КТ лимфатических узлов брюшной полости и забрюшинного пространства в СПБ
- Введение контраста Нет
- Длительность выполнения 10 минут
- Ограничения по весу 120 кг
- Ограничения по возрасту От 15 лет
- Срок получения результата В течение дня
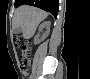
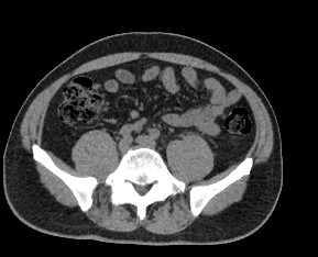
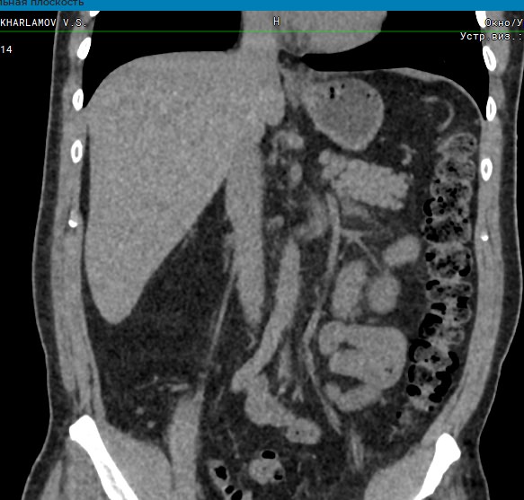
В брюшной полости и забрюшинном пространстве расположены группы лимфатических узлов, которые окружают внутренние органы (желудочные, печеночные, брыжеечные, чревные, подвздошные и др) и располагаются вдоль крупных кровеносных сосудов. Лимфоузлы относятся к периферическим органам иммунной системы человека и выполняют защитную функцию, являясь барьером для проникновения инфекций и задерживают распространение раковых клеток.
Патологические изменения регионарных лимфоузлов часто свидетельствуют о поражении того органа, от которого происходит лимфоотток. Это имеет важное значение для оценки распространенности онкологического процесса, выявления отдаленного метастатического поражения лимфатической системы, а также используется для определения тактики лечения. Кроме того, патология лимфатических узлов может говорить о развитии гемобластозов и лимфопролиферативных заболеваний крови.
Компьютерная томография позволяет детально визуализировать структуру лимфатических узлов, выявить ее неоднородность, гиперплазию, определить деформацию контуров, появление инфильтрации окружающих тканей с образованием пакетов и конгломератов лимфоузлов.
В нашей клинике обследование лимфоузлов брюшной полости и забрюшинного пространства выполняется на современном мультиспиральном томографе экспертного класса TOSHIBA AQUILION CX, который при помощи рентгеновских лучей производит послойное сканирование исследуемой области. Аппарат оснащен 128 высокочувствительными детекторами, расположенными по спирали, что позволяет за короткое время выполнять сканирование нескольких областей тела. Это значительно сокращает время исследования и снижает уровень лучевой нагрузки на пациента.
Полученные данные посредством инновационных цифровых приложений преобразуются в трехмерные изображения высочайшего качества, что позволяет проводить точную и достоверную диагностику.
С целью повышения контрастности изображений, выявления патологических изменений в лимфоузлах дополнительно внутривенно вводится рентгеноконтрастное вещество на основе йода. Контраст накапливается в патологических очагах и под воздействием рентгеновских лучей обусловливает их яркое изображение на фоне неизмененной ткани. Контрастирование значительно повышает диагностическую ценность исследования и помогает выявлять многие серьезные заболевания на начальных этапах.
- Показания к КТ лимфатических узлов брюшной полости и забрюшинного пространства
- Что покажет КТ лимфатических узлов брюшной полости и забрюшинного пространства
- Подготовка к КТ лимфатических узлов брюшной полости и забрюшинного пространства
- Абсолютные и относительные противопоказания к КТ лимфатических узлов брюшной полости и забрюшинного пространства
Показания к КТ лимфатических узлов брюшной полости и забрюшинного пространства
- подозрения на развитие специфических инфекций (СПИД, туберкулез, аутоиммунные патологии, сифилис);
- частые беспричинные повышения температуры тела;
- диагностика метастазов при онкологических поражениях мочеполовой системы, органов брюшной полости и забрюшинного пространства;
- контроль над динамикой болезни и сбор данных по результатам лечения;
- оценка объемов предстоящего хирургического вмешательства;
- болевые синдромы в животе, пояснице, паху, возникающие без видимых причин, на фоне полного здоровья пациента;
- изменения в анализах крови, указывающие на возможное развитие онкологического поражения гематологической системы пациента (анемия, лейкоцитоз, рост атипичных лимфоцитов, растущая СОЭ).
Что покажет КТ лимфатических узлов брюшной полости и забрюшинного пространства
В ходе сканирования врач оценивает структуру, размеры, плотность, контуры лимфатических узлов этих анатомических областей. Изменения этих параметров могут указывать на:
- метастазирование онкологических процессов из сопредельных анатомических участков;
- лимфогранулематоз, лимфосаркому, лимфомы, лимфолейкозы;
- лимфоаденит;
- развитие аутоимунных заболеваний и специфичных инфекций (туберкулез, сифилис, ВИЧ);
- неоднородность узлов с развитием их конгломератов;
- гиперплазию или гипоплазию.
Подготовка к КТ лимфатических узлов брюшной полости и забрюшинного пространства
Для получения информативных рентгенологических изображений в момент проведения КТ лимфатических узлов брюшной полости и забрюшинного пространства необходимо осуществить последний прием пищи за 2-3 часа до сканирования. Принимать пищу в эти часы разрешается только пациентам, страдающим сахарным диабетом.
Для исключения рисков развития нефротоксических явлений за несколько дней до обследования с контрастом рекомендуется сдать анализ крови на креатинин. Эта часть подготовки к КТ обязательна пациентам с заболеваниями почек. Анализ может быть сделан в лабораториях наших центров не позднее, чем за 14 суток до обследования.
Будем признательны пациентам, предоставившим специалистам центра следующую медицинскую документацию:
- направление врача;
- снимки, СD и/или DVD диски предыдущих КТ-исследований;
- выписку из истории болезни или амбулаторной карты;
- описания результатов предыдущих КТ- исследований;
- заключения профильных специалистов.
Обязаны предупредить пациентов о возможной низкой информативности проводимого компьютерного сканирования из-за проведенного накануне рентгена органов брюшной полости с бариевой взвесью. Это вещество может формировать на послойных снимках артефакты (дефекты визуализации изучаемого органа).
К таким же неблагоприятным явлениям могут привести и металлические предметы, расположенные на теле пациента или в его организме. Поэтому обязательным требованием для начала диагностической процедуры КТ является снятие с тела металлических предметов и предупреждение пациентом специалистов-рентгенологов о нахождении в его организме металлических устройств или инородных тел.
Абсолютные и относительные противопоказания к КТ лимфатических узлов брюшной полости и забрюшинного пространства
Проведение такого сканирования с применением контраста невозможно, при:
- беременности;
- лечении радиоактивным йодом;
- весе пациента свыше 120 кг;
- аллергии на йод или конкретный препарат-контраст;
- гипертериозе, узловом зобе, некомпенсированном сахарном диабете;
- острой или хронической почечной недостаточности, при нарушении выделительной способности почек;
- клаустрофобии и психических заболеваниях, связанных с невозможностью контролировать движения собственного тела.
Затруднительно принимать решение о проведении такого обследование пациентам с декомпенсированным сахарным диабетом, тяжелой формой бронхиальной астмы, миеломной болезнью.
Относительным противопоказанием к проведению этого исследования является лактация. Исследование может быть проведено кормящим мамам при условии, что они откажутся от грудного вскармливания на срок в 24-48 часов после исследования. Молоко нужно будет сцеживать и утилизировать, сделав перед этим его запас.
Узнайте о том, как записаться на такую диагностическую процедуру и получить на руки описания по телефону справочной службы центров: +7(812) 380-83-84с 9:00 до 22:00.
Запишитесь на КТ лимфатических узлов брюшной полости и забрюшинного пространства по удобному адресу
ЗаписатьсяСтанция метро
Площадь Восстания Проспект Просвещения Нарвская Рыбацкое Девяткино Гражданский проспект Академическая Политехническая Площадь Мужества Лесная Выборгская Площадь Ленина Чернышевская Владимирская Пушкинская Технологический институт Балтийская Кировский завод Автово Ленинский проспект Проспект Ветеранов Парнас Озерки Удельная Пионерская Чёрная речка Петроградская Горьковская Невский проспект Сенная площадь Фрунзенская Московские ворота Электросила Парк Победы Московская Звёздная Купчино Беговая Зенит Приморская Василеостровская Гостиный двор Маяковская Площадь Александра Невского Елизаровская Ломоносовская Пролетарская Обухово Спасская Достоевская Лиговский проспект Площадь Александра Невского Новочеркасская Ладожская Проспект Большевиков Улица Дыбенко Комендантский проспект Старая Деревня Крестовский остров Чкаловская Спортивная Адмиралтейская Садовая Звенигородская Обводный канал Волковская Бухарестская Международная Проспект Славы Дунайская Шушары Богатырская Каменка Театральная Горный институт Путиловская Юго-Западная Кудрово Шуваловский проспект Каретная Боровая Заставская БроневаяРайон
Центральный Выборгский Кировский Адмиралтейски Василеостровский Калининский Колпинский Красногвардейский Красносельски Кронштадтский Курортный Московский Невский Петроградский Петродворцовый Приморский Пушкинский ФрунзенскийГород
Санкт-Петербург Бокситогорск Бугры Волосово Волхов Всеволожск Выборг Высоцк Гатчина Ивангород Каменногорск Кингисепп Кириши Кировск Колтуши Коммунар Кудрово Лодейное Поле Луга Любань Мурино Никольское Новая Ладога Отрадное Пикалёво Подпорожье Приморск Приозерск Светогорск Сертолово Сланцы Сосновый Бор Сясьстрой Тельмана Тихвин Тосно ШлиссельбургЦены
Услуги, соответствующие запросу, не найдены.
Адреса диагностических центров "Доступная Медицина"
Преимущества наших диагностических центров
Доступные цены
Приемлемые цены
на все услуги
Качественный сервис
Контроль качества
оказываемых услуг
Лучшие специалисты
Высококвалифицированные врачи
Новейшее оборудование
Современные томографы с высочайшим качеством визуализации
Близость к метро
Мы находимся в непосредственной близости от метро и остановок общественного транспорта
Наше оборудование
КТ-СПЕЦИАЛИСТЫ
Лицензии
Современные томографы с высочайшим качеством визуализации
Статьи наших врачей