Назад КТ шеи с контрастом в СПБ

Цена:
от 6 600 руб
Записаться
  • Введение контраста Да
  • Длительность выполнения 20 минут
  • Ограничения по весу 120 кг
  • Ограничения по возрасту От 15 лет
  • Срок получения результата В течение 24 часов
Описание

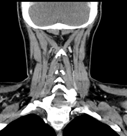
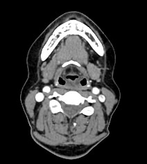
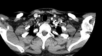
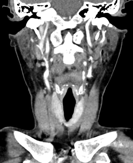
Мультиспиральная компьютерная томография – это высокоинформативный лучевой метод диагностики различной патологии мягких тканей шеи, включая воспалительные заболевания, травматические повреждения и опухолевые процессы. КТ позволяет оценить состояние щитовидной железы, паращитовидных желез, гортани, верхней части пищевода, магистральных сосудов шеи, шейных лимфоузлов и окружающих мягких тканей.

Метод КТ основан на применении рентгеновского излучения. Однако в отличие от обычного рентгена, при котором снимки производятся в одной плоскости, при КТ излучатель рентгеновских лучей постоянно двигается вокруг объекта исследования, проводя сканирование в различных плоскостях, а затем трансформируя полученные данные в цифровые трехмерные изображения. Это дает возможность визуализировать органы и ткани в мельчайших подробностях, а с помощью объемных 3D-реконструкций наглядно оценить пространственное расположение органов и патологических образований.

Рентгеновские лучи лучше всего поглощаются плотными структурами, такими как костная ткань. Поэтому кости хорошо видны на снимках КТ. Это делает компьютерную томографию незаменимой при необходимости обследования, в частности, костного скелета гортани. Однако для улучшения визуализации мягких тканей требуется введение специального контрастного препарата, поэтому КТ мягких тканей шеи проводится с контрастным усилением. 

Для контрастирования используется йодсодержащее контрастное вещество, которое в составе рентгеноконтрастного препарата вводится в вену пациенту непосредственно во время исследования. Благодаря способности контраста поглощать рентгеновские лучи на снимках КТ хорошо контрастируются кровеносные сосуды и опухолевые образования, имеющие, как правило, развитую сосудистую сеть. Методика внутривенного болюсного контрастирования помогает обнаружить воспалительные изменения, отличить доброкачественные опухоли от злокачественных, выявить поражение лимфатических узлов и степень прорастания опухоли в магистральные сосуды и окружающие ткани.

В наших диагностических центрах КТ шеи с контрастом проводится на современном высокоточном оборудовании – мультиспиральных компьютерных томографах последнего поколения TOSHIBA AQUILION. Благодаря методике скоростного мультисрезового сканирования, которая применяется на современных аппаратах, пациент получает минимальную дозу рентгеновского облучения, при этом за счет увеличенного количества детекторов обеспечивается высокое качество изображений на снимках и трехмерных реконструкциях.

В случае невозможности проведения КТ (например, во время беременности или при непереносимости контраста) альтернативой служит другой высокочувствительный метод исследования – магнитно-резонансная томография. Метод МРТ основан на применении внешнего магнитного поля без использования рентгеновского излучения. В нашей клинике можно пройти МРТ мягких тканей шеи на новейшем магнитно-резонансном томографе экспертного класса и по доступной цене.

Показания для КТ шеи с контрастом

Свернуть/развернуть

Исследование мягких тканей шеи при помощи компьютерной томографии рекомендуется выполнить при следующих показаниях:

  • в случае подозрения на опухолевые новообразования гортани, пищевода, щитовидной железы и паращитовидных желез или при выявленных ранее опухолях этой области с целью их контроля на фоне лечения;
  • увеличение шейных лимфатических узлов;
  • осиплость голоса или афония; 
  • шумное дыхание за счет обструкции в области голосовой щели или верхних дыхательных путей;
  • травматические повреждения гортани и мягких тканей шеи, а также посттравматические изменения;
  • нарушения акта глотания и признаки сдавления пищевода;
  • при подозрении на наличие камней в протоках слюнных желез;
  • при попадании инородного тела в верхние дыхательные пути или пищевод;
  • в ходе предоперационной подготовки и после операции для отслеживания эффективности хирургического лечения и процесса восстановления.

Что показывает КТ шеи с контрастом?

Свернуть/развернуть

Данное обследование позволяет оценить состояние следующих анатомических структур: 

  • щитовидная железа (размеры органа, однородность структуры, кисты, узловые образования, опухоли);
  • паращитовидные железы (количество, размеры, точная локализация желез, нетипичное расположение, формирование кистозных образований, аденом, опухолевых узлов);
  • гортань (состояние костного скелета и хрящей гортани, заболевания голосовых связок, опухолевые образования, полипы, аномалии развития);
  • трахея (состояние хрящевого скелета трахеи, наличие инородных предметов, доброкачественных и злокачественных образований);
  • пищевод (состояние слизистой и стенок пищевода, наличие дивертикулов, инородных тел, опухолевых образований);
  • состояние регионарных лимфоузлов;
  • состояние магистральных сосудов шеи, кровоснабжающих головной мозг (аномалии развития, сужения, аневризмы артерий);
  • строение шейных позвонков, межпозвоночных дисков, грыжи дисков;
  • мышцы и клетчаточные пространства шеи.

Подготовка к КТ шеи с контрастом

Свернуть/развернуть

К данному исследованию не требуется сложной специальной подготовки, однако нужно учесть некоторые особенности.

За 2 дня до исследования нужно отменить прием йодсодержащих препаратов, также исключить из рациона питания продукты, богатые йодом (морские водоросли, рыба и морепродукты, йодированная соль, яйца, цельное молоко), так как они могут искажать результаты сканирования.

Перед проведением КТ мы рекомендуем принести с собой всю медицинскую документацию, которая относится к зоне исследования: 

  • Направление от лечащего врача;
  • CD/DVD диски предыдущих КТ-исследований щитовидной железы и средостения, результаты УЗИ или МРТ щитовидной железы, гортани, мягких тканей шеи;
  • Выписки из амбулаторных карт и стационаров;
  • Заключения профильных специалистов.

При необходимости проведения КТ с контрастированием предварительно нужно сдать анализ крови на креатинин для оценки выводящей функции почек. Анализ действителен в течение 14 дней. Так как контраст выводится преимущественно почками, при наличии почечной недостаточности контрастирование не проводится. 

Пациентам, которые принимают по поводу сахарного диабета такие сахароснижающие препараты, как Метформин или Глюкофаж, необходимо отменить прием данных препаратов за 48 часов до исследования с контрастированием и на 48 часов после введения контраста (временную отмену данных препаратов необходимо согласовать с эндокринологом).

Контрастный препарат вводится внутривенно через установленный в периферическую вену венозный катетер с помощью автоматического устройства (инжектора). В момент введения контраста может появиться неприятный привкус во рту, ощущение тепла во всем теле, но этот дискомфорт через пару минут быстро исчезает. Контрастное вещество в течение последующих суток полностью выводится из организма преимущественно почками.

Кормящие женщины, нуждающиеся в проведении КТ с контрастированием, должны на 24-48 часов после процедуры с введением контраста исключить грудное вскармливание, при этом молоко сцеживать и выливать. Предварительно рекомендуется сделать для ребенка запас грудного молока.

Чтобы исключить появление нечеткости изображений на снимках, пациента попросят не двигаться в течение всей процедуры. Врач-рентгенолог во время исследования находится в соседнем помещении, разделенном с диагностическим кабинетом стеклянной перегородкой. В аппарат вмонтировано переговорное устройство, с помощью которого можно разговаривать с врачом и при необходимости вызвать медицинский персонал.

Противопоказания для проведения КТ шеи с контрастом

Свернуть/развернуть

Абсолютным противопоказаниям для проведения компьютерной томографии является беременность на любом сроке, так как рентгеновское излучение даже в малых дозах оказывает вредное воздействие на плод.

Также в нашей клинике невозможно выполнить КТ пациентам, у которых масса тела превышает 120 кг (ограничения по весу имеет выдвижной стол томографа).

Кроме того, имеются противопоказания для введения йодсодержащего контрастного вещества:

  • аллергия на йодсодержащие контрастные вещества;
  • заболевания почек с выраженной почечной недостаточностью;
  • застойная сердечной недостаточности;
  • заболевания щитовидной железы, сопровождающиеся гипертиреозом и тиреотоксикозом;
  • при тяжелом течении бронхиальной астмы;
  • в случае декомпенсированного сахарного диабета.

Что показывает КТ шеи с контрастом

Свернуть/развернуть
  • очаги разрушения хрящей гортани;
  • гнойно-воспалительные образования и кисты мягких тканей;
  • травматические повреждения;
  • расширение и выпячивание стенок пищевода (дивертикулы);
  • Атеросклероз, сужение и закупорку (стеноз и окклюзия) артерий
  • аномалии развития полых органов;
  • наличие камней в протоках слюнных желез;
  • узлы в тканях щитовидной железы;
  • увеличение, неоднородную структуру щитовидной  железы
  • увеличение паращитовидных желез;
  • новообразования костей и мягких тканей, метастазы;
  • аневризму, сдавливание сосудов крупными новообразованиями
  • Наличие инородных тел;
  • Деформационные изменения позвонков
  • увеличение лимфатических узлов

Запишитесь на КТ шеи с контрастом по удобному адресу

Записаться
Фильтр по услугам КТ с контрастом

Введение контраста

С контрастом Без контраста

Станция метро

Площадь Восстания Проспект Просвещения Нарвская Рыбацкое Девяткино Гражданский проспект Академическая Политехническая Площадь Мужества Лесная Выборгская Площадь Ленина Чернышевская Владимирская Пушкинская Технологический институт Балтийская Кировский завод Автово Ленинский проспект Проспект Ветеранов Парнас Озерки Удельная Пионерская Чёрная речка Петроградская Горьковская Невский проспект Сенная площадь Фрунзенская Московские ворота Электросила Парк Победы Московская Звёздная Купчино Беговая Зенит Приморская Василеостровская Гостиный двор Маяковская Площадь Александра Невского Елизаровская Ломоносовская Пролетарская Обухово Спасская Достоевская Лиговский проспект Площадь Александра Невского Новочеркасская Ладожская Проспект Большевиков Улица Дыбенко Комендантский проспект Старая Деревня Крестовский остров Чкаловская Спортивная Адмиралтейская Садовая Звенигородская Обводный канал Волковская Бухарестская Международная Проспект Славы Дунайская Шушары Богатырская Каменка Театральная Горный институт Путиловская Юго-Западная Кудрово Шуваловский проспект Каретная Боровая Заставская Броневая

Возраст пациента

Взрослому Ребенку от 15 лет

Пол пациента

Мужчине Женщине

Программы страхования

ДМС Платно ОМС

Цены

Услуги, соответствующие запросу, не найдены.

КТ головного мозга с контрастом
руб
От 6 400 руб
КТ околоносовых пазух с контрастом
руб
От 6 400 руб
КТ орбит с контрастом
руб
От 6 400 руб
КТ носоглотки с контрастом
руб
От 6 400 руб
КТ щитовидной железы с контрастом
руб
От 6 400 руб
КТ лимфатических узлов с контрастом
руб
От 6 400 руб
КТ гортани с контрастом
руб
От 6 400 руб
КТ шеи с контрастом
руб
От 6 600 руб
КТ легких с контрастом
руб
От 6 400 руб
КТ почек с контрастом
руб
От 6 400 руб
КТ печени с контрастом
руб
От 6 400 руб
КТ селезенки с контрастом
руб
От 6 400 руб
КТ поджелудочной железы с контрастом
руб
От 6 400 руб
КТ надпочечников с контрастом
руб
От 6 400 руб
КТ мочевого пузыря с контрастом
руб
От 6 400 руб
КТ одной анатомической зоны с контрастом
руб
От 6 400 руб
КТ брюшной полости и забрюшинного пространства с контрастом
руб
От 6 400 руб
КТ таза с контрастом
руб
От 6 400 руб
КТ верхней конечности с контрастом
руб
От 6 400 руб
КТ нижних конечностей с контрастом
руб
От 7 500 руб
от бифуркации аорты до коленного сустава
руб
От 7 500 руб
от бифуркации аорты до стопы
руб
От 9 500 руб
Контраст 100 мл (до 100 кг)
руб
3 500 руб
Контраст 150 мл (от 100 кг до 120 кг)
руб
4 500 руб

Адреса диагностических центров "Доступная Медицина"

Преимущества наших диагностических центров

Доступные цены

Приемлемые цены
на все услуги

Качественный сервис

Контроль качества
оказываемых услуг

Лучшие специалисты

Высококвалифицированные врачи

Новейшее оборудование

Современные томографы с высочайшим качеством визуализации

Близость к метро

Мы находимся в непосредственной близости от метро и остановок общественного транспорта

Лицензии

Современные томографы с высочайшим качеством визуализации

Назад
Вперед
Ключникова Екатерина Игоревна
Информация проверена главным врачом клиники Domedica24
Ключникова Екатерина Игоревна
Стаж более 8 лет, главный врач, врач-рентгенолог 1 категории
Площадь Стачек, 9">
ул. 1-я Советская, 8">