Назад КТ брюшной полости и забрюшинного пространства с контрастом в СПБ

Цена:
от 6 400 руб
Записаться
  • Введение контраста Да
  • Длительность выполнения 20 минут
  • Ограничения по весу 120 кг
  • Ограничения по возрасту От 15 лет
  • Срок получения результата В течение 24 часов
Описание

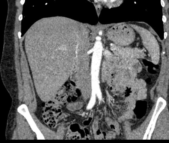
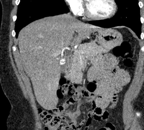
Мультиспиральная компьютерная томография (МСКТ) брюшной полости и забрюшинного пространства относится к современным лучевым методам исследования, с помощью которого можно оценить состояние органов брюшной полости (печени, желчного пузыря, поджелудочной железы, селезенки), забрюшинного пространства с расположенными в нем почками, надпочечниками, мочеточниками и прилегающих к ним кровеносных сосудов и лимфатических узлов. 

С помощью мультиспиральной компьютерной томографии проводятся послойные рентгеновские снимки исследуемой области с толщиной среза от 0,5 мм. Затем полученные данные преобразуются в цифровые трехмерные модели органов и систем в мельчайших подробностях. 

При подозрении на опухоли, воспалительные процессы, гнойные очаги назначается КТ брюшной полости и забрюшинного пространства с внутривенным болюсным контрастированием. Для этого пациенту внутривенно вводится рентгеноконтрастное вещество на основе йода. Благодаря усиленному кровоснабжению, которое обычно наблюдается в патологических очагах, препарат накапливается в структуре патологических образований и помогает врачу-рентгенологу выявить изменения внутренних органов. 

Метод контрастирования помогает максимально точно выявить очаг патологии уже на начальной стадии, а также установить его локализацию, точные размеры, форму и особенности кровоснабжения. Возможности мультиспиральной компьютерной томографии позволяют выполнить своевременную диагностику заболеваний внутренних органов, от чего напрямую зависит эффективность лечения. 

В нашей клинике исследование выполняется на компьютерных томографах экспертного класса TOSHIBA AQUILION, которые оснащены детекторами, позволяющими получать за несколько секунд снимки брюшной полости и забрюшинного пространства с высокой точностью. Большое количество детекторов позволяет получить точные данные, при этом сократить время исследования и сделать минимальной лучевую нагрузку на пациента. Кроме того, инновационные технологии аппарата дают возможность сформировать объемную модель органа и окружающих структур, что также способствует проведению точной и достоверной диагностики.

Показания к КТ брюшной полости и забрюшинного пространства с контрастированием

Свернуть/развернуть
  • подозрение на наличие новообразований как злокачественных так и доброкачественных;
  • заболевания кровеносной системы;
  • не проходящие боли неясного происхождения;
  • контроль динамики в процессе лечения;
  • диагностика перед хирургическим вмешательством.
  • воспалительные изменения (панкреатит, пиелонефрит и пр)
  • варианты строения, аномалии (подковообразная почка и пр)
  • сосудистые нарушения: атеросклероз, тромбоз  и артерий вен.
  • травмы

Подготовка к КТ брюшной полости и забрюшинного пространства

Свернуть/развернуть

Чтобы получить качественные и достоверные результаты, необходимо заранее подготовиться к данному исследованию. 

Газы в кишечнике могут давать артефакты на полученных изображениях. Поэтому за 2-3 дня до исследования рекомендуется исключить из рациона пищу, повышающую газообразование (сладкое, мучное, жирное, бобовые, газированные напитки, капусту) и принимать «Эспумизан» по 2 капсулы 3 раза в день (если есть проблемы с газообразованием!). В день исследования «Эспумизан» принимать не нужно. 

За 3-4 часа до исследования следует отказаться от приема пищи.

Желательно принести с собой медицинскую документацию, относящуюся к зоне исследования:

  • направление от лечащего врача;
  • выписки из амбулаторных карт и стационаров;
  • результаты предыдущих исследований (МР-снимки, CD/DVD диски, снимки КТ, результаты УЗИ) брюшной полости и забрюшинного пространства.

Если запланировано применение контраста, то необходимо предоставить анализ крови с контролем уровня креатинина давностью не более, чем 14 дней с момента сдачи биоматериала.

Для введения контраста в локтевую вену предварительно устанавливается венозный катетер. В определенный момент во время исследования контраст вводится в вену при помощи дозирующего устройства. Поступление контраста в кровоток может сопровождаться в течение нескольких минут ощущением теплоты во всем теле, появлением неприятного привкуса во рту, в дальнейшем этот дискомфорт полностью исчезает. 

После окончания процедуры контраст выводится из организма в течение суток. Поэтому, если пациентка является кормящей мамой, то в течение следующих 24-48 часов после исследования нельзя прикладывать ребенка к груди, молоко при этом нужно сцеживать и выливать.

Пациент ложится спиной на подвижную кушетку томографа. В течение всего периода исследования необходимо не двигаться для получения качественных результатов. 

Врач и рентгенолаборант находятся в соседнем помещении за стеклянной перегородкой. В аппарат вмонтировано переговорное устройство для связи с врачом. Кроме того, вызвать персонал можно, нажав на специальное сигнальное устройство.

Противопоказания для проведения КТ брюшной полости и забрюшинного пространства с контрастом

Свернуть/развернуть

Компьютерная томография не проводится во время беременности на любом сроке, так как рентгеновское излучение, которое предусмотрено методикой КТ, оказывает вредное воздействие на плод.

Также в наших центрах невозможно выполнить КТ пациентам с массой тела, превышающей 120 кг (подвижные части томографов имеют ограничения по весу).

Противопоказания для введения йодсодержащих контрастных препаратов:

  • наличие в анамнезе аллергических реакций на йодсодержащие контрастные препараты; 
  • имеющиеся заболевания почек с выраженным снижением функции почек;
  • при застойной сердечной недостаточности;
  • при некоторых заболеваниях щитовидной железы (гипертиреоз, тиреотоксикоз);
  • в случае тяжелого течения бронхиальной астмы;
  • при декомпенсированном сахарном диабете.

При наличии противопоказаний для проведения компьютерной томографии с контрастом в нашей клиники можно провести МРТ брюшной полости и забрюшинного пространства на новейшем магнитно-резонансном томографе экспертного класса. 

Что показывает КТ брюшной полости и забрюшинного пространства с контрастированием

Свернуть/развернуть

Прямым показанием к исследованию является:

  • подозрение на опухоль как доброкачественную так и злокачественную
  • гепатоз
  • желчно-каменная болезнь с наличием желчной гипертензии.
  • поражение сосудов: атеросклероз, тромбоз артерий и вен.
  • варианты и аномалии развития 
  • воспалительные изменения (панкреатит, холецистит и пр)
  • определение состояния жидкостных компонентов и мягких тканей (абсцесс ,псевдокиста и пр,). 
  • травматические изменения (подкапсульная гематома селезенки, разрыв стенки сосуда и пр)
  • метастазы
  • лимфаденопатию

Запишитесь на КТ брюшной полости и забрюшинного пространства с контрастом по удобному адресу

Записаться
Фильтр по услугам КТ с контрастом

Введение контраста

С контрастом Без контраста

Станция метро

Площадь Восстания Проспект Просвещения Нарвская Рыбацкое Девяткино Гражданский проспект Академическая Политехническая Площадь Мужества Лесная Выборгская Площадь Ленина Чернышевская Владимирская Пушкинская Технологический институт Балтийская Кировский завод Автово Ленинский проспект Проспект Ветеранов Парнас Озерки Удельная Пионерская Чёрная речка Петроградская Горьковская Невский проспект Сенная площадь Фрунзенская Московские ворота Электросила Парк Победы Московская Звёздная Купчино Беговая Зенит Приморская Василеостровская Гостиный двор Маяковская Площадь Александра Невского Елизаровская Ломоносовская Пролетарская Обухово Спасская Достоевская Лиговский проспект Площадь Александра Невского Новочеркасская Ладожская Проспект Большевиков Улица Дыбенко Комендантский проспект Старая Деревня Крестовский остров Чкаловская Спортивная Адмиралтейская Садовая Звенигородская Обводный канал Волковская Бухарестская Международная Проспект Славы Дунайская Шушары Богатырская Каменка Театральная Горный институт Путиловская Юго-Западная Кудрово Шуваловский проспект Каретная Боровая Заставская Броневая

Возраст пациента

Взрослому Ребенку от 15 лет

Пол пациента

Мужчине Женщине

Программы страхования

ДМС Платно ОМС

Цены

Услуги, соответствующие запросу, не найдены.

КТ головного мозга с контрастом
руб
От 6 400 руб
КТ околоносовых пазух с контрастом
руб
От 6 400 руб
КТ орбит с контрастом
руб
От 6 400 руб
КТ носоглотки с контрастом
руб
От 6 400 руб
КТ щитовидной железы с контрастом
руб
От 6 400 руб
КТ лимфатических узлов с контрастом
руб
От 6 400 руб
КТ гортани с контрастом
руб
От 6 400 руб
КТ шеи с контрастом
руб
От 6 600 руб
КТ легких с контрастом
руб
От 6 400 руб
КТ почек с контрастом
руб
От 6 400 руб
КТ печени с контрастом
руб
От 6 400 руб
КТ селезенки с контрастом
руб
От 6 400 руб
КТ поджелудочной железы с контрастом
руб
От 6 400 руб
КТ надпочечников с контрастом
руб
От 6 400 руб
КТ мочевого пузыря с контрастом
руб
От 6 400 руб
КТ одной анатомической зоны с контрастом
руб
От 6 400 руб
КТ брюшной полости и забрюшинного пространства с контрастом
руб
От 6 400 руб
КТ таза с контрастом
руб
От 6 400 руб
КТ верхней конечности с контрастом
руб
От 6 400 руб
КТ нижних конечностей с контрастом
руб
От 7 500 руб
от бифуркации аорты до коленного сустава
руб
От 7 500 руб
от бифуркации аорты до стопы
руб
От 9 500 руб
Контраст 100 мл (до 100 кг)
руб
3 500 руб
Контраст 150 мл (от 100 кг до 120 кг)
руб
4 500 руб

Адреса диагностических центров "Доступная Медицина"

Преимущества наших диагностических центров

Доступные цены

Приемлемые цены
на все услуги

Качественный сервис

Контроль качества
оказываемых услуг

Лучшие специалисты

Высококвалифицированные врачи

Новейшее оборудование

Современные томографы с высочайшим качеством визуализации

Близость к метро

Мы находимся в непосредственной близости от метро и остановок общественного транспорта

Лицензии

Современные томографы с высочайшим качеством визуализации

Назад
Вперед
Ключникова Екатерина Игоревна
Информация проверена главным врачом клиники Domedica24
Ключникова Екатерина Игоревна
Стаж более 8 лет, главный врач, врач-рентгенолог 1 категории
Площадь Стачек, 9">
ул. 1-я Советская, 8">