Назад КТ грудного отдела аорты и ее ветвей в СПБ

Цена:
9 500 руб
Записаться
  • Введение контраста Да
  • Длительность выполнения 20 минут
  • Ограничения по весу 120 кг
  • Ограничения по возрасту От 15 лет
  • Срок получения результата В течение 24 часов
Описание

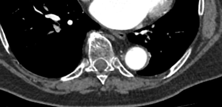
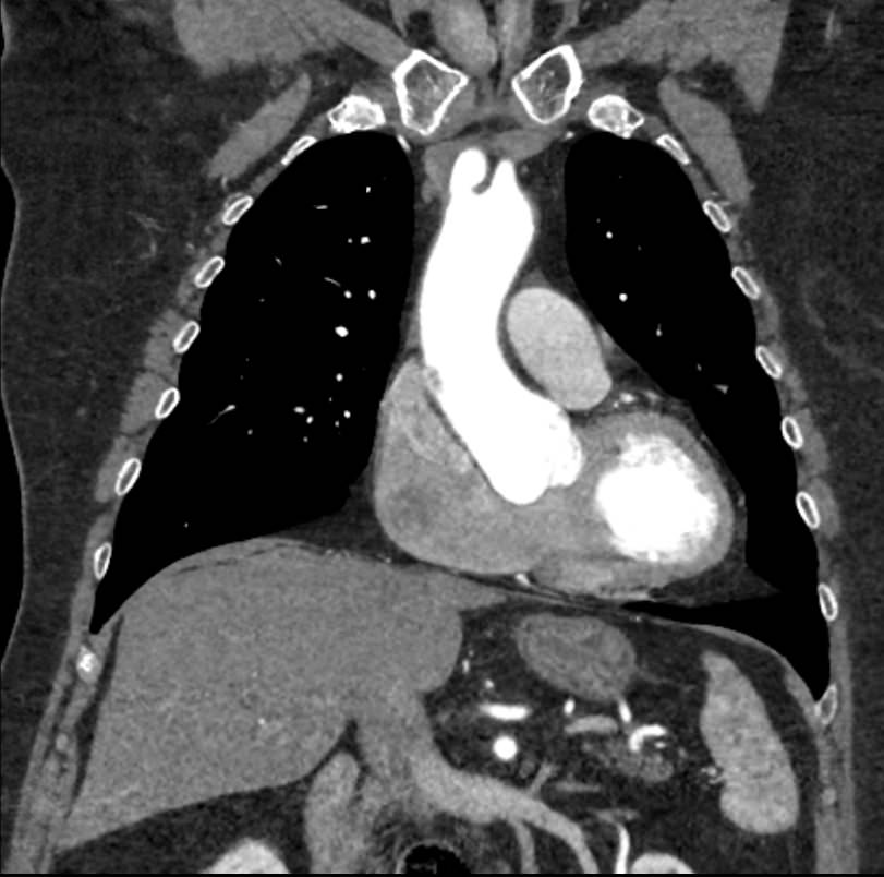
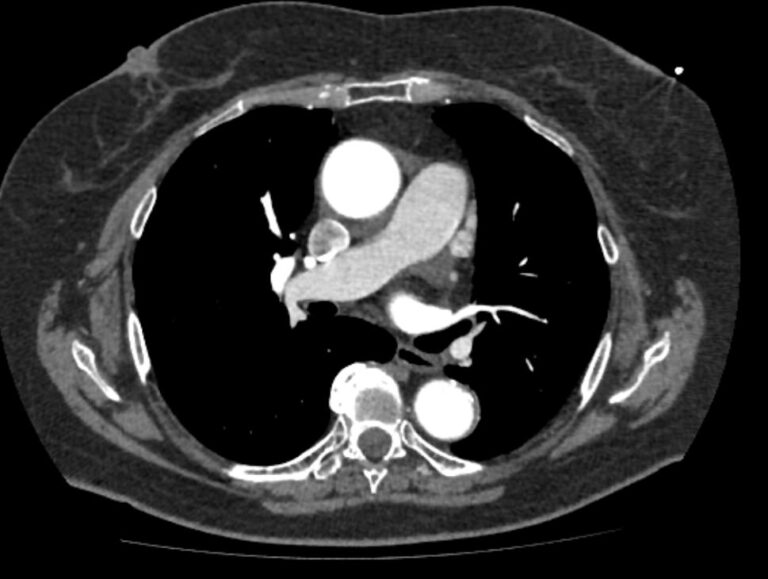
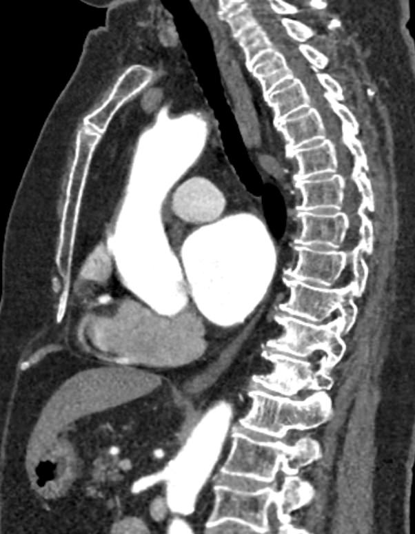
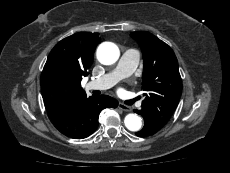
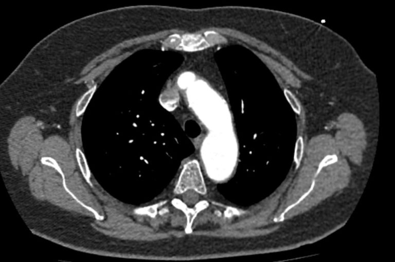
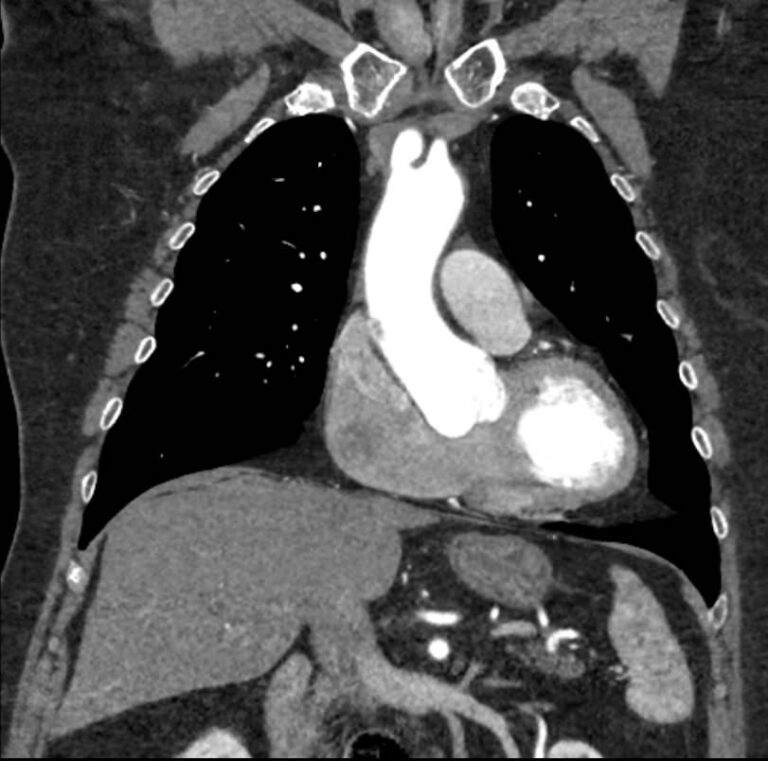
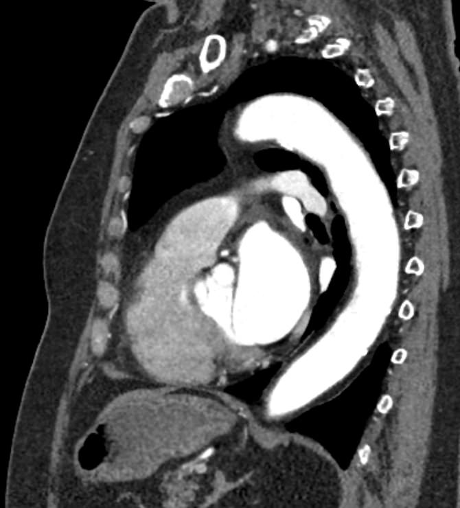
Грудная аорта делится на несколько отделов – восходящий отдел аорты, дуга аорты и нисходящий отдел. Корень аорты отходит непосредственно от левого желудочка, в его состав входят синусы Вальсальвы от которых берут начало коронарные артерии. После корня, прослеживается тубулярная часть восходящего отдела аорты, которая переходит в дугу аорты. 

Дуга аорты дает начало брахиоцефальным артериям, которые питают головной мозг и верхние конечности. Затем следует нисходящий отдел аорты, распространяющийся через отверстие в диафрагме. От грудного отдела аорты отходят висцеральные артерии, кровоснабжающие органы средостения: бронхиальные, пищеводные, перикардиальные, медиастинальные артерии. 

Патология грудной аорты и ее ветвей связана как с аневризматическими расширениями, так и с сужением просвета сосудов на фоне атеросклероза. Врожденные аномалии развития могли быть не замечены в детские годы, но стали давать о себе знать уже в зрелом возрасте. 

Стеноз развивается за счет атеросклеротических отложений в стенке артерий и формирования атеросклеротической бляшки, перекрывающей просвет сосуда. Нарушение тока крови в сосудах также может возникнуть при образовании пристеночных тромбов в просвете сосуда, при сдавлении кровеносного сосуда извне близлежащими опухолевыми образованиями. 

Кроме этого, встречаются врожденные сосудистые аномалии, патологические соустья между артериями и венами (артериовенозные мальформации). Сужение просвета сосудов в зависимости от локализации патологического процесса ведет к нарушению кровообращения в головном мозге, в верхних конечностях или органах средостения.

При истончении стенки аорты или ее ветвей формируется аневризматическое расширение участка сосуда, которое долгое время может никак себя не проявлять. Симптомы часто появляются при развитии осложнений – расслоения аневризмы (при разрыве внутренней оболочки сосуда и возникновения внутристеночной гематомы), разрыве аневризмы. Эти угрожающие жизни состояния можно избежать при своевременном выявлении аневризмы и проведения хирургического лечения.

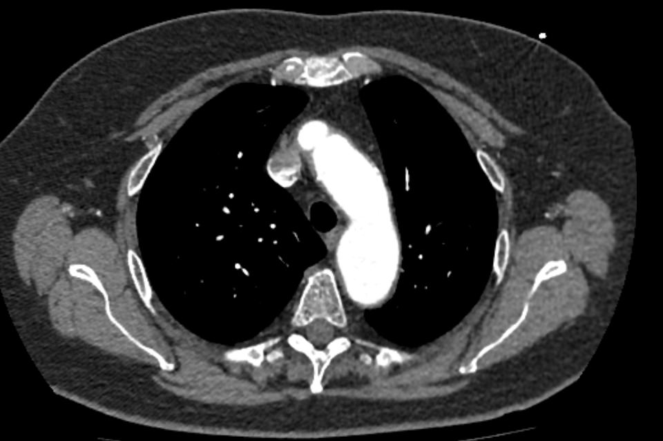
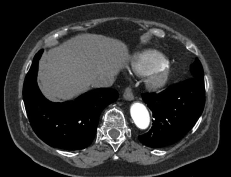
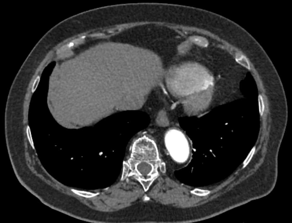
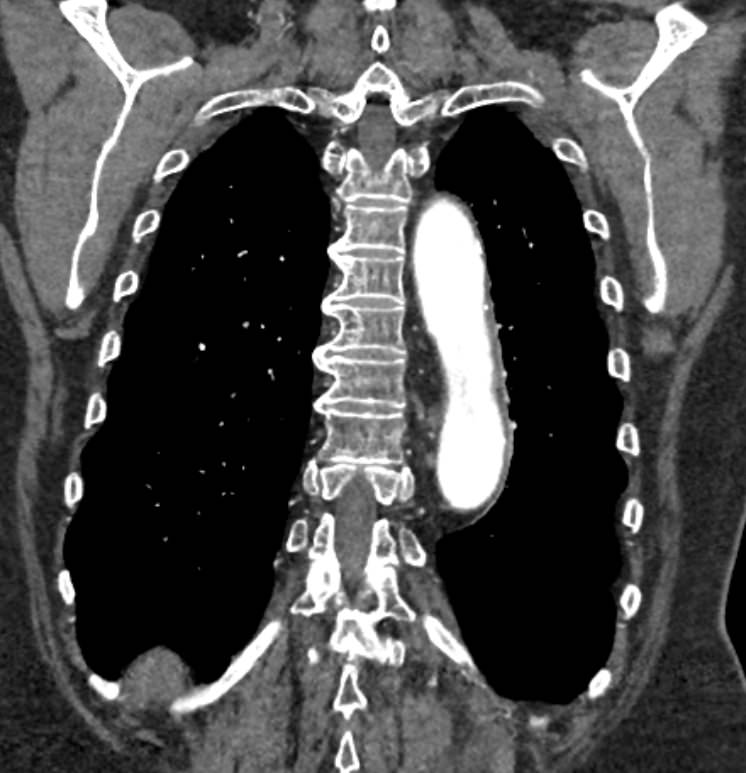
Одним из информативных методов диагностики сосудистой патологии является мультиспиральная компьютерная томография грудной аорты и ее ветвей (КТ-ангиография). Метод сканирования при помощи рентгеновских лучей и цифровой обработки данных позволяет получать послойные снимки сосудов и трехмерные реконструкции сосудистой системы в мельчайших подробностях. 

Для того, чтобы качественно визуализировать сосудистую систему КТ-ангиография предусматривает в обязательном порядке применение контрастного усиления. Йодсодержащее контрастное вещество вводится пациенту внутривенно и, благодаря способности контраста поглощать рентгеновские лучи, ярко контрастирует сосудистую систему на фоне окружающих тканей. 

КТ-ангиография позволяет диагностировать аневризмы аорты, сосудистые аномалии развития, воспалительные изменения стенок сосудов, пристеночные тромбы, сужения просвета сосудов за счет сдавления извне близлежащими опухолевыми образованиями. 

В медицинских центрах «Доступная медицина» КТ сканирование грудной аорты и ее ветвей проводится на новейших мультиспиральных компьютерных томографах экспертного уровня TOSHIBA AQUILION. Современные технологии мультисрезового сканирования обеспечивают высокое качество изображений при уменьшенной дозе облучения для пациента. Это делает КТ-ангиографию высокоинформативным быстрым методом диагностики сосудистой патологии. Процедура не требует вмешательства в организм пациента и может проводится для скринингового обследования с целью раннего выявления патологии грудного отдела аорты.

Показания к КТ грудного отдела аорты и ее ветвей

Свернуть/развернуть
  • аневризма аорты и ее ветвей.
  • атеросклероз, стеноз аорты и ее ветвей
  • расслоение стенки аорты
  • различные пороки сердца
  • сосудистые аномалии (правостороннее расположение дуги аорты)
  • уменьшение просвета самой аорты (коарктация).
  • симптомы, ассоциированные с признаками нарушения кровообращения в соответствующем отделе аорты;
  • тромбоз аорты и ее ветвей.
  • предоперационное и послеоперационное исследование.
  • динамическое наблюдение, в том числе и после выполненного хирургического вмешательства: протезирования, шунтирования, стентирования и пр.;
  • травма;
  • подозрение на системное заболевание сосудов (болезнь Токаясу)

Подготовка к КТ грудного отдела аорты и ее ветвей

Свернуть/развернуть

Из-за того, что исследование всегда проводится с контрастированием, на подготовительном этапе необходимо сдать биохимический анализ крови для оценки уровня креатинина (контрастное вещество выводится преимущественно почками, поэтому важно исключить у пациента почечную недостаточность). Анализ крови необходимо сдать в течение 2-х недель до даты исследования.

Для более точной диагностики необходимо предоставить результаты ранее выполненных исследований и все документы, относящиеся к зоне сканирования:

  • Направление лечащего врача;
  • Выписка из истории болезни или амбулаторной карты;
  • Рентгеновские снимки, CD/DVD диски предыдущих КТ-исследований сердца, грудного отдела аорты, результаты ЭХОКГ;
  • Заключения профильных специалистов.

Пациентам, которые принимают по поводу сахарного диабета такие сахароснижающие препараты, как Метформин (Глюкофаж) или другие метформинсодержащие препараты, необходимо отменить прием данных лекарств за 48 часов до исследования с контрастированием и на 48 часов после введения контраста (временную отмену данных препаратов необходимо согласовать с эндокринологом).

Для введения контраста пациенту предварительно в периферическую вену (обычно в локтевую) устанавливается венозный катетер. Контрастное вещество вводится при помощи специального дозирующего устройства (инжектора), которое подключается к венозному катетеру. В первые минуты после введения контраста может появиться неприятный привкус во рту, ощущение прилива, жара во всем теле, но этот дискомфорт быстро исчезает. Контрастное вещество выводится из организма преимущественно почками в течение последующих суток.

Если контрастное усиление проводится кормящей женщине, то пациентке необходимо на 24-48 часов после процедуры с введением контраста не прикладывать ребенка к груди, при этом молоко сцеживать и выливать. Предварительно мы рекомендуем сделать запас грудного молока.

Для выполнения сканирования пациент ложится спиной на выдвижной стол томографа. По сравнению с магнитно-резонансными томографами отверстие компьютерного томографа широкое, вокруг пространство полностью открытое и свободное. 

В течение всего времени проведения процедуры медицинский персонал находится в соседнем помещении. Врач наблюдает за пациентом через смотровое окно. В определенный момент пациента просят задержать дыхание, так как при дыхательных движениях могут получиться некачественные изображения. Разговаривать с врачом можно с помощью переговорного устройства, которое вмонтировано в томограф.

В каких случаях КТ противопоказана

Свернуть/развернуть

Компьютерная томография во время беременности не проводится. Во время исследования применяется рентгеновское излучение, которое может вызвать возникновение пороков развития у плода.

Кроме того, в нашей клинике нельзя провести сканирование пациентам с массой тела, превышающей 120 кг, из-за ограничения по весу подвижного стола томографа.

Противопоказано введение контрастного препарата в следующих случаях:

  • если в анамнезе имеются указания на аллергическую реакцию на йодсодержащий контрастный препарат; 
  • пациентам с заболеваниями почек, которые сопровождаются резким снижением функции почек;
  • при сердечной недостаточности;
  • при заболеваниях щитовидной железы с явлениями гипертиреоза и тиреотоксикоза;
  • в случае тяжелого течения бронхиальной астмы;
  • при декомпенсированном сахарном диабете.

 Что показывает КТ грудного отдела аорты и ее ветвей

Свернуть/развернуть
  • аневризма аорты; супрастенотическое расширение аорты
  • стеноз (сужение) или тромбоз (закрытие) просвета сосудов;
  • атеросклеротические изменения сосудов;
  • пристеночный тромбоз верхнего отдела аорты;
  • васкулиты, вовлекающие в воспалительный процесс аорту и ее основные ветви;
  • расслоение сосудистой стенки;
  • травма, в том числе, ятрогенные повреждения при выполнении медицинских манипуляций;
  • пороки сердца;
  • врожденные сосудистые аномалии;
  • артериовенозные мальформации (аномальные связи между сосудами);
  • нарушение архитектоники сосудов на фоне сдавления опухолью.

Запишитесь на КТ грудного отдела аорты и ее ветвей по удобному адресу

Записаться
Фильтр по услугам КТ сосудов

Введение контраста

С контрастом Без контраста

Станция метро

Площадь Восстания Проспект Просвещения Нарвская Рыбацкое Девяткино Гражданский проспект Академическая Политехническая Площадь Мужества Лесная Выборгская Площадь Ленина Чернышевская Владимирская Пушкинская Технологический институт Балтийская Кировский завод Автово Ленинский проспект Проспект Ветеранов Парнас Озерки Удельная Пионерская Чёрная речка Петроградская Горьковская Невский проспект Сенная площадь Фрунзенская Московские ворота Электросила Парк Победы Московская Звёздная Купчино Беговая Зенит Приморская Василеостровская Гостиный двор Маяковская Площадь Александра Невского Елизаровская Ломоносовская Пролетарская Обухово Спасская Достоевская Лиговский проспект Площадь Александра Невского Новочеркасская Ладожская Проспект Большевиков Улица Дыбенко Комендантский проспект Старая Деревня Крестовский остров Чкаловская Спортивная Адмиралтейская Садовая Звенигородская Обводный канал Волковская Бухарестская Международная Проспект Славы Дунайская Шушары Богатырская Каменка Театральная Горный институт Путиловская Юго-Западная Кудрово Шуваловский проспект Каретная Боровая Заставская Броневая

Возраст пациента

Взрослому Ребенку от 15 лет

Пол пациента

Мужчине Женщине

Программы страхования

ДМС Платно ОМС

Цены

Услуги, соответствующие запросу, не найдены.

КТ сосудов головного мозга
руб
6 400 руб
КТ сосудов шеи
руб
6 400 руб
КТ сосудов шеи и головного мозга (брахиоцефальных артерий)
руб
9 100 руб
КТ грудного отдела аорты и ее ветвей
руб
9 500 руб
КТ коронарных артерий (коронарография)
руб
9 500 руб
КТ легочной артерии и ее ветвей
руб
10 600 руб
КТ брюшного отдела аорты и ее ветвей
руб
9 500 руб
КТ нижней полой вены
руб
8 600 руб
КТ чревного ствола с функциональными пробами на вдохе и выдохе
руб
7 600 руб
КТ воротной вены
руб
6 400 руб
КТ сосудов почек
руб
10 600 руб
КТ сосудов малого таза
руб
6 400 руб
КТ брюшного отдела аорты и сосудов (артерий) нижних конечностей
руб
13 500 руб
КТ сосудов верхних конечностей (1 рука)
руб
6 400 руб
КТ сосудов (артерий) нижних конечностей (2 ноги)
руб
От 7 500 руб
от бифуркации аорты до коленного сустава
руб
7 500 руб
от бифуркации аорты до стопы
руб
9 500 руб

Адреса диагностических центров "Доступная Медицина"

Преимущества наших диагностических центров

Доступные цены

Приемлемые цены
на все услуги

Качественный сервис

Контроль качества
оказываемых услуг

Лучшие специалисты

Высококвалифицированные врачи

Новейшее оборудование

Современные томографы с высочайшим качеством визуализации

Близость к метро

Мы находимся в непосредственной близости от метро и остановок общественного транспорта

Лицензии

Современные томографы с высочайшим качеством визуализации

Назад
Вперед
Ключникова Екатерина Игоревна
Информация проверена главным врачом клиники Domedica24
Ключникова Екатерина Игоревна
Стаж более 8 лет, главный врач, врач-рентгенолог 1 категории
Площадь Стачек, 9">
ул. 1-я Советская, 8">