КТ лимфатических узлов шеи в СПБ
- Срок получения результата В течение дня
Лимфатические узлы являются органами иммунной системы и выполняют защитную функцию в организме, борются с вирусами и бактериями, задерживают распространение раковых клеток. Поэтому любое изменение состояния лимфоузлов требует к себе повышенного внимания. Увеличение какой-либо группы лимфоузлов может свидетельствовать о многих серьезных заболеваниях, начиная от банальной простуды и заканчивая опасными инфекциями (например, туберкулез, ВИЧ и др), злокачественными опухолями, аутоиммунными и лимфопролиферативными заболеваниями.
Своевременная и точная диагностика таких серьезных патологических состояний позволяет назначить правильное и эффективное лечение. Современным высокоинформативным методом исследования лимфатических узлов является мультиспиральная компьютерная томография, основанная на использовании проникающей способности рентгеновских лучей.
В наших центрах обследование лимфатических узлов шеи проводится на новейших мультиспиральных компьютерных томографах экспертного уровня TOSHIBA AQUILION в модификациях, позволяющих выполнять 64 и 128 срезов исследуемой зоны за несколько секунд.
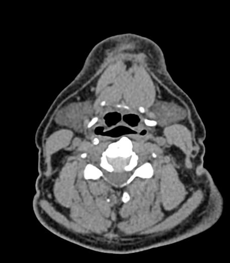
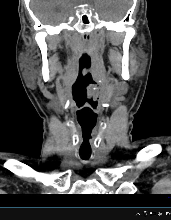
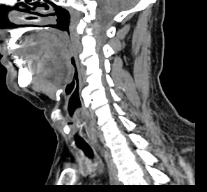
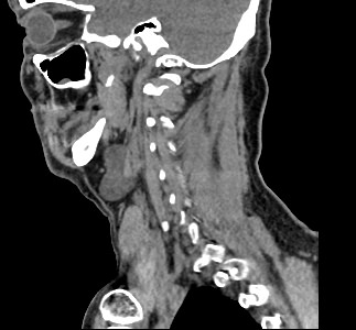
Используемые в нашей клинике томографы, благодаря своему оснащению, позволяют получать снимки высокого качества и детализации за короткий промежуток времени, что минимизирует уровень лучевой нагрузки на организм. Используя полученные данные, аппараты создают трехмерные реконструкции анатомической зоны. Это дает возможность наглядно оценить пространственное соотношение лимфатических узлов и близлежащих органов, выявить прорастание в окружающие ткани, особенно при образовании цепочек, пакетов и конгломератов лимфоузлов.
Для повышения качества визуализации лимфоузлов, особенно при подозрении на онкологических процесс, исследование проводится с внутривенным болюсным контрастированием. Контрастный препарат, содержащий йод, вводится в вену с помощью автоматического шприца. Распространяясь по сосудистой системе, препарат накапливается в патологических очагах, в том числе, в измененных лимфоузлах, и увеличивает их яркость на КТ-изображениях. Методика контрастирования помогает выявлять опухоли минимальных размеров, проводить дифференциальную диагностику между доброкачественными и злокачественными новообразованиями и воспалительными изменениями.
- Показания для КТ лимфатических узлов шеи
- Что можно диагностировать на КТ лимфатических узлов шеи
- Подготовка к КТ лимфатических узлов шеи
- Противопоказания для проведения КТ лимфатических узлов шеи
Показания для КТ лимфатических узлов шеи
Проведение компьютерного сканирования лимфоузлов шеи необходимо выполнить в следующих случаях:
- при гнойно-воспалительных процессах, которые сопровождаются появлением увеличенных болезненных шейных лимфоузлов;
- при инфекционных заболеваниях (лимфаденопатия на фоне туберкулеза, сифилиса, токсоплазмоза, ВИЧ);
- при подозрении на лимфогранулематоз (болезнь Ходжкина) и неходжкинскую лимфому. Заболевание часто начинается с увеличения надключичных и шейных лимфоузлов, сопровождается лихорадкой, общей слабостью, быстрой потерей массы тела;
- при поражении лимфоузлов на фоне лимфолейкоза (увеличенные безболезненные шейные лимфоузлы на фоне общей слабости, потери массы тела в сочетании с анемией и геморрагическим синдромом).
- при увеличении лимфоузлов в сочетании с поражением суставов и внутренних органов на фоне аутоиммунных заболеваний (ревматоидный артрит, саркоидоз и др).
- в случае метастатического поражения лимфоузлов при распространении раковых клеток из опухолей щитовидной железы, паращитовидных желез, гортани, а также патологических образований, которые расположены вне зоны сканирования. КТ лимфатических узлов является обязательным исследованием для определения стадии опухолевого процесса и выбора тактики лечения.
Что можно диагностировать на КТ лимфатических узлов шеи
Мультиспиральная КТ позволяет оценить размеры лимфатических узлов, выявить деформацию их контуров, неоднородность структуры, установить точную локализацию, взаимодействие с близлежащими органами и окружающими тканями, обнаружить инфильтрацию прилегающих структур.
При проведении компьютерной томографии можно диагностировать следующие заболевания лимфатических узлов:
- лимфадениты (острые и хронические воспалительные изменения лимфоузлов на фоне инфекционных заболеваний, гнойных ран, фурункулов, карбункулов, флегмон);
- опухоли (лимфогранулематоз Ходжкина, неходжкинская лимфома, лимфосаркома);
- поражение лимфоузлов на фоне лимфолейкоза (злокачественное заболевание крови);
- метастазы при лимфогенном распространении (поражение лимфоузлов при опухолях щитовидной железы, паращитовидных желез, гортани, пищевода);
- изменения лимфоузлов на фоне осложнений ВИЧ;
- аномалии развития лимфатических узлов (гипоплазия узлов, лимфангиомы).
Подготовка к КТ лимфатических узлов шеи
Данное исследование не требует специальной подготовки.
Перед проведением КТ мы рекомендуем предоставить всю медицинскую документацию, которая относится к зоне исследования:
- Направление от лечащего врача;
- Выполненные ранее рентгеновские снимки гортани, CD/DVD диски предыдущих КТ-исследований лимфатических узлов, МРТ мягких тканей шеи и лимфоузлов;
- Выписки из амбулаторных карт и стационаров;
- Заключения профильных специалистов.
Перед КТ с контрастированием необходимо сдать кровь на исследование уровня креатинина крови. Этот показатель характеризует выводящую функцию почек и имеет важное значение, так как контраст выводится из организма преимущественно почками. При повышенном уровне креатинина крови контрастирование не проводится. Анализ крови действителен в течение 14 дней до даты исследования.
Пациентам, которые принимают по поводу сахарного диабета такие сахароснижающие препараты, как Метформин или Глюкофаж, необходимо согласовать с эндокринологом временную отмену приема данных препаратов за 48 часов до исследования с контрастированием и на 48 часов после введения контраста.
Для введения контраста непосредственно перед сканированием в периферическую вену устанавливается венозный катетер с подключенным автоматическим дозирующим устройством. С его помощью контраст вводится в вену во время исследования. При введении контраста может появиться неприятный привкус во рту, ощущение прилива, жара во всем теле, но этот дискомфорт проходит через 1-2 минуты. Контрастное вещество выводится из организма преимущественно почками в течение последующих суток.
Если контрастное усиление проводится женщине в период лактации, то пациентке необходимо на 24-48 часов после процедуры с введением контраста исключить грудное вскармливание, при этом молоко сцеживать и выливать. На этот период мы рекомендуем запастись для ребенка необходимым количеством грудного молока.
Чтобы получить качественные изображения на снимках, от пациента требуется сохранять неподвижность в течение всей процедуры. Врач находится в смежном помещении, отделенном от диагностического кабинета стеклянной перегородкой. Связь с ним происходит через встроенное в аппарат переговорное устройство.
Противопоказания для проведения КТ лимфатических узлов шеи
Компьютерная томография не проводится беременным женщинам в течение всего срока беременности, так как ионизирующее излучение оказывает негативное влияние на развивающийся плод.
В нашей клинике невозможно выполнить КТ пациентам с массой тела более 120 кг из-за технических возможностей аппарата (ограничения по весу имеет выдвижной стол томографа).
Также имеются противопоказания для введения контраста. К ним относятся:
- аллергия на йодсодержащие контрастные вещества;
- заболевания почек с резко выраженными явлениями почечной недостаточности;
- застойная сердечная недостаточность;
- заболевания щитовидной железы с признаками гипертиреоза и тиреотоксикоза;
- тяжелое течение бронхиальной астмы;
- декомпенсированный сахарный диабет.
Запишитесь на КТ лимфатических узлов шеи по удобному адресу
ЗаписатьсяСтанция метро
Площадь Восстания Проспект Просвещения Нарвская Рыбацкое Девяткино Гражданский проспект Академическая Политехническая Площадь Мужества Лесная Выборгская Площадь Ленина Чернышевская Владимирская Пушкинская Технологический институт Балтийская Кировский завод Автово Ленинский проспект Проспект Ветеранов Парнас Озерки Удельная Пионерская Чёрная речка Петроградская Горьковская Невский проспект Сенная площадь Фрунзенская Московские ворота Электросила Парк Победы Московская Звёздная Купчино Беговая Зенит Приморская Василеостровская Гостиный двор Маяковская Площадь Александра Невского Елизаровская Ломоносовская Пролетарская Обухово Спасская Достоевская Лиговский проспект Площадь Александра Невского Новочеркасская Ладожская Проспект Большевиков Улица Дыбенко Комендантский проспект Старая Деревня Крестовский остров Чкаловская Спортивная Адмиралтейская Садовая Звенигородская Обводный канал Волковская Бухарестская Международная Проспект Славы Дунайская Шушары Богатырская Каменка Театральная Горный институт Путиловская Юго-Западная Кудрово Шуваловский проспект Каретная Боровая Заставская БроневаяРайон
Центральный Выборгский Кировский Адмиралтейски Василеостровский Калининский Колпинский Красногвардейский Красносельски Кронштадтский Курортный Московский Невский Петроградский Петродворцовый Приморский Пушкинский ФрунзенскийГород
Санкт-Петербург Бокситогорск Бугры Волосово Волхов Всеволожск Выборг Высоцк Гатчина Ивангород Каменногорск Кингисепп Кириши Кировск Колтуши Коммунар Кудрово Лодейное Поле Луга Любань Мурино Никольское Новая Ладога Отрадное Пикалёво Подпорожье Приморск Приозерск Светогорск Сертолово Сланцы Сосновый Бор Сясьстрой Тельмана Тихвин Тосно ШлиссельбургЦены
Услуги, соответствующие запросу, не найдены.
Адреса диагностических центров "Доступная Медицина"
Преимущества наших диагностических центров
Доступные цены
Приемлемые цены
на все услуги
Качественный сервис
Контроль качества
оказываемых услуг
Лучшие специалисты
Высококвалифицированные врачи
Новейшее оборудование
Современные томографы с высочайшим качеством визуализации
Близость к метро
Мы находимся в непосредственной близости от метро и остановок общественного транспорта
Наше оборудование
КТ-СПЕЦИАЛИСТЫ
Лицензии
Современные томографы с высочайшим качеством визуализации
Статьи наших врачей