Назад КТ голени в СПБ

Цена:
2 900 руб
Записаться
  • Введение контраста Нет
  • Длительность выполнения 10 минут
  • Ограничения по весу 120 кг
  • Ограничения по возрасту От 15 лет
  • Срок получения результата В течение дня
Воспроизвести
Описание

Голень – часть нижней конечности между коленным и голеностопным суставами. Скелет голени состоит из двух костей: большеберцовой и малоберцовой. В области голени проходят магистральные артерии, кровоснабжающие нижнюю конечность, крупные вены и нервы. Задняя группа мышц голени соединяется с пяточной костью посредством самого мощного и крепкого сухожилия человеческого тела – ахиллова сухожилия.

Патология костей и мягких тканей голени чаще всего связана с травматическими повреждениями: ушибы, переломы костей, разрывы, растяжения ахиллова сухожилия. Также достаточно часто встречаются воспалительные, дегенеративные изменения, инфекционные поражения, а также доброкачественные и злокачественные опухоли костей и мягких тканей голени.

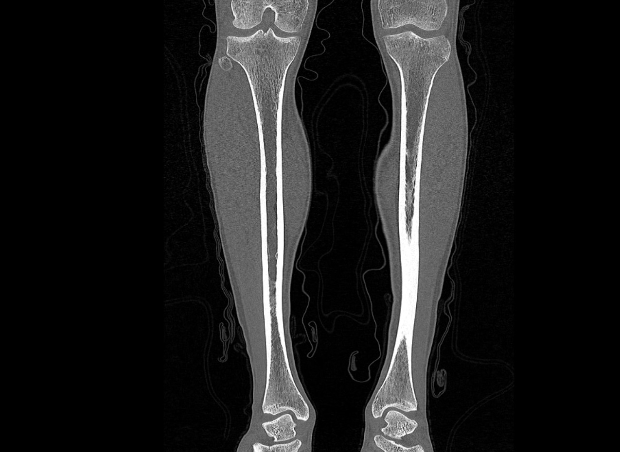
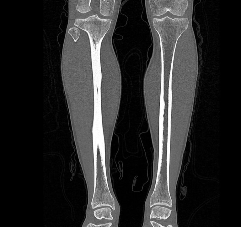
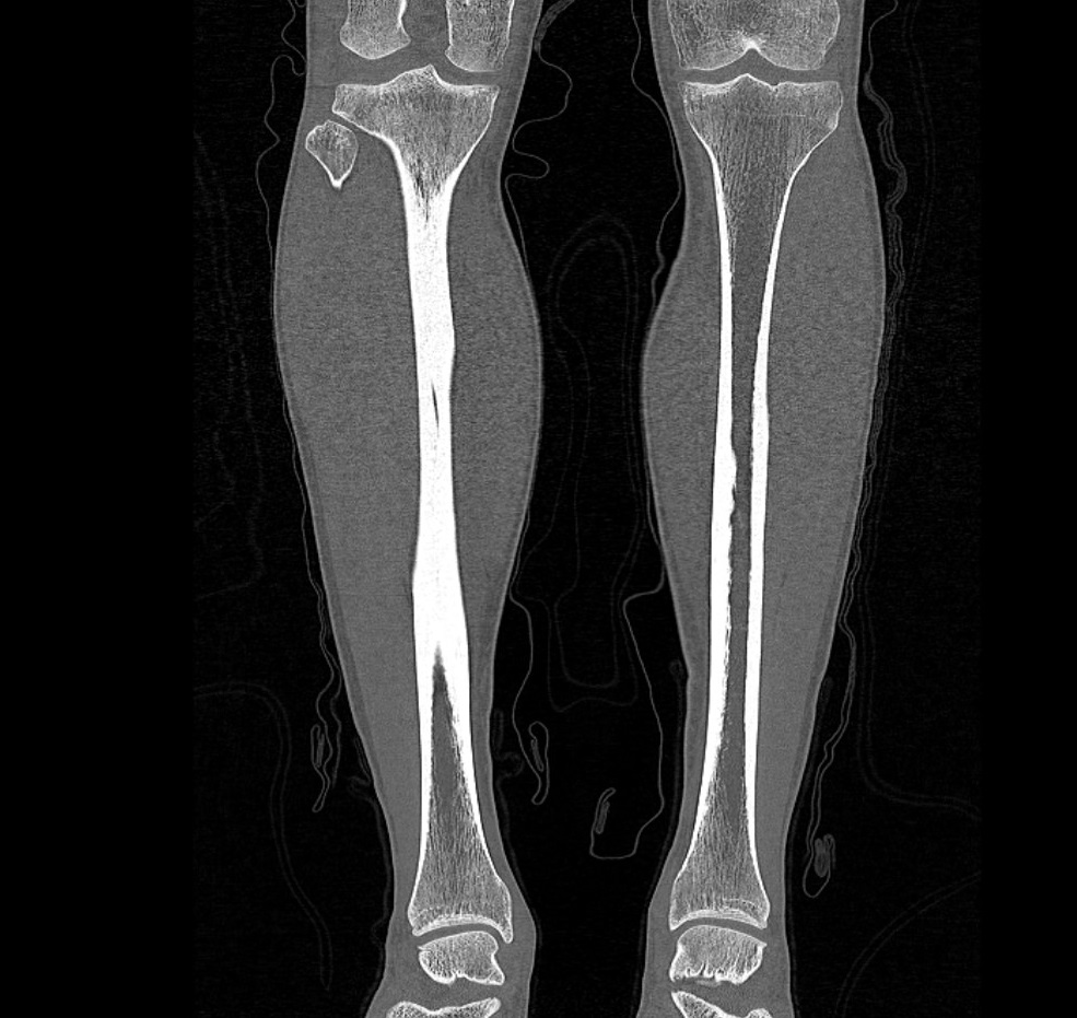
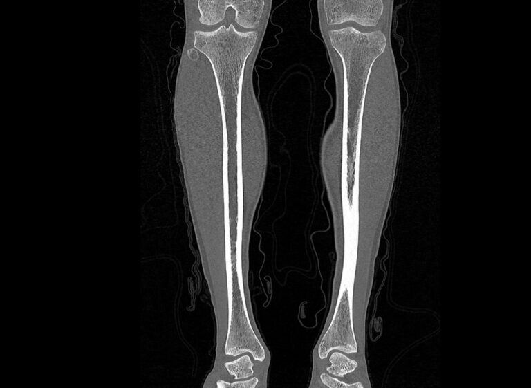
Наиболее информативным методом исследования костных структур и мягких тканей голени является мультиспиральная компьютерная томография. КТ относится к лучевым методам исследования и основана на применении ионизирующего излучения и последующей цифровой обработке данных, полученных при КТ-сканировании. 

В наших медицинских центрах обследование области голени проводится на современных мультиспиральных компьютерных томографах последнего поколения TOSHIBA AQUILION. При помощи рентгеновских лучей аппараты послойно сканируют исследуемую область с толщиной среза от 0,5 мм. В результате получаются детальные снимки и цифровые трехмерные изображения в мельчайших подробностях. При этом пациент получает уменьшенную дозу рентгеновского облучения. 

Мультиспиральная компьютерная томография позволяет оценить структуру костей голени, выявить переломы, воспалительные изменения, участки деструкции костной ткани, диагностировать опухолевые образования. 

КТ позволяет хорошо визуализировать плотные структуры, такие как кости, благодаря их способности активно поглощать рентгеновские лучи. Чтобы улучшить визуализацию мягких тканей дополнительно применяется контрастное усиление. Для этого пациенту внутривенно вводится йодсодержащий контрастный препарат, который обладает высокой способностью поглощать рентгеновские лучи и при концентрации в патологических участках обеспечивает их яркую визуализацию на снимках КТ. С помощью контрастирования удается обнаруживать опухоли минимальных размеров, что значительно улучшает прогноз в плане лечения и выздоровления. 

При наличии противопоказаний для проведения КТ с контрастированием (об этом можно почитать ниже) врач может порекомендовать другой высокоинформативный метод исследования, дающий наиболее точную информацию о состоянии именно мягкотканных структур, – это магнитно-резонансная томография. В нашей клинике можно пройти обследование области голени в рамках протокола обследования МРТ мягких тканей конечностей на новейшем высокопольном 32-канальном магнитно-резонансном томографе экспертного класса по доступной цене.

Показания к КТ костей голени

Свернуть/развернуть
  • подозрение на наличие травм, переломов, трещин;
  • остеоартроз, остеоартрит и остеомиелит;
  • для оценки результатов лечения;
  • при наличии костных кист, доброкачественных и злокачественных новообразований.
  • травмы прилегающих суставов;
  • патологии строения структур;
  • костные деструкции;
  • новообразования злокачественного и доброкачественного характера
  • метастазы;
  • болевые ощущения в нижней конечности невыясненной этиологии;
  • предоперационное исследование;
  • оценка качества терапевтических мер;

Как подготовиться к КТ голени

Свернуть/развернуть

Компьютерная томография не требует специальной подготовки и может проводиться как в плановом порядке, так и по экстренным показаниям, например, при травмах нижних конечностей.

Перед исследованием желательно предоставить врачу-рентгенологу все документы, касающиеся зоны исследования. Перечень необходимых документов:

  • Направление лечащего врача;
  • Выписка из истории болезни или амбулаторной карты;
  • Рентгеновские снимки, CD/DVD диски предыдущих КТ-исследований костей голени;
  • Заключения профильных специалистов.

В случае необходимости введения контрастного вещества, пациенту требуется сдать анализ крови на уровень креатинина (показатель, отражающий функцию почек) не более, чем за 14 дней до даты исследования. 

Пациентам, принимающим по поводу сахарного диабета Метформин (Глюкофаж) или другие метформинсодержащие препараты, необходимо, по согласованию с эндокринологом, прекратить прием данного препарата за 48 часов до исследования с контрастированием и на 48 часов после введения контраста.

Для введения контрастного препарата пациенту предварительно устанавливается в локтевую вену венозный катетер. В момент введения контраста может быть ощущение тепла или жара во всем теле и неприятный привкус во рту, но этот дискомфорт полностью исчезает через 1-2 минуты.

Если планируется проведение внутривенного болюсного контрастирования женщине в период лактации, то мы рекомендуем предварительно сделать запас грудного молока, а после процедуры с введением контраста не прикладывать ребенка к груди в течение 24-48 часов, при этом молоко нужно сцеживать и выливать.

Во время исследования пациент ложится спиной на выдвижной стол томографа. Врач во время исследования находится в соседнем помещении. Наблюдение за пациентом происходит через стеклянную перегородку, связь осуществляется при помощи вмонтированного в аппарат переговорного устройства.

Противопоказания для КТ голени

Свернуть/развернуть

Компьютерная томография является лучевым методом исследования и предполагает использование рентгеновского излучения. Поэтому во время беременности данное исследование не проводится из-за риска вредного воздействия на плод.

Кроме того, в нашей клинике невозможно выполнить КТ голени пациентам с массой тела более 120 кг. Данное ограничение обусловлено техническими характеристиками томографа.

Кроме ограничений для выполнения компьютерной томографии у пациента также могут быть противопоказания для введения контрастного препарата. 

Контрастирование противопоказано в следующих случаях:

  • если у пациента ранее отмечались аллергические реакции на йодсодержащие контрастные препараты; 
  • если у пациента имеются заболевания почек с развитием выраженной почечной недостаточности;
  • при наличии застойной сердечной недостаточности;
  • если имеются заболевания щитовидной железы с явлениями гипертиреоза, тиреотоксикоза;
  • в случае тяжелого течения бронхиальной астмы;
  • при декомпенсированном сахарном диабете.

Запишитесь на КТ голени по удобному адресу

Записаться
Фильтр по услугам КТ костей

Введение контраста

С контрастом Без контраста

Станция метро

Площадь Восстания Проспект Просвещения Нарвская Рыбацкое Девяткино Гражданский проспект Академическая Политехническая Площадь Мужества Лесная Выборгская Площадь Ленина Чернышевская Владимирская Пушкинская Технологический институт Балтийская Кировский завод Автово Ленинский проспект Проспект Ветеранов Парнас Озерки Удельная Пионерская Чёрная речка Петроградская Горьковская Невский проспект Сенная площадь Фрунзенская Московские ворота Электросила Парк Победы Московская Звёздная Купчино Беговая Зенит Приморская Василеостровская Гостиный двор Маяковская Площадь Александра Невского Елизаровская Ломоносовская Пролетарская Обухово Спасская Достоевская Лиговский проспект Площадь Александра Невского Новочеркасская Ладожская Проспект Большевиков Улица Дыбенко Комендантский проспект Старая Деревня Крестовский остров Чкаловская Спортивная Адмиралтейская Садовая Звенигородская Обводный канал Волковская Бухарестская Международная Проспект Славы Дунайская Шушары Богатырская Каменка Театральная Горный институт Путиловская Юго-Западная Кудрово Шуваловский проспект Каретная Боровая Заставская Броневая

Возраст пациента

Взрослому Ребенку от 15 лет

Пол пациента

Мужчине Женщине

Программы страхования

ДМС Платно ОМС

Цены

Услуги, соответствующие запросу, не найдены.

Адреса диагностических центров "Доступная Медицина"

Преимущества наших диагностических центров

Доступные цены

Приемлемые цены
на все услуги

Качественный сервис

Контроль качества
оказываемых услуг

Лучшие специалисты

Высококвалифицированные врачи

Новейшее оборудование

Современные томографы с высочайшим качеством визуализации

Близость к метро

Мы находимся в непосредственной близости от метро и остановок общественного транспорта

Лицензии

Современные томографы с высочайшим качеством визуализации

Назад
Вперед
Ключникова Екатерина Игоревна
Информация проверена главным врачом клиники Domedica24
Ключникова Екатерина Игоревна
Стаж более 8 лет, главный врач, врач-рентгенолог 1 категории
Площадь Стачек, 9">
ул. 1-я Советская, 8">