КТ забрюшинного пространства в СПБ
- Введение контраста Нет
- Длительность выполнения 10 минут
- Ограничения по весу 120 кг
- Ограничения по возрасту От 15 лет
- Срок получения результата В течение дня
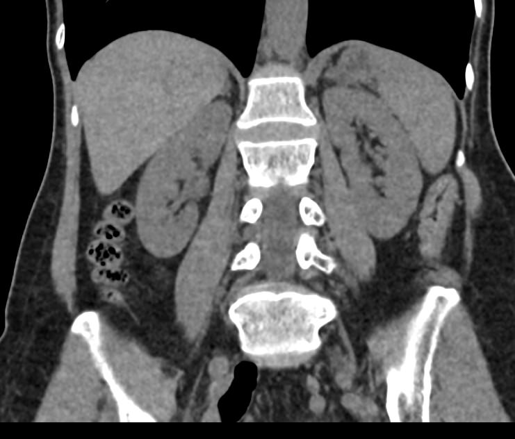
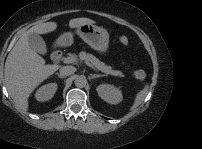
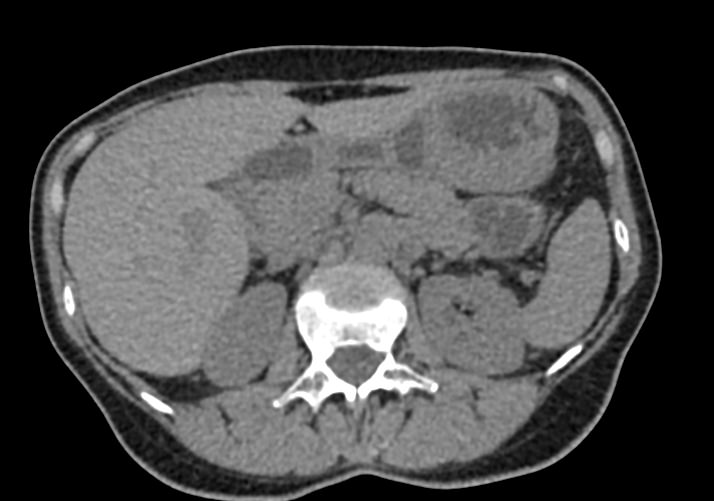
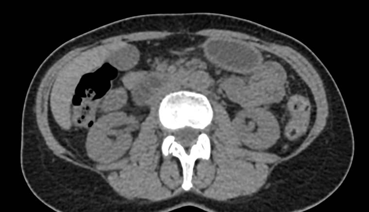
При помощи мультиспиральной компьютерной томографии забрюшинного пространства оценивается состояние почек, надпочечников, мочеточников, лимфатических узлов и кровеносных сосудов, расположенных забрюшинно. На снимках КТ можно увидеть форму, структуру, анатомические особенности органов и тканей забрюшинного пространства, выявить различные патологические изменения, включая аномалии развития, воспалительные изменения, опухолевые образования, травматические повреждения.
Мультиспиральная компьютерная томография назначается при подготовке к экстренным или плановым оперативным вмешательствам, для контроля эффективности проведенной операции и оценки успешности лекарственной терапии.
В клинике «Доступная медицина» исследование выполняется на современном 128-срезовом томографе TOSHIBA AQUILION CXL экспертного класса, который выполняет послойно рентгеновские снимки в различных плоскостях, а затем с помощью компьютерных приложений преобразует полученные данные в трехмерные модели исследуемых органов. Большое количество детекторов (128), которыми оснащен аппарат, позволяет максимально сократить время исследования и, соответственно, значительно снизить рентгеновскую нагрузку на пациента.
В случае подозрения на онкологический процесс, для дифференциальной диагностики доброкачественных и злокачественных опухолей дополнительно показано внутривенное введение йодсодержащего рентгеноконтрастного препарата. Контрастный препарат увеличивает различия в поглощении рентгеновских лучей органами и тканями, тем самым увеличивая контрастность изображений. Это дает возможность детально изучить самые мелкие структуры и выявить онкологический процесс на ранних стадиях.
- Показания к проведению компьютерной томографии забрюшинного пространства
- Что покажет КТ забрюшинного пространства
- Подготовка к КТ забрюшинного пространства
- Противопоказания к проведению забрюшинного пространства
Показания к проведению компьютерной томографии забрюшинного пространства
Симптоматика, при которой рекомендовано проведение такого сканирования:
- болевые синдромы в животе;
- подозрения на воспалительные процессы мочевыделительной системы;
- подозрения на злокачественные или доброкачественные новообразования в забрюшинном пространстве;
- предоперационный период;
- оценка объемов предстоящего хирургического вмешательства;
- контроль качества выполненной терапии;
- наблюдение за опухолями забрюшинного пространства в динамике;
- измененный гормональный фон;
- резкое изменение веса тела;
- подозрения на врожденные аномалии органов забрюшинного пространства;
- беспричинная лихорадка, повышенная утомляемость, нестабильное настроение;
- наличие в анамнезе острых и хронических аутоиммунных заболеваний органов брюшной полости и забрюшинного пространства.
Что покажет КТ забрюшинного пространства
КТ забрюшинного пространства — информативный, высокоточный диагностический метод. Он помогает выявлять и контролировать широкий спектр хронических и острых патологических состояний органов забрюшинного пространства.
Компьютерное сканирование этой области показывает:
- злокачественные и доброкачественные новообразования забрюшинного пространства (опухоли почек, мочеточников, надпочечников);
- камни в органах забрюшинного пространства;
- кровоизлияния и последствия травм;
- аномалии развития органов;
- инфекционные и воспалительные процессы;
- абсцессы, кисты;
- дисфункциональные нарушения органов забрюшинного пространства;
- инородные тела;
- состояние лимфатических узлов забрюшинного пространства.
Подготовка к КТ забрюшинного пространства
Специальной подготовки к данной разновидности рентгенологических исследований не существует. Пациенту лишь необходимо полностью отказаться от еды за 2-3 часа до начала проведения КТ органов забрюшинного пространства. При сахарном диабете возможно употребление небольшого количества пищи.
При проведении этой разновидности компьютерной томографии с контрастированием пациенты должны пройти тест на креатинин крови. Анализ может быть выполнен в лаборатории наших центров не позднее, чем за 14 суток до даты исследования.
Пациенту важно иметь с собою документы, касающиеся его заболевания. В перечень такой документации входят:
- направление врача;
- снимки, СD и/или DVD диски предыдущих КТ-исследований;
- выписка из истории болезни или амбулаторной карты;
- описания результатов предыдущих КТ- исследований;
- заключения специалистов.
Спешим предупредить пациентов, которым накануне проводилось рентгенологическое исследование органов брюшной полости с применением бариевой взвеси о возможном появлении на послойных КТ-снимках артефактов (визуально затрудняющие оценку органов изображения). К сожалению,это вещество обладает таким некорректируемым эффектом.
Пациенты, страдающие сахарным диабетом, желающие сделать такое исследование с контрастом, должны прекратить на 48 часов до и после исследования прием препаратов Метформин, Глюкофаж.
Противопоказания к проведению забрюшинного пространства
Существует ряд противопоказаний, при которых проведение компьютерного сканирования забрюшинного пространства с контрастом запрещено. Абсолютными запретами являются:
- беременность;
- аллергические реакции на йод (в качестве контрастирующего вещества при КТ забрюшинного пространства используются содержащие это вещество препараты).
Относительными запретами к проведению такой диагностической процедуры считаются:
- острые воспалительные процессы, особенно сопровождающиеся выраженным болевым синдромом;
- тяжелые формы сахарного диабета, астмы, почечной, печеночной, сердечной недостаточности;
В петербургских диагностических центрах «Доступная медицина» такое исследование на томографе не проводится в следующих случаях:
- клаустрофобия (боязнь замкнутых пространств);
- психические расстройства с нарушениями моторики (невозможность контролировать свое тело);
- вес пациента более 120 кг (физические ограничения столов томографов).
При кормлении грудью данное исследование с контрастированием может быть проведено при отказе на 24-48 часов после диагностической процедуры от вскармливания. Молоко нужно будет сцеживать и утилизировать, сделав его предварительный запас на двое суток.
При наличии у пациента противопоказаний для выполнения компьютерной томографии в нашей клинике можно провести МРТ забрюшинного пространства на новейшем магнитно-резонансном томографе экспертного уровня.
Узнать о нюансах процедуры, включая сроки подготовки описания, вы можете по телефону справочной службы центров: +7(812) 380-83-84с 9:00 до 22:00.
Запишитесь на КТ забрюшинного пространства по удобному адресу
ЗаписатьсяСтанция метро
Площадь Восстания Проспект Просвещения Нарвская Рыбацкое Девяткино Гражданский проспект Академическая Политехническая Площадь Мужества Лесная Выборгская Площадь Ленина Чернышевская Владимирская Пушкинская Технологический институт Балтийская Кировский завод Автово Ленинский проспект Проспект Ветеранов Парнас Озерки Удельная Пионерская Чёрная речка Петроградская Горьковская Невский проспект Сенная площадь Фрунзенская Московские ворота Электросила Парк Победы Московская Звёздная Купчино Беговая Зенит Приморская Василеостровская Гостиный двор Маяковская Площадь Александра Невского Елизаровская Ломоносовская Пролетарская Обухово Спасская Достоевская Лиговский проспект Площадь Александра Невского Новочеркасская Ладожская Проспект Большевиков Улица Дыбенко Комендантский проспект Старая Деревня Крестовский остров Чкаловская Спортивная Адмиралтейская Садовая Звенигородская Обводный канал Волковская Бухарестская Международная Проспект Славы Дунайская Шушары Богатырская Каменка Театральная Горный институт Путиловская Юго-Западная Кудрово Шуваловский проспект Каретная Боровая Заставская БроневаяРайон
Центральный Выборгский Кировский Адмиралтейски Василеостровский Калининский Колпинский Красногвардейский Красносельски Кронштадтский Курортный Московский Невский Петроградский Петродворцовый Приморский Пушкинский ФрунзенскийГород
Санкт-Петербург Бокситогорск Бугры Волосово Волхов Всеволожск Выборг Высоцк Гатчина Ивангород Каменногорск Кингисепп Кириши Кировск Колтуши Коммунар Кудрово Лодейное Поле Луга Любань Мурино Никольское Новая Ладога Отрадное Пикалёво Подпорожье Приморск Приозерск Светогорск Сертолово Сланцы Сосновый Бор Сясьстрой Тельмана Тихвин Тосно ШлиссельбургЦены
Услуги, соответствующие запросу, не найдены.
Адреса диагностических центров "Доступная Медицина"
Преимущества наших диагностических центров
Доступные цены
Приемлемые цены
на все услуги
Качественный сервис
Контроль качества
оказываемых услуг
Лучшие специалисты
Высококвалифицированные врачи
Новейшее оборудование
Современные томографы с высочайшим качеством визуализации
Близость к метро
Мы находимся в непосредственной близости от метро и остановок общественного транспорта
Наше оборудование
КТ-СПЕЦИАЛИСТЫ
Лицензии
Современные томографы с высочайшим качеством визуализации
Статьи наших врачей