная томография основана на использовании рентгеновского излучения, поэтому может негативно влиять на плод во время внутриутробного развития. Учитывая это, КТ не проводится женщинам в течение всего периода беременности.

Кроме того, компьютерные томографы имеют ограничения по весу, поэтому в наших центрах невозможно выполнить КТ пациентам с массой тела, превышающей 120 кг.

В некоторых случаях у пациента могут быть ограничения для введения контрастного препарата. Поэтому контрастирование не проводится:

  • если ранее отмечались аллергические реакции на йодсодержащие контрастные препараты; 
  • если у пациента имеются заболевания почек с развитием выраженной почечной недостаточности;
  • при наличии застойной сердечной недостаточности;
  • если имеются заболевания щитовидной железы с явлениями гипертиреоза, тиреотоксикоза;
  • в случае тяжелого течения бронхиальной астмы;
  • при декомпенсированном сахарном диабете.

 

Запишитесь на КТ воротной вены по удобному адресу

Записаться
Фильтр по услугам КТ сосудов

Введение контраста

С контрастом Без контраста

Станция метро

Площадь Восстания Проспект Просвещения Нарвская Рыбацкое Девяткино Гражданский проспект Академическая Политехническая Площадь Мужества Лесная Выборгская Площадь Ленина Чернышевская Владимирская Пушкинская Технологический институт Балтийская Кировский завод Автово Ленинский проспект Проспект Ветеранов Парнас Озерки Удельная Пионерская Чёрная речка Петроградская Горьковская Невский проспект Сенная площадь Фрунзенская Московские ворота Электросила Парк Победы Московская Звёздная Купчино Беговая Зенит Приморская Василеостровская Гостиный двор Маяковская Площадь Александра Невского Елизаровская Ломоносовская Пролетарская Обухово Спасская Достоевская Лиговский проспект Площадь Александра Невского Новочеркасская Ладожская Проспект Большевиков Улица Дыбенко Комендантский проспект Старая Деревня Крестовский остров Чкаловская Спортивная Адмиралтейская Садовая Звенигородская Обводный канал Волковская Бухарестская Международная Проспект Славы Дунайская Шушары Богатырская Каменка Театральная Горный институт Путиловская Юго-Западная Кудрово Шуваловский проспект Каретная Боровая Заставская Броневая

Возраст пациента

Взрослому Ребенку от 15 лет

Пол пациента

Мужчине Женщине

Программы страхования

ДМС Платно ОМС

Цены

Услуги, соответствующие запросу, не найдены.

КТ сосудов головного мозга
руб
6 400 руб
КТ сосудов шеи
руб
6 400 руб
КТ сосудов шеи и головного мозга (брахиоцефальных артерий)
руб
9 100 руб
КТ грудного отдела аорты и ее ветвей
руб
9 500 руб
КТ коронарных артерий (коронарография)
руб
9 500 руб
КТ легочной артерии и ее ветвей
руб
10 600 руб
КТ брюшного отдела аорты и ее ветвей
руб
9 500 руб
КТ нижней полой вены
руб
8 600 руб
КТ чревного ствола с функциональными пробами на вдохе и выдохе
руб
7 600 руб
КТ воротной вены
руб
6 400 руб
КТ сосудов почек
руб
10 600 руб
КТ сосудов малого таза
руб
6 400 руб
КТ брюшного отдела аорты и сосудов (артерий) нижних конечностей
руб
13 500 руб
КТ сосудов верхних конечностей (1 рука)
руб
6 400 руб
КТ сосудов (артерий) нижних конечностей (2 ноги)
руб
От 7 500 руб
от бифуркации аорты до коленного сустава
руб
7 500 руб
от бифуркации аорты до стопы
руб
9 500 руб

Адреса диагностических центров "Доступная Медицина"

Преимущества наших диагностических центров

Доступные цены

Приемлемые цены
на все услуги

Качественный сервис

Контроль качества
оказываемых услуг

Лучшие специалисты

Высококвалифицированные врачи

Новейшее оборудование

Современные томографы с высочайшим качеством визуализации

Близость к метро

Мы находимся в непосредственной близости от метро и остановок общественного транспорта

Лицензии

Современные томографы с высочайшим качеством визуализации

Назад
Вперед
Ключникова Екатерина Игоревна
Информация проверена главным врачом клиники Domedica24
Ключникова Екатерина Игоревна
Стаж более 8 лет, главный врач, врач-рентгенолог 1 категории
Площадь Стачек, 9">
ул. 1-я Советская, 8">