КТ органов средостения в СПБ
- Введение контраста Нет
- Длительность выполнения 10 минут
- Ограничения по весу 120 кг
- Ограничения по возрасту От 15 лет
- Срок получения результата В течение дня
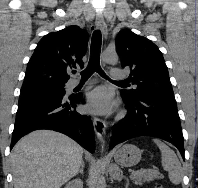
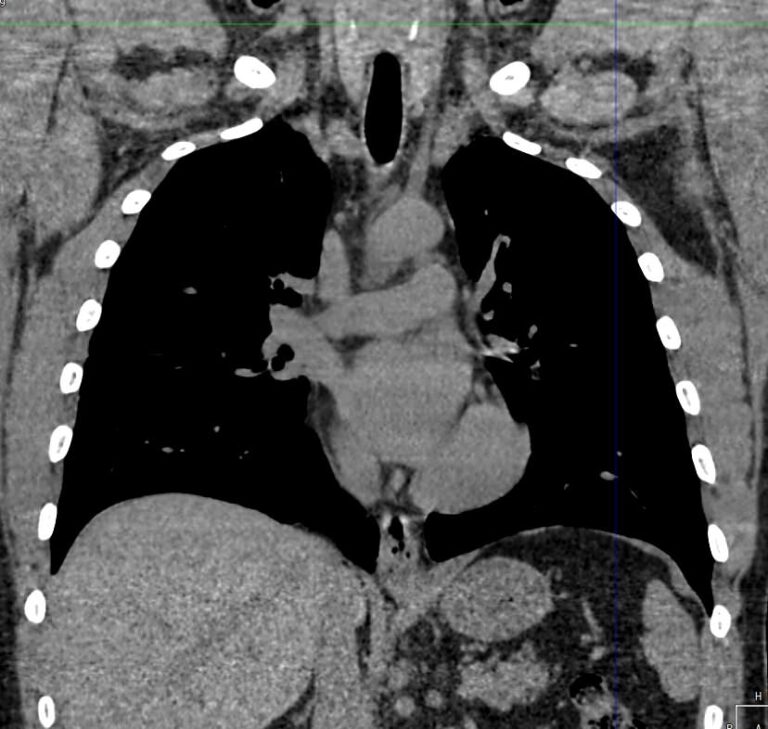
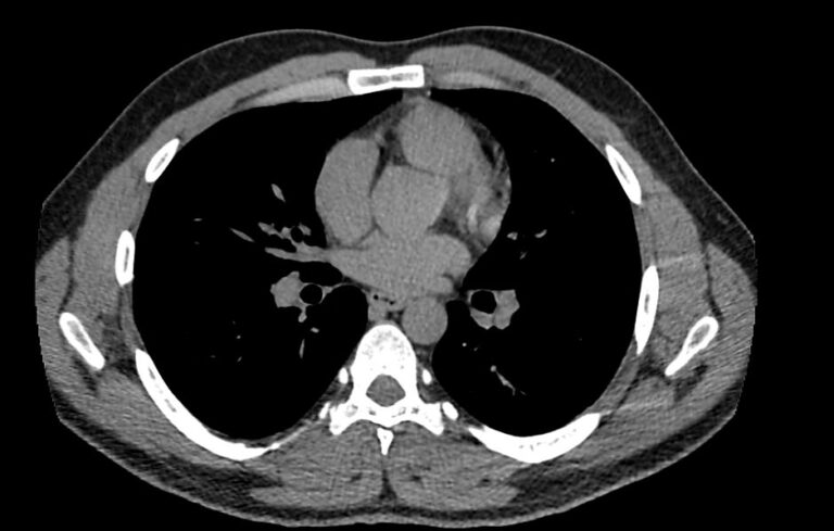
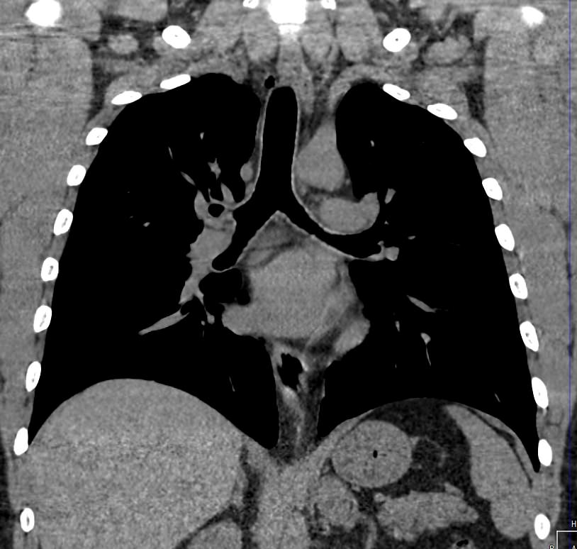
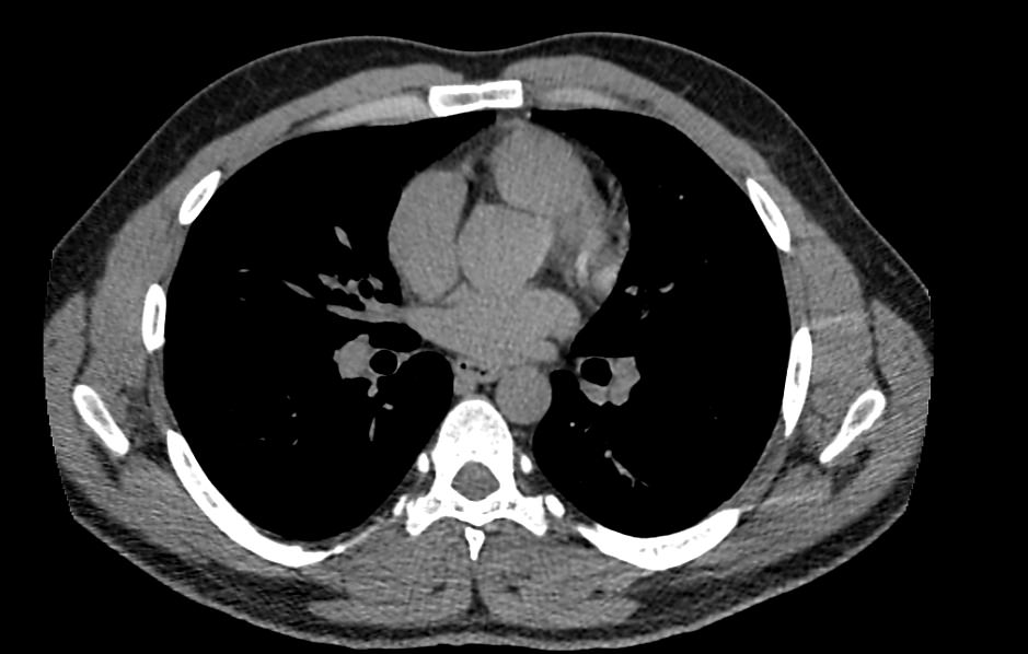
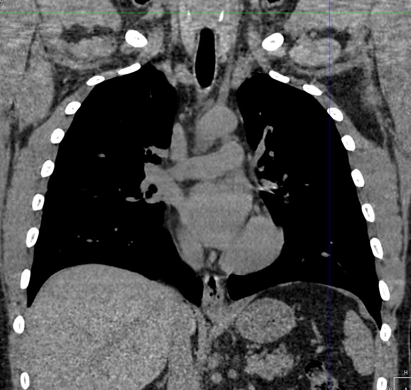
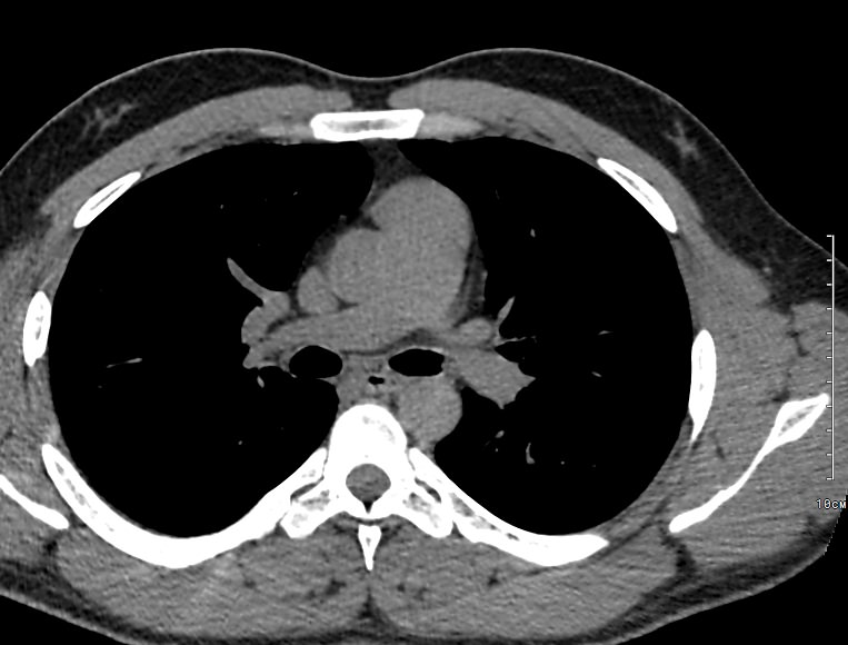
Средостение – анатомическое пространство в середине грудной клетки, которое с боков ограничено легкими, спереди грудиной, сзади позвоночником. В средостении располагаются органы, окруженные жировой клетчаткой, крупные кровеносные сосуды и нервы. К органам средостения относятся: пищевод, трахея, главные бронхи, вилочковая железа (тимус), сердце, аорта, верхняя и нижняя полые вены, нервы, лимфатические узлы.
Одним из наиболее информативных методов исследования органов средостения является компьютерная томография. В основе метода лежит использование проникающего действия ионизирующего излучения для получения подробных снимков строения внутренних органов.
В клинике «Доступная медицина» КТ средостения выполняется на современных мультиспиральных компьютерных томографах последнего поколения, которые позволяют проводить исследования экспертного уровня. Аппараты оснащены увеличенным количеством сверхчувствительных детекторов, что дает возможность проводить сканирование анатомической области за несколько секунд. Быстрота выполнения исследования позволяет максимально снизить уровень лучевой нагрузки на организм пациента.
Инновационные технологии, которыми оснащены компьютерные томографы, послойно сканируют анатомическую область с шагом от 0,5 мм. В результате получаются снимки тонких срезов исследуемой зоны в мельчайших подробностях. С помощью цифровых приложений на основании полученных данных можно реконструировать трехмерные модели внутренних органов, что позволяет оценить структуру зоны исследования и близлежащих тканей.
Для повышения информативности компьютерной томографии (например, при подозрении на опухоли органов средостения) дополнительно назначается внутривенное болюсное контрастирование.
Для этого пациенту внутривенно вводится йодсодержащий контрастный препарат, который накапливается в патологически измененных участках и поглощает рентгеновские лучи. Такая способность рентгеноконтрастных препаратов дает возможность увидеть патологический очаг минимальных размеров на фоне здоровых тканей, что, в частности, имеет важное значение для диагностики опухолей на начальном этапе.
- Показания для КТ средостения
- Какие заболевания можно диагностировать с помощью КТ средостения
- Как подготовиться к КТ средостения
- В каких случаях противопоказана КТ средостения
- Что показывает КТ органов средостения?
Показания для КТ средостения
Мультиспиральная КТ органов средостения может быть назначена многими медицинскими специалистами, в частности, кардиологом, пульмонологом, онкологом и др.
Поводом для проведения КТ средостения могут быть:
- боли в грудной клетке неясного происхождения;
- травмы грудной клетки, необходимость исключения инородных тел, наличия крови или воздуха в средостении;
- оценка состояния органов средостения при планировании оперативного вмешательства;
- подозрение на опухоли органов средостения, когда на обычном рентгеновском снимке легких выявляется расширение корней легких или расширение тени средостения;
- оценка состояния лимфоузлов средостения, при необходимости проведения пункционной биопсии лимфоузла;
- динамическое наблюдение за онкопатологией для оценки эффективности лечения, выявления рецидива заболевания, исключения метастазирования;
- подозрение на аневризму (расширение) аорты, для выявления патологии крупных сосудов средостения (верхней и нижней полых вен, легочных вен и артерий).
Какие заболевания можно диагностировать с помощью КТ средостения
При сканировании на мультиспиральном компьютерном томографе можно выявить следующие патологии органов средостения:
- опухоли вилочковой железы (тимомы), липомы, лимфомы, липосаркомы и другие опухоли средостения, кисты тимуса, бронхогенные кисты;
- опухоли пищевода, грыжи пищеводного отверстия диафрагмы;
- загрудинный зоб;
- аневризмы аорты и ее плечеголовных ветвей;
- аномалии развития органов средостения;
- травматические повреждения органов грудной клетки, пневмоторакс, гемоторакс, обнаружение инородных тел средостения;
- патологии лимфатических узлов средостения при туберкулезе, саркоидозе, пневмокониозах, метастатическом поражении.
Как подготовиться к КТ средостения
Компьютерная томография органов средостения не требует специальной подготовки. Длительность сканирования без контрастирования составляет не более 1 минуты, при введении контрастного препарата – около 10 минут. Во время исследования пациент не испытывает никаких болезненных ощущений. В определенный момент требуется задержать дыхание. Это необходимо для того, чтобы исключить нечеткость изображений при дыхательных движениях.
Перед исследованием необходимо принести в клинику все документы, касающиеся зоны исследования. К необходимым документам относятся:
- Направление лечащего врача;
- Выписка из истории болезни или амбулаторной карты;
- Рентгеновские снимки, CD/DVD диски предыдущих КТ-исследований легких, органов средостения;
- Заключения профильных специалистов.
При необходимости введения контрастного вещества, нужно предоставить результат анализа крови на уровень креатинина (показатель, отражающий функцию почек). Анализ действителен не более, чем 14 дней до даты исследования.
Пациентам, принимающим по поводу сахарного диабета Метформин (Глюкофаж), необходимо, по согласованию с эндокринологом, прекратить прием данного препарата за 48 часов до исследования с контрастированием и на 48 часов после введения контраста.
Для введения контрастного препарата пациенту предварительно устанавливается в локтевую вену венозный катетер. В момент введения контраста может быть прилив жара к телу и неприятный привкус во рту, эти ощущения через 1-2 минуты полностью исчезают.
При необходимости проведения внутривенного болюсного контрастирования кормящей женщине, необходимо предварительно сделать запас грудного молока, а после процедуры с введением контраста прервать кормление ребенка грудью на 24-48 часов, при этом молоко нужно сцеживать и выливать.
Во время исследования пациент лежит на спине на подвижном столе томографа. Врач находится в соседнем помещении за стеклянной перегородкой, связь осуществляется через переговорное устройство, вмонтированное в аппарат.
В каких случаях противопоказана КТ средостения
Компьютерная томография относится к лучевым методам диагностики. Рентгеновское излучение, которое применяется во время проведения исследования, может вызвать гибель плода или возникновение пороков развития. Поэтому во время беременности данное исследование не проводится.
Кроме того, невозможно выполнить сканирование пациентам с массой тела, превышающей 120 кг, из-за ограничения грузоподъемности подвижного стола томографа.
При необходимости проведения КТ средостения с внутривенным болюсным контрастированием могут быть противопоказания для введения контрастного препарата.
Контрастирование не проводится в следующих случаях:
- если в анамнезе имеются указания на аллергическую реакцию на йодсодержащий контрастный препарат;
- пациентам с заболеваниями почек, которые сопровождаются снижением функции почек;
- при сердечной недостаточности;
- при заболеваниях щитовидной железы;
- в случае тяжелого течения бронхиальной астмы;
- при декомпенсированном сахарном диабете.
Что показывает КТ органов средостения?
- наличие онкологии и метастазов;
- туберкулез и другие инфекции;
- патологии диафрагмы и бронхов;
- последствия травм;
- состояние лимфоузлов;
- индивидуальные анатомические особенности;
- патологии вилочковой железы;
- новообразования из нервной ткани;
- опухоли в жировой соединительной ткани;
- патологии мышечной ткани и сосудов;
- кисты;
- эмфизему средостения;
- абсцесс, эмпиему средостения;
- аневризму аорты
- воспалительные процессы;
- болезни сосудов и тромбоэмболию.
Запишитесь на КТ органов средостения по удобному адресу
ЗаписатьсяСтанция метро
Площадь Восстания Проспект Просвещения Нарвская Рыбацкое Девяткино Гражданский проспект Академическая Политехническая Площадь Мужества Лесная Выборгская Площадь Ленина Чернышевская Владимирская Пушкинская Технологический институт Балтийская Кировский завод Автово Ленинский проспект Проспект Ветеранов Парнас Озерки Удельная Пионерская Чёрная речка Петроградская Горьковская Невский проспект Сенная площадь Фрунзенская Московские ворота Электросила Парк Победы Московская Звёздная Купчино Беговая Зенит Приморская Василеостровская Гостиный двор Маяковская Площадь Александра Невского Елизаровская Ломоносовская Пролетарская Обухово Спасская Достоевская Лиговский проспект Площадь Александра Невского Новочеркасская Ладожская Проспект Большевиков Улица Дыбенко Комендантский проспект Старая Деревня Крестовский остров Чкаловская Спортивная Адмиралтейская Садовая Звенигородская Обводный канал Волковская Бухарестская Международная Проспект Славы Дунайская Шушары Богатырская Каменка Театральная Горный институт Путиловская Юго-Западная Кудрово Шуваловский проспект Каретная Боровая Заставская БроневаяРайон
Центральный Выборгский Кировский Адмиралтейски Василеостровский Калининский Колпинский Красногвардейский Красносельски Кронштадтский Курортный Московский Невский Петроградский Петродворцовый Приморский Пушкинский ФрунзенскийГород
Санкт-Петербург Бокситогорск Бугры Волосово Волхов Всеволожск Выборг Высоцк Гатчина Ивангород Каменногорск Кингисепп Кириши Кировск Колтуши Коммунар Кудрово Лодейное Поле Луга Любань Мурино Никольское Новая Ладога Отрадное Пикалёво Подпорожье Приморск Приозерск Светогорск Сертолово Сланцы Сосновый Бор Сясьстрой Тельмана Тихвин Тосно ШлиссельбургЦены
Услуги, соответствующие запросу, не найдены.
Адреса диагностических центров "Доступная Медицина"
Преимущества наших диагностических центров
Доступные цены
Приемлемые цены
на все услуги
Качественный сервис
Контроль качества
оказываемых услуг
Лучшие специалисты
Высококвалифицированные врачи
Новейшее оборудование
Современные томографы с высочайшим качеством визуализации
Близость к метро
Мы находимся в непосредственной близости от метро и остановок общественного транспорта
Наше оборудование
КТ-СПЕЦИАЛИСТЫ
Лицензии
Современные томографы с высочайшим качеством визуализации
Статьи наших врачей