МРТ желчного пузыря в СПБ
- Длительность выполнения 40 минут
- Срок получения результата В течение дня
- Ограничения по весу 120 кг
- Ограничения по возрасту От 15 лет
- Введение контраста Нет
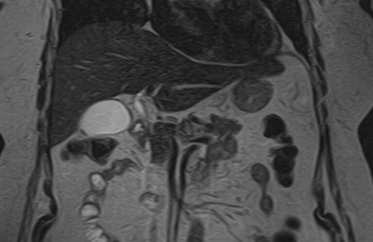
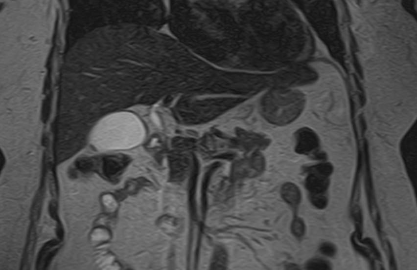
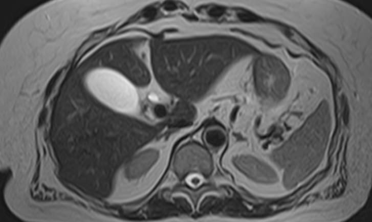
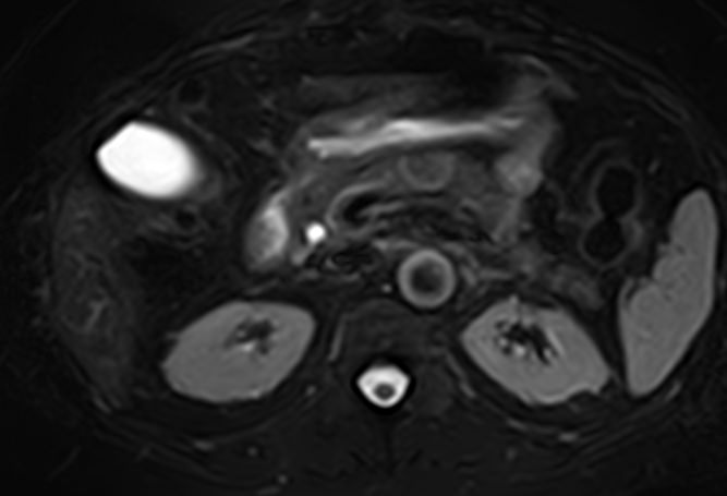
В клинике «Доступная медицина» исследование проводится на современном высокопольном томографе закрытого типа TOSHIBA VANTAGE TITAN 1,5 Тесла, который позволяет получать послойные срезы исследуемой области с шагом от 1 мм с последующим построением трехмерных изображений. Высокая информативность, отсутствие вредного рентгеновского излучения, быстрота и доступная цена исследования являются основными преимуществами данной методики.
При необходимости уточнения характера патологических изменений применяется контрастное усиление. Для этого в вену вводится контрастный препарат, содержащий металл гадолиний (Магневист, Гадовист и др). Препарат фиксируется в очагах поражения, позволяя диагностировать их при минимальных размерах, что бывает особенно важно в диагностике опухолей.
- Показания для проведения МРТ желчевыводящих протоков и желчного пузыря:
- Цель проведения МРТ желчного пузыря
- Подготовка к МРТ желчного пузыря
- Противопоказания для МРТ желчного пузыря
Показания для проведения МРТ желчевыводящих протоков и желчного пузыря:
- тяжесть в области правого подреберья
- болезненные ощущения в области правого подреберья (в том числе с иррадиацией в лопатку)
- дискинезия желчевыводящих путей (ДЖВП)
- камни в желчевыводящих протоках (холедохолитиаз) и желчном пузыре
- воспаление желчного пузыря
- полип желчного пузыря
- желчнокаменная болезнь
- билиарная гипертензия
- калькулезный холецистит
- аномалии желчевыводящих протоков (болезнь Кароли)
- опухоль желчевыводящих протоков (опухоль Клацкина) и желчного пузыря
- опухоль головки поджелудочной железы
Цель проведения МРТ желчного пузыря
Исследование желчных протоков и пузыря методом МРТ помогает объективно оценить состояние билиарного тракта и выявить патологические изменения на ранних этапах развития. Исследование проводят при подозрении на инфекционный, воспалительный или опухолевый процесс, а также для исключения конкрементов. МР-диагностика позволяет определить локализацию и характер патологических изменений и установить окончательный диагноз.
Метод применяют в целях контроля эффективности консервативной терапии, в рамках планирования хирургического лечения, а также для диагностики послеоперационных осложнений. Преимуществами исследования признана неинвазивность, точность и безопасность.
МРТ применяют для диагностики заболеваний желчного пузыря у взрослых и детей.
Подготовка к МРТ желчного пузыря
За три дня до исследования мы рекомендуем исключить из рациона пищу, повышающую газообразование (сладкое, мучное, жирное, бобовые, газированные напитки, капусту) и принимать «Эспумизан» по 2 капсулы 3 раза в день (если есть проблемы с газообразованием!). В день исследования «Эспумизан» принимать не нужно.
За 3-4 часа до исследования нужно отказаться от приема пищи.
За 30-40 минут до исследования необходимо выпить 2 таблетки «Но-шпы» для снижения перистальтики кишечника.
Необходимо принести с собой медицинскую документацию, относящуюся к зоне исследования:
- направление от лечащего врача;
- выписки из амбулаторных карт и стационаров;
- результаты предыдущих исследований (МР-снимки, CD/DVD диски, результаты УЗИ, снимки КТ).
Если планируется введение контраста у пациента с подозрением на почечную недостаточность, необходимо не более, чем за 2 недели до исследования, сдать биохимический анализ крови для контроля уровня креатинина (показатель, отражающий функцию почек).
В случае наличия каких-либо протезов или имплантатов, материал которых не препятствует проведению МРТ, необходимо предоставить справку об этом из учреждения, где они были установлены.
Контраст вводится внутривенно через предварительно установленный в вену катетер и может сопровождаться появлением чувства теплоты во всем теле, неприятного привкуса во рту. Эти явления кратковременны и через пару минут исчезают. Введенный контраст удаляется из организма преимущественно почками в течение последующих суток. Поэтому кормящим женщинам нужно приостановить грудное кормление на 24-48 часов после исследования, при этом проводить сцеживание молока.
Перед исследованием необходимо снять одежду с металлической фурнитурой. Также необходимо убрать пирсинг, другие украшения, часы, из карманов выложить мобильные телефоны, пластиковые карты, любые электронные устройства, гаджеты или предметы, которые могут содержать металл.
Во время сканирования пациент лежит внутри туннеля томографа, при этом нельзя двигаться, иначе можно получить нечеткость изображений исследуемой области. Томограф во время работы издает громкий шум, поэтому для уменьшения этого дискомфорта можно воспользоваться берушами или наушниками.
Врач и рентгенолаборант находятся в смежном помещении, между которыми имеется стеклянная перегородка. Для вызова персонала служит сигнальное устройство в виде груши, которое во время исследования находится в руке пациента.
Некоторые пациенты могут испытывать волнение, поэтому разрешается присутствие сопровождающего в диагностическом кабинете во время исследования.
Противопоказания для МРТ желчного пузыря
МРТ противопоказана, если:
- в теле пациента имеются ферромагнитные (то есть содержащие железо и способные намагничиваться под действием магнитного поля) металлические предметы – это могут быть изделия медицинского назначения (сосудистые скобы, стенты, кава-фильтры, протезы, спицы, штифты, пластины, ортодонтические конструкции) и инородные металлические фрагменты (дробь, пули, осколки, татуировки с использованием металлосодержащих красок);
- присутствуют вживленные электронные устройства, такие как кардиостимуляторы, водители ритма, кохлеарные имплантаты, нейростимуляторы, инсулиновые помпы;
- при беременности до 13 недель, когда плод наиболее чувствителен к воздействию неблагоприятных факторов;
- вес пациента превышает 120 кг (данное ограничение связано с техническими особенностями томографа);
- пациент испытывает клаустрофобию (из-за риска развития панической атаки во время пребывания в тоннеле аппарата);
- противопоказаниями для введения контраста является наличие в анамнезе аллергических реакций на контрастное вещество, беременность на любом сроке, хроническая почечная недостаточность.
Запишитесь на МРТ желчного пузыря по удобному адресу
ЗаписатьсяСтанция метро
Площадь Восстания Нарвская Проспект Просвещения Рыбацкое Девяткино Гражданский проспект Академическая Политехническая Площадь Мужества Лесная Выборгская Площадь Ленина Чернышевская Владимирская Пушкинская Технологический институт Балтийская Кировский завод Автово Ленинский проспект Проспект Ветеранов Парнас Озерки Удельная Пионерская Чёрная речка Петроградская Горьковская Невский проспект Сенная площадь Фрунзенская Московские ворота Электросила Парк Победы Московская Звёздная Купчино Беговая Зенит Приморская Василеостровская Гостиный двор Маяковская Площадь Александра Невского Елизаровская Ломоносовская Пролетарская Обухово Спасская Достоевская Лиговский проспект Площадь Александра Невского Новочеркасская Ладожская Проспект Большевиков Улица Дыбенко Комендантский проспект Старая Деревня Крестовский остров Чкаловская Спортивная Адмиралтейская Садовая Звенигородская Обводный канал Волковская Бухарестская Международная Проспект Славы Дунайская Шушары Богатырская Каменка Театральная Горный институт Путиловская Юго-Западная Кудрово Шуваловский проспект Каретная Боровая Заставская БроневаяРайон
Центральный Кировский Выборгский Невский Адмиралтейский Василеостровский Калининский Колпинский Красногвардейский Красносельский Кронштадтский Курортный Московский Петроградский Петродворцовый Приморский Пушкинский ФрунзенскийГород
Санкт-Петербург Бокситогорск Бугры Волосово Волхов Всеволожск Выборг Высоцк Гатчина Ивангород Каменногорск Кингисепп Кириши Кировск Колтуши Коммунар Кудрово Лодейное Поле Луга Любань Мурино Никольское Новая Ладога Отрадное Пикалёво Подпорожье Приморск Приозерск Светогорск Сертолово Сланцы Сосновый Бор Сясьстрой Тельмана Тихвин Тосно ШлиссельбургЦены
Услуги, соответствующие запросу, не найдены.
Адреса диагностических центров "Доступная Медицина"
Преимущества наших диагностических центров
Доступные цены
Приемлемые цены
на все услуги
Качественный сервис
Контроль качества
оказываемых услуг
Лучшие специалисты
Высококвалифицированные врачи
Новейшее оборудование
Современные томографы с высочайшим качеством визуализации
Близость к метро
Мы находимся в непосредственной близости от метро и остановок общественного транспорта
Наше оборудование
МРТ-специалисты
Лицензии
Современные томографы с высочайшим качеством визуализации
Статьи наших врачей