КТ бронхов в СПБ
- Введение контраста Нет
- Длительность выполнения 10 минут
- Ограничения по весу 120 кг
- Ограничения по возрасту От 15 лет
- Срок получения результата В течение дня
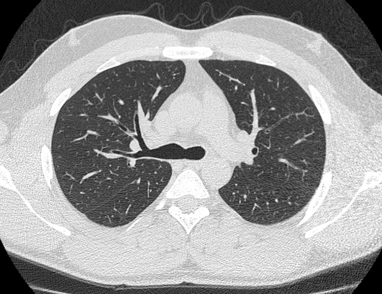
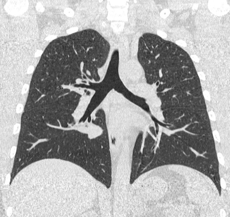
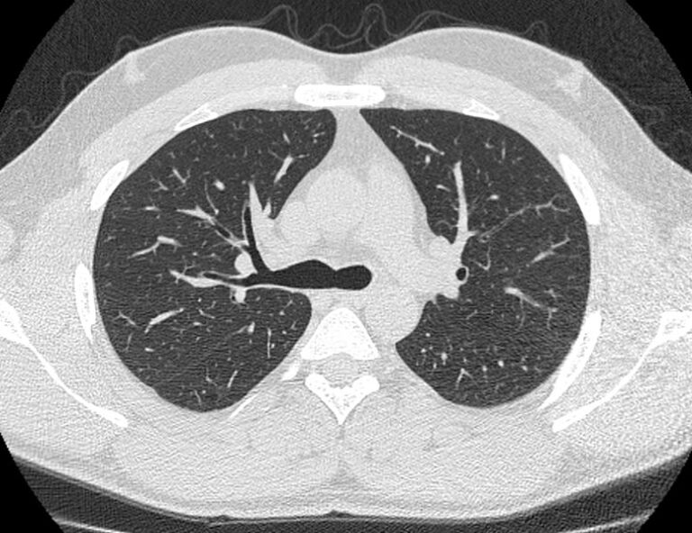
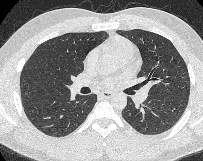
Компьютерная томография бронхов представляет собой виртуальную бронхоскопию, которая позволяет получить точную и достоверную информацию о состоянии трахеи, бронхов, а также оценить структуру легочной ткани, кровеносных сосудов, органов средостения. При обычной бронхоскопии эндоскопический зонд вводится внутрь через дыхательные пути и производится осмотр слизистой трахеи и бронхов, поэтому процедура относится к инвазивным и часто проводится под наркозом.
Виртуальная бронхоскопия по сравнению с обычной бронхоскопией не позволяет так детально осмотреть слизистую дыхательных путей и при необходимости провести биопсию. Но несмотря на это, процедура отличается высокой информативностью, при этом относится к безопасным и неинвазивным (то есть без вмешательства в организм человека) методам обследования.
В нашей клинике КТ бронхов проводится на новейшем 128-срезовом мультиспиральном компьютерном томографе экспертного класса TOSHIBA AQUILION CXL. Аппарат оснащен увеличенным количеством сверхчувствительных детекторов, которые позволяют проводить тончайшие срезы анатомической области с толщиной от 0,5 мм за несколько секунд. Быстрое выполнение процедуры обеспечивает минимальный уровень рентгеновского облучения, при этом исследование выполняется без применения контрастирования.
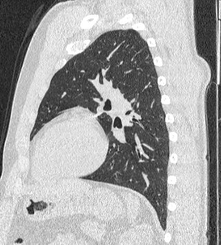
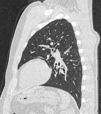
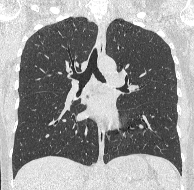
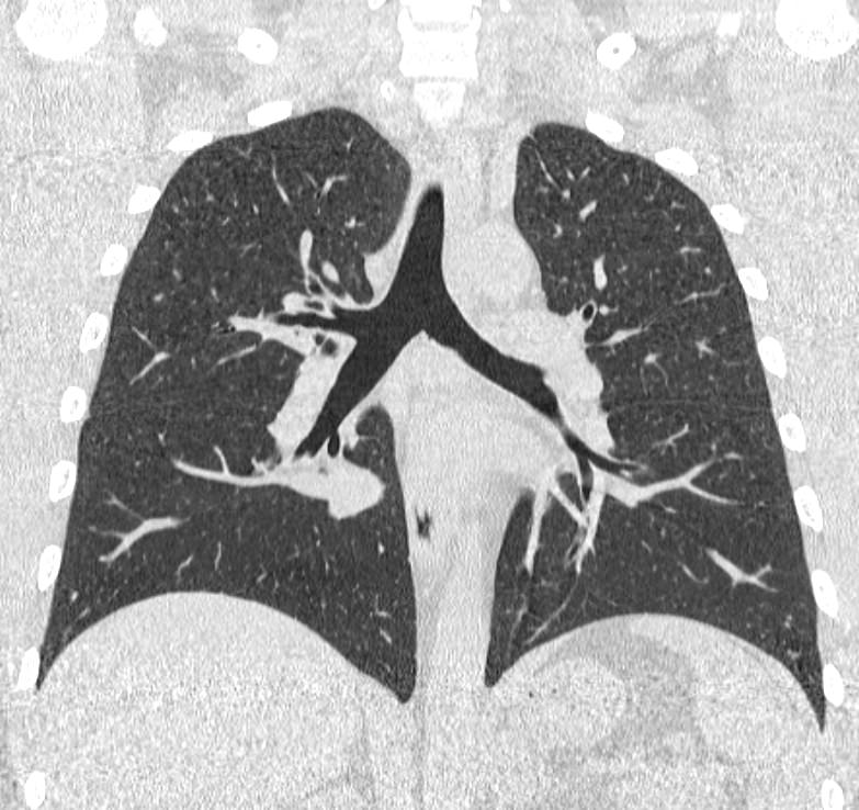
На основе данных, полученных при сканировании, аппарат создает наглядную 3D модель бронхиального дерева с высочайшей точностью и достоверностью, которая позволяет просматривать интересующие анатомические структуры в разных плоскостях. Метод обладает высокой точностью и дает возможность исследовать мелкие бронхи и бронхиолы, которые из-за узкого просвета бывает невозможно осмотреть при помощи эндоскопической бронхоскопии (возможности метода ограничены размером зонда).
- Основные показания к назначению КТ бронхов
- Что покажет КТ бронхов
- Подготовка к КТ бронхов
- Какие есть противопоказания для проведения КТ бронхов
Основные показания к назначению КТ бронхов
- долго не проходящий кашель.
- тяжелое свистящее дыхание, хрипы, одышка.
- давление в груди, сопровождающееся ощущением нехватки воздуха.
- боль в груди, усиливающаяся при дыхании.
- увеличение лимфоузлов.
- выделение мокроты с гноем и кровью.
- отечность лица и шеи, возникающая при сдавлении бронхиальной опухолью верхней полой вены.
- диагностика опухолей различного характера.
- воспалительные или хронические заболевания органов дыхательных путей;
- бронхоэктазы;
- новообразования в органах дыхательных путей (КТ позволяет вовремя обнаружить онкологию и на раннем этапе начать лечение);
- травмы грудной клетки;
- боли в грудной клетке непонятного характера;
- контроль результатов лечения;
- контроль состояния органов дыхания перед или после операции
Что покажет КТ бронхов
С помощью виртуальной бронхоскопии можно выявить объемные образования в трахее, бронхах, определить степень сужения просвета дыхательных путей. Кроме того, компьютерная томография позволяет оценить состояние окружающих тканей, выявить прорастание опухоли в близлежащие органы, обнаружить метастазирование в регионарные лимфоузлы и ткань легкого.
КТ бронхов помогает диагностировать воспалительные заболевания бронхов и легких, бронхоэктатическую болезнь, инфекционные заболевания, травматические повреждения грудной клетки, аномалии развития.
Подготовка к КТ бронхов
Компьютерная томография бронхов является быстрой и безболезненной процедурой. Она не требует специальной подготовки. От пациента потребуется только в течение короткого времени сохранять неподвижность. Длительность сканирования составляет не более 1 минуты. Во время исследования пациент не испытывает дискомфорта или болезненных ощущений.
Важно предоставить врачу-рентгенологу все документы, касающиеся зоны исследования. К таким документам относятся:
- Направление лечащего врача;
- Выписка из истории болезни или амбулаторной карты;
- Рентгеновские снимки, CD/DVD диски предыдущих КТ-исследований легких и бронхов;
- Заключения профильных специалистов.
Пациент укладывается на выдвижном столе томографа лицом вверх. По сравнению с магнитно-резонансными томографами отверстие компьютерного томографа широкое, вокруг пространство полностью открытое и свободное.
Врач-рентгенолог находится в смежном помещении, отделенном от диагностического кабинета стеклянной перегородкой. В определенный момент врач просит пациента задержать дыхание, так как при дыхательных движениях могут получиться некачественные изображения. Связь с пациентом осуществляется через переговорное устройство, вмонтированное в аппарат.
Какие есть противопоказания для проведения КТ бронхов
Так как компьютерная томография связана с использованием рентгеновского излучения, КТ бронхов не проводится беременным женщинам из-за риска вредного воздействия на формирующийся плод. В связи с этим женщинам в обязательном порядке следует сообщить врачу о возможной беременности.
Кроме того, в нашей клинике невозможно выполнить КТ бронхов пациентам с массой тела, превышающей 120 кг. Данное противопоказание связано с ограничениями по весу выдвижного стола томографа..
Запишитесь на КТ бронхов по удобному адресу
ЗаписатьсяСтанция метро
Площадь Восстания Проспект Просвещения Нарвская Рыбацкое Девяткино Гражданский проспект Академическая Политехническая Площадь Мужества Лесная Выборгская Площадь Ленина Чернышевская Владимирская Пушкинская Технологический институт Балтийская Кировский завод Автово Ленинский проспект Проспект Ветеранов Парнас Озерки Удельная Пионерская Чёрная речка Петроградская Горьковская Невский проспект Сенная площадь Фрунзенская Московские ворота Электросила Парк Победы Московская Звёздная Купчино Беговая Зенит Приморская Василеостровская Гостиный двор Маяковская Площадь Александра Невского Елизаровская Ломоносовская Пролетарская Обухово Спасская Достоевская Лиговский проспект Площадь Александра Невского Новочеркасская Ладожская Проспект Большевиков Улица Дыбенко Комендантский проспект Старая Деревня Крестовский остров Чкаловская Спортивная Адмиралтейская Садовая Звенигородская Обводный канал Волковская Бухарестская Международная Проспект Славы Дунайская Шушары Богатырская Каменка Театральная Горный институт Путиловская Юго-Западная Кудрово Шуваловский проспект Каретная Боровая Заставская БроневаяРайон
Центральный Выборгский Кировский Адмиралтейски Василеостровский Калининский Колпинский Красногвардейский Красносельски Кронштадтский Курортный Московский Невский Петроградский Петродворцовый Приморский Пушкинский ФрунзенскийГород
Санкт-Петербург Бокситогорск Бугры Волосово Волхов Всеволожск Выборг Высоцк Гатчина Ивангород Каменногорск Кингисепп Кириши Кировск Колтуши Коммунар Кудрово Лодейное Поле Луга Любань Мурино Никольское Новая Ладога Отрадное Пикалёво Подпорожье Приморск Приозерск Светогорск Сертолово Сланцы Сосновый Бор Сясьстрой Тельмана Тихвин Тосно ШлиссельбургЦены
Услуги, соответствующие запросу, не найдены.
Адреса диагностических центров "Доступная Медицина"
Преимущества наших диагностических центров
Доступные цены
Приемлемые цены
на все услуги
Качественный сервис
Контроль качества
оказываемых услуг
Лучшие специалисты
Высококвалифицированные врачи
Новейшее оборудование
Современные томографы с высочайшим качеством визуализации
Близость к метро
Мы находимся в непосредственной близости от метро и остановок общественного транспорта
Наше оборудование
КТ-СПЕЦИАЛИСТЫ
Лицензии
Современные томографы с высочайшим качеством визуализации
Статьи наших врачей