Назад МРТ печени с контрастом в СПБ

Цена:
от 8 900 руб
Записаться
  • Срок получения результата В течение 24 часов
  • Ограничения по весу 120 кг
Описание

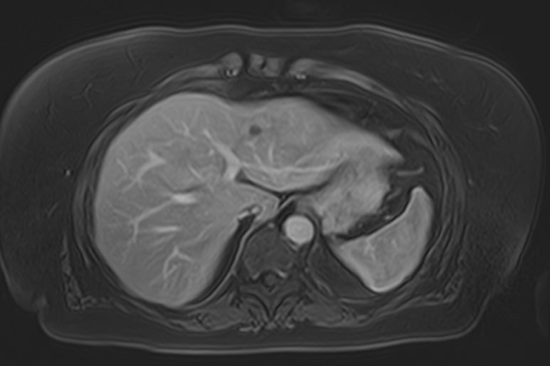
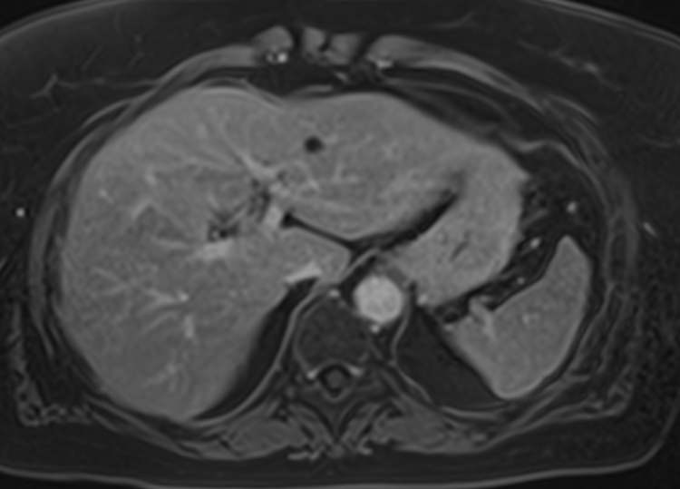
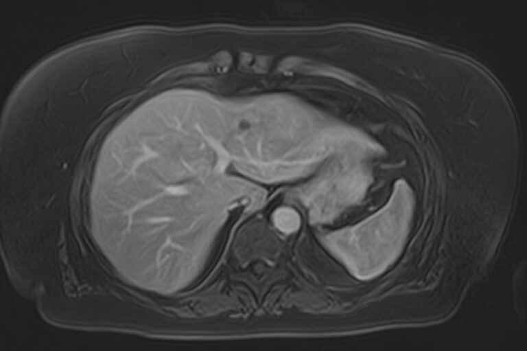
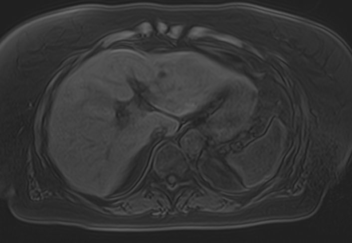
Магнитно-резонансная томография является современным наиболее информативным методом диагностики заболеваний печени. С помощью использования магнитного поля, обладающего высокой индукционной мощностью, МРТ позволяет получать послойные изображения органа и окружающих тканей и выявлять патологические изменения в печени на самых ранних стадиях развития, когда другие методы диагностики не дают результатов. 

Кроме того, процедура безболезненна и безопасна, так как организм не подвергается воздействию вредного рентгеновского излучения. Это позволяет назначать МРТ неоднократно в течение короткого промежутка времени, что бывает важно, например, для оценки динамики состояния органа на фоне лечения. 

Для повышения качества визуализации патологических очагов поражения дополнительно применяется контрастное усиление. Для этого в вену вводится контрастный препарат, содержащий гадодиамид (соли металла гадолиния). Контраст позволяет оценить степень и характер васкуляризации в очагах поражения. Методика применяется для ранней диагностики как первичных опухолей печени, так и метастатического поражения, что имеет решающее значение для проведения своевременного лечения. 

В клинике «Доступная медицина» исследование проводится на современном высокопольном томографе экспертного класса TOSHIBA VANTAGE TITAN 1,5 Тесла. Аппарат послойно сканирует исследуемую зону в трех плоскостях с шагом от 1 мм, при этом получая данные о структуре органа в мельчайших подробностях. Инновационные компьютерные программы реконструируют данные в трехмерные модели органа, отображающие состояние не только паренхимы печени, но и внутрипеченочных желчных протоков и сосудистой системы.

Показания для проведения МРТ печени с контрастом

Свернуть/развернуть

Данное исследование относится к высокотехнологичным методам обследования и применяется в сложных диагностических случаях при:

  • необходимости дифференциальной диагностики объемных образований печени;
  • подозрении на злокачественную опухоль печени или метастатическое поражение органа;
  • для определения размеров опухоли, ее структуры, степень васкуляризации, распространенность процесса и воздействие на окружающие ткани, при подготовке к операции, в рамках динамического наблюдения для оценки эффективности лечения;
  • при подозрении на паразитарные кисты, абсцессы, гемангиомы; 
  • для оценки состояния ткани печени при хронических гепатитах, при подозрении на цирротическую трансформацию паренхимы печени.

Что покажет МРТ печени с контрастом

Свернуть/развернуть

На изображениях, полученных при помощи данного исследования, оцениваются следующие параметры:

  • однородность структуры паренхимы печени;
  • размеры органа, его долей, состояние желчевыводящей системы;
  • участки патологического накопления контраста (степень накопления контраста можно оценить визуально и в цифровом выражении);
  • опухолевые новообразования, определение их размеров, структуры, степень их кровоснабжения, прорастание в окружающие ткани;
  • нарушения печеночного кровотока, развитие коллатеральных сосудов, признаки расширения сосудов печени.

МРТ печени с контрастным усилением позволяет выявить практически все заболевания печени, причем на ранних стадиях:

  • злокачественные опухоли печени и желчевыводящих путей;
  • доброкачественные новообразования (аденомы, гемангиомы, липомы, кисты);
  • паразитарные кистозные образования (эхинококкоз, альвеококкоз);
  • воспалительные заболевания печени (гепатиты);
  • цирроз печени, признаки портальной гипертензии;
  • диффузные заболевания печени обменного характера (гемосидероз, гемохроматоз, жировая инфильтрация печени);
  • заболевания желчевыводящих протоков и желчного пузыря.

Что входит в подготовку к МРТ печени

Свернуть/развернуть

Чтобы исключить вероятность получения артефактов и искажения результатов исследования, к данной процедуре требуется заранее подготовиться.

За три дня до исследования рекомендуется исключить из рациона пищу, повышающую газообразование (сладкое, мучное, жирное, бобовые, газированные напитки, капусту) и принимать «Эспумизан» по 2 капсулы 3 раза в день (если есть проблемы с газообразованием!). В день исследования «Эспумизан» принимать не нужно. 

За 3-4 часа до исследования следует отказаться от приема пищи.

За 30-40 минут до исследования необходимо выпить 2 таблетки «Но-шпы» для снижения перистальтики кишечника. 

Необходимо принести с собой медицинскую документацию, относящуюся к зоне исследования:

  • направление от лечащего врача;
  • выписки из амбулаторных карт и стационаров;
  • результаты предыдущих исследований (МР-снимки, CD/DVD диски, результаты УЗИ, снимки КТ).

Перед началом процедуры необходимо снять с себя все металлические предметы, включая украшения, пирсинг, а также одежду с металлической фурнитурой. Также следует убрать все электронные устройства: смартфоны, часы, планшеты, слуховые аппараты. 

При наличии немагнитных пластин или протезов, изготовленных из пара- и диамагнетиков (например, титан, алюминий), необходимо предупредить об этом врача-рентгенолога и предоставить справку из учреждения, в котором они были установлены. Кроме материала еще учитывается расположение изделия по отношению к исследуемой области. Если имплантат находится вблизи области сканирования, то это может исказить результаты обследования. В каждом конкретном случае врач определит возможность проведения исследования или предложит другой способ визуализации.

Если планируется применение контраста пациенту с подозрением на почечную недостаточность, необходимо выполнить исследование уровня креатинина крови в течение не более 2 недель до даты проведения МРТ.

Для введения контраста в локтевую вену устанавливается катетер с подключенным инжектором (дозирующее устройств). В определенный момент во время исследования контраст подается в вену. Во время введения контраста может возникнуть ощущение тепла или холода во всем теле, металлический привкус во рту, но этот дискомфорт полностью исчезает через несколько минут. Контрастное вещество выводится из организма в течение следующих суток, поэтому кормящим женщинам рекомендуется прервать грудное кормление на 24-48 часов после исследования, при этом сцеженное молоко нужно выливать.  

При проведении обследования необходимо сохранять неподвижность для получения качественных изображений исследуемой области. Чтобы исключить непроизвольные движения, пациента дополнительно фиксируют специальными фиксаторами.

Томограф во время работы издает громкий шум, поэтому чтобы защитить слух, пациенту предлагается надеть наушники или воспользоваться берушами. 

Медперсонал во время проведения процедуры находится в смежном помещении, отделенном от диагностического кабинета прозрачной перегородкой. С врачом можно общаться через вмонтированное в аппарат устройство связи. Для вызова медработника есть специальная сигнальная груша, которая находится в руке пациента в течение всего времени сканирования. По желанию пациента разрешается присутствие сопровождающего при проведении процедуры.

Какие существуют противопоказания для МРТ печени

Свернуть/развернуть
  • Противопоказанием является наличие в теле имплантированных электронных устройств (кардиостимуляторов, нейростимуляторов, имплантатов внутреннего уха, инсулиновых помп).
  • Наличие протезов или медицинских конструкций, изготовленных из ферромагнитных материалов, например, клипсы на сосудах головного мозга (клипирование аневризмы). 
  • Имеющиеся металлические инородные предметы в теле являются противопоказанием для МРТ (это может быть металлическая стружка, осколки, пули, неснимаемый пирсинг), также татуировки с использованием металлизированных красок.
  • Женщинам в первом триместре беременности нежелательно проводить МРТ из-за риска воздействия магнитного поля на формирующиеся органы плода.
  • Клаустрофобия (боязнь закрытых пространств) может ограничивать проведение МРТ. 
  • Из-за технических ограничений по весу томографа невозможно выполнить исследование пациентам с массой тела более 120 кг.

Противопоказания для введения контраста

  • На любом сроке беременности противопоказано введение контраста. 
  • Противопоказано контрастирование при заболеваниях почек со снижением их функции.
  • При наличии в анамнезе аллергических реакций на контрастное вещество.

Запишитесь на МРТ печени с контрастом по удобному адресу

Записаться
Фильтр по услугам МРТ с контрастом

Введение контраста

С контрастом Без контраста

Станция метро

Площадь Восстания Нарвская Проспект Просвещения Рыбацкое Девяткино Гражданский проспект Академическая Политехническая Площадь Мужества Лесная Выборгская Площадь Ленина Чернышевская Владимирская Пушкинская Технологический институт Балтийская Кировский завод Автово Ленинский проспект Проспект Ветеранов Парнас Озерки Удельная Пионерская Чёрная речка Петроградская Горьковская Невский проспект Сенная площадь Фрунзенская Московские ворота Электросила Парк Победы Московская Звёздная Купчино Беговая Зенит Приморская Василеостровская Гостиный двор Маяковская Площадь Александра Невского Елизаровская Ломоносовская Пролетарская Обухово Спасская Достоевская Лиговский проспект Площадь Александра Невского Новочеркасская Ладожская Проспект Большевиков Улица Дыбенко Комендантский проспект Старая Деревня Крестовский остров Чкаловская Спортивная Адмиралтейская Садовая Звенигородская Обводный канал Волковская Бухарестская Международная Проспект Славы Дунайская Шушары Богатырская Каменка Театральная Горный институт Путиловская Юго-Западная Кудрово Шуваловский проспект Каретная Боровая Заставская Броневая

Возраст пациента

Взрослому Ребенку от 15 лет

Пол пациента

Мужчине Женщине

Тип аппарата

Открытый Закрытый

Мощность МРТ

1.5 Тл 3 Тесла

Программы страхования

ДМС Платно ОМС

Цены

Услуги, соответствующие запросу, не найдены.

МРТ головного мозга с контрастом
руб
От 7 600 / 6 200 руб
Подробнее
МРТ пазух носа с контрастом
руб
От 7 600 / 6 200 руб
Подробнее
МРТ гипофиза с контрастом
руб
От 7 600 / 6 200 руб
Подробнее
МРТ позвоночника с контрастом
руб
От 7 600 / 6 200 руб
Подробнее
МРТ брюшной полости с контрастом
руб
От 8 900 руб
МРТ печени с контрастом
руб
От 8 900 руб
МРТ почек с контрастом
руб
От 8 900 руб
МРТ малого таза с контрастом
руб
От 10 800 / 9 400 руб
Подробнее
МРТ мочевого пузыря с контрастом
руб
От 10 800 / 9 400 руб
Подробнее
МРТ простаты с контрастом (предстательной железы)
руб
От 10 800 / 9 400 руб
Подробнее
МРТ с контрастом при массе тела до 69 кг
руб
3 000 руб
МРТ с контрастом при массе тела от 70 до 99 кг
руб
3 700 руб
МРТ с контрастом при массе тела от 100 до 120 кг
руб
4 800 руб
МРТ молочных желез (МР – маммография), в том числе оценка целостности имплантов при их наличии (выполняется с внутривенным контрастированием):
руб
- при весе до 89 кг
руб
11 200 руб
- при весе от 90 кг
руб
12 300 руб

Адреса диагностических центров "Доступная Медицина"

Преимущества наших диагностических центров

Доступные цены

Приемлемые цены
на все услуги

Качественный сервис

Контроль качества
оказываемых услуг

Лучшие специалисты

Высококвалифицированные врачи

Новейшее оборудование

Современные томографы с высочайшим качеством визуализации

Близость к метро

Мы находимся в непосредственной близости от метро и остановок общественного транспорта

Лицензии

Современные томографы с высочайшим качеством визуализации

Назад
Вперед
Ключникова Екатерина Игоревна
Информация проверена главным врачом клиники Domedica24
Ключникова Екатерина Игоревна
Стаж более 8 лет, главный врач, врач-рентгенолог 1 категории
Площадь Стачек, 9">
ул. 1-я Советская, 8">