Назад МРТ внутреннего уха в СПб

5 400
/
По акции в Рыбацком
4 000
руб
Записаться на прием
5 400 руб
По акции в Рыбацком
4 000 руб
Записаться
  • Срок получения результата В течение 24 часов
  • Длительность выполнения 30 минут
Воспроизвести
Описание

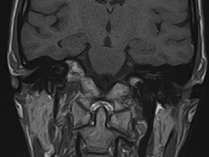
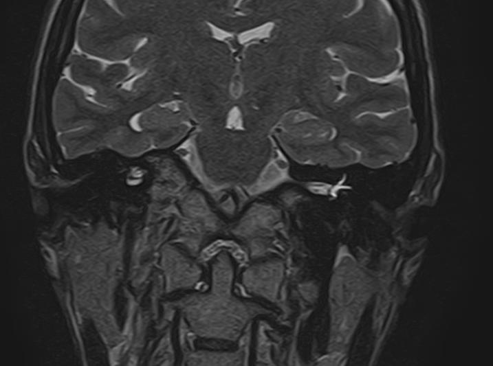
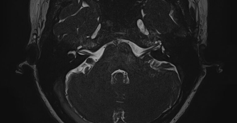
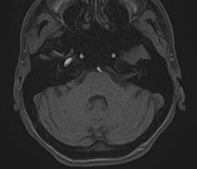
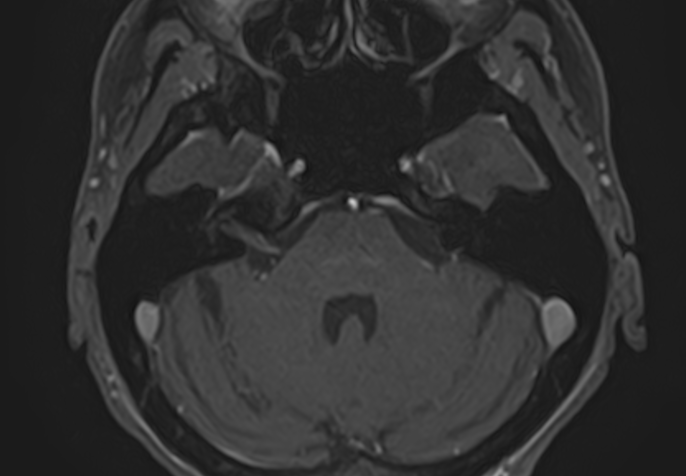
Внутреннее ухо – важная часть слуховой и вестибулярной систем тела человека, находящаяся в толще пирамиды височной кости.

Внутреннее ухо содержит слуховой орган (улитку) и орган равновесия (преддверие и полукружные каналы), патологические изменения которых в свою очередь приводят к развитию нейросенсорной тугоухости и вестибулярных нарушений.

МРТ внутреннего уха применяется при:

  • нейросенсорной и смешанной тугоухости;
  • заложенности и шуме в ушах;
  • приступах головокружения, неустойчивости при ходьбе;
  • подозрении на образование преддверно-улиткового нерва;
  • планировании хирургических вмешательств (кохлеарной имплантации) для оценки анатомических особенностей внутреннего уха.

При подозрении на опухоль преддверно-улиткового нерва, образованиях лабиринта, воспалительный процесс МРТ внутреннего уха выполняется с внутривенным введением контрастного препарата.

Во время исследования пациент лежит на столе томографа неподвижно около 30 минут, на область исследования устанавливается специальная головная катушка для получения четких изображений.

Специальной подготовки для проведения исследования не требуется. Перед процедурой необходимо снять украшения, заколки с области головы.

Абсолютными противопоказаниями к проведению МРТ внутреннего уха являются несовместимые с МР-системами кардиостимуляторы /водители сердечного ритма, импланты внутреннего уха, инсулиновые помпы, а также клипсы на сосудах головного мозга, металлические осколки в теле пациента. К относительным противопоказаниям относятся: беременность (первый триместр), клаустрофобия, зажимы и клипсы на сосудах внутренних органов.

При наличии несъемных зубных протезов, пирсинга в зоне сканирования необходима предварительная консультация со специалистом о возможности оценки структур внутреннего уха на фоне артефактов.

Запишитесь на МРТ внутреннего уха по удобному адресу

Записаться
Фильтр по услугам МРТ головы

Введение контраста

С контрастом Без контраста

Станция метро

Площадь Восстания Нарвская Проспект Просвещения Рыбацкое Девяткино Гражданский проспект Академическая Политехническая Площадь Мужества Лесная Выборгская Площадь Ленина Чернышевская Владимирская Пушкинская Технологический институт Балтийская Кировский завод Автово Ленинский проспект Проспект Ветеранов Парнас Озерки Удельная Пионерская Чёрная речка Петроградская Горьковская Невский проспект Сенная площадь Фрунзенская Московские ворота Электросила Парк Победы Московская Звёздная Купчино Беговая Зенит Приморская Василеостровская Гостиный двор Маяковская Площадь Александра Невского Елизаровская Ломоносовская Пролетарская Обухово Спасская Достоевская Лиговский проспект Площадь Александра Невского Новочеркасская Ладожская Проспект Большевиков Улица Дыбенко Комендантский проспект Старая Деревня Крестовский остров Чкаловская Спортивная Адмиралтейская Садовая Звенигородская Обводный канал Волковская Бухарестская Международная Проспект Славы Дунайская Шушары Богатырская Каменка Театральная Горный институт Путиловская Юго-Западная Кудрово Шуваловский проспект Каретная Боровая Заставская Броневая

Возраст пациента

Взрослому Ребенку от 15 лет

Пол пациента

Мужчине Женщине

Тип аппарата

Открытый Закрытый

Мощность МРТ

1.5 Тл 3 Тесла

Программы страхования

ДМС Платно ОМС

Цены

Услуги, соответствующие запросу, не найдены.

МРТ головного мозга
руб
4 600 / 3 200 руб
Подробнее
МР-ангиография головного мозга
руб
4 600 / 3 200 руб
Подробнее
МР-венография головного мозга
руб
4 600 / 3 200 руб
Подробнее
МРТ черепно-мозговых нервов
руб
4 600 / 3 200 руб
Подробнее
МРТ головного мозга и МР-ангиография головного мозга
руб
7 600 / 6 200 руб
Подробнее
МРТ головного мозга и МР-венография головного мозга
руб
7 600 / 6 200 руб
Подробнее
МРТ гипофиза
руб
От 7 600 / 6 200 руб
Подробнее
МРТ орбит
руб
4 600 / 3 200 руб
Подробнее
МРТ придаточных пазух носа
руб
4 600 / 3 200 руб
Подробнее
МРТ внутреннего уха
руб
5 400 / 4 000 руб
Подробнее
МРТ головного мозга и гипофиза
руб
От 11 300 / 9 200 руб
Подробнее
МРТ головного мозга+мосто-мозжечкового угла
руб
7 600 / 6 600 руб
Подробнее
МРТ головного мозга + МРТ орбит
руб
7 600 / 6 200 руб
Подробнее
МРТ головного мозга + черепно-мозговые нервы
руб
7 600 / 6 600 руб
Подробнее

Адреса диагностических центров "Доступная Медицина"

Преимущества наших диагностических центров

Доступные цены

Приемлемые цены
на все услуги

Качественный сервис

Контроль качества
оказываемых услуг

Лучшие специалисты

Высококвалифицированные врачи

Новейшее оборудование

Современные томографы с высочайшим качеством визуализации

Близость к метро

Мы находимся в непосредственной близости от метро и остановок общественного транспорта

Лицензии

Современные томографы с высочайшим качеством визуализации

Назад
Вперед
Ключникова Екатерина Игоревна
Информация проверена главным врачом клиники Domedica24
Ключникова Екатерина Игоревна
Стаж более 8 лет, главный врач, врач-рентгенолог 1 категории
Площадь Стачек, 9">
ул. 1-я Советская, 8">