Назад МРТ головного мозга + МРТ орбит в СПБ

7 600
/
По акции в Рыбацком
6 200
руб
Записаться на прием
7 600 руб
По акции в Рыбацком
6 200 руб
Записаться
  • Введение контраста Нет
  • Длительность выполнения 20 минут
  • Ограничения по весу 120 кг
  • Ограничения по возрасту От 15 лет
  • Срок получения результата В течение дня
Воспроизвести
Описание

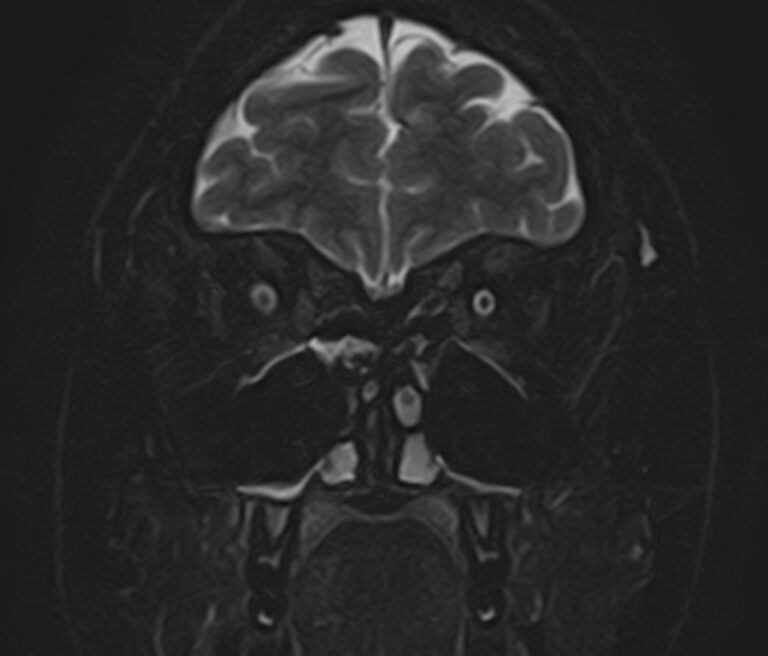
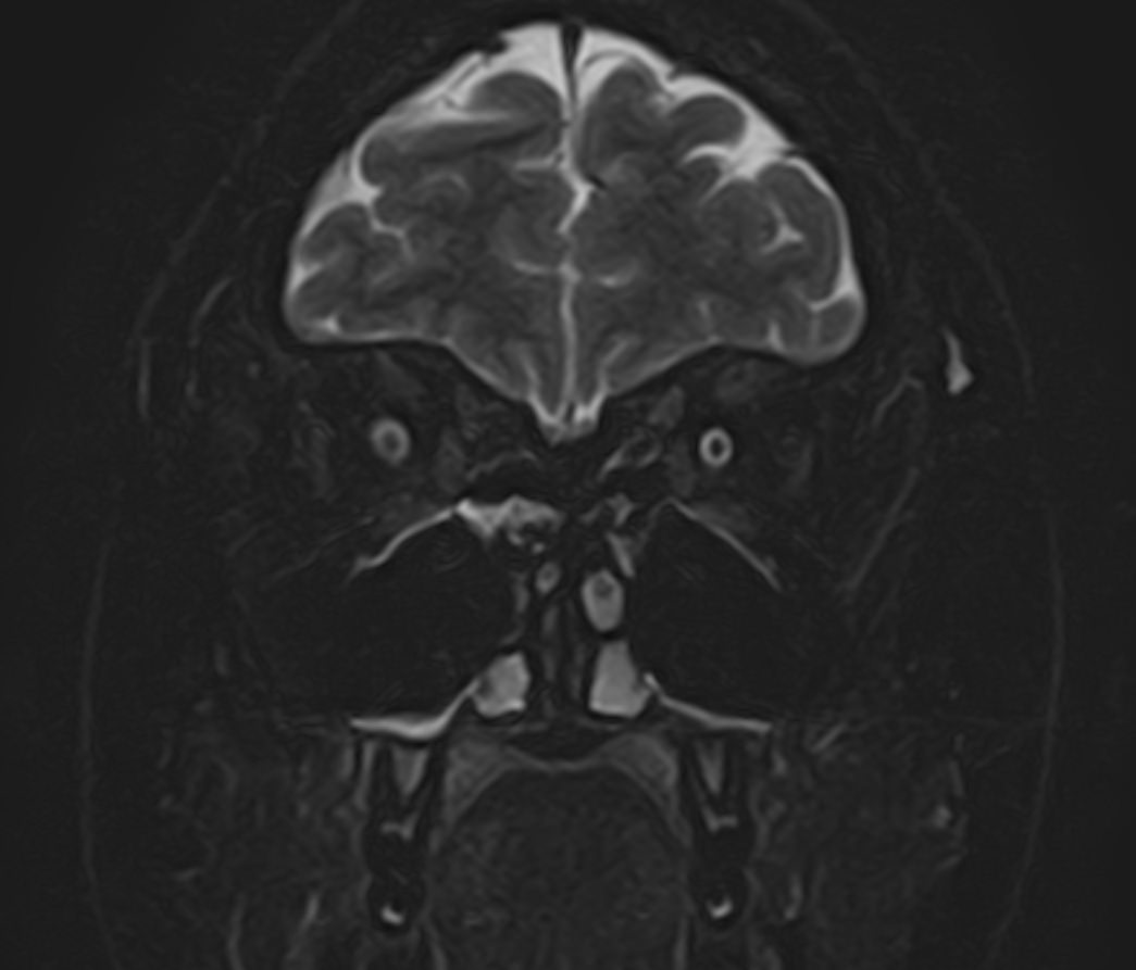
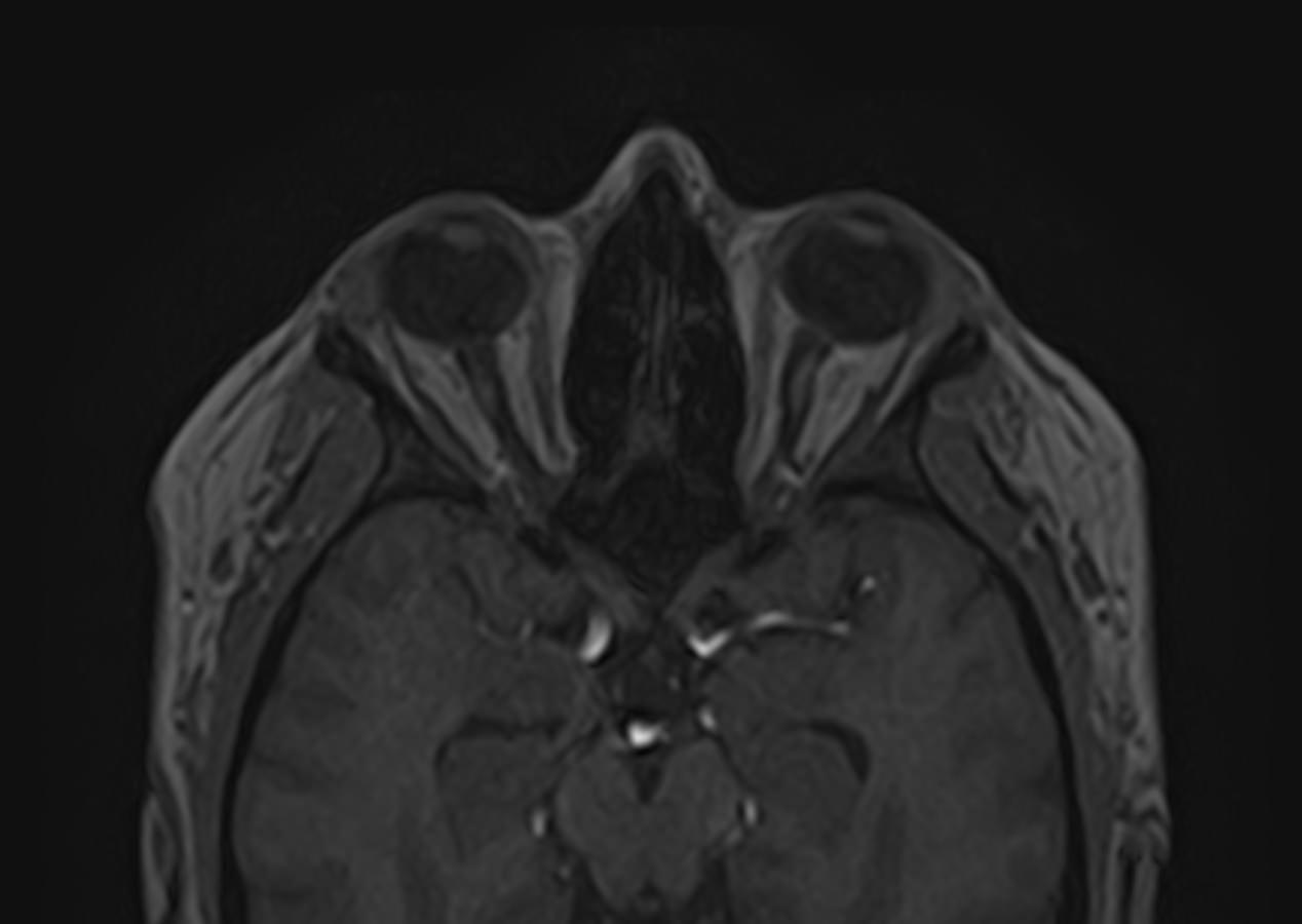
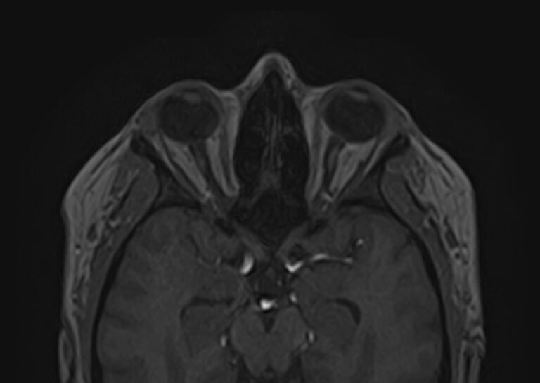
При необходимости визуализации всех отделов головного мозга с прицельным исследованием орбитальной области в клинике «Доступная медицина» проводится комплексное исследование — МРТ головного мозга + МРТ орбит. Это два отдельных исследования, каждое из которых имеет свой протокол сканирования, но при этом они могут проводиться в одно время. 

Исследования выполняются как с контрастным усилением, так и без него. Контрастное вещество на основе гадолиния применяется для получения детального изображения патологических очагов, визуализации сосудистой сети. Контраст вводится внутривенно непосредственно во время сканирования и позволяет осуществлять точную диагностику даже в затруднительных случаях.

Магнитно-резонансная томография является методом выбора для точной диагностики патологических процессов глазных орбит, но в некоторых случаях, например, при подозрении на металлическое инородное тело глаза МРТ противопоказано. В таком случае предпочтительно провести КТ глазных орбит. В клинике «Доступная медицина» также можно провести КТ орбит на современном компьютерном томографе со сниженным уровнем лучевой нагрузки.

Что такое орбиты

Свернуть/развернуть

Глазницы (орбиты) — это углубления в лицевом черепе, в которых расположены глазные яблоки, жировая клетчатка, мышцы глаза со связочным аппаратом, слезные железы, зрительные нервы. Волокна зрительных нервов проходят через анатомические отверстия глазниц в полость черепа, затем после частичного перекреста направляются к подкорковым зрительным анализаторам, а от них нервные окончания идут к зрительным центрам коры головного мозга в затылочной области. 

Зрительный путь достаточно длинный и на всем его протяжении могут возникнуть патологические процессы, которые становятся причиной нарушения зрения. Иногда это связано с патологией другой области головного мозга, например, опухолью гипофиза. Поэтому в ряде случаев необходимо провести одновременное сканирование глазных орбит и головного мозга, чтобы выяснить, на каком отрезке пути произошло поражение, которое привело к снижению зрения.

Когда необходимо проведение МРТ головного мозга + МРТ орбит

Свернуть/развернуть

Провести комплексное обследование головного мозга и орбит необходимо при следующих симптомах:

  • снижение остроты зрения (постепенное или внезапное), особенно одностороннее нарушение зрения, когда видеть перестает один глаз;
  • преходящие нарушения зрения;
  • сужение полей зрения (ухудшение бокового зрения), двоение в глазах, нарушения цветоощущения;
  • головные боли, особенно, если их характер и частота возникновения изменились в последнее время;
  • ощущение инородного тела в глазном яблоке;
  • шум в голове, головокружения, эпизоды потери сознания;
  • онемение и слабость в конечностях;
  • травмы головы.

Что покажет МРТ головного мозга + МРТ орбит

Свернуть/развернуть

При обследовании головного мозга и орбит можно выявить:

  • Опухоли орбит, воспалительные изменения глазного яблока и его придатков.
  • Атрофию зрительного нерва, отслойку сетчатки, инородные тела орбитальной области.
  • Объемные образования головного мозга или гематомы, сдавливающие зрительные пути.
  • Очаги ишемического инсульта, кровоизлияние после геморрагического инсульта в подкорковых структурах, где расположены зрительные анализаторы, либо в затылочных долях, где находится зрительная кора головного мозга.

Подготовка к исследованию

Свернуть/развернуть

При проведении стандартной МРТ головного мозга + МРТ орбит без контрастирования специальная подготовка не нужна. 

Необходимо принести с собой медицинскую документацию, относящуюся к зоне исследования:

  • направление от лечащего врача;
  • выписки из амбулаторных карт и стационаров;
  • результаты предыдущих исследований (МР-снимки, СD/DVD диски, снимки КТ).

Если планируется контрастирование у пациента с подозрением на почечную недостаточность, необходимо в течение 14 дней до исследования сдать биохимический анализ крови для контроля уровня креатинина (показатель, отражающий функцию почек). Результаты необходимо предоставить врачу-рентгенологу.

В случае наличия каких-либо протезов или имплантов, материал которых не препятствует проведению МРТ, необходимо предоставить справку об этом из учреждения, где они были установлены. Врач-рентгенолог примет решение о возможности проведения МРТ, если расположение протеза не будет мешать визуализации исследуемой области, либо предложит другой способ обследования.

Контраст вводится внутривенно и может сопровождаться появлением чувства теплоты во всем теле, неприятного привкуса во рту, иногда тошноты. Эти явления кратковременны и через пару минут исчезают. Введенный контраст удаляется из организма преимущественно почками в течение последующих суток. Поэтому кормящим женщинам нужно приостановить грудное кормление на 24-48 часов после исследования, при этом проводить сцеживание молока.

Исследование проводится в одежде без металлической фурнитуры. Также необходимо снять с себя серьги, пирсинг, другие украшения, часы, из карманов выложить мобильные телефоны, пластиковые карты, любые электронные устройства, гаджеты или предметы, которые могут содержать металл. Женщинам лучше не использовать макияж.

Во время сканирования пациент лежит внутри туннеля томографа, при этом требуется сохранять неподвижность. Аппарат во время работы издает громкий шум, стук. Можно воспользоваться берушами или наушниками для защиты ушей.

Врач и рентгенолаборант находятся в смежном помещении, между которыми имеется стеклянная перегородка. Для вызова персонала служит сигнальное устройство, которое во время исследования находится в руке пациента.

Некоторые пациенты могут испытывать волнение, поэтому разрешается присутствие сопровождающего.

Какие есть противопоказания для МРТ головного мозга + МРТ орбит

Свернуть/развернуть
  • Противопоказанием является наличие ферромагнитных металлических предметов в теле пациента — спицы, винты, штифты, пластины, сосудистые скобы, клипсы, стенты. Однако некоторые медицинские изделия изготавливаются из сплавов, которые позволяют проводить МРТ, также имеет значение, на каком расстоянии они расположены от исследуемой области. В каждом конкретном случае врачом принимается решение о возможности проведения МРТ.
  • Препятствием для проведения МРТ также являются любые инородные металлические тела, находящиеся в теле (осколки, пули, кусочки металлической стружки, неснимаемый пирсинг).
  • Наличие имплантированных электронных устройств, которые могут выйти из строя под влиянием магнитного поля томографа (кардиостимуляторы, кохлеарные импланты, инсулиновые помпы и др).
  • Стандартную МРТ без контрастирования не рекомендуется проводить беременным женщинам в первом триместре из-за риска воздействия на формирующийся плод. МРТ с контрастированием противопоказано при беременности на любом сроке.
  • Аллергические реакции на контрастное вещество (если планируется контрастное усиление).
  • Хроническая почечная недостаточность (противопоказание для введения контраста).
  • Тучные пациенты с массой тела более 120 кг (ограничение по массе тела связано с конструктивными особенностями томографа).

Запишитесь на МРТ головного мозга + МРТ орбит по удобному адресу

Записаться
Фильтр по услугам МРТ головы

Введение контраста

С контрастом Без контраста

Станция метро

Площадь Восстания Нарвская Проспект Просвещения Рыбацкое Девяткино Гражданский проспект Академическая Политехническая Площадь Мужества Лесная Выборгская Площадь Ленина Чернышевская Владимирская Пушкинская Технологический институт Балтийская Кировский завод Автово Ленинский проспект Проспект Ветеранов Парнас Озерки Удельная Пионерская Чёрная речка Петроградская Горьковская Невский проспект Сенная площадь Фрунзенская Московские ворота Электросила Парк Победы Московская Звёздная Купчино Беговая Зенит Приморская Василеостровская Гостиный двор Маяковская Площадь Александра Невского Елизаровская Ломоносовская Пролетарская Обухово Спасская Достоевская Лиговский проспект Площадь Александра Невского Новочеркасская Ладожская Проспект Большевиков Улица Дыбенко Комендантский проспект Старая Деревня Крестовский остров Чкаловская Спортивная Адмиралтейская Садовая Звенигородская Обводный канал Волковская Бухарестская Международная Проспект Славы Дунайская Шушары Богатырская Каменка Театральная Горный институт Путиловская Юго-Западная Кудрово Шуваловский проспект Каретная Боровая Заставская Броневая

Возраст пациента

Взрослому Ребенку от 15 лет

Пол пациента

Мужчине Женщине

Тип аппарата

Открытый Закрытый

Мощность МРТ

1.5 Тл 3 Тесла

Программы страхования

ДМС Платно ОМС

Цены

Услуги, соответствующие запросу, не найдены.

МРТ головного мозга
руб
4 600 / 3 200 руб
Подробнее
МР-ангиография головного мозга
руб
4 600 / 3 200 руб
Подробнее
МР-венография головного мозга
руб
4 600 / 3 200 руб
Подробнее
МРТ черепно-мозговых нервов
руб
4 600 / 3 200 руб
Подробнее
МРТ головного мозга и МР-ангиография головного мозга
руб
7 600 / 6 200 руб
Подробнее
МРТ головного мозга и МР-венография головного мозга
руб
7 600 / 6 200 руб
Подробнее
МРТ гипофиза
руб
От 7 600 / 6 200 руб
Подробнее
МРТ орбит
руб
4 600 / 3 200 руб
Подробнее
МРТ придаточных пазух носа
руб
4 600 / 3 200 руб
Подробнее
МРТ внутреннего уха
руб
5 400 / 4 000 руб
Подробнее
МРТ головного мозга и гипофиза
руб
От 11 300 / 9 200 руб
Подробнее
МРТ головного мозга+мосто-мозжечкового угла
руб
7 600 / 6 600 руб
Подробнее
МРТ головного мозга + МРТ орбит
руб
7 600 / 6 200 руб
Подробнее
МРТ головного мозга + черепно-мозговые нервы
руб
7 600 / 6 600 руб
Подробнее

Адреса диагностических центров "Доступная Медицина"

Преимущества наших диагностических центров

Доступные цены

Приемлемые цены
на все услуги

Качественный сервис

Контроль качества
оказываемых услуг

Лучшие специалисты

Высококвалифицированные врачи

Новейшее оборудование

Современные томографы с высочайшим качеством визуализации

Близость к метро

Мы находимся в непосредственной близости от метро и остановок общественного транспорта

Лицензии

Современные томографы с высочайшим качеством визуализации

Назад
Вперед
Ключникова Екатерина Игоревна
Информация проверена главным врачом клиники Domedica24
Ключникова Екатерина Игоревна
Стаж более 8 лет, главный врач, врач-рентгенолог 1 категории
Площадь Стачек, 9">
ул. 1-я Советская, 8">