Назад КТ щитовидной железы с контрастом в СПб

Цена:
от 6 400 руб
Записаться
  • Срок получения результата В течение 24 часов
Описание

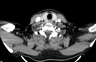
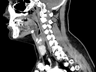
Компьютерная томография является современным высокотехнологичным методом диагностики заболеваний щитовидной железы, основанном на использовании рентгеновского излучения. Процедура отличается быстротой, безболезненностью и проводится без нарушения целостности кожи и расположенных под ней тканей. 

КТ щитовидной железы часто используется в диагностике доброкачественных и злокачественных опухолей железы, оценки распространенности процесса, поэтому для улучшения визуализации патологических очагов дополнительно применяется внутривенное болюсное контрастирование. Методика контрастирования позволяет увидеть на снимке опухоли минимальных размеров за счет того, что контраст избирательно накапливается в измененных тканях и обеспечивает яркое изображение патологического очага на фоне здоровых окружающих тканей.  Контрастирование дает возможность определить врачу границы опухоли, ее размеры, степень васкуляризации, точное расположение, особенно это важно при нетипичной (загрудинной) локализации органа.

Для контрастного усиления используются йодсодержащие контрастные препараты, которые вводятся пациенту внутривенно во время исследования. Так как в состав контраста входит йод, его не применяют при заболеваниях щитовидной железы, сопровождающихся повышением ее функции и тиреотоксикозом из-за риска усугубить течение болезни.

В наших центрах обследование щитовидной железы выполняется на современных мультиспиральных томографах TOSHIBA AQUILION, оснащенных увеличенным количеством сверхчувствительных детекторов, позволяющих производить множество срезов с минимальной толщиной от 0,5 мм. Инновационные возможности аппаратов обеспечивают получение множества послойных снимков высокого качества и построение на их основе трехмерной модели органа. Кроме того, аппаратура позволяет за счет сокращения времени сканирования минимизировать лучевую нагрузку на пациента.

Альтернативным методом исследования состояния щитовидной железы служит магнитно-резонансная томография. В нашей клинике можно пройти обследование щитовидной железы, записавшись на МРТ мягких тканей шеи, которое проводится на новейшем высокопольном 32-канальном томографе экспертного класса.

Показания для проведения КТ щитовидной железы с контрастом

Свернуть/развернуть

Врач может назначить данное исследование в связи с появлением следующих симптомов:

  • нарушения глотания, появление осиплости голоса, афония;
  • наличие припухлости, видимое на глаз увеличение щитовидной железы; появление опухолевого образования в области щитовидной железы;
  • увеличение шейных лимфоузлов.

Кроме того, поводом для проведения КТ щитовидной железы с контрастом может послужить необходимость уточнения характера патологических изменений, выявленных на УЗИ щитовидной железы, подозрение на онкологический процесс, планирование оперативного вмешательства, а также для отслеживания состояния органа на фоне лечения.

Что показывает КТ щитовидной железы с контрастом?

Свернуть/развернуть

Мультиспиральная компьютерная томография позволяет точно определить размеры и расположение щитовидной железы, выявить опухолевые образования, оценить их структуру, степень кровоснабжения, взаимодействие с окружающими тканями. 

Исследование позволяет диагностировать:

  • Гиперплазию щитовидной железы, узловой зоб;
  • Поражения щитовидной железы на фоне аутоиммунных заболеваний;
  • Доброкачественные опухоли щитовидной железы и паращитовидных желез (аденомы);
  • Злокачественные опухоли щитовидной железы (первичные или метастазы из других опухолей);
  • Аномалии развития (гипоплазия, аплазия желез);
  • Повреждения щитовидной железы на фоне травм, операций.

Подготовка к КТ щитовидной железы с контрастом

Свернуть/развернуть

К данному исследованию не требуется сложной специальной подготовки, однако нужно учесть некоторые особенности.

За 2 дня до исследования нужно отменить прием йодсодержащих препаратов, также исключить из рациона питания продукты, богатые йодом (морские водоросли, рыба и морепродукты, йодированная соль, яйца, цельное молоко), так как они могут искажать результаты сканирования.

Перед проведением КТ мы рекомендуем принести с собой всю медицинскую документацию, которая относится к зоне исследования: 

  • Направление от лечащего врача;
  • CD/DVD диски предыдущих КТ-исследований щитовидной железы и средостения, результаты УЗИ или МРТ щитовидной железы;
  • Выписки из амбулаторных карт и стационаров;
  • Заключения профильных специалистов.

Так как контрастное вещество выводится из организма преимущественно почками, то для проведения КТ щитовидной железы с контрастированием предварительно нужно сдать анализ крови на креатинин для оценки выводящей функции почек. Анализ действителен в течение 14 дней. При наличии почечной недостаточности контрастирование не проводится. В этом случае врач сможет предложить другой способ визуализации щитовидной железы.  

Пациентам, которые принимают по поводу сахарного диабета такие сахароснижающие препараты, как Метформин или Глюкофаж, необходимо отменить прием данных препаратов за 48 часов до исследования с контрастированием и на 48 часов после введения контраста (временную отмену данных препаратов необходимо согласовать с эндокринологом).

Контрастный препарат вводится внутривенно через установленный в периферическую вену венозный катетер с помощью автоматического устройства (инжектора). В момент введения контраста может появиться неприятный привкус во рту, ощущение тепла во всем теле, но этот дискомфорт через пару минут быстро исчезает. Контрастное вещество в течение последующих суток полностью выводится из организма преимущественно почками.

Кормящие женщины, нуждающиеся в проведении КТ щитовидной железы с контрастированием, должны на 24-48 часов после процедуры с введением контраста исключить грудное вскармливание, при этом молоко сцеживать и выливать. Предварительно рекомендуется сделать для ребенка запас грудного молока.

Чтобы исключить появление нечеткости изображений на снимках, пациента попросят не двигаться в течение всей процедуры. 

Врач-рентгенолог во время исследования находится в соседнем помещении, разделенном с диагностическим кабинетом стеклянной перегородкой. В аппарат вмонтировано переговорное устройство, с помощью которого можно разговаривать с врачом и при необходимости вызвать медицинский персонал.

Противопоказания для проведения КТ щитовидной железы с контрастом

Свернуть/развернуть

Абсолютным противопоказаниям для проведения компьютерной томографии является беременность на любом сроке, так как рентгеновское излучение даже в малых дозах оказывает вредное воздействие на плод.

Также в нашей клинике невозможно выполнить КТ пациентам, у которых масса тела превышает 120 кг (ограничения по весу имеет выдвижной стол томографа).

Также имеются противопоказания для введения йодсодержащего контрастного вещества:

  • аллергия на йодсодержащие контрастные вещества;
  • заболевания почек с выраженной почечной недостаточностью;
  • застойная сердечной недостаточности;
  • заболевания щитовидной железы с гипертиреозом и тиреотоксикозом;
  • при тяжелом течении бронхиальной астмы;
  • в случае декомпенсированного сахарного диабета.

Запишитесь на КТ щитовидной железы с контрастом по удобному адресу

Записаться
Фильтр по услугам КТ с контрастом

Введение контраста

С контрастом Без контраста

Станция метро

Площадь Восстания Проспект Просвещения Нарвская Рыбацкое Девяткино Гражданский проспект Академическая Политехническая Площадь Мужества Лесная Выборгская Площадь Ленина Чернышевская Владимирская Пушкинская Технологический институт Балтийская Кировский завод Автово Ленинский проспект Проспект Ветеранов Парнас Озерки Удельная Пионерская Чёрная речка Петроградская Горьковская Невский проспект Сенная площадь Фрунзенская Московские ворота Электросила Парк Победы Московская Звёздная Купчино Беговая Зенит Приморская Василеостровская Гостиный двор Маяковская Площадь Александра Невского Елизаровская Ломоносовская Пролетарская Обухово Спасская Достоевская Лиговский проспект Площадь Александра Невского Новочеркасская Ладожская Проспект Большевиков Улица Дыбенко Комендантский проспект Старая Деревня Крестовский остров Чкаловская Спортивная Адмиралтейская Садовая Звенигородская Обводный канал Волковская Бухарестская Международная Проспект Славы Дунайская Шушары Богатырская Каменка Театральная Горный институт Путиловская Юго-Западная Кудрово Шуваловский проспект Каретная Боровая Заставская Броневая

Возраст пациента

Взрослому Ребенку от 15 лет

Пол пациента

Мужчине Женщине

Программы страхования

ДМС Платно ОМС

Цены

Услуги, соответствующие запросу, не найдены.

КТ головного мозга с контрастом
руб
От 6 400 руб
КТ околоносовых пазух с контрастом
руб
От 6 400 руб
КТ орбит с контрастом
руб
От 6 400 руб
КТ носоглотки с контрастом
руб
От 6 400 руб
КТ щитовидной железы с контрастом
руб
От 6 400 руб
КТ лимфатических узлов с контрастом
руб
От 6 400 руб
КТ гортани с контрастом
руб
От 6 400 руб
КТ шеи с контрастом
руб
От 6 600 руб
КТ легких с контрастом
руб
От 6 400 руб
КТ почек с контрастом
руб
От 6 400 руб
КТ печени с контрастом
руб
От 6 400 руб
КТ селезенки с контрастом
руб
От 6 400 руб
КТ поджелудочной железы с контрастом
руб
От 6 400 руб
КТ надпочечников с контрастом
руб
От 6 400 руб
КТ мочевого пузыря с контрастом
руб
От 6 400 руб
КТ одной анатомической зоны с контрастом
руб
От 6 400 руб
КТ брюшной полости и забрюшинного пространства с контрастом
руб
От 6 400 руб
КТ таза с контрастом
руб
От 6 400 руб
КТ верхней конечности с контрастом
руб
От 6 400 руб
КТ нижних конечностей с контрастом
руб
От 7 500 руб
от бифуркации аорты до коленного сустава
руб
От 7 500 руб
от бифуркации аорты до стопы
руб
От 9 500 руб
Контраст 100 мл (до 100 кг)
руб
3 500 руб
Контраст 150 мл (от 100 кг до 120 кг)
руб
4 500 руб

Адреса диагностических центров "Доступная Медицина"

Преимущества наших диагностических центров

Доступные цены

Приемлемые цены
на все услуги

Качественный сервис

Контроль качества
оказываемых услуг

Лучшие специалисты

Высококвалифицированные врачи

Новейшее оборудование

Современные томографы с высочайшим качеством визуализации

Близость к метро

Мы находимся в непосредственной близости от метро и остановок общественного транспорта

Лицензии

Современные томографы с высочайшим качеством визуализации

Назад
Вперед
Ключникова Екатерина Игоревна
Информация проверена главным врачом клиники Domedica24
Ключникова Екатерина Игоревна
Стаж более 8 лет, главный врач, врач-рентгенолог 1 категории
Площадь Стачек, 9">
ул. 1-я Советская, 8">