Назад КТ нижней полой вены в СПБ

Цена:
8 600 руб
Записаться
  • Введение контраста Да
  • Длительность выполнения 20 минут
  • Ограничения по весу 120 кг
  • Ограничения по возрасту От 15 лет
  • Срок получения результата В течение 24 часов
Описание

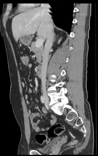
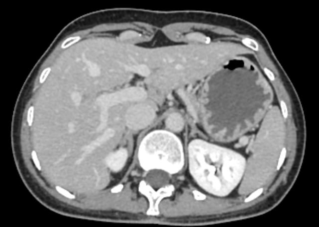
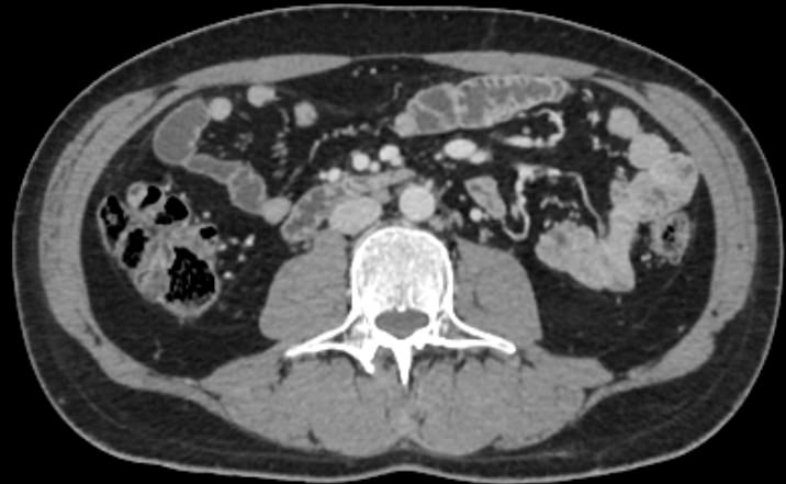
Нижняя полая вена – крупный венозный сосуд, расположенный в забрюшинном пространстве и проходящий вблизи аорты. Начало нижней полой вены находится на уровне поясничных позвонков при слиянии правой и левой подвздошных вен, далее она через специальное отверстие в диафрагме проходит в грудную полость и впадает в правое предсердие. 

На  всем протяжении нижней полой вены в нее впадают висцеральные вены (от внутренних органов) и париетальные (пристеночные), несущие кровь от позвоночника и диафрагмы.

Основная функция нижней полой вены – транспортировка венозной крови от нижней части туловища, брюшной полости, малого таза, нижних конечностей в правые отделы сердца. Патология нижней полой вены может быть связана с аномалиями развития сосуда, сдавлением вены извне увеличенными лимфоузлами, опухолями, либо на поздних сроках беременности (синдром нижней полой вены). Кроме того, в нижней полой вене может наблюдаться тромбоз, тромбофлебит (воспаление стенки с тромбообразованием), стенозы (сужения) или дилатация (расширения) просвета вены за счет формирования аневризмы.  

Для диагностики патологии нижней полой вены применяется высокоинформативный быстрый и неинвазивный (то есть не требующий вмешательства в организм пациента) метод исследования – мультиспиральная компьютерная томография (КТ-ангиография). КТ-ангиография позволяет диагностировать патологические изменения нижней полой вены на ранней стадии развития, когда лечение наиболее эффективно.

Метод компьютерной томографии основан на применении рентгеновского излучения. Источник излучения, расположенный в кольцевой части томографа, вращается вокруг зоны исследования и делает послойное сканирование со срезами толщиной от 0,5 мм. Для визуализации кровеносных сосудов обязательно используется контрастное усиление, которое усиливает контрастность сосудов на фоне окружающих тканей и позволяет увидеть патологические изменения на начальной стадии.

Для контрастирования используется йодсодержащий препарат, обладающий высокой рентгеноконтрастностью за счет способности поглощать рентгеновские лучи. Препарат вводится пациенту внутривенно во время исследования и позволяет диагностировать различную патологию нижней полой вены, включая аномалии развития, тромбозы, воспалительные изменения сосудистых стенок, опухолевые образования, прорастающие в нижнюю полую вену или сдавливающие ее извне. 

Кроме того, исследование проводится перед операцией для определения точной локализации тромба или опухоли, а также в послеоперационном периоде для оценки периода восстановления. Исключение составляет синдром нижней полой вены при беременности, так как применение рентгеновских методов исследования противопоказано во время беременности. В таких случаях применяются другие методы обследования – УЗИ и МРТ, которые можно пройти в нашей клинике на современном высокотехнологичном оборудовании. 

В сети медицинских центров «Доступная медицина» КТ нижней полой вены проводится на новейших мультиспиральных томографах экспертного уровня  TOSHIBA AQUILION. Модификации аппаратов обеспечивают получение точных детализированных снимков и трехмерные изображения сосудистой системы высокого качества, при этом использование скоростной мультисрезовой методики сканирования позволяет минимизировать дозу облучения для пациента.

Показания к КТ нижней полой вены

Свернуть/развернуть
  • венозная недостаточность (отечность, боль и чувство тяжести в ногах, судороги, варикозное расширение вен);
  • боль в области поясницы и в правой части живота неясной этиологии;
  • образование в верхнем отделе брюшной полости или забрюшинного пространства;
  • одышка, сердцебиение, аритмия, слабость
  • контроль проходимости кава-фильтра

Подготовка к КТ нижней полой вены

Свернуть/развернуть

КТ является быстрой безболезненной процедурой, при этом обязательное использование контрастирования требует предварительной подготовки. 

Мы рекомендуем принести с собой все документы, которые касаются области исследования:

  • Направление лечащего врача;
  • Выписка из истории болезни или амбулаторной карты;
  • Рентгеновские снимки, заключения УЗИ, CD/DVD диски предыдущих КТ или МРТ исследований брюшной полости, нижней полой вены;
  • Заключения специалистов.

Введение контрастного вещества требует оценки выделительной функции почек. Для этого необходимо в течение 2-х недель до даты исследования сдать анализ крови на уровень креатинина (показатель, отражающий функцию почек). При резко выраженной почечной недостаточности контрастирование не проводится.  

Пациентам, принимающим по поводу сахарного диабета Метформин (Глюкофаж) или другие метформинсодержащие препараты, необходимо, по согласованию с эндокринологом, прекратить прием данного препарата за 48 часов до исследования с контрастированием и на 48 часов после введения контраста.

Контрастный препарат вводится внутривенно через предварительно установленный в локтевую вену венозный катетер. Введение контраста осуществляется с помощью автоматического шприца (инжектора). При поступлении контраста в кровь можно почувствовать теплоту и неприятный привкус во рту, но эти ощущения кратковременны и проходят через 1-2 минуты.

При проведении мультиспиральной КТ с внутривенным болюсным контрастированием женщинам в период лактации, необходимо на 24-48 часов после процедуры с введением контраста прервать грудное вскармливание, предварительно сделав запас грудного молока, при этом молоко сцеживать и выливать.

Пациент располагается горизонтально на специальном столе, который плавно передвигается в раме томографа. Для получения качественных изображений от пациента требуется соблюдать неподвижность во время сканирования.

Врач находится в соседнем помещении, наблюдает за пациентом через окно. Общение с врачом происходит через переговорное устройство, вмонтированное в аппарат.

Противопоказания для проведения КТ нижней полой вены

Свернуть/развернуть

Компьютерную томографию не рекомендуется выполнять беременным женщинам в течение всего срока беременности из-за вредного воздействия на плод рентгеновского излучения. 

Также технически невозможно выполнить КТ нижней полой вены при массе тела пациента, превышающей 120 кг, так как подвижная часть томографов, установленных в наших центрах, имеет весовые ограничения. 

Также имеются противопоказания для введения контрастного препарата. К ним относятся:

  • аллергическая реакция на йодсодержащий контрастный препарат в анамнезе; 
  • заболевания почек с резким снижением их функции;
  • застойная сердечная недостаточность;
  • заболевания щитовидной железы с признаками гипертиреоза и тиреотоксикоза;
  • тяжелое течение бронхиальной астмы;
  • декомпенсированный сахарный диабет.

КТ нижней полой вены позволяет выявить:

Свернуть/развернуть
  • сдавление сосуда (синдром НПВ);
  • тромбоз и тромбофлебит вены;
  • наличие кава-фильтра
  • кровотечения в брюшной полости при нарушении целостности сосудистой стенки, в том числе при травмах живота;
  • дилатация (расширение) нижней полой вены;
  • новообразования и метастазы, поражающие сосуд и близлежащие органы;
  • стеноз НПВ;
  • аномалии развития (недоразвитие, удвоение сосуда и другие).

Запишитесь на КТ нижней полой вены по удобному адресу

Записаться
Фильтр по услугам КТ сосудов

Введение контраста

С контрастом Без контраста

Станция метро

Площадь Восстания Проспект Просвещения Нарвская Рыбацкое Девяткино Гражданский проспект Академическая Политехническая Площадь Мужества Лесная Выборгская Площадь Ленина Чернышевская Владимирская Пушкинская Технологический институт Балтийская Кировский завод Автово Ленинский проспект Проспект Ветеранов Парнас Озерки Удельная Пионерская Чёрная речка Петроградская Горьковская Невский проспект Сенная площадь Фрунзенская Московские ворота Электросила Парк Победы Московская Звёздная Купчино Беговая Зенит Приморская Василеостровская Гостиный двор Маяковская Площадь Александра Невского Елизаровская Ломоносовская Пролетарская Обухово Спасская Достоевская Лиговский проспект Площадь Александра Невского Новочеркасская Ладожская Проспект Большевиков Улица Дыбенко Комендантский проспект Старая Деревня Крестовский остров Чкаловская Спортивная Адмиралтейская Садовая Звенигородская Обводный канал Волковская Бухарестская Международная Проспект Славы Дунайская Шушары Богатырская Каменка Театральная Горный институт Путиловская Юго-Западная Кудрово Шуваловский проспект Каретная Боровая Заставская Броневая

Возраст пациента

Взрослому Ребенку от 15 лет

Пол пациента

Мужчине Женщине

Программы страхования

ДМС Платно ОМС

Цены

Услуги, соответствующие запросу, не найдены.

КТ сосудов головного мозга
руб
6 400 руб
КТ сосудов шеи
руб
6 400 руб
КТ сосудов шеи и головного мозга (брахиоцефальных артерий)
руб
9 100 руб
КТ грудного отдела аорты и ее ветвей
руб
9 500 руб
КТ коронарных артерий (коронарография)
руб
9 500 руб
КТ легочной артерии и ее ветвей
руб
10 600 руб
КТ брюшного отдела аорты и ее ветвей
руб
9 500 руб
КТ нижней полой вены
руб
8 600 руб
КТ чревного ствола с функциональными пробами на вдохе и выдохе
руб
7 600 руб
КТ воротной вены
руб
6 400 руб
КТ сосудов почек
руб
10 600 руб
КТ сосудов малого таза
руб
6 400 руб
КТ брюшного отдела аорты и сосудов (артерий) нижних конечностей
руб
13 500 руб
КТ сосудов верхних конечностей (1 рука)
руб
6 400 руб
КТ сосудов (артерий) нижних конечностей (2 ноги)
руб
От 7 500 руб
от бифуркации аорты до коленного сустава
руб
7 500 руб
от бифуркации аорты до стопы
руб
9 500 руб

Адреса диагностических центров "Доступная Медицина"

Преимущества наших диагностических центров

Доступные цены

Приемлемые цены
на все услуги

Качественный сервис

Контроль качества
оказываемых услуг

Лучшие специалисты

Высококвалифицированные врачи

Новейшее оборудование

Современные томографы с высочайшим качеством визуализации

Близость к метро

Мы находимся в непосредственной близости от метро и остановок общественного транспорта

Лицензии

Современные томографы с высочайшим качеством визуализации

Назад
Вперед
Ключникова Екатерина Игоревна
Информация проверена главным врачом клиники Domedica24
Ключникова Екатерина Игоревна
Стаж более 8 лет, главный врач, врач-рентгенолог 1 категории
Площадь Стачек, 9">
ул. 1-я Советская, 8">