КТ черепа в СПБ
- Введение контраста Нет
- Длительность выполнения 10 минут
- Ограничения по весу 120 кг
- Ограничения по возрасту От 15 лет
- Срок получения результата В течение дня
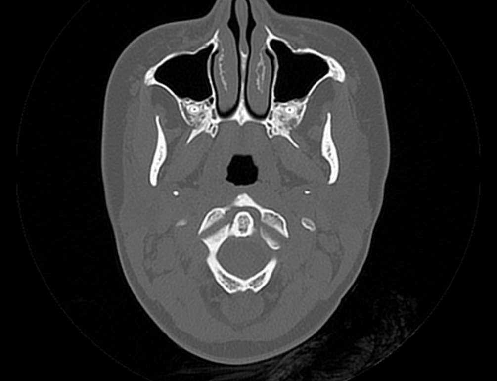
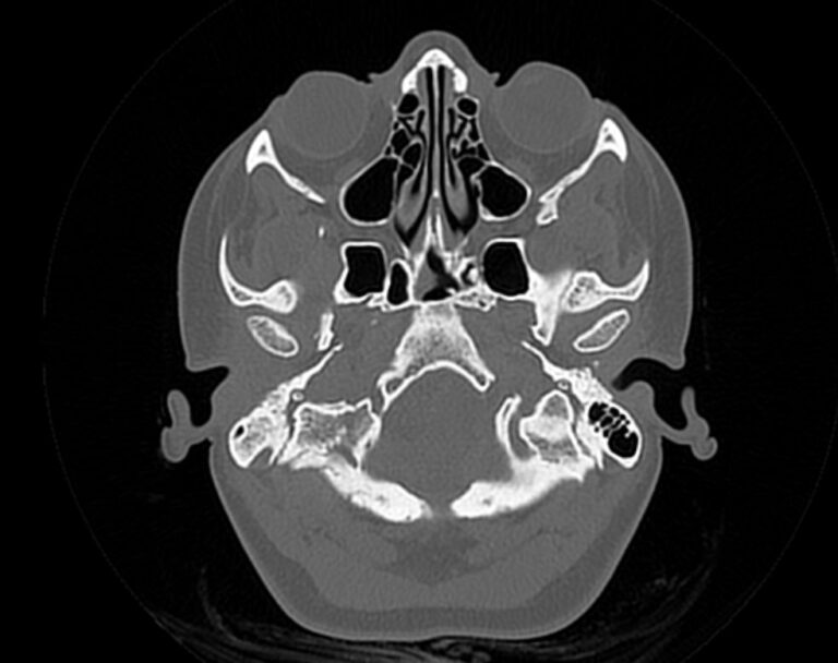
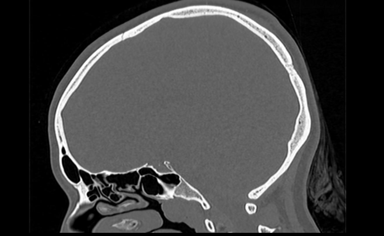
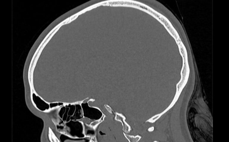
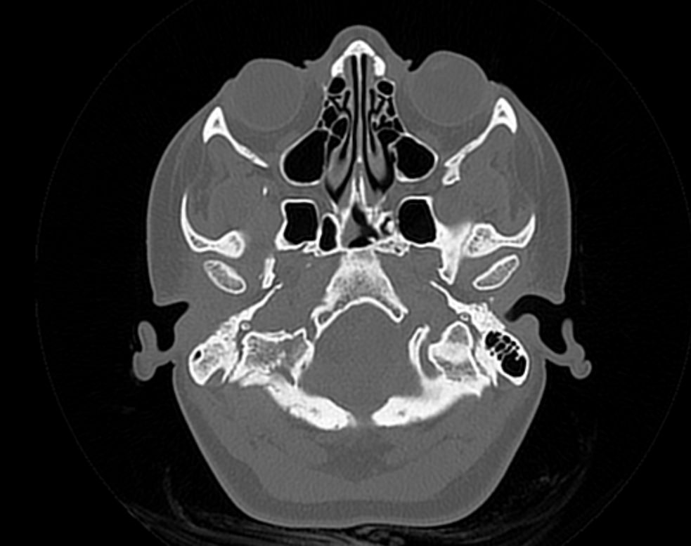
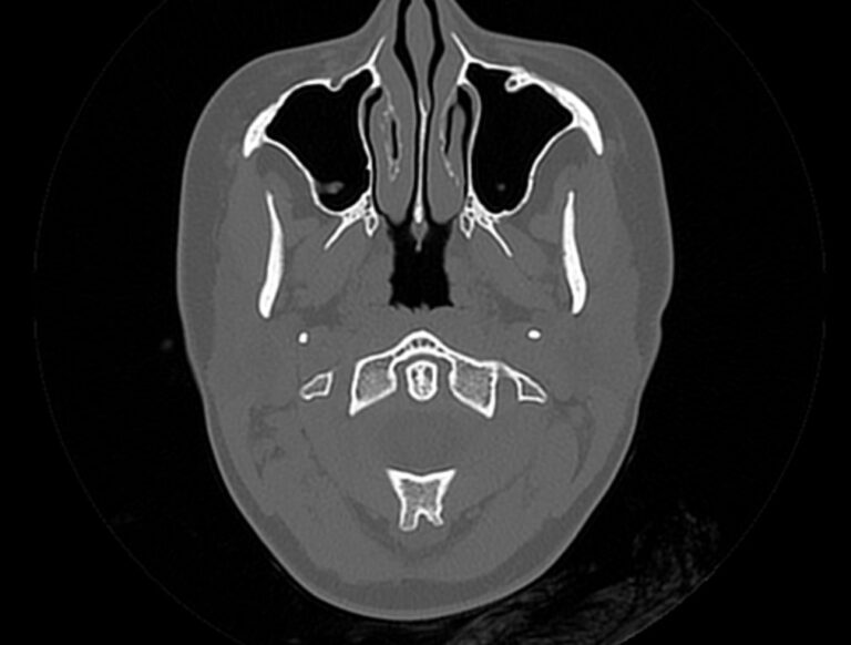
Черепная коробка состоит из мозгового и лицевого отделов. Лицевой череп образован костями верхней и нижней челюсти, скуловыми костями, решетчатой и клиновидной костью. Свод черепа состоит из височной, лобной, теменной и затылочной костей, соединенных между собой посредством межкостных швов.
Мультиспиральная компьютерная томография является наилучшим методом диагностики патологии костей черепа. В основе методики лежит использование рентгеновского излучения с последующей цифровой обработкой полученных данных и получения трехмерных реконструкций изображений.
Костная ткань отличается высокой плотностью и способна в большой степени поглощать рентгеновские лучи. Поэтому на послойных снимках, полученных при проведении мультиспиральной КТ черепа можно детально рассмотреть свод черепа, кости лица, основание черепа. Это позволяет с наибольшей точностью визуализировать различные объемные образования, такие как остеомы, дифференцировать фиброзную дисплазию или костные метастазы. Преимуществами методики КТ является отличная визуализация костных структур, быстрота выполнения процедуры и доступная цена. Все это делает КТ незаменимой при диагностике травматических повреждений (например переломов основания черепа или орбит), аномалий развития, при планировании оперативных вмешательств.
В нашей клинике КТ черепа выполняется на современном оборудовании, представленном мультиспиральными томографами последнего поколения TOSHIBA AQUILION. За счет увеличенного количества сверхчувствительных детекторов аппараты обеспечивают высокое качество изображений, что способствует проведению точной и достоверной диагностики. При этом пациент получает минимальную дозу облучения.
В ряде случаев стандартная компьютерная томография дополняется проведением внутривенного болюсного контрастирования. Для этого пациенту внутривенно вводится йодсодержащий контрастный препарат, который в большей степени накапливается в патологических очагах. Благодаря способности контраста поглощать рентгеновские лучи патологические участки становятся хорошо видны на снимках.
Контрастное усиление преимущественно используется при подозрении на опухолевый процесс с поражением костей черепа, волосистой части головы и позволяет выявлять онкологические заболевания на начальной стадии развития, когда лечение наиболее эффективно.
Для оценки твердой и мягкой оболочек мозга, которые изнутри прилегают к черепной коробке, более информативным методом исследования является магнитно-резонансная томография, которая дает наиболее полную информацию о состоянии мягкотканных структур и является «золотым стандартом» диагностики заболеваний центральной нервной системы. В нашей клинике МРТ головного мозга можно пройти на современном высокопольном 32-канальном магнитно-резонансном томографе экспертного класса.
- Показания для проведения КТ черепа
- Какая нужна подготовка к проведению КТ черепа?
- В каких случаях нельзя провести КТ черепа?
- Что показывает КТ черепа
Показания для проведения КТ черепа
- частые головные боли без установленной причины;
- при травмах головы, лица;
- потери или нарушение сознания;
- при подозрении врача на нейродегенеративное заболевание;
- при подозрении на опухоль головного мозга, уха, глаз или носовых пазух;
- эпилептический обморок с судорогами;
- при наличии пирамидных симптомов (парез, паралич, повышение или снижение мышечного тонуса);
- с экстрапирамидными симптомами (нарушения походки, движения, тремор, ригидность мышц);
- психические расстройства, которые могут быть результатом повреждения мозга, также могут быть показанием для компьютерной томографии головы.
- если необходимо уточнить наличие или опровергнуть факт отсутствия аномалий, отклонений от норм.
- при резком ухудшении зрения, слуха без видимых на то причин.
- чтобы дифференцировать злокачественные и доброкачественные образования.
- чтобы определить глубину, контуры и тяжесть ушибов и травм лицевой части головы.
- при подозрении на инсульт.
- при кровоизлиянии мозга.
- гидроцефалия.
Какая нужна подготовка к проведению КТ черепа?
Данное исследование не требует специальной подготовки, поэтому мультиспиральная КТ может выполняться как в плановом порядке, так и в экстренной ситуации, например, при черепно-мозговых травмах.
Для более точной диагностики, желательно сравнить снимки с имеющимися предыдущими результатами исследований, поэтому желательно принести с собой все документы, которые относятся к зоне сканирования:
- Направление от лечащего врача;
- CD/DVD диски предыдущих КТ или МРТ костей черепа, головного мозга;
- Выписки из амбулаторных карт и стационаров;
- Заключения профильных специалистов.
Если пациенту требуется использование контраста, то в этом случае необходимо за 2 недели до даты исследования сдать анализ крови для оценки уровня креатинина. Этот показатель показывает состояние функции почек и имеет важное значение, так как контраст выводится из организма преимущественно почками. При резко выраженном снижении функции почек пациенту нельзя вводить контраст, тогда проводится только нативная КТ, кроме того, врач-рентгенолог может посоветовать другой способ визуализации черепной коробки.
При необходимости введения контрастного вещества пациентам, принимающим по поводу сахарного диабета Метформин или Глюкофаж (а также другие препараты, содержащие Метформин), требуется посоветоветоваться с эндокринологом о временной отмене данных препаратов за 48 часов до КТ черепа с контрастированием и на 48 часов после исследования.
Женщинам в период лактации нужно иметь в виду, что контраст также выводится и с грудным молоком. Поэтому мы рекомендуем кормящим мамам в течение 24-48 часов после процедуры с введением контраста не прикладывать малыша к груди (предварительно сделайте ребенку запас грудного молока).
КТ черепа – быстрая и безболезненная процедура. Нативная компьютерная томография займет не более 2-3 минут, при введении контраста – около 10 минут.
Если запланировано применение контрастного усиления, то пациенту в периферическую вену предварительно ставится венозный катетер. Во время сканирования контраст вводится с помощью автоматического шприца (инжектора), подключенного к катетеру. В момент поступления контраста в кровь может появиться ощущение жара, прилива к телу, неприятный привкус во рту, но этот дискомфорт быстро проходит.
Пациент во время исследования лежит на выдвижной части томографа лицом вверх. Стол вместе с пациентом двигается в кольце аппарата, при этом отверстие кольца широкое, вокруг пространство свободное.
Чтобы получились качественные снимки, мы просим пациента не двигаться во время сканирования.
Медицинский персонал в течение процедуры находится в соседнем кабинете за стеклянным окном. При необходимости пациент может разговаривать с врачом при помощи голосовой связи, которой оснащен томограф.
В каких случаях нельзя провести КТ черепа?
Нативная КТ имеет мало противопоказаний. В частности, КТ не проводится в течение всего срока беременности из-за того, что рентгеновские лучи, на использовании которых основана методика компьютерной томографии, могут вызвать пороки развития или гибель плода во время внутриутробного развития.
Кроме того, в связи с техническими характеристиками томографов в наших медицинских центрах нельзя выполнить КТ пациентам с массой тела более 120 кг (ограничения касаются выдвижного стола томографа).
В ряде случаев противопоказания касаются применения контрастных препаратов. КТ с контрастированием противопоказано в следующих случаях:
- Если у пациента ранее были аллергические реакции на йодсодержащий контрастный препарат;
- В случае резко выраженной почечной недостаточности;
- При заболеваниях щитовидной железы с явлениями гипертиреоза и тиреотоксикоза;
- При застойной сердечной недостаточности;
- В случае тяжелого течения бронхиальной астмы;
- При декомпенсированном сахарном диабете.
Что показывает КТ черепа
- наличие чужеродных предметов;
- скрытые переломы;
- смещение костей;
- опухоли как доброкачественные, так и злокачественные
- нарушенное кровообращение;
- воспалительные заболевания
- метастазы и их локализацию
Запишитесь на КТ черепа по удобному адресу
ЗаписатьсяСтанция метро
Площадь Восстания Проспект Просвещения Нарвская Рыбацкое Девяткино Гражданский проспект Академическая Политехническая Площадь Мужества Лесная Выборгская Площадь Ленина Чернышевская Владимирская Пушкинская Технологический институт Балтийская Кировский завод Автово Ленинский проспект Проспект Ветеранов Парнас Озерки Удельная Пионерская Чёрная речка Петроградская Горьковская Невский проспект Сенная площадь Фрунзенская Московские ворота Электросила Парк Победы Московская Звёздная Купчино Беговая Зенит Приморская Василеостровская Гостиный двор Маяковская Площадь Александра Невского Елизаровская Ломоносовская Пролетарская Обухово Спасская Достоевская Лиговский проспект Площадь Александра Невского Новочеркасская Ладожская Проспект Большевиков Улица Дыбенко Комендантский проспект Старая Деревня Крестовский остров Чкаловская Спортивная Адмиралтейская Садовая Звенигородская Обводный канал Волковская Бухарестская Международная Проспект Славы Дунайская Шушары Богатырская Каменка Театральная Горный институт Путиловская Юго-Западная Кудрово Шуваловский проспект Каретная Боровая Заставская БроневаяРайон
Центральный Выборгский Кировский Адмиралтейски Василеостровский Калининский Колпинский Красногвардейский Красносельски Кронштадтский Курортный Московский Невский Петроградский Петродворцовый Приморский Пушкинский ФрунзенскийГород
Санкт-Петербург Бокситогорск Бугры Волосово Волхов Всеволожск Выборг Высоцк Гатчина Ивангород Каменногорск Кингисепп Кириши Кировск Колтуши Коммунар Кудрово Лодейное Поле Луга Любань Мурино Никольское Новая Ладога Отрадное Пикалёво Подпорожье Приморск Приозерск Светогорск Сертолово Сланцы Сосновый Бор Сясьстрой Тельмана Тихвин Тосно ШлиссельбургЦены
Услуги, соответствующие запросу, не найдены.
Адреса диагностических центров "Доступная Медицина"
Преимущества наших диагностических центров
Доступные цены
Приемлемые цены
на все услуги
Качественный сервис
Контроль качества
оказываемых услуг
Лучшие специалисты
Высококвалифицированные врачи
Новейшее оборудование
Современные томографы с высочайшим качеством визуализации
Близость к метро
Мы находимся в непосредственной близости от метро и остановок общественного транспорта
Наше оборудование
КТ-СПЕЦИАЛИСТЫ
Лицензии
Современные томографы с высочайшим качеством визуализации
Статьи наших врачей