Назад КТ сосудов малого таза в СПБ

Цена:
6 400 руб
Записаться
  • Срок получения результата В течение 24 часов
Описание

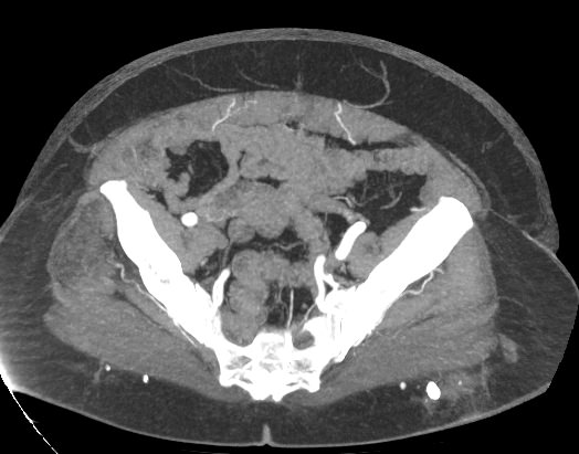
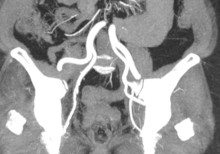
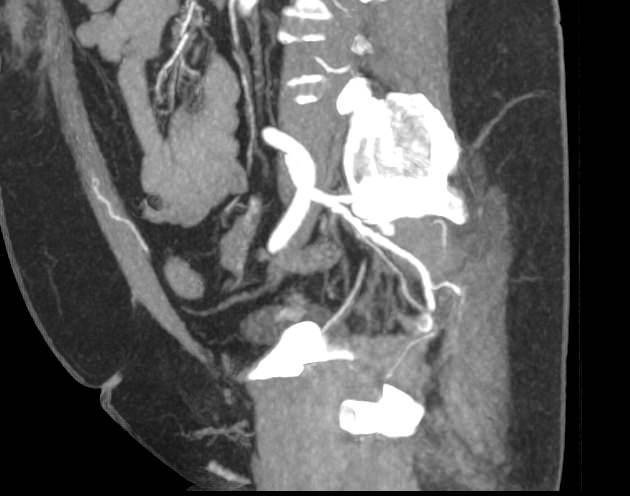
Мультиспиральная компьютерная томография сосудов малого таза (КТ-ангиография) является одним из информативных методов обследования сосудистого русла. КТ относится к лучевым методам исследования, то есть для визуализации внутренних органов применяется рентгеновское излучение. 

КТ-ангиография малого таза назначается для выявления сосудистой патологии, которая может быть обусловлена аномалиями развития сосудов, нарушениями проходимости сосудов на фоне атеросклероза, когда атеросклеротическая бляшка перекрывает просвет сосуда и тем самым нарушает кровоснабжение органов малого таза. Данное исследование проводится в ходе предоперационной подготовки к хирургическим вмешательствам и после операции для оценки эффективности лечения. 

Кроме того, КТ-ангиография позволяет определить характер опухолевых образований, отличить доброкачественные опухоли от злокачественных. При онкологических заболеваниях органов малого таза данное исследование помогает выявить сосуды, кровоснабжающие опухоли, определиться с тактикой лечения, объемом оперативного вмешательства, выбором химиотерапии.

Часто поводом для назначения КТ-ангиографии становятся заболевания репродуктивной системы у женщин с бесплодием или невынашиванием беременности, а у мужчин – проблемы с эрекцией. Данное исследование помогает выявить сосудистую патологию, которая стала причиной нарушения функций половых органов. 

В наших диагностических центрах установлено новейшее оборудование: исследование проводится на мультиспиральных томографах экспертного класса TOSHIBA AQUILION, которые обеспечивают получение детальных снимков высокой точности. При этом аппараты дают минимальную дозу облучения для пациента. 

Источник рентгеновских лучей, расположенный в кольце томографа, вращается вокруг зоны исследования и сканирует внутренние органы. Разные органы и ткани в разной степени поглощают рентгеновские лучи, что улавливается чувствительными детекторами и на основе этих данных получаются изображения высокого уровня четкости и контрастности. 

При нативной КТ кровеносные сосуды не видны. Поэтому, чтобы детально визуализировать сосудистую систему, обязательно проводится контрастное усиление. Для этого в периферическую вену пациенту вводится контрастный препарат, который попадая в кровеносное русло, поглощает рентгеновские лучи и ярко контрастирует сосудистую систему малого таза. В результате получаются детализированные снимки кровоснабжения внутренних половых органов, мочевого пузыря, прямой кишки.

Показания для КТ сосудов малого таза

Свернуть/развернуть

КТ-ангиография сосудов малого таза назначается для оценки состояния сосудистой системы малого таза в следующих случаях:

  • При атеросклеротическом поражении подвздошных артерий, которое чаще наблюдается у мужчин и проявляется симптомами ишемии нижних конечностей (боли в ногах при ходьбе – перемежающаяся хромота, снижение или отсутствие пульсации на ногах, трофические нарушения — бледность, сухость и истончение кожных покровов на ногах, исчезновение волос). Атеросклероз сосудов малого таза может быть причиной эректильной дисфункции (нарушения потенции) у мужчин.
  • Для оценки состояния кровоснабжения внутренних половых органов у женщин для выявления причин бесплодия, привычного невынашивания беременности. Исследование назначается женщинам с заболеваниями репродуктивной системы.
  • Для дифференциальной диагностики доброкачественных и злокачественных новообразований. Характер кровоснабжения опухолевого образования позволяет выявить онкологическое заболевание, степень его распространенности. 
  • Для оценки характера кровоснабжения опухоли, назначается для выбора тактики лечения, для определения объема оперативного вмешательства.

Что покажет КТ сосудов малого таза?

Свернуть/развернуть

На снимках КТ-ангиографии с контрастированием четко видна брюшная аорта, место ее разветвления на подвздошные артерии (бифуркация), а также сосудистые ветви, отходящие к органам малого таза. Снимки и 3D-изображения позволяют оценить:

  • анатомические особенности сосудистого русла, выявить врожденные аномалии развития сосудов малого таза;
  • обнаружить участки сужения и расширения артерий, наличие атеросклеротических бляшек, препятствующих нормальному току крови;
  • выявить сосудистую патологию в малом тазу у женщин с бесплодием, привычными выкидышами.
  • провести дифференциальную диагностику доброкачественных и злокачественных опухолей, выбрать правильную тактику лечения, определить объем планируемой операции.

Подготовка к КТ сосудов малого таза

Свернуть/развернуть

Перед проведением КТ мы рекомендуем предоставить всю медицинскую документацию, которая относится к зоне исследования: 

  • Направление от лечащего врача;
  • Выполненные ранее рентгеновские снимки ангиографии сосудов малого таза, CD/DVD диски предыдущих КТ- и МР-ангиографии сосудов малого таза;
  • Выписки из амбулаторных карт и стационаров;
  • Заключения профильных специалистов.

Перед КТ с контрастированием требуется оценить выводящую функцию почек. Это имеет важное значение, так как контраст выводится из организма преимущественно почками. Для этого необходимо сдать кровь на исследование уровня креатинина. При повышенном уровне креатинина крови контрастирование не проводится. Анализ крови действителен в течение 14 дней с момента забора биоматериала. 

Пациентам, которые принимают по поводу сахарного диабета такие сахароснижающие препараты, как Метформин, Глюкофаж или другие метформинсодержащие препараты, необходимо согласовать с эндокринологом временную отмену приема данных препаратов за 48 часов до исследования с контрастированием и на 48 часов после введения контраста.

Если контрастное усиление проводится женщине в период лактации, то пациентке необходимо на 24-48 часов после процедуры с введением контраста исключить грудное вскармливание, при этом молоко сцеживать и выливать. На этот период мы рекомендуем запастись для ребенка необходимым количеством грудного молока.

Для введения контраста непосредственно перед сканированием в периферическую вену устанавливается венозный катетер, к которому подключается автоматическое дозирующее устройство. С его помощью контраст вводится в вену во время исследования. При введении контраста может появиться неприятный привкус во рту, ощущение прилива, жара во всем теле, но этот дискомфорт проходит через 1-2 минуты. Контрастное вещество выводится из организма преимущественно почками в течение последующих суток.

Чтобы получить качественные изображения на снимках, от пациента требуется сохранять неподвижность в течение всей процедуры. Врач находится в смежном помещении, отделенном от диагностического кабинета стеклянной перегородкой. Связь с ним происходит через встроенное в аппарат переговорное устройство.

Противопоказания для проведения КТ сосудов малого таза

Свернуть/развернуть

Компьютерная томография не проводится беременным женщинам в течение всего срока беременности, так как ионизирующее излучение оказывает негативное влияние на развивающийся плод. 

Также в нашей клинике невозможно выполнить КТ пациентам с массой тела более 120 кг из-за технических возможностей аппарата (ограничения по весу имеет выдвижной стол томографа).

Дополнительно имеются противопоказания для введения контраста. К ним относятся:

  • аллергия на йодсодержащие контрастные вещества;
  • заболевания почек с резко выраженными явлениями почечной недостаточности;
  • застойная сердечная недостаточность;
  • заболевания щитовидной железы с признаками гипертиреоза и тиреотоксикоза;
  • тяжелое течение бронхиальной астмы;
  • декомпенсированный сахарный диабет.

Запишитесь на КТ сосудов малого таза по удобному адресу

Записаться
Фильтр по услугам КТ сосудов

Введение контраста

С контрастом Без контраста

Станция метро

Площадь Восстания Проспект Просвещения Нарвская Рыбацкое Девяткино Гражданский проспект Академическая Политехническая Площадь Мужества Лесная Выборгская Площадь Ленина Чернышевская Владимирская Пушкинская Технологический институт Балтийская Кировский завод Автово Ленинский проспект Проспект Ветеранов Парнас Озерки Удельная Пионерская Чёрная речка Петроградская Горьковская Невский проспект Сенная площадь Фрунзенская Московские ворота Электросила Парк Победы Московская Звёздная Купчино Беговая Зенит Приморская Василеостровская Гостиный двор Маяковская Площадь Александра Невского Елизаровская Ломоносовская Пролетарская Обухово Спасская Достоевская Лиговский проспект Площадь Александра Невского Новочеркасская Ладожская Проспект Большевиков Улица Дыбенко Комендантский проспект Старая Деревня Крестовский остров Чкаловская Спортивная Адмиралтейская Садовая Звенигородская Обводный канал Волковская Бухарестская Международная Проспект Славы Дунайская Шушары Богатырская Каменка Театральная Горный институт Путиловская Юго-Западная Кудрово Шуваловский проспект Каретная Боровая Заставская Броневая

Возраст пациента

Взрослому Ребенку от 15 лет

Пол пациента

Мужчине Женщине

Программы страхования

ДМС Платно ОМС

Цены

Услуги, соответствующие запросу, не найдены.

КТ сосудов головного мозга
руб
6 400 руб
КТ сосудов шеи
руб
6 400 руб
КТ сосудов шеи и головного мозга (брахиоцефальных артерий)
руб
9 100 руб
КТ грудного отдела аорты и ее ветвей
руб
9 500 руб
КТ коронарных артерий (коронарография)
руб
9 500 руб
КТ легочной артерии и ее ветвей
руб
10 600 руб
КТ брюшного отдела аорты и ее ветвей
руб
9 500 руб
КТ нижней полой вены
руб
8 600 руб
КТ чревного ствола с функциональными пробами на вдохе и выдохе
руб
7 600 руб
КТ воротной вены
руб
6 400 руб
КТ сосудов почек
руб
10 600 руб
КТ сосудов малого таза
руб
6 400 руб
КТ брюшного отдела аорты и сосудов (артерий) нижних конечностей
руб
13 500 руб
КТ сосудов верхних конечностей (1 рука)
руб
6 400 руб
КТ сосудов (артерий) нижних конечностей (2 ноги)
руб
От 7 500 руб
от бифуркации аорты до коленного сустава
руб
7 500 руб
от бифуркации аорты до стопы
руб
9 500 руб

Адреса диагностических центров "Доступная Медицина"

Преимущества наших диагностических центров

Доступные цены

Приемлемые цены
на все услуги

Качественный сервис

Контроль качества
оказываемых услуг

Лучшие специалисты

Высококвалифицированные врачи

Новейшее оборудование

Современные томографы с высочайшим качеством визуализации

Близость к метро

Мы находимся в непосредственной близости от метро и остановок общественного транспорта

Лицензии

Современные томографы с высочайшим качеством визуализации

Назад
Вперед
Ключникова Екатерина Игоревна
Информация проверена главным врачом клиники Domedica24
Ключникова Екатерина Игоревна
Стаж более 8 лет, главный врач, врач-рентгенолог 1 категории
Площадь Стачек, 9">
ул. 1-я Советская, 8">