Назад КТ сосудов почек в СПБ

Цена:
10 600 руб
Записаться
  • Введение контраста Да
  • Длительность выполнения 20 минут
  • Ограничения по весу 120 кг
  • Ограничения по возрасту От 15 лет
  • Срок получения результата В течение 24 часов
Описание

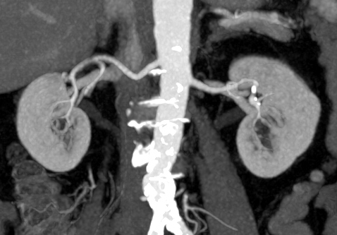
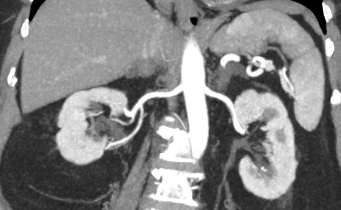
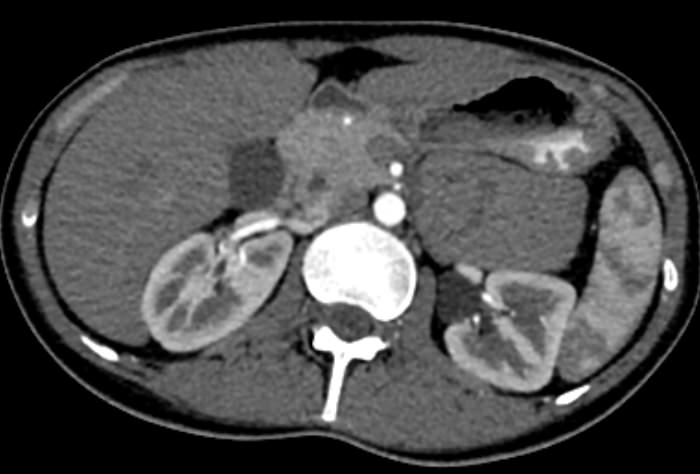
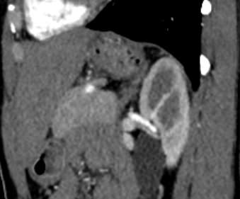
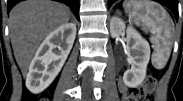
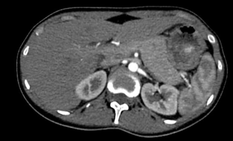
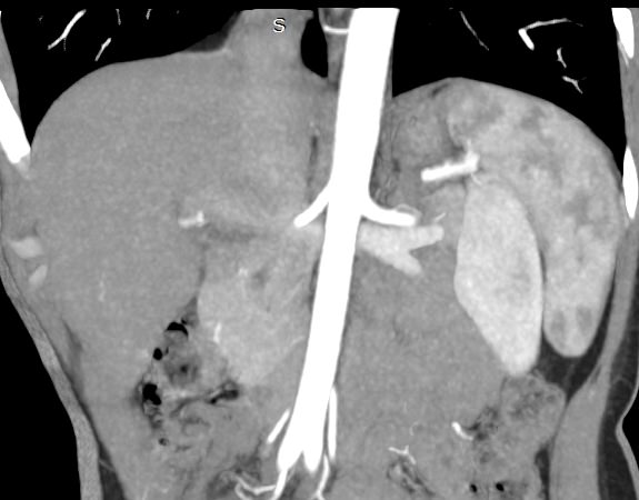
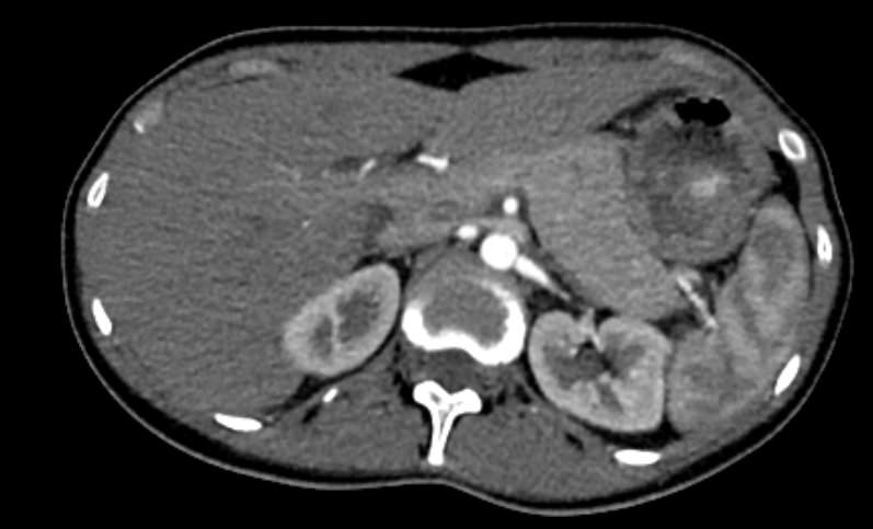
Мультиспиральная КТ сосудов почек (КТ-ангиография) с внутривенным болюсным контрастированием проводится для диагностики патологии почечных артерий. С помощью КТ-ангиографии можно выявить врожденные аномалии развития сосудов почек, диагностировать стенозы (уменьшение просвета) почечных артерий за счет развития атеросклеротических бляшек.

КТ сосудов почек применяется для выявления признаков вторичной артериальной гипертензии, при планировании оперативных вмешательств и для оценки успешности проведенной операции на сосудах. КТ ангиография почечных артерий позволяет оценить их анатомию, выявить добавочные и аберрантные почечные сосуды, определить типично ли они распространяются в ворота почки или заходят в паренхиму через корковый слой.

Методика основана на использовании рентгеновского излучения. Рентгеновские лучи испускает излучатель трубки томографа, непрерывно вращаясь вокруг объекта исследования. Пациент в это время лежит на подвижной части томографа, которая плавно передвигается в кольцевой раме аппарата.

Для визуализации кровеносных сосудов пациенту в вену вводится йодсодержащее контрастное вещество, которое хорошо поглощает рентгеновские лучи. Контраст быстро распространяется по кровеносной системе и, благодаря способности поглощать лучи рентгена, ярко выделяет сосуды на фоне окружающих тканей.

Чувствительные детекторы улавливают рентгеновские лучи после их прохождения сквозь тело человека. На основании этих данных получаются изображения сосудистой системы почек в мельчайших подробностях. Кроме того, с помощью цифровой обработки данных томограф реконструирует трехмерные модели кровеносных сосудов на уровне исследуемой области. 3D-реконструкции помогают увидеть пространственное соотношение анатомических структур и значительно повышают качество диагностики.

В наших медицинских центрах КТ-ангиография почечных артерий выполняется на новейших мультиспиральных компьютерных томографах экспертного класса TOSHIBA AQUILION. Аппараты сканируют область почек, производя одномоментно множество послойных срезов исследуемой зоны, благодаря этому создаются изображения кровеносной системы высокого качества. Это позволяет проводить точную и достоверную диагностику патологии почечных артерий. При этом за счет скоростного мультисрезового сканирования пациент получает минимальную дозу рентгеновского облучения.

Показания к КТ почечных артерий

Свернуть/развернуть
  • аномалии развития почечных сосудов;
  • подозрение на туберкулез почек;
  • стеноз, тромбоз или тромбоэмболия артерии;
  • аневризма почечной артерии;
  • травмы почечной ткани;
  • наличие крови в моче
  • гидронефроз;
  • подозрение на наличие доброкачественного или злокачественного новообразования.
  • изучение сосудистой системы почек перед предстоящей операцией;
  • выявление причины возникновения реноваскулярной гипертонии (артериальная гипертензия);
  • оценка сосудистой системы почек при хронических заболеваниях данного органа или почечной недостаточности;
  • контроль над состоянием трансплантированных почек (почки).

Подготовка к КТ сосудов почек

Свернуть/развернуть

Компьютерная томография является быстрой безболезненной процедурой. Специальная подготовка к исследованию не нужна.

Мы рекомендуем принести с собой все документы, которые касаются области исследования:

  • Направление лечащего врача;
  • Выписка из истории болезни или амбулаторной карты;
  • Рентгеновские снимки, CD/DVD диски предыдущих КТ или МРТ исследований брюшной полости, брюшной аорты, почечных сосудов;
  • Заключения специалистов.

Введение контрастного вещества требует оценки выделительной функции почек. Для этого необходимо предоставить результат анализа крови на уровень креатинина (показатель, отражающий функцию почек). Анализ нужно сдать в течение 2-х недель до даты исследования. 

Пациентам, принимающим по поводу сахарного диабета Метформин (Глюкофаж) или другие метформинсодержащие препараты, необходимо, по согласованию с эндокринологом, прекратить прием данного препарата за 48 часов до исследования с контрастированием и на 48 часов после введения контраста.

Контрастный препарат вводится внутривенно через предварительно установленный в локтевую вену венозный катетер. Введение контраста осуществляется с помощью автоматического шприца (инжектора). При поступлении контраста в кровь можно почувствовать теплоту и неприятный привкус во рту, но эти ощущения кратковременны и проходят через 1-2 минуты.

При проведении мультиспиральной КТ с внутривенным болюсным контрастированием кормящим женщинам, необходимо на 24-48 часов после процедуры с введением контраста прервать грудное вскармливание, предварительно сделав запас грудного молока, при этом молоко сцеживать и выливать.

Пациент располагается лежа на специальном столе, который двигается в раме томографа. По сравнению с МРТ отверстие томографа широкое, вокруг пространство полностью открытое и свободное. 

Врач находится в соседнем помещении, наблюдает за пациентом через окно. Общение с врачом происходит через переговорное устройство, вмонтированное в аппарат.

Противопоказания для проведения КТ сосудов почек

Свернуть/развернуть

Компьютерную томографию не рекомендуется выполнять беременным женщинам в течение всего срока беременности из-за вредного воздействия на плод рентгеновского излучения. 

Также технически невозможно выполнить КТ сосудов почек при массе тела пациента, превышающей 120 кг, так как подвижная часть томографов, установленных в наших центрах, не рассчитана на такой вес. 

Также имеются противопоказания для введения контрастного препарата. К ним относятся:

  • аллергическая реакция на йодсодержащий контрастный препарат в анамнезе; 
  • заболевания почек с резким снижением их функции;
  • застойная сердечная недостаточность;
  • заболевания щитовидной железы с признаками гипертиреоза и тиреотоксикоза;
  • тяжелое течение бронхиальной астмы;
  • декомпенсированный сахарный диабет.

Ангиография почечных артерий может показать наличие:

Свернуть/развернуть
  • аневризмы (расширение  артерии);
  • аномальных связей между артерией и веной (фистула или свищ);
  • тромбов (сгустки крови) в просвете артерий;
  • сужения кровеносных сосудов почек (почечный стеноз);
  • доброкачественных или злокачественных опухолей;
  • активного кровотечения из почки.
  • острую артериальную окклюзию почки (инфаркт почки);
  • заболевание почки в результате атероэмболии;
  • количество добавочных почечных артерий и варианты их отхождения
  • травматических изменений почек
  • сосудисто-мочеточникового конфликта

Запишитесь на КТ сосудов почек по удобному адресу

Записаться
Фильтр по услугам КТ сосудов

Введение контраста

С контрастом Без контраста

Станция метро

Площадь Восстания Проспект Просвещения Нарвская Рыбацкое Девяткино Гражданский проспект Академическая Политехническая Площадь Мужества Лесная Выборгская Площадь Ленина Чернышевская Владимирская Пушкинская Технологический институт Балтийская Кировский завод Автово Ленинский проспект Проспект Ветеранов Парнас Озерки Удельная Пионерская Чёрная речка Петроградская Горьковская Невский проспект Сенная площадь Фрунзенская Московские ворота Электросила Парк Победы Московская Звёздная Купчино Беговая Зенит Приморская Василеостровская Гостиный двор Маяковская Площадь Александра Невского Елизаровская Ломоносовская Пролетарская Обухово Спасская Достоевская Лиговский проспект Площадь Александра Невского Новочеркасская Ладожская Проспект Большевиков Улица Дыбенко Комендантский проспект Старая Деревня Крестовский остров Чкаловская Спортивная Адмиралтейская Садовая Звенигородская Обводный канал Волковская Бухарестская Международная Проспект Славы Дунайская Шушары Богатырская Каменка Театральная Горный институт Путиловская Юго-Западная Кудрово Шуваловский проспект Каретная Боровая Заставская Броневая

Возраст пациента

Взрослому Ребенку от 15 лет

Пол пациента

Мужчине Женщине

Программы страхования

ДМС Платно ОМС

Цены

Услуги, соответствующие запросу, не найдены.

КТ сосудов головного мозга
руб
6 400 руб
КТ сосудов шеи
руб
6 400 руб
КТ сосудов шеи и головного мозга (брахиоцефальных артерий)
руб
9 100 руб
КТ грудного отдела аорты и ее ветвей
руб
9 500 руб
КТ коронарных артерий (коронарография)
руб
9 500 руб
КТ легочной артерии и ее ветвей
руб
10 600 руб
КТ брюшного отдела аорты и ее ветвей
руб
9 500 руб
КТ нижней полой вены
руб
8 600 руб
КТ чревного ствола с функциональными пробами на вдохе и выдохе
руб
7 600 руб
КТ воротной вены
руб
6 400 руб
КТ сосудов почек
руб
10 600 руб
КТ сосудов малого таза
руб
6 400 руб
КТ брюшного отдела аорты и сосудов (артерий) нижних конечностей
руб
13 500 руб
КТ сосудов верхних конечностей (1 рука)
руб
6 400 руб
КТ сосудов (артерий) нижних конечностей (2 ноги)
руб
От 7 500 руб
от бифуркации аорты до коленного сустава
руб
7 500 руб
от бифуркации аорты до стопы
руб
9 500 руб

Адреса диагностических центров "Доступная Медицина"

Преимущества наших диагностических центров

Доступные цены

Приемлемые цены
на все услуги

Качественный сервис

Контроль качества
оказываемых услуг

Лучшие специалисты

Высококвалифицированные врачи

Новейшее оборудование

Современные томографы с высочайшим качеством визуализации

Близость к метро

Мы находимся в непосредственной близости от метро и остановок общественного транспорта

Лицензии

Современные томографы с высочайшим качеством визуализации

Назад
Вперед
Ключникова Екатерина Игоревна
Информация проверена главным врачом клиники Domedica24
Ключникова Екатерина Игоревна
Стаж более 8 лет, главный врач, врач-рентгенолог 1 категории
Площадь Стачек, 9">
ул. 1-я Советская, 8">