МРТ надпочечников в СПБ
- Длительность выполнения 40 минут
- Срок получения результата В течение дня
- Ограничения по возрасту От 15 лет
- Ограничения по весу 120 кг
- Введение контраста Нет
Надпочечники – это парные эндокринные органы небольшого размера, расположенные в слое жировой ткани над обеими почками. Каждый надпочечник вырабатывает важнейшие гормоны для регуляции обмена веществ, работы репродуктивной системы и адаптации организма к окружающей среде:
- андрогены, кортизол, альдостерон вырабатываются корковым слоем надпочечника;
- адреналин и норадреналин – мозговым веществом надпочечника, являющимся частью нервной системы.
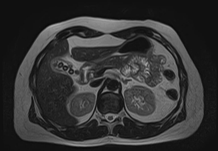
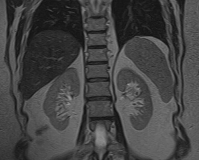
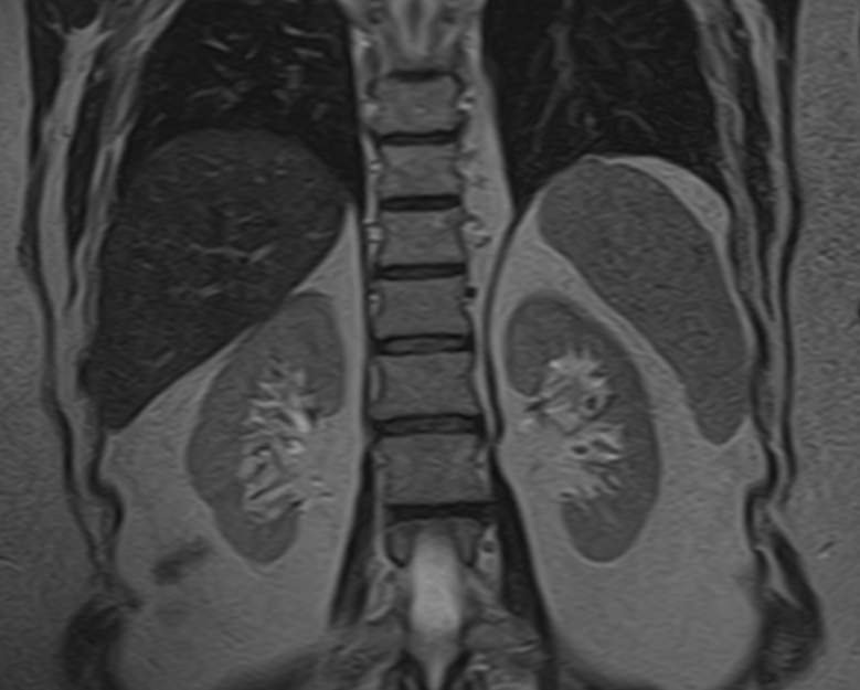
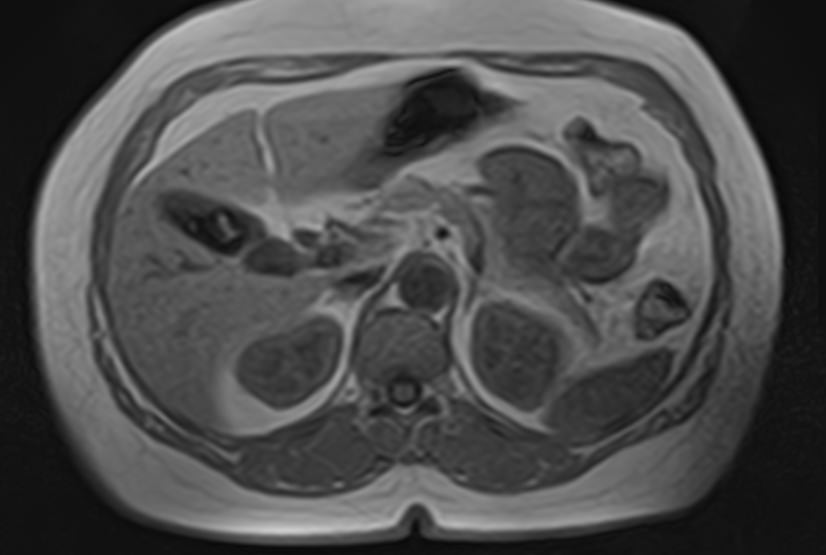
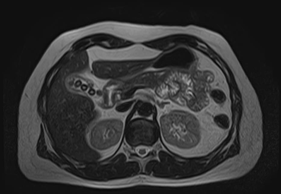
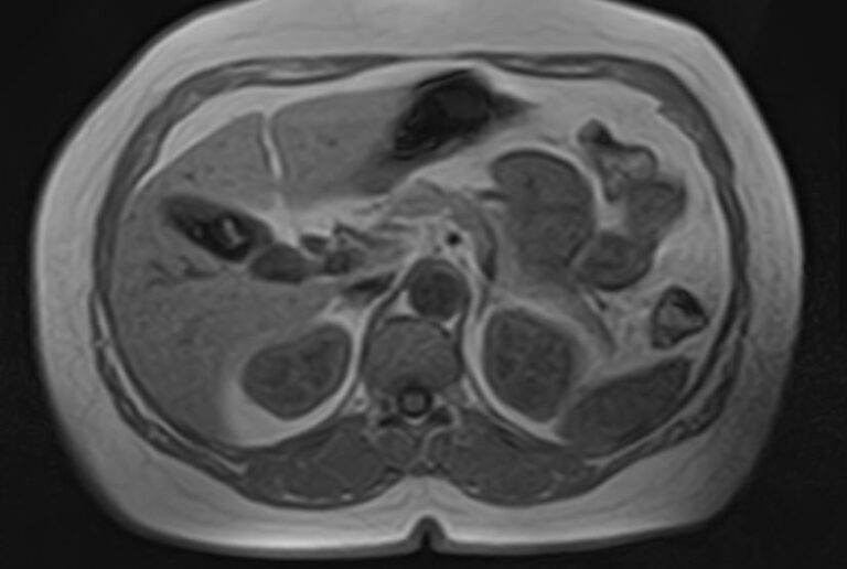
Магнитно-резонансная томография является наиболее точным и информативным методом обследования надпочечников с целью выявления различных заболеваний. Клиника «Доступная медицина» располагает новейшим томографом экспертного уровня TOSHIBA VANTAGE TITAN 1,5 Тесла, который обеспечивает высокую точность и достоверность результатов исследования.
Методика подразумевает послойное сканирование анатомической зоны надпочечников с последующей цифровой обработкой полученных данных для создания трехмерных изображений. Для более детальной визуализации патологических очагов, особенно при подозрении на развитие опухолевых образований, применяется контрастное усиление.
Контрастирование осуществляется путем внутривенного введения препарата, содержащего соли гадолиния. Благодаря способности контрастного вещества фиксироваться в патологических очагах возможно диагностировать опухоли размером от 1 мм. Метод позволяет выявлять опухолевый процесс на начальной стадии, что значительно улучшает прогноз в плане лечения и выздоровления.
- Показания к диагностике надпочечников
- При помощи магнитно-резонансной томографии можно выявить такие патологии, как:
- Когда нельзя провести МРТ надпочечников?
- Как нужно подготовиться к МРТ надпочечников
Показания к диагностике надпочечников
Магнитно-резонансная томография надпочечников может назначаться при следующих жалобах и симптомах:
- Снижение или повышение уровня альдостерона, кортизола и других гормонов;
- Регулярно наблюдается боль в области нижней части спины.
- Часто поднимается артериальное давление.
- Беспричинная потеря или, наоборот, набор веса.
- Отеки.
- Приступы тахикардии или аритмии.
- Нарушение менструального цикла у женщин или проблемы с эрекцией у мужчин.
- Выпадение волос.
- Повышенное потоотделение.
При появлении вышеперечисленных симптомов нужно немедленно показаться врачу.
При помощи магнитно-резонансной томографии можно выявить такие патологии, как:
- Аденома.
- Гиперплазия.
- Феохроцетома.
- Болезнь Иценко-Кушинга.
- Гемангиомы.
- Кисты.
- Липомы.
Часто МРТ назначают с целью исключения или подтверждения онкологических процессов, а также метастаз.
Когда нельзя провести МРТ надпочечников?
- если у пациента имеются вживленные электронные устройства (кардиостимуляторы, водители ритма, инсулиновая помпа, кохлеарные имплантаты);
- при наличии в теле ферромагнитных элементов (имплантатов, сосудистых скоб, протезов, пластин, штифтов, а также осколков, дроби, неснимаемого пирсинга и др.);
- женщинам в первом триместре беременности, когда плод наиболее чувствителен к различным неблагоприятным воздействиям;
- если у пациента наблюдается клаустрофобия, это может оказаться препятствием для проведения МРТ;
- вес пациента более 120 кг (ограничение по весу выдвижного стола томографа);
- для проведения МРТ с контрастированием противопоказанием является беременность на любом сроке, хроническая почечная недостаточность, наличие аллергических реакций на контрастное вещество.
Как нужно подготовиться к МРТ надпочечников
Для получения качественных и достоверных результатов необходимо подготовиться к данному исследованию.
За три дня до исследования рекомендуется исключить из рациона пищу, повышающую газообразование (сладкое, мучное, жирное, бобовые, газированные напитки, капусту) и принимать «Эспумизан» по 2 капсулы 3 раза в день (если есть проблемы с газообразованием!). В день исследования «Эспумизан» принимать не нужно.
За 3-4 часа до исследования следует отказаться от приема пищи.
За 30-40 минут до исследования необходимо выпить 2 таблетки «Но-шпы» для снижения перистальтики кишечника.
Предварительно необходимо сообщить врачу о наличии вживленных электронных устройств и металлических протезов. Женщинам следует сообщить о возможной беременности.
Если у пациента имеются имплантаты или протезы из материалов, которые допускают проведение МР-исследования, то необходимо предоставить сведения об этом (справка из учреждения, где устанавливался имплантат).
Необходимо принести с собой медицинскую документацию, относящуюся к зоне исследования:
- направление от лечащего врача;
- выписки из амбулаторных карт и стационаров;
- результаты предыдущих исследований (МР-снимки, СD/DVD диски, снимки КТ, результаты УЗИ).
Если предполагается введение контраста, то пациентам с подозрением на снижение функции почек необходимо сдать анализ крови для оценки уровня креатинина (анализ действителен не более 2 недель до даты исследования).
Контраст вводится в вену непосредственно во время исследования, при этом поступление препарата в кровоток может сопровождаться появлением металлического привкуса во рту, ощущением тепла или холода во всем теле. Эти явления кратковременны и полностью проходят через несколько минут.
Введенный контраст полностью выводится из организма преимущественно почками в течение последующих суток. Если исследование проводилось кормящей женщине, то необходимо приостановить грудное кормление на 24-48 часов после обследования, сцеженное молоко утилизировать.
Перед тем как проводить исследование, нужно снять с себя все электронные устройства, украшения, одежду с металлическими застежками и пуговицами.
Необходимо быть готовым к тому, что придется в течение всего времени исследования сохранять неподвижность, находясь при этом внутри тоннеля томографа. Аппарат производит достаточно сильный шум, но это особенность данной технологии. Для уменьшения звукового эффекта пациенту предлагается надеть наушники или воспользоваться берушами.
Медперсонал находится в соседнем помещении, при необходимости вызова медработника нужно нажать на сигнальное устройство.
Запишитесь на МРТ надпочечников по удобному адресу
ЗаписатьсяСтанция метро
Площадь Восстания Нарвская Проспект Просвещения Рыбацкое Девяткино Гражданский проспект Академическая Политехническая Площадь Мужества Лесная Выборгская Площадь Ленина Чернышевская Владимирская Пушкинская Технологический институт Балтийская Кировский завод Автово Ленинский проспект Проспект Ветеранов Парнас Озерки Удельная Пионерская Чёрная речка Петроградская Горьковская Невский проспект Сенная площадь Фрунзенская Московские ворота Электросила Парк Победы Московская Звёздная Купчино Беговая Зенит Приморская Василеостровская Гостиный двор Маяковская Площадь Александра Невского Елизаровская Ломоносовская Пролетарская Обухово Спасская Достоевская Лиговский проспект Площадь Александра Невского Новочеркасская Ладожская Проспект Большевиков Улица Дыбенко Комендантский проспект Старая Деревня Крестовский остров Чкаловская Спортивная Адмиралтейская Садовая Звенигородская Обводный канал Волковская Бухарестская Международная Проспект Славы Дунайская Шушары Богатырская Каменка Театральная Горный институт Путиловская Юго-Западная Кудрово Шуваловский проспект Каретная Боровая Заставская БроневаяРайон
Центральный Кировский Выборгский Невский Адмиралтейский Василеостровский Калининский Колпинский Красногвардейский Красносельский Кронштадтский Курортный Московский Петроградский Петродворцовый Приморский Пушкинский ФрунзенскийГород
Санкт-Петербург Бокситогорск Бугры Волосово Волхов Всеволожск Выборг Высоцк Гатчина Ивангород Каменногорск Кингисепп Кириши Кировск Колтуши Коммунар Кудрово Лодейное Поле Луга Любань Мурино Никольское Новая Ладога Отрадное Пикалёво Подпорожье Приморск Приозерск Светогорск Сертолово Сланцы Сосновый Бор Сясьстрой Тельмана Тихвин Тосно ШлиссельбургЦены
Услуги, соответствующие запросу, не найдены.
Адреса диагностических центров "Доступная Медицина"
Преимущества наших диагностических центров
Доступные цены
Приемлемые цены
на все услуги
Качественный сервис
Контроль качества
оказываемых услуг
Лучшие специалисты
Высококвалифицированные врачи
Новейшее оборудование
Современные томографы с высочайшим качеством визуализации
Близость к метро
Мы находимся в непосредственной близости от метро и остановок общественного транспорта
Наше оборудование
МРТ-специалисты
Лицензии
Современные томографы с высочайшим качеством визуализации
Статьи наших врачей