Назад Рентген придаточных пазух носа в СПб

Цена:
1 400 руб
Записаться
  • Длительность выполнения 15 минут
Воспроизвести
Описание

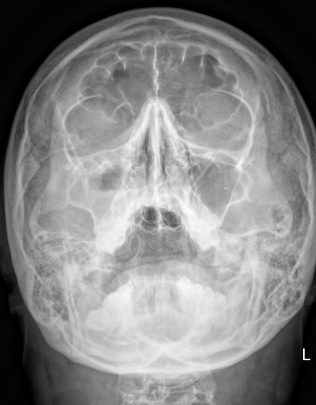
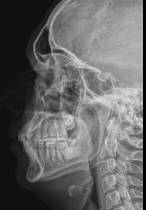
Придаточные или околоносовые пазухи носа ― это система воздухоносных полостей, располагающихся в костях черепа. Пазухи или синусы увлажняют и согревают вдыхаемый воздух, участвуют в формировании голоса, делают кости лица более легкими и смягчают силу удара при травме. К пазухам относятся:

  • Гайморовы или верхнечелюстные ― расположены в верхней челюсти;
  • Лобные ― в области лба над орбитами; 
  • Решетчатые ― позади носовых ходов  между орбитами;
  • Клиновидные ― в глубине, за решетчатыми.

Не всегда патологии синусов протекают с ярко выраженными симптомами, но даже малейшие изменения отчетливо видны на рентгеновском снимке. Поэтому рентгенография ― первый и, часто, окончательный метод обследования. Современные рентгеновские аппараты, по сравнению с оборудованием предыдущего поколения, не несет такой мощной лучевой нагрузки. И позволяет выполнять серию снимков как в начале лечения, так и в процессе подготовки к операции или для определения эффективности терапии.

Кому назначают рентген придаточных пазух носа

Свернуть/развернуть

О том, что в пазухах носа происходит воспалительный процесс, говорят следующие симптомы:

  • Заложенность носа, нарушение носового дыхания;
  • Давящая головная боль в области лба;
  • Светобоязнь, слезотечение;
  • Отек мягких тканей вокруг носа;
  • Обильные выделение из одной или обеих ноздрей;
  • Нарушение общего состояния, слабость, повышение температуры;
  • Воспаление развилось на фоне ОРВИ, переохлаждения.

Новообразования растут постепенно и вначале безболезненно, затем начинают проявлять себя давящими ощущениями, болью, выделениями и кровотечениями из носа. Общее состояние может быть не нарушено. При попадании инородных тех ребенок дышит ртом, может быть слезо- и слюнотечение.

Что покажет рентген придаточных пазух носа

Свернуть/развернуть
  • Носовая перегородка ― прямая, искривленная, утолщенная;
  • Носовые ходы ― свободны, сужены;
  • Контур слизистой внутри пазух ―слизистая  обычная, утолщенная, есть рубцевания;
  • Внутренние контуры ― четкие, расплывчатые;
  • Наличие воздуха ― пневматизация сохранена, снижена;
  • Жидкость ― в норме быть не должна, но если она есть, будет виден ее уровень;
  • Новообразования;
  • Инородные тела.

Правые и левые одноименные пазухи могут поражаться одновременно. Или одна быть здоровой, а другая иметь патологические изменения.

Подготовка к рентгену придаточных пазух носа

Свернуть/развернуть

Процедура не требует специфической подготовки. Однако необходимо снять с шеи и головы все металлические предметы: украшения, съемные медицинские гаджеты и предупредить о несъемных. Затем надеть защитный фартук. Далее надо сесть или встать возле пластины детектора и прижать к ней голову, как покажет рентгенолаборант: носом и лбом, носом и подбородком или только подбородком, это зависит от того, какие пазухи подлежат съемке. Так как пазухи парные, то есть расположены симметрично, голову нужно держать ровно, не поворачивая и не отклоняя вправо или влево. Если будет указано в направлении, выполняется несколько снимков в разных проекциях, чтобы были видны разные пазухи.  

Во время съемки по команде рентгенолога надо вдохнуть и не дышать, а также не шевелиться 1-2 секунды. Снимки можно получить на руки сразу, их описание ― в течение дня.

Противопоказания

Свернуть/развернуть

Данный вид диагностики противопоказан при беременности и в детском возрасте. Рентгенография допускается только в случае, если риск от недостаточной диагностики превышает предполагаемый вред излучения на растущий организм.

Запишитесь на Рентген придаточных пазух носа по удобному адресу

Записаться
Фильтр по услугам Рентген костно-суставной системы

Станция метро

Площадь Восстания Проспект Просвещения Нарвская Рыбацкое Девяткино Гражданский проспект Академическая Политехническая Площадь Мужества Лесная Выборгская Площадь Ленина Чернышевская Владимирская Пушкинская Технологический институт Балтийская Кировский завод Автово Ленинский проспект Проспект Ветеранов Парнас Озерки Удельная Пионерская Чёрная речка Петроградская Горьковская Невский проспект Сенная площадь Фрунзенская Московские ворота Электросила Парк Победы Московская Звёздная Купчино Беговая Зенит Приморская Василеостровская Гостиный двор Маяковская Площадь Александра Невского Елизаровская Ломоносовская Пролетарская Обухово Спасская Достоевская Лиговский проспект Площадь Александра Невского Новочеркасская Ладожская Проспект Большевиков Улица Дыбенко Комендантский проспект Старая Деревня Крестовский остров Чкаловская Спортивная Адмиралтейская Садовая Звенигородская Обводный канал Волковская Бухарестская Международная Проспект Славы Дунайская Шушары Богатырская Каменка Театральная Горный институт Путиловская Юго-Западная Кудрово Шуваловский проспект Каретная Боровая Заставская Броневая

Возраст пациента

Взрослому Ребенку от 15 лет

Пол пациента

Мужчине Женщине

Количество проекций

Одна Две

Введение контраста

С контрастом Без контраста

Цены

Услуги, соответствующие запросу, не найдены.

Рентген черепа (1 проекция)
руб
1 400 руб
Рентген черепа (2 проекции)
руб
1 900 руб
Рентген турецкого седла
руб
1 400 руб
Рентген придаточных пазух носа
руб
1 400 руб
Рентген придаточных пазух носа (2 проекции)
руб
1 900 руб
Рентген костей носа при искривлении носовой перегородки
руб
1 400 руб
Рентген нижней челюсти (2 проекции)
руб
1 900 руб
Рентген атланто-аксиального сочленения
руб
1 400 руб
Рентген шейного отдела позвоночника (2 проекции)
руб
1 900 руб
Функциональные исследования позвоночника (шейный отдел)
руб
3 200 руб
Рентген шейного отдела позвоночника с функциональными пробами + С1 позвонок
руб
3 600 руб
Рентген грудного отдела позвоночника (2 проекции)
руб
1 900 руб
Рентген поясничного-крестцового отдела позвоночника (2 проекции)
руб
1 900 руб
Функциональные исследования позвоночника (поясничный отдел)
руб
3 200 руб
Рентген крестцового отдела позвоночника и копчика (2 проекции)
руб
1 900 руб
Рентген крестцово-подвздошного сочленения (3 проекции)
руб
2 100 руб
Рентген копчика (2 проекции)
руб
1 900 руб
Рентген копчика с функциональными пробами
руб
2 600 руб
Рентген позвоночника при сколиозе в прямой проекции (стичинг)
руб
1 600 руб
Рентген позвоночника при нарушении статики в боковой проекции (стичинг)
руб
1 600 руб
Рентген позвоночника на кифосколиоз в прямой и боковой проекциях (стичинг)
руб
2 600 руб
Рентген ключицы (2 проекции)
руб
1 900 руб
Рентген обеих ключиц (1 проекция)
руб
2 100 руб
Рентген обеих ключиц (2 проекции)
руб
3 100 руб
Рентген ребер (прицельно)
руб
1 400 руб
Рентген лопатки (2 проекции)
руб
1 900 руб
Рентген обеих лопаток (2 проекции)
руб
3 100 руб
Рентген акромиально-ключичного сочленения (2 проекции)
руб
1 900 руб
Рентген обоих акромиально-ключичных сочленений (1 проекция)
руб
2 100 руб
Рентген обоих акромиально-ключичных сочленений (2 проекции)
руб
3 100 руб
Рентген грудино-ключичных сочленений
руб
1 400 руб
Рентген плечевого сустава (2 проекции) (Рентген плеча)
руб
1 900 руб
Рентген обоих плечевых суставов (2 проекции)
руб
3 100 руб
Рентген плечевой кости (2 проекции) (Рентген плеча)
руб
1 900 руб
Рентген локтевого сустава (2 проекции) (Рентген локтя)
руб
1 900 руб
Рентген предплечья (2 проекции) (Рентген локтевой и лучевой костей)
руб
1 900 руб
Рентген лучезапястного сустава (2 проекции)
руб
1 900 руб
Рентген пястно-запястных суставов
руб
1 400 руб
Рентген пястно-фаланговых суставов
руб
1 400 руб
Рентген межфалангового сустава (2 проекции) (прицельно)
руб
1 900 руб
Рентген кисти (2 проекции)
руб
1 900 руб
Рентген обеих кистей (1 проекция)
руб
2 100 руб
Рентген обеих кистей (2 проекции)
руб
3 100 руб
Рентген кистей для определения костного возраста
руб
2 100 руб
Рентген костей таза (Рентген подвздошной, лонной и седалищной костей)
руб
1 400 руб
Рентген тазобедренного сустава (2 проекции)
руб
1 900 руб
Рентген тазобедренных суставов (1 проекция)
руб
2 100 руб
Рентген тазобедренных суставов (2 проекции)
руб
3 100 руб
Рентген тазобедренных суставов в прямой проекции и по Лаунштейну
руб
2 600 руб
Рентген бедренной кости (2 проекции)
руб
1 900 руб
Рентген обеих бедренных костей (1 проекция)
руб
2 100 руб
Рентген обеих бедренных костей (2 проекции)
руб
3 100 руб
Рентген коленного сустава (2 проекции)
руб
1 900 руб
Рентген обоих коленных суставов (1 проекция)
руб
2 100 руб
Рентген обоих коленных суставов (2 проекции)
руб
3 100 руб
Рентген пателло-феморального сочленения с обеих сторон
руб
1 900 руб
Рентген костей голени (2 проекции) (Рентген большеберцовой и малоберцовой костей)
руб
1 900 руб
Рентген костей голени обеих ног (1 проекция)
руб
2 100 руб
Рентген костей голени обеих ног (2 проекции)
руб
3 100 руб
Рентген голеностопного сустава (2 проекции)
руб
1 900 руб
Рентген голеностопных суставов (1 проекция)
руб
2 100 руб
Рентген голеностопных суставов (2 проекции)
руб
3 100 руб
Рентген пяточных костей в боковой проекции
руб
1 400 руб
Рентген пяточных костей (2 проекции)
руб
1 900 руб
Рентген стоп в прямой проекции
руб
2 100 руб
Рентген стопы (2 проекции)
руб
1 900 руб
Рентген стоп в боковой проекции
руб
2 100 руб
Рентген стоп в двух проекциях (Рентген плюсне-фаланговых суставов, Рентген предплюсне-плюсневого сочленения)
руб
3 100 руб
Рентген одной стопы на продольное плоскостопие
руб
1 400 руб
Рентген одной стопы на поперечное плоскостопие
руб
1 400 руб
Рентген одной стопы на продольное и поперечное плоскостопие
руб
1 900 руб
Рентген обеих стоп на продольное плоскостопие
руб
2 100 руб
Рентген обеих стоп на поперечное плоскостопие
руб
2 100 руб
Рентген обеих стоп на продольное и поперечное плоскостопие (Рентген стоп на плоскостопие для военкомата, Рентген стоп на плоскостопие с полной статической нагрузкой)
руб
3 100 руб
Рентген ног (ститчинг)
руб
2 100 руб
Рентген ног (стичинг) 2 проекции/с функциональными пробами
руб
3 100 руб
Дополнительная проекция
руб
600 руб

Адреса диагностических центров "Доступная Медицина"

Преимущества наших диагностических центров

Доступные цены

Приемлемые цены
на все услуги

Качественный сервис

Контроль качества
оказываемых услуг

Лучшие специалисты

Высококвалифицированные врачи

Новейшее оборудование

Современные томографы с высочайшим качеством визуализации

Близость к метро

Мы находимся в непосредственной близости от метро и остановок общественного транспорта

Лицензии

Современные томографы с высочайшим качеством визуализации

Назад
Вперед
Ключникова Екатерина Игоревна
Информация проверена главным врачом клиники Domedica24
Ключникова Екатерина Игоревна
Стаж более 8 лет, главный врач, врач-рентгенолог 1 категории
Площадь Стачек, 9">
ул. 1-я Советская, 8">