Назад КТ лимфатических узлов с контрастом в СПБ

Цена:
от 6 400 руб
Записаться
  • Введение контраста Да
  • Длительность выполнения 20 минут
  • Ограничения по весу 120 кг
  • Ограничения по возрасту От 15 лет
  • Срок получения результата В течение 24 часов
Описание

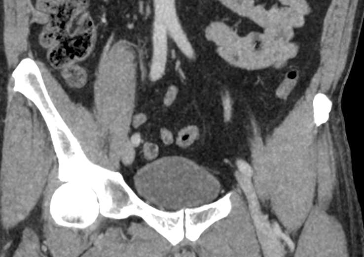
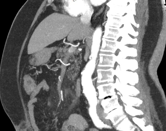
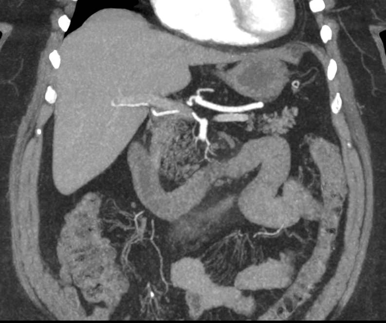
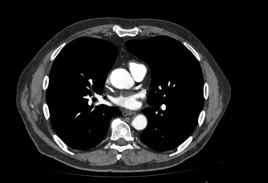
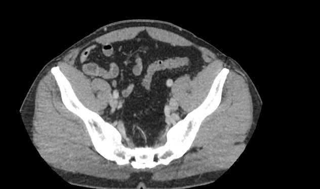
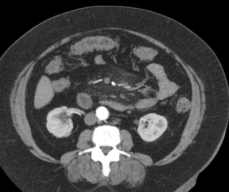
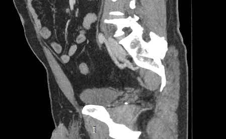
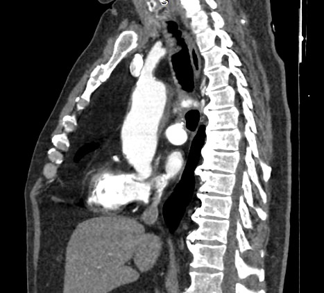
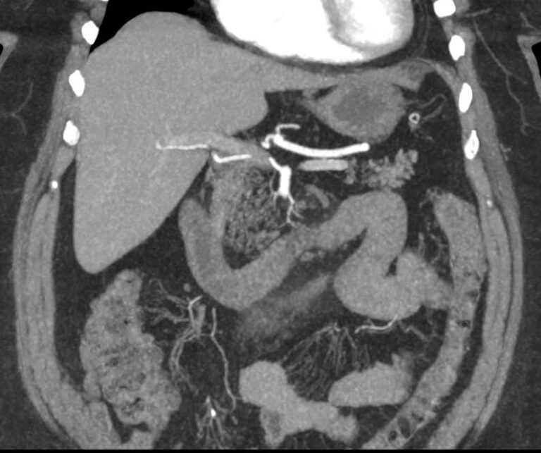
В брюшной полости и забрюшинном пространстве расположены группы лимфатических узлов, которые окружают внутренние органы (желудочные, печеночные, брыжеечные, чревные, подвздошные и др) и располагаются вдоль крупных кровеносных сосудов. Лимфоузлы относятся к периферическим органам иммунной системы человека и выполняют защитную функцию, являясь барьером для проникновения инфекций и задерживают распространение раковых клеток. 

Патологические изменения регионарных лимфоузлов часто свидетельствуют о поражении того органа, от которого происходит лимфоотток. Это имеет важное значение для оценки распространенности онкологического процесса, выявления отдаленного метастатического поражения лимфатической системы, а также используется для определения тактики лечения. Кроме того, патология лимфатических узлов может говорить о развитии гемобластозов и лимфопролиферативных заболеваний крови.

Компьютерная томография позволяет детально визуализировать структуру лимфатических узлов, выявить ее неоднородность, гиперплазию, определить деформацию контуров, появление инфильтрации окружающих тканей с образованием пакетов и конгломератов лимфоузлов. 

В нашей клинике обследование лимфоузлов брюшной полости и забрюшинного пространства выполняется на современном мультиспиральном томографе экспертного класса TOSHIBA AQUILION CXL, который при помощи рентгеновских лучей производит послойное сканирование исследуемой области. Аппарат оснащен 128 высокочувствительными детекторами, расположенными по спирали, что позволяет за короткое время выполнять сканирование нескольких областей тела. Это значительно сокращает время исследования и снижает уровень лучевой нагрузки на пациента.

Полученные данные посредством инновационных цифровых приложений преобразуются в трехмерные изображения высочайшего качества, что позволяет проводить точную и достоверную диагностику.

С целью повышения контрастности изображений, выявления патологических изменений в лимфоузлах дополнительно внутривенно вводится рентгеноконтрастное вещество на основе йода. Контраст накапливается в патологических очагах и под воздействием рентгеновских лучей обусловливает их яркое изображение на фоне неизмененной ткани. Контрастирование значительно повышает диагностическую ценность исследования и помогает выявлять многие серьезные заболевания на начальных этапах.

Показания к КТ лимфоузлов с контрастом

Свернуть/развернуть
  • подозрения на лимфопролиферативное заболевание (лимфома., лимфогранулематоз и пр), 
  • подозрение на злокачественное новообразование, с метастазами в лимфатические узлы.
  • воспалительные изменения с регионарной гиперплазией лимфатических узлов

Подготовка к исследованию

Свернуть/развернуть

К проведению КТ с контрастом нужно предварительно подготовиться.

Перед выполнением КТ необходимо предоставить всю медицинскую документацию, которая относится к зоне исследования: 

  • Направление от лечащего врача;
  • Выполненные ранее рентгеновские снимки легких, CD/DVD диски предыдущих КТ-исследований брюшной полости, малого таза, лимфатических узлов;
  • Выписки из амбулаторных карт и стационаров;
  • Заключения профильных специалистов.

Перед исследованием с контрастированием необходимо предоставить показатели креатинина крови. Этот показатель отражает функцию почек и имеет важное значение, так как контраст выводится из организма преимущественно почками. В зависимости от уровня креатинина врач-рентгенолог примет решение о возможности проведения контрастирования. Анализ крови действителен в течение 14 дней до даты исследования. 

Пациентам, которые принимают по поводу сахарного диабета такие сахароснижающие препараты, как Метформин или Глюкофаж, необходимо отменить прием данных препаратов за 48 часов до исследования с контрастированием и на 48 часов после введения контраста (временную отмену данных препаратов необходимо согласовать с эндокринологом).

Для введения контраста в локтевую вену предварительно устанавливается венозный катетер. Контрастный препарат вводится с помощью автоматического инъектора. При введении контраста может появиться неприятный привкус во рту, ощущение прилива, жара во всем теле, но этот дискомфорт проходит через 1-2 минуты. Контрастное вещество выводится из организма преимущественно почками в течение последующих суток.

Если контрастное усиление проводится кормящей женщине, то пациентке необходимо на 24-48 часов после процедуры с введением контраста исключить грудное вскармливание, при этом молоко сцеживать и выливать. Предварительно мы рекомендуем сделать для малыша запас грудного молока.

Чтобы получить качественные изображения на снимках, от пациента требуется сохранять неподвижность в течение всей процедуры. Врач находится в смежном помещении, отделенном от диагностического кабинета стеклянной перегородкой. Связь с ним происходит через вмонтированное в аппарат переговорное устройство.

Противопоказания для проведения КТ лимфатических узлов с контрастом

Свернуть/развернуть

Компьютерная томография не проводится во время беременности, так как ионизирующее излучение оказывает вредное влияние на плод. 

В нашей клинике невозможно выполнить КТ пациентам с массой тела более 120 кг из-за технических возможностей аппарата (ограничения по весу имеет выдвижной стол томографа).

При необходимости проведения КТ с контрастированием имеются противопоказания для введения контраста. Запрещено введение контраста в следующих случаях:

  • если у пациента ранее отмечалась аллергия на йодсодержащие контрастные вещества;
  • если имеются заболевания почек с явлениями почечной недостаточности;
  • при сердечной недостаточности;
  • на фоне заболеваний щитовидной железы;
  • при тяжелом течении бронхиальной астмы;
  • в случае декомпенсированного сахарного диабета.

Что показывает КТ лимфоузлов с контрастом

Свернуть/развернуть
  • гиперплазия, 
  • неоднородность, 
  • пакеты, конгломераты лимфоузлов, 
  • изменения контуров, 
  • инфильтрация окружающих тканей, 
  • жировая ткань ворот узла,
  • сдавление прилежащих органов, сосудов.
  • уплотнение клетчатки, наличие жидкости.
  • новообразование

Запишитесь на КТ лимфатических узлов с контрастом по удобному адресу

Записаться
Фильтр по услугам КТ с контрастом

Введение контраста

С контрастом Без контраста

Станция метро

Площадь Восстания Проспект Просвещения Нарвская Рыбацкое Девяткино Гражданский проспект Академическая Политехническая Площадь Мужества Лесная Выборгская Площадь Ленина Чернышевская Владимирская Пушкинская Технологический институт Балтийская Кировский завод Автово Ленинский проспект Проспект Ветеранов Парнас Озерки Удельная Пионерская Чёрная речка Петроградская Горьковская Невский проспект Сенная площадь Фрунзенская Московские ворота Электросила Парк Победы Московская Звёздная Купчино Беговая Зенит Приморская Василеостровская Гостиный двор Маяковская Площадь Александра Невского Елизаровская Ломоносовская Пролетарская Обухово Спасская Достоевская Лиговский проспект Площадь Александра Невского Новочеркасская Ладожская Проспект Большевиков Улица Дыбенко Комендантский проспект Старая Деревня Крестовский остров Чкаловская Спортивная Адмиралтейская Садовая Звенигородская Обводный канал Волковская Бухарестская Международная Проспект Славы Дунайская Шушары Богатырская Каменка Театральная Горный институт Путиловская Юго-Западная Кудрово Шуваловский проспект Каретная Боровая Заставская Броневая

Возраст пациента

Взрослому Ребенку от 15 лет

Пол пациента

Мужчине Женщине

Программы страхования

ДМС Платно ОМС

Цены

Услуги, соответствующие запросу, не найдены.

КТ головного мозга с контрастом
руб
От 6 400 руб
КТ околоносовых пазух с контрастом
руб
От 6 400 руб
КТ орбит с контрастом
руб
От 6 400 руб
КТ носоглотки с контрастом
руб
От 6 400 руб
КТ щитовидной железы с контрастом
руб
От 6 400 руб
КТ лимфатических узлов с контрастом
руб
От 6 400 руб
КТ гортани с контрастом
руб
От 6 400 руб
КТ шеи с контрастом
руб
От 6 600 руб
КТ легких с контрастом
руб
От 6 400 руб
КТ почек с контрастом
руб
От 6 400 руб
КТ печени с контрастом
руб
От 6 400 руб
КТ селезенки с контрастом
руб
От 6 400 руб
КТ поджелудочной железы с контрастом
руб
От 6 400 руб
КТ надпочечников с контрастом
руб
От 6 400 руб
КТ мочевого пузыря с контрастом
руб
От 6 400 руб
КТ одной анатомической зоны с контрастом
руб
От 6 400 руб
КТ брюшной полости и забрюшинного пространства с контрастом
руб
От 6 400 руб
КТ таза с контрастом
руб
От 6 400 руб
КТ верхней конечности с контрастом
руб
От 6 400 руб
КТ нижних конечностей с контрастом
руб
От 7 500 руб
от бифуркации аорты до коленного сустава
руб
От 7 500 руб
от бифуркации аорты до стопы
руб
От 9 500 руб
Контраст 100 мл (до 100 кг)
руб
3 500 руб
Контраст 150 мл (от 100 кг до 120 кг)
руб
4 500 руб

Адреса диагностических центров "Доступная Медицина"

Преимущества наших диагностических центров

Доступные цены

Приемлемые цены
на все услуги

Качественный сервис

Контроль качества
оказываемых услуг

Лучшие специалисты

Высококвалифицированные врачи

Новейшее оборудование

Современные томографы с высочайшим качеством визуализации

Близость к метро

Мы находимся в непосредственной близости от метро и остановок общественного транспорта

Лицензии

Современные томографы с высочайшим качеством визуализации

Назад
Вперед
Ключникова Екатерина Игоревна
Информация проверена главным врачом клиники Domedica24
Ключникова Екатерина Игоревна
Стаж более 8 лет, главный врач, врач-рентгенолог 1 категории
Площадь Стачек, 9">
ул. 1-я Советская, 8">