Назад КТ гортани с контрастом в СПБ

Цена:
от 6 400 руб
Записаться
  • Введение контраста Да
  • Длительность выполнения 20 минут
  • Ограничения по весу 120 кг
  • Ограничения по возрасту От 15 лет
  • Срок получения результата В течение 24 часов
Описание

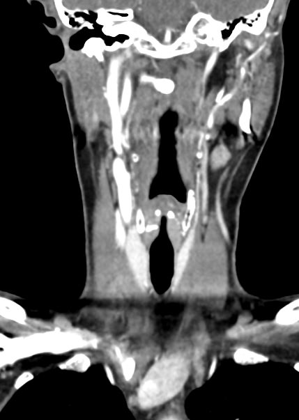
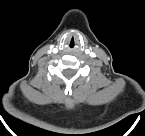
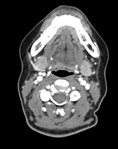
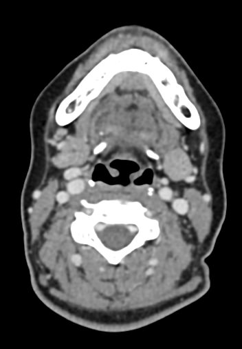
Гортань является частью дыхательного тракта, сверху она граничит с ротоглоткой, в нижней своей части переходит в трахею. В гортани расположены голосовые связки, основные функции которых – образование голоса и защита от попадания пищи и жидкости в дыхательные пути.

Оптимальным методом обследования гортани и голосовых связок является мультиспиральная компьютерная томография. Метод позволяет подробно визуализировать состояние данной анатомической области и выявить патологические изменения, которые незаметны при ларингоскопии (визуальный осмотр гортани с помощью специальных инструментов), проведении УЗИ и обычной рентгенографии. 

Компьютерная томография позволяет оценить состояние костного скелета гортани и особенно важна в оценке состояния хрящей гортани, которые лучше всего визуализируются с помощью данного исследования. В частности, мультиспиральная КТ позволяет выявить распространение рака гортани в ткань щитовидного хряща и другие окружающие структуры.  

При подозрении на опухоль гортани нативная мультиспиральная КТ дополняется проведением внутривенного болюсного контрастирования. Для этого пациенту внутривенно вводится контрастный препарат на основе йода. 

Контраст хорошо накапливается в патологически измененных участках, за счет этого становятся отчетливо видны на снимках их границы, размеры, точная локализация относительно окружающих здоровых тканей. По характеру накопления контраста можно отличить доброкачественные опухоли от злокачественных, определить степень распространенности процесса, выявить поражение регионарных лимфатических узлов. 

Контрастное усиление позволяет выявлять опухоли на ранней стадии, что имеет важное значение для пациента, так как эффективность лечения напрямую зависит от своевременного установления точного диагноза.

В клинике «Доступная медицина» исследование выполняется на современных мультиспиральных компьютерных томографах экспертного уровня TOSHIBA AQUILION, которые послойно сканируют исследуемую область с толщиной среза от 0,5 мм. 

На полученных снимках можно оценить состояние всех структурных элементов гортани, голосовых складок, хрящей, а также лимфатических узлов, сосудов и шейных позвонков на исследуемом уровне. Инновационные возможности аппаратов позволяют построить 3D-модель зоны исследования, которая дает наглядную картину пространственного расположения органов, что бывает особенно важно при планировании хирургических операций.

Томографы имеют увеличенное количество детекторов, позволяющих за секунды проводить множество срезов исследуемой зоны. Такая быстрота выполнения исследования обеспечивает минимальную дозу рентгеновского облучения для пациента. 

Также для исследования гортани применяется и высокоинформативный метод МРТ, который позволяет детально визуализировать мягкие ткани области гортани. Обе методики – КТ и МРТ – имеют свои преимущества и показания, которые определяет врач, направляющий на обследование. В нашей клинике обследование гортани выполняется в рамках протокола МРТ мягких тканей шеи на новейшем высокопольном магнитно-резонансном томографе экспертного уровня.

Показания к КТ горла и гортани с контрастом

Свернуть/развернуть
  • боль и жжение в горле, кашель, охриплость.
  • воспалительные изменения.
  • рецидивирующие инфекции верхних и нижних дыхательных путей.
  • подозрение на опухолевые изменения.
  • пред и послеоперационная оценка.
  • ощущение кома при глотании;
  • затрудненное дыхание, приступы удушья;
  • осиплость голоса;
  • головные боли, головокружения, обмороки;
  • ухудшение памяти и концентрации внимания
  • затрудненное глотание;
  • увеличение щитовидной железы;
  • травмы шеи;
  • увеличение лимфатических узлов;
  • отек гортани;
  • патология шейных сосудов;
  • стеноз гортани;
  • проблемы с дыханием;
  • камни в слюнных железах;

Подготовка к КТ гортани с контрастом

Свернуть/развернуть

Мультиспиральная компьютерная томография является быстрой и безболезненной процедурой. С учетом применения контрастирования требуется дополнительно подготовиться к процедуре.

Для проведения точной диагностики бывает необходимо сравнить данные с предыдущими результатами обследований. Поэтому мы просим предоставить врачу-рентгенологу все документы, касающиеся зоны исследования. К таким документам относятся:

  • Направление лечащего врача;
  • Выписка из истории болезни или амбулаторной карты;
  • Рентгеновские снимки, CD/DVD диски предыдущих КТ или МРТ-исследований мягких тканей шеи, гортани, результаты УЗИ;
  • Заключения профильных специалистов.

При выполнении процедуры с введением контрастного вещества предварительно требуется оценить функциональную способность почек, так как контраст выводится из организма преимущественно почками. Для этого пациенту нужно сдать анализ крови на уровень креатинина (показатель, отражающий функцию почек). Результат действителен не более, чем 14 дней с момента сдачи анализа крови. 

Пациентам, принимающим по поводу сахарного диабета Метформин (Глюкофаж) или другие метформинсодержащие препараты, необходимо по согласованию с эндокринологом прекратить прием данного препарата за 48 часов до исследования с контрастированием и на 48 часов после введения контраста.

Введения контрастного препарата осуществляется с помощью специального дозирующего устройства, которое предварительно устанавливается в локтевую вену вместе с венозным катетером. В момент введения контраста может быть ощущение тепла или жара во всем теле и неприятный привкус во рту, но этот дискомфорт полностью исчезает через 1-2 минуты.

Если необходимо проведение внутривенного болюсного контрастирования женщине в период лактации, то мы рекомендуем предварительно сделать запас грудного молока, а после процедуры с введением контраста не прикладывать ребенка к груди в течение 24-48 часов, при этом молоко нужно сцеживать и выливать.

Исследование проводится лежа на спине на выдвижном столе томографа. По сравнению с магнитно-резонансными томографами отверстие компьютерного томографа широкое, вокруг пространство полностью открытое и свободное. 

Врач-рентгенолог и рентгенолаборант находятся в соседнем помещении, отделенном от диагностического кабинета стеклянной перегородкой. Связь с пациентом осуществляется через переговорное устройство, встроенное в томограф. Врач наблюдает за состоянием пациента через окно, во время исследования просит пациента на короткое время задержать дыхание, чтобы дыхательные движения не нарушили четкость изображений.

Противопоказания для проведения КТ гортани с контрастом

Свернуть/развернуть

Компьютерная томография предусматривает использование рентгеновского излучения, поэтому может негативно влиять на плод во время внутриутробного развития. В связи с этим КТ не проводится женщинам в течение всего периода беременности.

Кроме того, компьютерные томографы имеют ограничения по весу, поэтому в наших центрах невозможно выполнить КТ гортани пациентам с массой тела, превышающей 120 кг.

В некоторых случаях у пациента могут быть ограничения для введения контрастного препарата. 

Внутривенное болюсное контрастирование не проводится в следующих случаях:

  • если у пациента ранее отмечались аллергические реакции на йодсодержащие контрастные препараты; 
  • если у пациента имеются заболевания почек с развитием выраженной почечной недостаточности;
  • при наличии сердечной недостаточности;
  • если имеются заболевания щитовидной железы с явлениями гипертиреоза, тиреотоксикоза;
  • в случае тяжелого течения бронхиальной астмы;
  • при декомпенсированном сахарном диабете.

Что показывает КТ горла и гортани с контрастом

Свернуть/развернуть
  • кисты и свищи;
  • ларингоцеле;
  • кривошею;
  • добавочные ребра;
  • воспалительные заболевания;
  • дивертикулы гортани и пищевода;
  • абсцессы и флегмоны;
  • певческие узелки;
  • полипы;
  • сосудистые заболевания.
  • аномалии развития;
  • воспалительные изменения;
  • повреждение тканей шеи и наличие инородных тел;
  • доброкачественные опухоли;
  • злокачественные опухоли
  • кистозные образования;
  • увеличенные лимфатические узлы;
  • нарушения воздушной проходимости;

Запишитесь на КТ гортани с контрастом по удобному адресу

Записаться
Фильтр по услугам КТ с контрастом

Введение контраста

С контрастом Без контраста

Станция метро

Площадь Восстания Проспект Просвещения Нарвская Рыбацкое Девяткино Гражданский проспект Академическая Политехническая Площадь Мужества Лесная Выборгская Площадь Ленина Чернышевская Владимирская Пушкинская Технологический институт Балтийская Кировский завод Автово Ленинский проспект Проспект Ветеранов Парнас Озерки Удельная Пионерская Чёрная речка Петроградская Горьковская Невский проспект Сенная площадь Фрунзенская Московские ворота Электросила Парк Победы Московская Звёздная Купчино Беговая Зенит Приморская Василеостровская Гостиный двор Маяковская Площадь Александра Невского Елизаровская Ломоносовская Пролетарская Обухово Спасская Достоевская Лиговский проспект Площадь Александра Невского Новочеркасская Ладожская Проспект Большевиков Улица Дыбенко Комендантский проспект Старая Деревня Крестовский остров Чкаловская Спортивная Адмиралтейская Садовая Звенигородская Обводный канал Волковская Бухарестская Международная Проспект Славы Дунайская Шушары Богатырская Каменка Театральная Горный институт Путиловская Юго-Западная Кудрово Шуваловский проспект Каретная Боровая Заставская Броневая

Возраст пациента

Взрослому Ребенку от 15 лет

Пол пациента

Мужчине Женщине

Программы страхования

ДМС Платно ОМС

Цены

Услуги, соответствующие запросу, не найдены.

КТ головного мозга с контрастом
руб
От 6 400 руб
КТ околоносовых пазух с контрастом
руб
От 6 400 руб
КТ орбит с контрастом
руб
От 6 400 руб
КТ носоглотки с контрастом
руб
От 6 400 руб
КТ щитовидной железы с контрастом
руб
От 6 400 руб
КТ лимфатических узлов с контрастом
руб
От 6 400 руб
КТ гортани с контрастом
руб
От 6 400 руб
КТ шеи с контрастом
руб
От 6 600 руб
КТ легких с контрастом
руб
От 6 400 руб
КТ почек с контрастом
руб
От 6 400 руб
КТ печени с контрастом
руб
От 6 400 руб
КТ селезенки с контрастом
руб
От 6 400 руб
КТ поджелудочной железы с контрастом
руб
От 6 400 руб
КТ надпочечников с контрастом
руб
От 6 400 руб
КТ мочевого пузыря с контрастом
руб
От 6 400 руб
КТ одной анатомической зоны с контрастом
руб
От 6 400 руб
КТ брюшной полости и забрюшинного пространства с контрастом
руб
От 6 400 руб
КТ таза с контрастом
руб
От 6 400 руб
КТ верхней конечности с контрастом
руб
От 6 400 руб
КТ нижних конечностей с контрастом
руб
От 7 500 руб
от бифуркации аорты до коленного сустава
руб
От 7 500 руб
от бифуркации аорты до стопы
руб
От 9 500 руб
Контраст 100 мл (до 100 кг)
руб
3 500 руб
Контраст 150 мл (от 100 кг до 120 кг)
руб
4 500 руб

Адреса диагностических центров "Доступная Медицина"

Преимущества наших диагностических центров

Доступные цены

Приемлемые цены
на все услуги

Качественный сервис

Контроль качества
оказываемых услуг

Лучшие специалисты

Высококвалифицированные врачи

Новейшее оборудование

Современные томографы с высочайшим качеством визуализации

Близость к метро

Мы находимся в непосредственной близости от метро и остановок общественного транспорта

Лицензии

Современные томографы с высочайшим качеством визуализации

Назад
Вперед
Ключникова Екатерина Игоревна
Информация проверена главным врачом клиники Domedica24
Ключникова Екатерина Игоревна
Стаж более 8 лет, главный врач, врач-рентгенолог 1 категории
Площадь Стачек, 9">
ул. 1-я Советская, 8">