Назад МРТ простаты с контрастом в СПБ

от
10 800
/
По акции в Рыбацком
9 400
руб
Записаться на прием
от 10 800 руб
По акции в Рыбацком
9 400 руб
Записаться
  • Срок получения результата В течение 24 часов
  • Ограничения по весу 120 кг
Описание

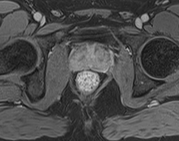
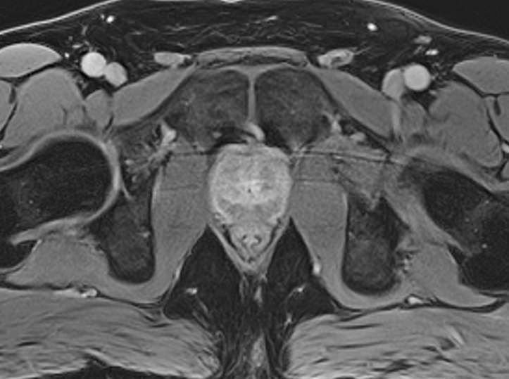
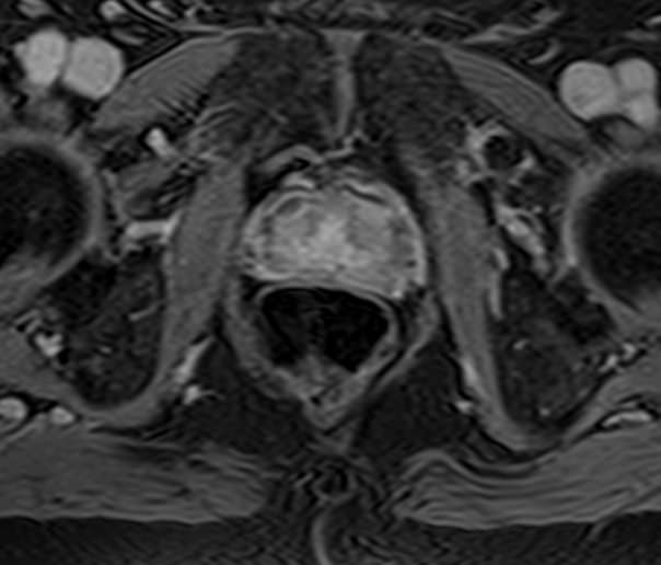
Предстательная железа является важным органом мужской половой системы, который обеспечивает полноценную репродуктивную функцию. Орган часто подвержен развитию воспалительных заболеваний. Кроме этого, наиболее распространенной патологией предстательной железы является ее доброкачественная гиперплазия и нередки случаи злокачественных новообразований простаты. 

Простата расположена в труднодоступной для диагностики анатомической области, однако метод магнитно-резонансной томографии позволяет детально изучить структуру органа и окружающих ее тканей, включая семенные пузырьки (секреторные органы, вырабатывающие жидкую часть семенной жидкости) и семявыносящие протоки. 

При подозрении на опухолевый процесс в предстательной железе в обязательном порядке проводится контрастное усиление. Это подразумевает внутривенное введение контраста, созданного на основе соединений металла гадолиния. Степень и характер накопления контрастного препарата в органах и тканях позволяет различать патологические процессы, в том числе диагностировать опухоли на ранних стадиях, что повышает шансы на успешное лечение.  

В клинике «Доступная медицина» диагностика заболеваний предстательной железы выполняется при помощи современного высокопольного магнитно-резонансного томографа экспертного уровня TOSHIBA VANTAGE TITAN 1,5 Тесла. Аппарат производит сканирование в виде послойных тончайших срезов с шагом от 1 мм и преобразует их при помощи инновационных компьютерных программ в изображения трехмерного формата. Методика позволяет получить максимально полную картину о состоянии структуры простаты и окружающих тканей и поставить точный диагноз.

Что может являться поводом для назначения МРТ простаты с контрастом

Свернуть/развернуть

МРТ простаты показана в следующих случаях:

  • если пациента беспокоят боли внизу живота, которые отдают в прямую кишку, область промежности;
  • ощущение дискомфорта или присутствия инородного тела в прямой кишке (при больших размерах опухоли простаты); 
  • боли в области гениталий, появление примеси крови, слизи, гноя в сперме, в моче;
  • дизурические расстройства (частое мочеиспускание в ночное время, затруднение в начале акта мочеиспускания, выделение мочи вялой струей, эпизоды задержки мочи, недержание мочи, в том числе, после операции на простате);
  • сексуальная дисфункция;
  • повышение уровня ПСА в крови (опухолевый маркер простаты); 
  • при подозрении на развитие первичной опухоли простаты или ее метастатического поражения по результатам других исследований (в частности, УЗИ, ТРУЗИ простаты);
  • при необходимости проведения биопсии простаты, в рамках предоперационной подготовки и для послеоперационного наблюдения.

Какие заболевания можно выявить при помощи МРТ простаты

Свернуть/развернуть
  • Злокачественные новообразования предстательной железы, семенных пузырьков, семявыносящих протоков, окружающих тканей. 
  • Доброкачественная гиперплазия предстательной железы (аденома простаты).
  • Воспалительные и инфекционные заболевания простаты (острые и хронические простатиты, абсцессы, свищи, туберкулез простаты).
  • Врожденные аномалии.
  • Травматические повреждения простаты.

Какая требуется подготовка к МРТ предстательной железы

Свернуть/развернуть

Чтобы получить качественные результаты, необходимо придерживаться диеты для уменьшения количества газов в кишечнике, которые могут создавать помехи при исследовании.

За три дня до исследования мы рекомендуем исключить из рациона пищу, повышающую газообразование (сладкое, мучное, жирное, бобовые, газированные напитки, капусту) и принимать «Эспумизан» по 2 капсулы 3 раза в день (если есть проблемы с газообразованием!). В день исследования «Эспумизан» принимать не нужно. 

За 3-4 часа до исследования нужно отказаться от приема пищи.

За 30-40 минут до исследования необходимо выпить 2 таблетки «Но-шпы» для снижения перистальтики кишечника. 

Необходимо принести с собой медицинскую документацию, относящуюся к зоне исследования:

  • направление от лечащего врача;
  • выписки из амбулаторных карт и стационаров;
  • результаты предыдущих исследований (МР-снимки, CD/DVD диски, результаты УЗИ, снимки КТ).

 

Если планируется введение контраста у пациента с подозрением на почечную недостаточность, необходимо не более, чем за 2 недели до исследования, сдать биохимический анализ крови для контроля уровня креатинина (показатель, отражающий функцию почек).

В случае наличия каких-либо протезов или имплантатов, материал которых не препятствует проведению МРТ, необходимо предоставить справку об этом из учреждения, где они были установлены. 

Контраст вводится внутривенно через предварительно установленный в вену катетер и может сопровождаться появлением чувства теплоты во всем теле, неприятного привкуса во рту. Эти явления кратковременны и через пару минут исчезают. Введенный контраст удаляется из организма преимущественно почками в течение последующих суток.

Перед исследованием необходимо снять одежду с металлической фурнитурой. Также необходимо убрать пирсинг, металлические украшения, часы, из карманов выложить мобильные телефоны, пластиковые карты, любые электронные устройства, гаджеты или предметы, которые могут содержать металл. 

Во время сканирования пациент лежит внутри туннеля томографа, при этом нельзя двигаться, иначе можно получить нечеткость изображений исследуемой области. Томограф во время работы издает громкий шум, поэтому для уменьшения этого дискомфорта можно воспользоваться берушами или наушниками.

Врач и рентгенолаборант находятся в смежном помещении, между которыми имеется стеклянная перегородка. Для вызова персонала служит сигнальное устройство в виде груши, которое во время исследования находится в руке пациента.

Некоторые пациенты могут испытывать волнение, поэтому разрешается присутствие сопровождающего в диагностическом кабинете во время исследования.

Какие есть противопоказания для МРТ предстательной железы

Свернуть/развернуть
  • Противопоказанием является наличие в теле имплантированных электронных устройств (кардиостимуляторов, нейростимуляторов, имплантатов внутреннего уха, инсулиновых помп).
  • Наличие протезов или медицинских конструкций, изготовленных из ферромагнитных материалов, например, клипсы на сосудах головного мозга (клипирование аневризмы), 
  • Имеющиеся металлические инородные предметы в теле являются противопоказанием для МРТ (это может быть металлическая стружка, осколки, пули, неснимаемый пирсинг), также татуировки с использованием металлизированных красок.
  • Клаустрофобия (боязнь закрытых пространств) может быть препятствием для проведения МРТ.
  • Пациенты с массой тела более 120 кг (ограничение по массе тела связано с конструктивными особенностями томографа).

Противопоказания для введения контраста

  • Аллергические реакции на контрастное вещество, содержащее гадолиний.
  • Заболевания почек с развитием хронической почечной недостаточности.

Запишитесь на МРТ простаты с контрастом по удобному адресу

Записаться
Фильтр по услугам МРТ с контрастом

Введение контраста

С контрастом Без контраста

Станция метро

Площадь Восстания Нарвская Проспект Просвещения Рыбацкое Девяткино Гражданский проспект Академическая Политехническая Площадь Мужества Лесная Выборгская Площадь Ленина Чернышевская Владимирская Пушкинская Технологический институт Балтийская Кировский завод Автово Ленинский проспект Проспект Ветеранов Парнас Озерки Удельная Пионерская Чёрная речка Петроградская Горьковская Невский проспект Сенная площадь Фрунзенская Московские ворота Электросила Парк Победы Московская Звёздная Купчино Беговая Зенит Приморская Василеостровская Гостиный двор Маяковская Площадь Александра Невского Елизаровская Ломоносовская Пролетарская Обухово Спасская Достоевская Лиговский проспект Площадь Александра Невского Новочеркасская Ладожская Проспект Большевиков Улица Дыбенко Комендантский проспект Старая Деревня Крестовский остров Чкаловская Спортивная Адмиралтейская Садовая Звенигородская Обводный канал Волковская Бухарестская Международная Проспект Славы Дунайская Шушары Богатырская Каменка Театральная Горный институт Путиловская Юго-Западная Кудрово Шуваловский проспект Каретная Боровая Заставская Броневая

Возраст пациента

Взрослому Ребенку от 15 лет

Пол пациента

Мужчине Женщине

Тип аппарата

Открытый Закрытый

Мощность МРТ

1.5 Тл 3 Тесла

Программы страхования

ДМС Платно ОМС

Цены

Услуги, соответствующие запросу, не найдены.

МРТ головного мозга с контрастом
руб
От 7 600 / 6 200 руб
Подробнее
МРТ пазух носа с контрастом
руб
От 7 600 / 6 200 руб
Подробнее
МРТ гипофиза с контрастом
руб
От 7 600 / 6 200 руб
Подробнее
МРТ позвоночника с контрастом
руб
От 7 600 / 6 200 руб
Подробнее
МРТ брюшной полости с контрастом
руб
От 8 900 руб
МРТ печени с контрастом
руб
От 8 900 руб
МРТ почек с контрастом
руб
От 8 900 руб
МРТ малого таза с контрастом
руб
От 10 800 / 9 400 руб
Подробнее
МРТ мочевого пузыря с контрастом
руб
От 10 800 / 9 400 руб
Подробнее
МРТ простаты с контрастом (предстательной железы)
руб
От 10 800 / 9 400 руб
Подробнее
МРТ с контрастом при массе тела до 69 кг
руб
3 000 руб
МРТ с контрастом при массе тела от 70 до 99 кг
руб
3 700 руб
МРТ с контрастом при массе тела от 100 до 120 кг
руб
4 800 руб
МРТ молочных желез (МР – маммография), в том числе оценка целостности имплантов при их наличии (выполняется с внутривенным контрастированием):
руб
- при весе до 89 кг
руб
11 200 руб
- при весе от 90 кг
руб
12 300 руб

Адреса диагностических центров "Доступная Медицина"

Преимущества наших диагностических центров

Доступные цены

Приемлемые цены
на все услуги

Качественный сервис

Контроль качества
оказываемых услуг

Лучшие специалисты

Высококвалифицированные врачи

Новейшее оборудование

Современные томографы с высочайшим качеством визуализации

Близость к метро

Мы находимся в непосредственной близости от метро и остановок общественного транспорта

Лицензии

Современные томографы с высочайшим качеством визуализации

Назад
Вперед
Ключникова Екатерина Игоревна
Информация проверена главным врачом клиники Domedica24
Ключникова Екатерина Игоревна
Стаж более 8 лет, главный врач, врач-рентгенолог 1 категории
Площадь Стачек, 9">
ул. 1-я Советская, 8">