КТ пальцев рук в СПБ
- Срок получения результата В течение дня
Пальцы являются частью кисти руки и состоят из нескольких мелких костей, которые называются фалангами. Фаланги относятся к коротким трубчатым костям и соединены между собой межфаланговыми суставами. Пальцы имеют богатое кровоснабжение и иннервацию, что обеспечивает точность и сложность их движений.
Пальцы рук выполняют функцию мелкой моторики (то есть различные координированные мелкие движения), это имеет огромное значение для человека в плане самообслуживания и осуществления трудовой деятельности.
Достаточно часто встречаются травмы пальцев рук и различные заболевания мелких суставов кисти. При этом нарушение функции кистей рук приводит к серьезным отрицательным последствиям для человека в виде снижения трудоспособности и ограничения навыков самообслуживания.
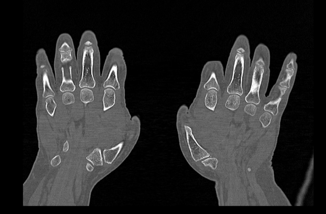
Мультиспиральная компьютерная томография является наиболее точным и информативным методом диагностики травматических повреждений и различных заболеваний костей и суставов пальцев рук. КТ относится к лучевым методам обследования, то есть основан на применении рентгеновского излучения. Быстрота выполнения, неинвазивность (не нужно вмешательство в организм), доступная стоимость делают это исследование незаменимым в травматологии и ортопедии. С помощью КТ проводится диагностика вывихов, ушибов, переломов костей пальцев руки.
Кроме того, КТ пальцев рук применяется для выявления системных заболеваний соединительной ткани с преимущественным поражением мелких суставов (в частности, ревматоидный артрит). Также при помощи КТ можно оценить плотность костной ткани и выявить остеопороз. Методика позволяет обнаружить очаги воспаления и деструкции костной ткани, доброкачественные и злокачественные опухоли.
При помощи проникающей способности рентгеновских лучей томограф производит послойное сканирование исследуемой области. В результате получаются детальные снимки, а после цифровой обработки данных – подробные трехмерные изображения кисти и пальцев руки.
В наших медицинских центрах КТ пальцев рук выполняется на новейших мультиспиральных компьютерных томографах экспертного уровня TOSHIBA AQUILION. Современное оснащение аппаратов позволяет получать детальные изображения высокого уровня четкости и контрастности, что обеспечивает точность и достоверность диагностики. При этом за счет скоростного мультисрезового сканирования пациент получает уменьшенную дозу рентгеновского облучения.
В ряде случаев для улучшения визуализации мягких тканей кисти руки дополнительно применяется контрастное усиление путем внутривенного введения йодсодержащего контрастного препарата. Методика используется, в частности, при подозрении на опухолевые заболевания. Контраст улучшает визуализацию патологически измененных тканей и помогает диагностировать опухоли минимальных размеров.
- Показания для КТ пальцев рук
- Что можно выявить при проведении КТ пальцев рук?
- Подготовка к КТ пальцев рук
- Какие есть противопоказания для проведения КТ пальцев рук?
Показания для КТ пальцев рук
Врач может направить на КТ пальцев рук при появлении у пациента следующих жалоб:
- Боли и ограничение подвижности в суставах кистей рук;
- Тугоподвижность в суставах пальцев рук, хруст и щелчки при движении суставов;
- Трудности при выполнении мелких и точных движений пальцами (шитье, завязывание узлов, письмо, печатание и др), уменьшение силы кистевого захвата;
- Припухлость, покраснение болезненность межфаланговых суставов пальцев рук;
- Онемение, бледность кожи пальцев при стрессе или на холоде;
- Деформация межфаланговых суставов.
КТ пальцев рук может назначается при травмах, при необходимости определения объема оперативного вмешательства и в послеоперационном периоде для отслеживания процесса восстановления.
Что можно выявить при проведении КТ пальцев рук?
Мультиспиральная компьютерная томография позволяет диагностировать:
- Различные виды травм пальцев – ушибы, вывихи, переломы;
- Дегенеративно-дистрофические заболевания (остеоартроз межфаланговых суставов пальцев рук);
- Системные воспалительные заболевания соединительной ткани, аутоиммунные процессы (ревматоидный артрит, волчаночный артрит, псориатический артрит);
- Инфекционные поражения костей и суставов пальцев рук, остеомиелит;
- Врожденные аномалии развития;
- Доброкачественные и злокачественные опухоли костей и хрящевой ткани пальцев рук.
Подготовка к КТ пальцев рук
Компьютерная томография является быстрой неинвазивной безболезненной процедурой. Специальная подготовка к исследованию не нужна. От пациента требуется только сохранять неподвижность в течение нескольких минут.
Важно принести с собой все документы, касающиеся зоны исследования. В перечень документов входит:
- Направление лечащего врача;
- Выписка из истории болезни или амбулаторной карты;
- Рентгеновские снимки, CD/DVD диски предыдущих КТ и МРТ исследований кистей или пальцев рук;
- Заключения специалистов.
Если планируется введение контрастного вещества, то необходимо предоставить результат анализа крови на уровень креатинина (показатель, отражающий функцию почек). Анализ действителен не более 2 недель с момента забора крови.
Пациентам, принимающим по поводу сахарного диабета Метформин (Глюкофаж) или другие метформинсодержащие препараты, необходимо прекратить прием данного препарата за 48 часов до исследования с контрастированием и на 48 часов после введения контраста. По поводу временной отмены данных препаратов нужно посоветоваться с эндокринологом.
Контрастный препарат вводится внутривенно с помощью автоматического шприца (инжектора). Инжектор подключается к предварительно установленному в локтевую вену венозному катетеру. При введении контраста можно почувствовать теплоту во всем теле и неприятный привкус во рту, но эти дискомфортные ощущения проходят через 1-2 минуты.
Если требуется выполнить КТ с контрастированием кормящей женщине, то мы рекомендуем таким пациенткам на 24-48 часов после процедуры с введением контраста прервать грудное вскармливание, предварительно сделав запас грудного молока. При этом молоко нужно сцеживать из груди и выливать.
Пациент во время процедуры исследования располагается лежа на специальном столе, который двигается в раме томографа. По сравнению с МРТ отверстие томографа широкое, вокруг пространство полностью открытое и свободное.
Врач находится в соседнем помещении, наблюдает за пациентом через окно, общение происходит через переговорное устройство, вмонтированное в аппарат. Пациент при необходимости может вызвать медицинский персонал, нажав на специальную сигнальную кнопку.
Какие есть противопоказания для проведения КТ пальцев рук?
КТ не рекомендуется выполнять беременным женщинам из-за вредного воздействия на плод рентгеновского излучения. Поэтому мы просим женщин обязательно сообщить врачу о наличии у них возможной беременности.
Кроме того, технически невозможно выполнить КТ пальцев рук из-за веса пациента, превышающего 120 кг, так как подвижная часть томографа имеет ограничения по весу.
При необходимости проведения КТ пальцев рук с внутривенным болюсным контрастированием пациент может иметь противопоказания для введения контрастного препарата. К ним относятся:
- аллергическая реакция на йодсодержащий контрастный препарат в анамнезе;
- заболевания почек с выраженным снижением их функции;
- застойная сердечная недостаточность;
- заболевания щитовидной железы с явлениями гипертиреоза и тиреотоксикоза;
- тяжелое течение бронхиальной астмы;
- декомпенсированный сахарный диабет.
Запишитесь на КТ пальцев рук по удобному адресу
ЗаписатьсяСтанция метро
Площадь Восстания Проспект Просвещения Нарвская Рыбацкое Девяткино Гражданский проспект Академическая Политехническая Площадь Мужества Лесная Выборгская Площадь Ленина Чернышевская Владимирская Пушкинская Технологический институт Балтийская Кировский завод Автово Ленинский проспект Проспект Ветеранов Парнас Озерки Удельная Пионерская Чёрная речка Петроградская Горьковская Невский проспект Сенная площадь Фрунзенская Московские ворота Электросила Парк Победы Московская Звёздная Купчино Беговая Зенит Приморская Василеостровская Гостиный двор Маяковская Площадь Александра Невского Елизаровская Ломоносовская Пролетарская Обухово Спасская Достоевская Лиговский проспект Площадь Александра Невского Новочеркасская Ладожская Проспект Большевиков Улица Дыбенко Комендантский проспект Старая Деревня Крестовский остров Чкаловская Спортивная Адмиралтейская Садовая Звенигородская Обводный канал Волковская Бухарестская Международная Проспект Славы Дунайская Шушары Богатырская Каменка Театральная Горный институт Путиловская Юго-Западная Кудрово Шуваловский проспект Каретная Боровая Заставская БроневаяРайон
Центральный Выборгский Кировский Адмиралтейски Василеостровский Калининский Колпинский Красногвардейский Красносельски Кронштадтский Курортный Московский Невский Петроградский Петродворцовый Приморский Пушкинский ФрунзенскийГород
Санкт-Петербург Бокситогорск Бугры Волосово Волхов Всеволожск Выборг Высоцк Гатчина Ивангород Каменногорск Кингисепп Кириши Кировск Колтуши Коммунар Кудрово Лодейное Поле Луга Любань Мурино Никольское Новая Ладога Отрадное Пикалёво Подпорожье Приморск Приозерск Светогорск Сертолово Сланцы Сосновый Бор Сясьстрой Тельмана Тихвин Тосно ШлиссельбургЦены
Услуги, соответствующие запросу, не найдены.
Адреса диагностических центров "Доступная Медицина"
Преимущества наших диагностических центров
Доступные цены
Приемлемые цены
на все услуги
Качественный сервис
Контроль качества
оказываемых услуг
Лучшие специалисты
Высококвалифицированные врачи
Новейшее оборудование
Современные томографы с высочайшим качеством визуализации
Близость к метро
Мы находимся в непосредственной близости от метро и остановок общественного транспорта
Наше оборудование
КТ-СПЕЦИАЛИСТЫ
Лицензии
Современные томографы с высочайшим качеством визуализации
Статьи наших врачей