Назад МРТ мягких тканей лица в СПб

6 400
/
По акции в Рыбацком
5 000
руб
Записаться на прием
6 400 руб
По акции в Рыбацком
5 000 руб
Записаться
  • Срок получения результата В течение дня
Описание

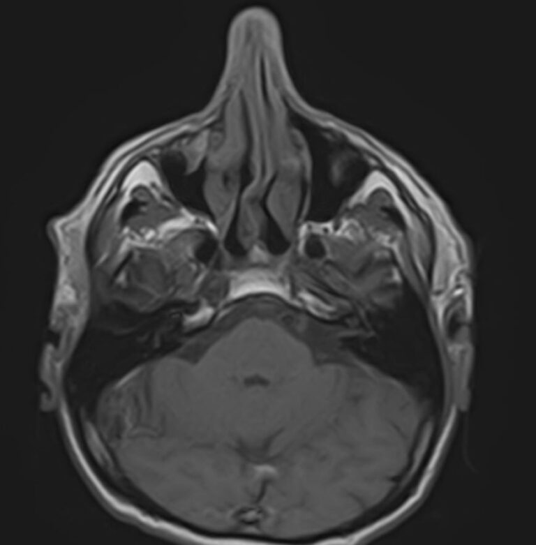
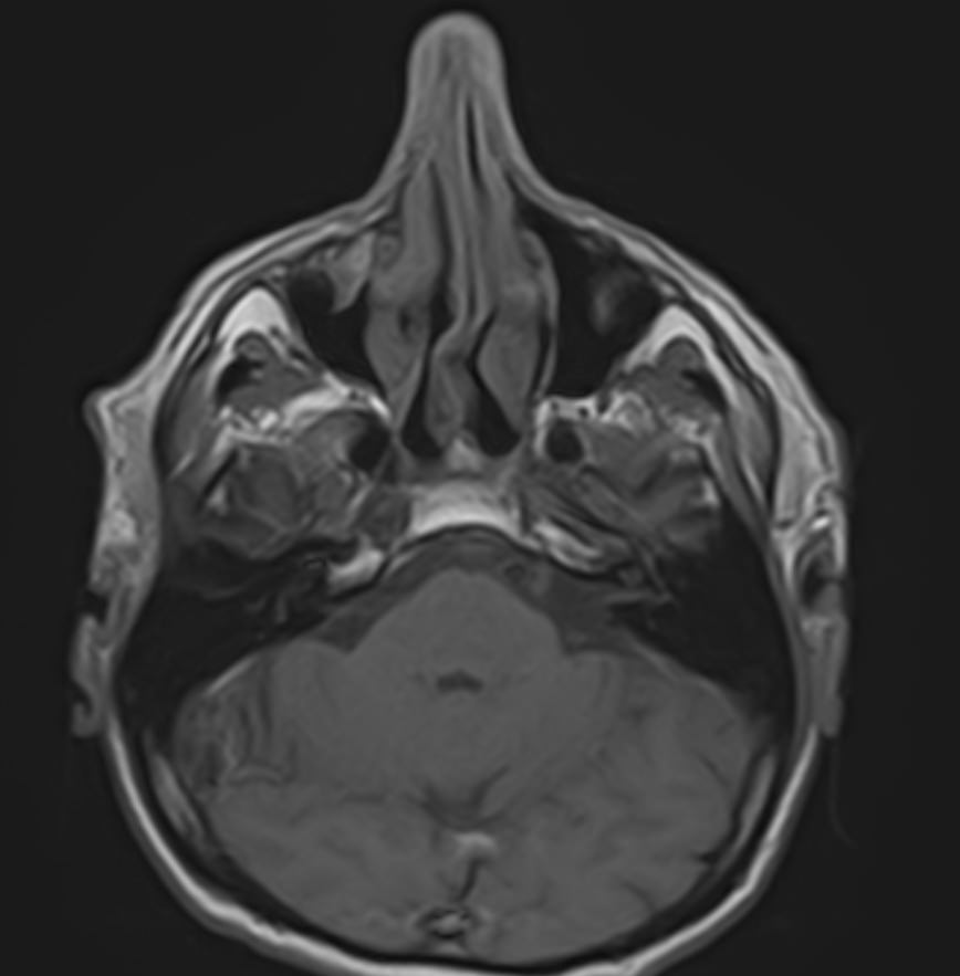
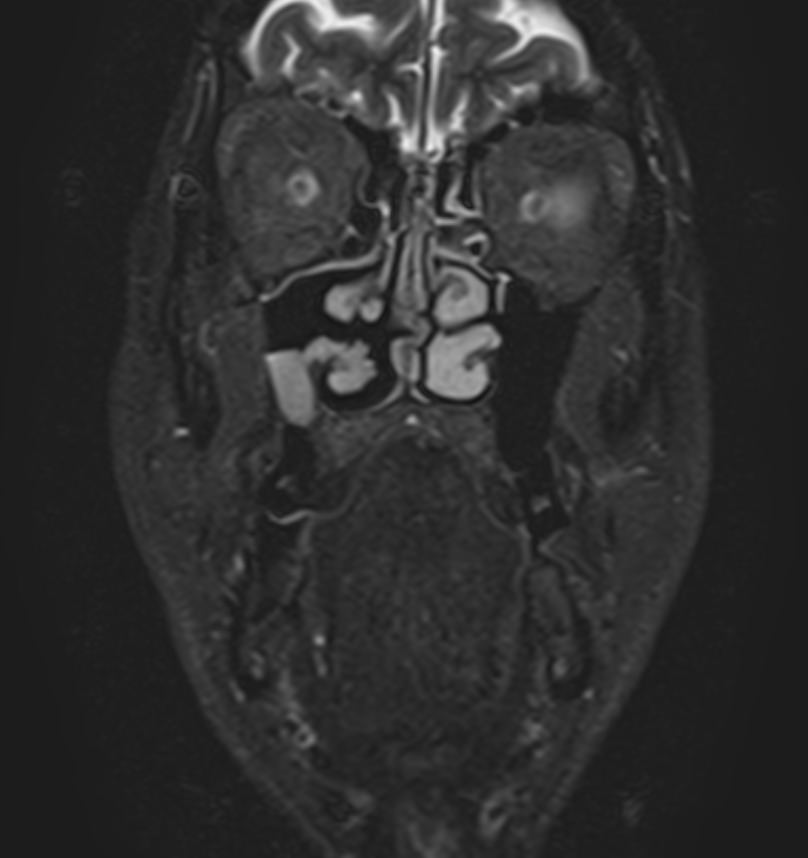
Магнитно-резонансная томография (МРТ) мягких тканей лица – это неинвазивное диагностическое исследование, которое использует магнитное поле и радиоволны для получения детализированных изображений структур мягких тканей в области лица. МРТ мягких тканей лица позволяет визуализировать мышцы, жир, нервы, сосуды и другие мягкотканные структуры, что помогает в диагностике различных заболеваний и патологий, таких как:

  • Опухоли – доброкачественные и злокачественные образования.
  • Воспалительные процессы – абсцессы, флегмоны, синуситы и другие инфекционные процессы.
  • Травмы – повреждения мягких тканей, разрывы мышц и связок.
  • Врожденные аномалии – врожденные дефекты развития мягких тканей и сосудов.
  • Неврологические расстройства – заболевания лицевых нервов, такие как невриты и нейропатии.
  • Состояния после операций – оценка состояния мягких тканей после хирургических вмешательств.

Перед проведением МРТ мягких тканей лица обычно требуется консультация врача, который определит необходимость и целесообразность исследования, а также даст рекомендации по подготовке. В некоторых случаях может понадобиться введение контрастного вещества для улучшения визуализации структур и выявления патологий.

МРТ является безопасным методом диагностики, однако существуют некоторые противопоказания, такие как наличие металлических имплантатов, кардиостимуляторов или клаустрофобия. В этих случаях необходимо обсудить возможные альтернативы и меры предосторожности с врачом.

Запишитесь на МРТ мягких тканей лица по удобному адресу

Записаться
Фильтр по услугам МРТ мягких тканей

Введение контраста

С контрастом Без контраста

Станция метро

Площадь Восстания Нарвская Проспект Просвещения Рыбацкое Девяткино Гражданский проспект Академическая Политехническая Площадь Мужества Лесная Выборгская Площадь Ленина Чернышевская Владимирская Пушкинская Технологический институт Балтийская Кировский завод Автово Ленинский проспект Проспект Ветеранов Парнас Озерки Удельная Пионерская Чёрная речка Петроградская Горьковская Невский проспект Сенная площадь Фрунзенская Московские ворота Электросила Парк Победы Московская Звёздная Купчино Беговая Зенит Приморская Василеостровская Гостиный двор Маяковская Площадь Александра Невского Елизаровская Ломоносовская Пролетарская Обухово Спасская Достоевская Лиговский проспект Площадь Александра Невского Новочеркасская Ладожская Проспект Большевиков Улица Дыбенко Комендантский проспект Старая Деревня Крестовский остров Чкаловская Спортивная Адмиралтейская Садовая Звенигородская Обводный канал Волковская Бухарестская Международная Проспект Славы Дунайская Шушары Богатырская Каменка Театральная Горный институт Путиловская Юго-Западная Кудрово Шуваловский проспект Каретная Боровая Заставская Броневая

Возраст пациента

Взрослому Ребенку от 15 лет

Пол пациента

Мужчине Женщине

Тип аппарата

Открытый Закрытый

Мощность МРТ

1.5 Тл 3 Тесла

Программы страхования

ДМС Платно ОМС

Цены

Услуги, соответствующие запросу, не найдены.

Адреса диагностических центров "Доступная Медицина"

Преимущества наших диагностических центров

Доступные цены

Приемлемые цены
на все услуги

Качественный сервис

Контроль качества
оказываемых услуг

Лучшие специалисты

Высококвалифицированные врачи

Новейшее оборудование

Современные томографы с высочайшим качеством визуализации

Близость к метро

Мы находимся в непосредственной близости от метро и остановок общественного транспорта

Лицензии

Современные томографы с высочайшим качеством визуализации

Назад
Вперед
Ключникова Екатерина Игоревна
Информация проверена главным врачом клиники Domedica24
Ключникова Екатерина Игоревна
Стаж более 8 лет, главный врач, врач-рентгенолог 1 категории
Площадь Стачек, 9">
ул. 1-я Советская, 8">