МРТ забрюшинного пространства в СПБ
- Длительность выполнения 40 минут
- Срок получения результата В течение дня
- Ограничения по весу 120 кг
- Ограничения по возрасту От 15 лет
- Введение контраста Нет
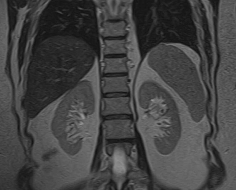
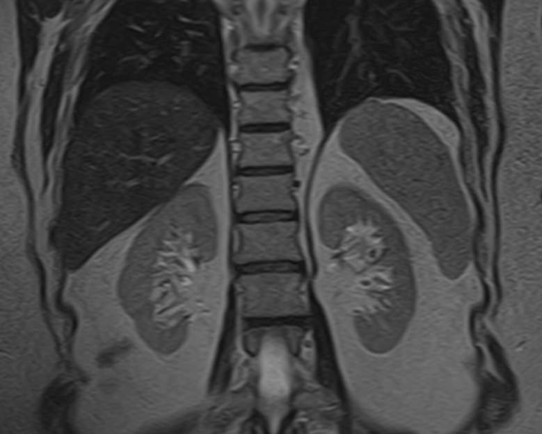
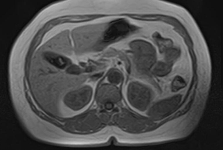
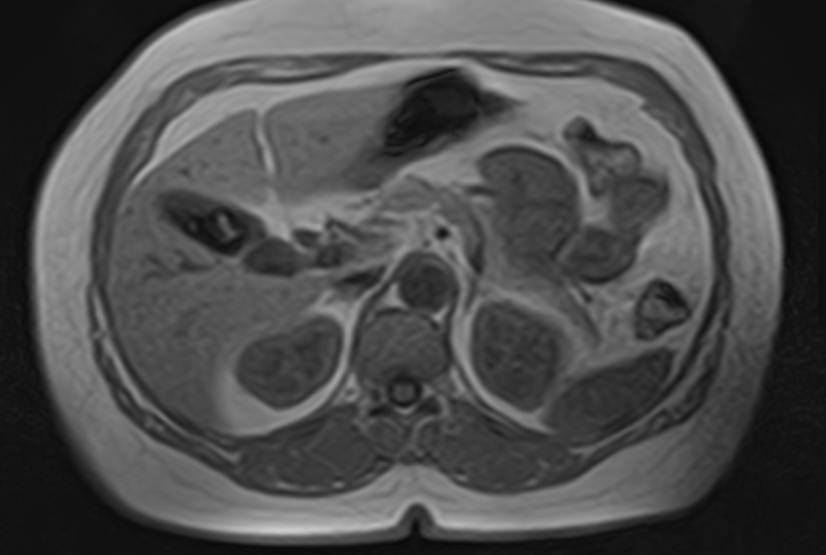
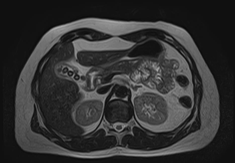
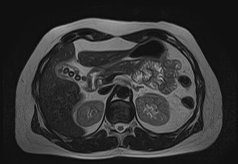
МРТ забрюшинного пространства является наиболее информативным, безопасным и доступным методом исследования, который позволяет оценить состояние органов, расположенных в данной анатомической зоне (почки, надпочечники, мочеточники), выявить возможные патологические процессы.
В клинике «Доступная медицина» установлен новейший высокопольный томограф экспертного уровня TOSHIBA VANTAGE TITAN 1,5 Тесла, на котором выполняется обследование органов забрюшинного пространства. За счет высокой индукции магнитного поля аппарат при сканировании создает изображения на плоскости превосходной четкости, затем с помощью компьютерных приложений данные преобразуются в изображения трехмерного формата, что обеспечивает точность и достоверность диагностики.
Стандартная МРТ проводится без использования контрастных веществ. В ряде случаев исследование проводится с внутривенным введением контраста, содержащего соли гадолиния (Омнискан, Магневист и др). Контрастное вещество попадает в кровоток и при сканировании МР-томографом измененные участки становятся лучше видимыми, что способствует выявлению, в первую очередь, опухолевых новообразований.
- Какие органы входят в МРТ забрюшинного пространства?
- Как подготовиться к МРТ забрюшинного пространства
- В каких случаях МРТ забрюшинного пространства противопоказано
- Показания к МРТ забрюшинного пространства
Какие органы входят в МРТ забрюшинного пространства?
МРТ брюшного и забрюшинного пространства направлено на определение состояния нескольких органов, по результатам диагностики визуализируют:
- Почки. С помощью магнитно-резонансной томографии удается диагностировать структурные изменения. Аномалии развития, воспалительные процессы, изменение нормального расположения в забрюшинном пространстве.
- Лимфатические узлы. Что особенно важно при первичном обследовании на онкологию, выявлении метастаза злокачественной опухоли.
- Надпочечники. Парный орган эндокринной системы. Из-за особенностей анатомии, строения, трудно визуализируются прочими способами. МРТ позволяет получить детальную картину изменений надпочечников.
- Аорта и нижняя полая вена. В рамках диагностики структурных патологий.
- Мочеточники. Часть мочевыделительного тракта. Из-за малого диаметра и особенностей строения, визуализируются с трудом. Томография — основной способ диагностики патологических процессов.
- Двенадцатиперстная кишка (частично). При параллельном обследовании органов брюшной полости картина становится более полной и понятной.
- В районе брюшной полости и забрюшинного пространства располагаются ответвления крупных сосудов.
Как подготовиться к МРТ забрюшинного пространства
Чтобы получить качественные результаты необходимо заранее подготовиться к исследованию.
За три дня до исследования мы рекомендуем исключить из рациона пищу, повышающую газообразование (сладкое, мучное, жирное, бобовые, газированные напитки, капусту) и принимать «Эспумизан» по 2 капсулы 3 раза в день (если есть проблемы с газообразованием!). В день исследования «Эспумизан» принимать не нужно.
За 3-4 часа до исследования необходимо отказаться от приема пищи.
За 30-40 минут до исследования необходимо выпить 2 таблетки «Но-шпы» для снижения перистальтики кишечника.
Необходимо принести с собой медицинскую документацию, относящуюся к зоне исследования:
- направление от лечащего врача;
- выписки из амбулаторных карт и стационаров;
- результаты предыдущих исследований (МР-снимки, СD/DVD диски, снимки КТ).
Перед началом процедуры необходимо снять с себя все металлические предметы, включая украшения, пирсинг, а также одежду с металлическими элементами. Также следует убрать все электронные устройства: смартфоны, часы, планшеты, слуховые аппараты.
При наличии немагнитных пластин или протезов, изготовленных из пара- и диамагнетиков (например, титан, алюминий), необходимо предупредить об этом врача-рентгенолога и предоставить справку из учреждения, в котором они были установлены. Кроме материала еще учитывается расположение изделия по отношению к исследуемой области. Если зона сканирования находится вблизи имплантата, это может вызвать искажение результата. В каждом конкретном случае врач определит возможность проведения исследования или предложит другой способ визуализации.
Если планируется применение контраста пациенту с подозрением на почечную недостаточность, необходимо выполнить исследование уровня креатинина крови не позднее, чем за 14 дней до проведения МРТ. Так как контраст выводится из организма не менее, чем за сутки, кормящим матерям следует прервать грудное вскармливание после исследования на 24-48 часов, молоко после сцеживания выливать.
При проведении обследования необходимо сохранять неподвижность для получения качественных изображений исследуемой области. Томограф издает шум во время своей работы, поэтому для уменьшения дискомфорта пациенту надевают наушники. С медперсоналом можно общаться через переговорное устройство. Для вызова медработника есть специальная сигнальная груша.
В каких случаях МРТ забрюшинного пространства противопоказано
- Противопоказанием является наличие в теле имплантированных электронных устройств (кардиостимуляторов, нейростимуляторов, имплантатов внутреннего уха, инсулиновых помп).
- Наличие протезов или медицинских конструкций, изготовленных из ферромагнитных материалов, например, металлоконструкций после остеосинтеза, спиц, штифтов, винтов, сосудистых скоб, клипс, искусственных клапанов сердца (кроме изготовленных из биополимеров).
- Имеющиеся металлические инородные предметы в теле являются противопоказанием для МРТ (это может быть металлическая стружка, осколки, пули, неснимаемый пирсинг), также татуировки с использованием металлизированных красок.
- Невозможно выполнить МРТ пациентам с массой тела свыше 120 кг (ограничение по весу подвижного стола томографа).
- Беременность в первом триместре (до 13 недель).
- Аллергия на контрастное вещество, нарушение функции почек (если планируется введение контраста).
- Введение контраста противопоказано на любом сроке беременности.
- Боязнь закрытых пространств (клаустрофобия).
Показания к МРТ забрюшинного пространства
МРТ забрюшинного пространства назначается в качестве первичной меры диагностики или же в спорных случаях, чтобы поставить точку в вопросе и выставить верный диагноз.
Среди показаний к медицинской процедуре, выступают подозрительные симптомы, спорные результаты прочих исследований (УЗИ и пр.). Также догадки и гипотезы врача. Специалист может направить пациента на МРТ по собственному разумению, если присутствуют сомнения насчет диагноза. Основания для обследования:
- Болевые ощущения в брюшной полости справа или слева. Особенно, если они возникают внезапно или продолжаются длительное время, регулярно дают о себе знать.
- Тошнота, рвота.
- Расстройства пищеварения. Есть вероятность, что изменения есть в желудке и/или кишечнике. МРТ позволяет поставить диагноз или же направляет врача.
- Нарушения мочеиспускания. Задержка, болезненность в процессе и после него, изменение оттенка урины, слишком обильное или скудное количество мочи в сутки.
- Проведение МРТ показано при вероятных кровотечениях в области брюшины и забрюшинного пространства.
- список показаний входят травмы и повреждения мягких тканей, органов. В таком случае исследование проводится экстренно. Времени мало.
- Подозрения на онкологию различной локализации. Злокачественные или доброкачественные опухоли. Точку в вопросе призвана поставить биопсия с дальнейшей гистологией образца в лаборатории. Чтобы получить больше информации, врачи назначают МРТ с контрастным усилением.
- Предоперационная подготовка. Чтобы определиться с масштабами вмешательства, спланировать хирургическое лечение, разработать доступ к пораженной области.
- Изучение результатов проведенного лечения. Как оперативного, так и консервативного. Как вариант — когда проведено удаление опухоли (тотальное или субтотальное, в части). МРТ в подобных случаях позволяет выявить рецидив на самой ранней стадии. Наличие данных на снимках за повторный рост — основание продолжать специфическое лечение. МРТ назначается как мера изучения динамики, вторичной профилактики онкологии. Проводится 1 раз в 3-6-12 месяцев. По усмотрению врача.
Полученные по итогам изображения позволяют выявить все возможные структурные патологии на ранней стадии. Это плюс, поскольку многие расстройства эффективно корректируются только на начальном этапе.
Запишитесь на МРТ забрюшинного пространства по удобному адресу
ЗаписатьсяСтанция метро
Площадь Восстания Нарвская Проспект Просвещения Рыбацкое Девяткино Гражданский проспект Академическая Политехническая Площадь Мужества Лесная Выборгская Площадь Ленина Чернышевская Владимирская Пушкинская Технологический институт Балтийская Кировский завод Автово Ленинский проспект Проспект Ветеранов Парнас Озерки Удельная Пионерская Чёрная речка Петроградская Горьковская Невский проспект Сенная площадь Фрунзенская Московские ворота Электросила Парк Победы Московская Звёздная Купчино Беговая Зенит Приморская Василеостровская Гостиный двор Маяковская Площадь Александра Невского Елизаровская Ломоносовская Пролетарская Обухово Спасская Достоевская Лиговский проспект Площадь Александра Невского Новочеркасская Ладожская Проспект Большевиков Улица Дыбенко Комендантский проспект Старая Деревня Крестовский остров Чкаловская Спортивная Адмиралтейская Садовая Звенигородская Обводный канал Волковская Бухарестская Международная Проспект Славы Дунайская Шушары Богатырская Каменка Театральная Горный институт Путиловская Юго-Западная Кудрово Шуваловский проспект Каретная Боровая Заставская БроневаяРайон
Центральный Кировский Выборгский Невский Адмиралтейский Василеостровский Калининский Колпинский Красногвардейский Красносельский Кронштадтский Курортный Московский Петроградский Петродворцовый Приморский Пушкинский ФрунзенскийГород
Санкт-Петербург Бокситогорск Бугры Волосово Волхов Всеволожск Выборг Высоцк Гатчина Ивангород Каменногорск Кингисепп Кириши Кировск Колтуши Коммунар Кудрово Лодейное Поле Луга Любань Мурино Никольское Новая Ладога Отрадное Пикалёво Подпорожье Приморск Приозерск Светогорск Сертолово Сланцы Сосновый Бор Сясьстрой Тельмана Тихвин Тосно ШлиссельбургЦены
Услуги, соответствующие запросу, не найдены.
Адреса диагностических центров "Доступная Медицина"
Преимущества наших диагностических центров
Доступные цены
Приемлемые цены
на все услуги
Качественный сервис
Контроль качества
оказываемых услуг
Лучшие специалисты
Высококвалифицированные врачи
Новейшее оборудование
Современные томографы с высочайшим качеством визуализации
Близость к метро
Мы находимся в непосредственной близости от метро и остановок общественного транспорта
Наше оборудование
МРТ-специалисты
Лицензии
Современные томографы с высочайшим качеством визуализации
Статьи наших врачей