МРТ молочных желез: только оценка целостности имплантов
- Срок получения результата В течение 24 часов
- Введение контраста Нет
- Ограничения по весу 120 кг
- Ограничения по возрасту От 15 лет
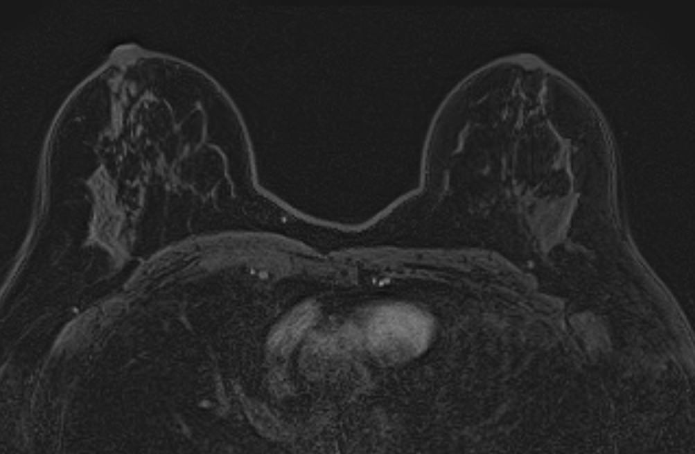
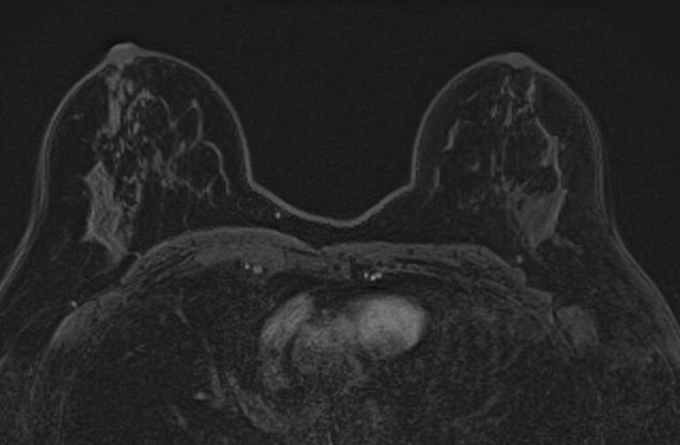
МРТ молочных желез является наиболее точным методом исследования для диагностики заболеваний груди у женщин, и в первую очередь, злокачественных новообразований. Это позволяет выявлять патологические процессы на самых ранних стадиях развития и назначать своевременное лечение, что в конечном счете, может сохранить жизнь и здоровье пациента.
В основе метода — сканирование органов и тканей при помощи воздействия магнитного поля. Из-за отсутствия вредного ионизирующего излучения метод по праву считается безопасным и при необходимости может применяться неоднократно.
Выполнение МРТ молочных желез без контрастирования возможно для динамического наблюдения состояния имплантатов после пластической операции груди. Во всех остальных случаях во время проведения исследования внутривенно вводится контрастное вещество. Для контрастного усиления применяются препараты на основе солей гадолиния (Магневист, Гадовист и др).
Использование контраста позволяет выявлять опухоли малых размеров, дает важную информацию о локализации опухоли, как она связана с окружающими тканями и насколько развита ее система кровоснабжения.
Полученные во время исследования результаты сканирования при помощи компьютерной программы преобразуются в 3D-изображения, что дает детальную информацию о состоянии молочных желез и регионарных лимфоузлов.
- Когда необходимо проведение МРТ молочных желез
- Как подготовиться для МРТ молочных желез
- Когда нельзя проводить МРТ молочных желез
Когда необходимо проведение МРТ молочных желез
Показанием для исследования является:
- Болезненность, уплотнения или пальпируемые опухолевые образования в молочных железах и подмышечных областях, которые могут быть выявлены при самообследовании;
- Уточнение патологии, найденной при стандартной маммографии или УЗИ молочных желез;
- Травмы молочных желез;
- Для оценки состояния силиконовых имплантов после пластики груди;
- Перед хирургической операцией, когда нужно определить объем вмешательства по поводу опухоли молочной железы;
- Для динамического наблюдения после операции и в ходе проведения химио- и лучевой терапии рака молочной железы;
- Подозрение на опухоль грудных желез у мужчин;
- Скрининговое обследование у пациентов с высоким риском развития рака молочной железы (женщины, у которых есть родственники по женской линии с выявленным раком молочных желез или яичников).
Как подготовиться для МРТ молочных желез
Если у женщины сохранен менструальный цикл, то исследование проводится на 5-12 день цикла. Во время менопаузы — в любой день.
Необходимо принести с собой медицинскую документацию, относящуюся к зоне исследования:
- направление от лечащего врача;
- выписки из амбулаторных карт и стационаров;
- результаты предыдущих исследований (маммография, МР-снимки, CD/DVD диски, результаты УЗИ).
При наличии имплантированных медицинских изделий из материалов, совместимых с МРТ, нужно предоставить справку из учреждения, в которых они были установлены.
Так как исследование проводится с применением контрастирования, то у пациентов с подозрением на почечную недостаточность необходимо провести контроль уровня креатинина крови не более чем за 14 дней до исследования.
Для введения контраста в локтевую вену предварительно устанавливается венозный катетер с подключенным дозирующим аппаратом, с помощью которого во время исследования в вену поступает контраст. Введение контрастного препарата иногда сопровождается небольшим дискомфортом в виде металлического привкуса во рту, ощущения теплоты или холода в теле. Эти ощущения через несколько минут полностью исчезают. Весь введенный контраст удаляется из организма преимущественно почками в течение последующих суток. Это надо учесть кормящим женщинам, так как требуется прервать грудное вскармливание на 24-48 часов после исследования, молоко в это время нужно сцеживать и выливать.
Перед исследованием необходимо раздеться до пояса и снять с себя все металлические предметы (украшения, часы, ключи, пуговицы, заколки, монеты, пластиковые карты, любые цифровые носители — дискеты, флэш-накопители).
Пациентка ложится на живот на стол томографа, молочные железы располагаются в специальных отверстиях, окруженных валиками, в свободном положении. Необходимо сохранять неподвижность в течение всего времени обследования, это примерно 40-50 минут.
Сама процедура абсолютно безболезненная, но пациенты могут испытывать дискомфорт из-за того, что во время обследования аппарат издает громкие звуки, гудение, ритмический стук, может быть небольшая вибрация. Для уменьшения интенсивности звуков используются силиконовые наушники или беруши.
Если пациент испытывает волнение и тревожность, то разрешается присутствовать близкому человеку или родственнику во время исследования.
Медработники наблюдает за пациентом через стеклянное окно в смежном помещении. Связь с пациентом осуществляется при помощи системы связи, вмонтированной в томограф. При необходимости вызова медперсонала нужно нажать на сигнальное устройство в виде груши, которая в течение всего времени исследования находится в руке пациента.
Когда нельзя проводить МРТ молочных желез
Существуют общие противопоказания для проведения магнитно-резонансной томографии:
- Наличие электронных устройств в теле человека, например кардио- или нейростимуляторы, дефибрилляторы, имплантаты внутреннего уха, инсулиновые помпы;
- Если присутствуют в теле металлические предметы: ортодонтические металлоконструкции, брекет-системы, пластины, штифты, сосудистые клипсы, стенты, протезы, металлоконструкции после остеосинтеза. Также это могут быть инородные предметы (осколки, пули, дробины, металлическая стружка). Некоторые медицинские имплантаты могут быть изготовлены из материалов, которые совместимы с МРТ. Обследование можно выполнить, если их расположение не создает помех для визуализации исследуемой области.
- Клаустрофобия может быть препятствием для проведения МРТ.
- МРТ нельзя проводить в первом триместре беременности, когда происходит закладка всех органов и систем у плода, и необходимо исключить любое неблагоприятное воздействие, в том числе, действие магнитного поля.
- Из-за конструктивных особенностей томографа невозможно выполнить МРТ пациентам с массой тела, превышающей 120 кг.
- Противопоказанием для проведения МРТ молочных желез с контрастированием является аллергия на контрастное вещество и наличие хронической почечной недостаточности. Также противопоказано введение контраста на любом сроке беременности.
Запишитесь на МРТ молочных желез: только оценка целостности имплантов по удобному адресу
ЗаписатьсяСтанция метро
Площадь Восстания Нарвская Проспект Просвещения Рыбацкое Девяткино Гражданский проспект Академическая Политехническая Площадь Мужества Лесная Выборгская Площадь Ленина Чернышевская Владимирская Пушкинская Технологический институт Балтийская Кировский завод Автово Ленинский проспект Проспект Ветеранов Парнас Озерки Удельная Пионерская Чёрная речка Петроградская Горьковская Невский проспект Сенная площадь Фрунзенская Московские ворота Электросила Парк Победы Московская Звёздная Купчино Беговая Зенит Приморская Василеостровская Гостиный двор Маяковская Площадь Александра Невского Елизаровская Ломоносовская Пролетарская Обухово Спасская Достоевская Лиговский проспект Площадь Александра Невского Новочеркасская Ладожская Проспект Большевиков Улица Дыбенко Комендантский проспект Старая Деревня Крестовский остров Чкаловская Спортивная Адмиралтейская Садовая Звенигородская Обводный канал Волковская Бухарестская Международная Проспект Славы Дунайская Шушары Богатырская Каменка Театральная Горный институт Путиловская Юго-Западная Кудрово Шуваловский проспект Каретная Боровая Заставская БроневаяРайон
Центральный Кировский Выборгский Невский Адмиралтейский Василеостровский Калининский Колпинский Красногвардейский Красносельский Кронштадтский Курортный Московский Петроградский Петродворцовый Приморский Пушкинский ФрунзенскийГород
Санкт-Петербург Бокситогорск Бугры Волосово Волхов Всеволожск Выборг Высоцк Гатчина Ивангород Каменногорск Кингисепп Кириши Кировск Колтуши Коммунар Кудрово Лодейное Поле Луга Любань Мурино Никольское Новая Ладога Отрадное Пикалёво Подпорожье Приморск Приозерск Светогорск Сертолово Сланцы Сосновый Бор Сясьстрой Тельмана Тихвин Тосно ШлиссельбургЦены
Услуги, соответствующие запросу, не найдены.
Адреса диагностических центров "Доступная Медицина"
Преимущества наших диагностических центров
Доступные цены
Приемлемые цены
на все услуги
Качественный сервис
Контроль качества
оказываемых услуг
Лучшие специалисты
Высококвалифицированные врачи
Новейшее оборудование
Современные томографы с высочайшим качеством визуализации
Близость к метро
Мы находимся в непосредственной близости от метро и остановок общественного транспорта
Наше оборудование
МРТ-специалисты
Лицензии
Современные томографы с высочайшим качеством визуализации
Статьи наших врачей