КТ костей лица в СПБ
- Введение контраста Нет
- Длительность выполнения 10 минут
- Ограничения по весу 120 кг
- Ограничения по возрасту От 15 лет
- Срок получения результата В течение дня
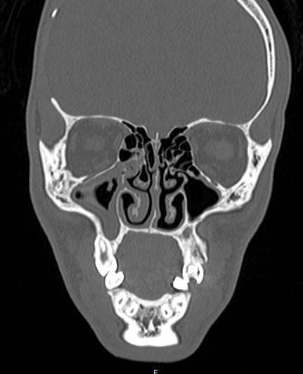
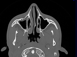
Лицевой череп состоит из крупных костей (верхняя и нижняя челюсти, лобные кости, скуловые кости) и сгруппированных вокруг них остальных мелких костей. При травмах лицевых костей часто наблюдается смещение мелких отломков, которые не видны при обычной рентгенографии. Мультиспиральная компьютерная томография позволяет детально изучить кости лицевого черепа, а также углубления, которые являются вместилищем для важных органов (глазницы, полость носа, ротовая полость).
Метод КТ основан на применении рентгеновского излучения и различной способности тканей поглощать рентгеновские лучи. Костные структуры обладают наибольшей плотностью по сравнению с другими тканями, поэтому в большей степени поглощают рентгеновские лучи и лучше всего визуализируются при данном исследовании.
КТ костей лица является наиболее информативным методом диагностики травм лицевого черепа, посттравматических деформаций, аномалий развития, инородных предметов в носовой полости и околоносовых пазухах. Кроме того, мультиспиральная КТ применяется при воспалительных заболеваниях ЛОР-органов, а также для выявления опухолевых образований доброкачественного и злокачественного характера.
Чтобы улучшить визуализацию мягких тканей и выявить опухолевые процессы дополнительно применяется контрастное усиление путем внутривенного введения йодсодержащих контрастных препаратов. За счет способности контраста выделять патологические очаги на фоне здоровых тканей удается выявить опухоли минимальных размеров, отличить доброкачественные опухоли от злокачественных, диагностировать онкологические заболевания на ранней стадии. С помощью методики можно определить точные размеры опухоли, степень прорастания в соседние ткани, оценить состояние регионарных лимфоузлов.
Кроме того, мультиспиральная КТ костей лица используется при планировании оперативного вмешательства и в дальнейшем применяется в послеоперационном периоде для оценки успешности проведенной операции.
В диагностических центрах «Доступная медицина» КТ костей лица выполняется на новейших мультиспиральных компьютерных томографах последнего поколения TOSHIBA AQUILION. Оборудование экспертного уровня позволяет получать снимки высокого качества за короткий промежуток времени, что минимизирует уровень лучевой нагрузки на организм пациента.
Детальные изображения костей лицевого черепа получаются за счет вращения трубки томографа с излучателями рентгеновских лучей вокруг объекта исследования. В аппаратах увеличено количество сверхчувствительных детекторов, позволяющих производить множество послойных снимков с толщиной среза от 0,5 мм, которые затем преобразуются в трехмерные пространственные модели черепа. Такие инновационные возможности аппаратов обеспечивают проведение точной и достоверной диагностики.
- Показания к КТ лицевого отдела черепа
- Подготовка к КТ костей лица
- Какие есть противопоказания для проведения КТ костей лица?
- КТ лицевой части черепа позволяет:
Показания к КТ лицевого отдела черепа
- Повреждение (травма) в проекции выхода лицевого нерва;
- определение инородного тела;
- доброкачественные и злокачественные опухоли мягких тканей и костей данной области
- определение метастазов;
- прорастание новообразований из прилежащих отделов;
- скрытые переломы лицевого отдела черепа;
- сложные травмы с возможными гематомами мягких тканей;
- перед проведением пластических и челюстно-лицевых хирургических вмешательств.
- выявления проблем с глазами и зрительным нервом,
- выявления переломов костей вокруг глаз,
- поиска инородных предметов в глазу,
- выявления проблем или заболеваний в околоносовых пазухах,
- обнаружения проблем с костями и суставами челюсти, лица и черепа,
- планирования операции по восстановлению поврежденных частей лица.
Подготовка к КТ костей лица
Компьютерная томография является быстрой безболезненной процедурой. Специальная подготовка к исследованию не нужна. От пациента потребуется только сохранять неподвижность в течение всего времени проведения процедуры.
Мы рекомендуем принести с собой все документы, которые касаются области исследования:
- Направление лечащего врача;
- Выписка из истории болезни или амбулаторной карты;
- Рентгеновские снимки, CD/DVD диски предыдущих КТ или МРТ исследований лицевого черепа;
- Заключения специалистов.
Если планируется введение контрастного вещества, то необходимо предоставить результат анализа крови на уровень креатинина (показатель, отражающий функцию почек). Анализ нужно сдать в течение 2-х недель до даты исследования.
Пациентам, принимающим по поводу сахарного диабета Метформин (Глюкофаж) или другие метформинсодержащие препараты, необходимо, по согласованию с эндокринологом, прекратить прием данного препарата за 48 часов до исследования с контрастированием и на 48 часов после введения контраста.
Контрастный препарат вводится внутривенно через предварительно установленный в локтевую вену венозный катетер. Введение контраста осуществляется с помощью автоматического шприца (инжектора). При поступлении контраста в кровь можно почувствовать теплоту и неприятный привкус во рту, но эти ощущения кратковременны и проходят через 1-2 минуты.
При проведении мультиспиральной КТ с внутривенным болюсным контрастированием кормящим женщинам, необходимо на 24-48 часов после процедуры с введением контраста прервать грудное вскармливание, предварительно сделав запас грудного молока, при этом молоко сцеживать и выливать.
Пациент располагается лежа на специальном столе, который двигается в раме томографа. По сравнению с МРТ отверстие томографа широкое, вокруг пространство полностью открытое и свободное.
Врач находится в соседнем помещении, наблюдает за пациентом через окно. Общение с врачом происходит через переговорное устройство, вмонтированное в аппарат.
Какие есть противопоказания для проведения КТ костей лица?
Компьютерную томографию не рекомендуется выполнять беременным женщинам в течение всего срока беременности из-за вредного воздействия на плод рентгеновского излучения.
Также технически невозможно выполнить КТ костей лица при массе тела пациента, превышающей 120 кг, так как подвижная часть томографов, установленных в наших центрах, не рассчитана на такой вес.
При необходимости проведения КТ с внутривенным болюсным контрастированием пациент может иметь противопоказания для введения контрастного препарата. К ним относятся:
- аллергическая реакция на йодсодержащий контрастный препарат в анамнезе;
- заболевания почек с резким снижением их функции;
- застойная сердечная недостаточность;
- заболевания щитовидной железы с признаками гипертиреоза и тиреотоксикоза;
- тяжелое течение бронхиальной астмы;
- декомпенсированный сахарный диабет.
КТ лицевой части черепа позволяет:
- проводить диагностику состояния верхней и нижней челюсти, височно-нижнечелюстного сустава;
- исключить опухоли лицевой части черепа;
- проконтролировать результат лечения;
- детализировать мелкие костные переломы
- планировать оперативные вмешательства на пазухах и полости носа.
Запишитесь на КТ костей лица по удобному адресу
ЗаписатьсяСтанция метро
Площадь Восстания Проспект Просвещения Нарвская Рыбацкое Девяткино Гражданский проспект Академическая Политехническая Площадь Мужества Лесная Выборгская Площадь Ленина Чернышевская Владимирская Пушкинская Технологический институт Балтийская Кировский завод Автово Ленинский проспект Проспект Ветеранов Парнас Озерки Удельная Пионерская Чёрная речка Петроградская Горьковская Невский проспект Сенная площадь Фрунзенская Московские ворота Электросила Парк Победы Московская Звёздная Купчино Беговая Зенит Приморская Василеостровская Гостиный двор Маяковская Площадь Александра Невского Елизаровская Ломоносовская Пролетарская Обухово Спасская Достоевская Лиговский проспект Площадь Александра Невского Новочеркасская Ладожская Проспект Большевиков Улица Дыбенко Комендантский проспект Старая Деревня Крестовский остров Чкаловская Спортивная Адмиралтейская Садовая Звенигородская Обводный канал Волковская Бухарестская Международная Проспект Славы Дунайская Шушары Богатырская Каменка Театральная Горный институт Путиловская Юго-Западная Кудрово Шуваловский проспект Каретная Боровая Заставская БроневаяРайон
Центральный Выборгский Кировский Адмиралтейски Василеостровский Калининский Колпинский Красногвардейский Красносельски Кронштадтский Курортный Московский Невский Петроградский Петродворцовый Приморский Пушкинский ФрунзенскийГород
Санкт-Петербург Бокситогорск Бугры Волосово Волхов Всеволожск Выборг Высоцк Гатчина Ивангород Каменногорск Кингисепп Кириши Кировск Колтуши Коммунар Кудрово Лодейное Поле Луга Любань Мурино Никольское Новая Ладога Отрадное Пикалёво Подпорожье Приморск Приозерск Светогорск Сертолово Сланцы Сосновый Бор Сясьстрой Тельмана Тихвин Тосно ШлиссельбургЦены
Услуги, соответствующие запросу, не найдены.
Адреса диагностических центров "Доступная Медицина"
Преимущества наших диагностических центров
Доступные цены
Приемлемые цены
на все услуги
Качественный сервис
Контроль качества
оказываемых услуг
Лучшие специалисты
Высококвалифицированные врачи
Новейшее оборудование
Современные томографы с высочайшим качеством визуализации
Близость к метро
Мы находимся в непосредственной близости от метро и остановок общественного транспорта
Наше оборудование
КТ-СПЕЦИАЛИСТЫ
Лицензии
Современные томографы с высочайшим качеством визуализации
Статьи наших врачей