КТ сердца (с ЭКГ-синхронизацией и учетом контрастного вещества) в СПБ
- Срок получения результата В течение 24 часов
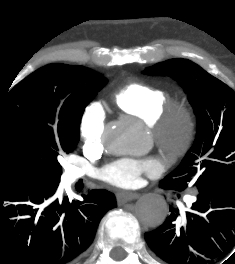
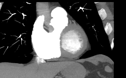
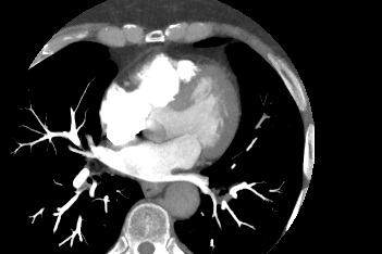
Компьютерная томография сердца является высокотехнологичным лучевым методом исследования, который позволяет оценить строение и особенности анатомии камер сердца, визуализировать состояние перикарда, коронарных артерий и восходящей части и дуги аорты.
Преимуществами методики является ее быстрота, безопасность, отсутствие боли и дискомфорта для пациента, а также неинвазивность (то есть исследование проводится без вмешательства в организм человека).
Так как сердце находится в постоянном движении, его диагностика затруднена, поэтому не все томографы могут обеспечить качественные снимки, и на изображениях могут появляться артефакты.
В нашей клинике КТ сердца проводится на новейшем 128-срезовом мультиспиральном компьютерном томографе экспертного уровня TOSHIBA AQUILION CXL. Томограф послойно сканирует анатомическую область сердца, производя срезы толщиной от 0,5 мм. Методика сканирования сердца 128-срезовым КТ сканером производится с использованием перспективной синхронизации по электрокардиографии (ЭКГ).
Спиральное сканирование с ЭКГ-синхронизацией обеспечивает быстрый и непрерывный сбор данных изображений во время каждого удара сердца без каких-либо задержек. Это дает возможность сократить время сканирования, тем самым снизить лучевую нагрузку на пациента, при этом сохранить максимально возможное качество изображений.
Протокол сканирования предусматривает внутривенное болюсное контрастирование. Контрастное вещество на основе йода вводится пациенту внутривенно непосредственно во время исследования. Контраст равномерно распределяется по сосудистой системе, благодаря чему становится хорошо видна восходящая часть аорты с отходящими от нее венечными артериями и дуга аорты. По результатам обследования можно решить, нуждается пациент в проведении стентирования коронарных артерий или нет.
- Показания для КТ сердца
- Что можно диагностировать с помощью КТ сердца
- Подготовка к КТ сердца
- В каких случаях противопоказана КТ сердца
Показания для КТ сердца
КТ сердца проводится в следующих случаях:
- боли в грудной клетке неясного происхождения;
- боли за грудиной сжимающего, давящего характера при физических нагрузках (стенокардия);
- клинические проявления стенокардии при неоднозначных результатах ЭКГ, ЭХОКГ, велоэргометрии и других функциональных проб;
- подозрение на патологию перикарда;
- при подозрении на инфаркт миокарда, расслаивающую аневризму аорты;
- в рамках обследования сердечно-сосудистой системы перед операцией коронарного шунтирования, стентирования коронарных артерий, замены клапанов сердца, трансплантации сердца;
- уточнение проходимости коронарных артерий в случае, если невозможно катетеризировать или контрастировать артерию при коронарографии;
- при подозрении на врожденные пороки сердца, коронарных артерий, аневризму аорты.
Что можно диагностировать с помощью КТ сердца
Сканирование на мультиспиральном компьютерном томографе с ЭКГ-синхронизацией и контрастированием позволяет выявить:
- врожденные и приобретенные пороки сердца;
- дефекты межпредсердной и межжелудочковой перегородок сердца;
- дополнительные хорды клапанов сердца;
- перикардиты;
- доброкачественные опухоли сердца и перикарда (миксомы, рабдомиомы, фибромы, гемангиомы, липомы, кисты перикарда);
- злокачественные опухоли сердца первичные (саркомы, лимфомы, липосаркомы и др) и метастазы различных опухолей в сердце;
- атеросклеротические бляшки в коронарных артериях, стенозы (сужение) или окклюзии (полная закупорка просвета), патологическая извитость, аномалии развития коронарных артерий и аорты.
Подготовка к КТ сердца
Так как сердце – это постоянно движущийся орган, то для получения качественных результатов сканирования нужно, чтобы у пациента не было учащенного пульса.
Поэтому мы рекомендуем перед исследованием не употреблять напитки, содержащие кофеин (чай, кофе, кока-кола). Также непосредственно перед процедурой необходимо воздержаться от курения. С целью уменьшения частоты сердцебиений за 30 минут до исследования пациенту дается сердечный препарат из группы бета-блокаторов, который урежает пульс.
Для более точной диагностики необходимо предоставить результаты ранее выполненных исследований и все документы, относящиеся к зоне сканирования:
- Направление лечащего врача;
- Выписка из истории болезни или амбулаторной карты;
- Рентгеновские снимки, CD/DVD диски предыдущих КТ-исследований сердца, результаты ЭХОКГ;
- Заключения профильных специалистов.
Так как КТ сердца проводится с внутривенным болюсным контрастированием, то перед исследованием необходимо сдать биохимический анализ крови для оценки уровня креатинина (контрастное вещество выводится преимущественно почками, поэтому важно исключить у пациента почечную недостаточность). Анализ крови действителен не более 14 дней до даты исследования.
Пациентам, которые принимают по поводу сахарного диабета такие сахароснижающие препараты, как Метформин или Глюкофаж, необходимо отменить прием данных препаратов за 48 часов до исследования с контрастированием и на 48 часов после введения контраста (временную отмену данных препаратов необходимо согласовать с эндокринологом).
Для введения контраста пациенту предварительно в периферическую вену (обычно в локтевую) устанавливается венозный катетер. Контрастное вещество вводится при помощи специального дозирующего устройства (инжектора). В первые минуты после введения контраста может появиться неприятный привкус во рту, ощущение прилива, жара во всем теле, но этот дискомфорт быстро исчезает. Контрастное вещество выводится из организма преимущественно почками в течение последующих суток.
Если контрастное усиление проводится кормящей женщине, то пациентке необходимо на 24-48 часов после процедуры с введением контраста не прикладывать ребенка к груди, при этом молоко сцеживать и выливать. Предварительно мы рекомендуем сделать запас грудного молока.
Для выполнения сканирования пациент ложится спиной на выдвижной стол томографа. По сравнению с магнитно-резонансными томографами отверстие компьютерного томографа широкое, вокруг пространство полностью открытое и свободное.
В течение всего времени проведения процедуры медицинский персонал находится в соседнем помещении. Врач наблюдает за пациентом через смотровое окно. В определенный момент пациента просят задержать дыхание, так как при дыхательных движениях могут получиться некачественные изображения. Разговаривать с врачом можно с помощью переговорного устройства, которое вмонтировано в томограф.
В каких случаях противопоказана КТ сердца
Компьютерная томография является лучевым методом исследования. Во время исследования применяется рентгеновское излучение, которое может вызвать возникновение пороков развития у плода и даже его гибель. Поэтому во время беременности данное исследование не проводится.
Кроме того, в нашей клинике нельзя провести сканирование пациентам с массой тела, превышающей 120 кг, из-за ограничения по весу подвижного стола томографа.
При необходимости проведения КТ сердца с внутривенным болюсным контрастированием могут быть противопоказания для введения контрастного препарата.
Контрастирование не проводится в следующих случаях:
- если в анамнезе имеются указания на аллергическую реакцию на йодсодержащий контрастный препарат;
- пациентам с заболеваниями почек, которые сопровождаются снижением функции почек;
- при сердечной недостаточности;
- при заболеваниях щитовидной железы;
- в случае тяжелого течения бронхиальной астмы;
- при декомпенсированном сахарном диабете.
Запишитесь на КТ сердца по удобному адресу
ЗаписатьсяСтанция метро
Площадь Восстания Проспект Просвещения Нарвская Рыбацкое Девяткино Гражданский проспект Академическая Политехническая Площадь Мужества Лесная Выборгская Площадь Ленина Чернышевская Владимирская Пушкинская Технологический институт Балтийская Кировский завод Автово Ленинский проспект Проспект Ветеранов Парнас Озерки Удельная Пионерская Чёрная речка Петроградская Горьковская Невский проспект Сенная площадь Фрунзенская Московские ворота Электросила Парк Победы Московская Звёздная Купчино Беговая Зенит Приморская Василеостровская Гостиный двор Маяковская Площадь Александра Невского Елизаровская Ломоносовская Пролетарская Обухово Спасская Достоевская Лиговский проспект Площадь Александра Невского Новочеркасская Ладожская Проспект Большевиков Улица Дыбенко Комендантский проспект Старая Деревня Крестовский остров Чкаловская Спортивная Адмиралтейская Садовая Звенигородская Обводный канал Волковская Бухарестская Международная Проспект Славы Дунайская Шушары Богатырская Каменка Театральная Горный институт Путиловская Юго-Западная Кудрово Шуваловский проспект Каретная Боровая Заставская БроневаяРайон
Центральный Выборгский Кировский Адмиралтейски Василеостровский Калининский Колпинский Красногвардейский Красносельски Кронштадтский Курортный Московский Невский Петроградский Петродворцовый Приморский Пушкинский ФрунзенскийГород
Санкт-Петербург Бокситогорск Бугры Волосово Волхов Всеволожск Выборг Высоцк Гатчина Ивангород Каменногорск Кингисепп Кириши Кировск Колтуши Коммунар Кудрово Лодейное Поле Луга Любань Мурино Никольское Новая Ладога Отрадное Пикалёво Подпорожье Приморск Приозерск Светогорск Сертолово Сланцы Сосновый Бор Сясьстрой Тельмана Тихвин Тосно ШлиссельбургЦены
Услуги, соответствующие запросу, не найдены.
Адреса диагностических центров "Доступная Медицина"
Преимущества наших диагностических центров
Доступные цены
Приемлемые цены
на все услуги
Качественный сервис
Контроль качества
оказываемых услуг
Лучшие специалисты
Высококвалифицированные врачи
Новейшее оборудование
Современные томографы с высочайшим качеством визуализации
Близость к метро
Мы находимся в непосредственной близости от метро и остановок общественного транспорта
Наше оборудование
КТ-СПЕЦИАЛИСТЫ
Лицензии
Современные томографы с высочайшим качеством визуализации
Статьи наших врачей