Назад Рентген грудного отдела позвоночника (2 проекции) в СПб

Цена:
1 900 руб
Записаться
  • Длительность выполнения 15 минут
Описание

Грудной отдел позвоночника обладает меньшей подвижностью по сравнению с вышерасположенным шейным. Но при этом в грудном отделе доступны сгибания, разгибания и повороты. Нагрузка здесь выше, так как позвонки удерживают и грудную клетку с плечевым поясом, поэтому и тела позвонков массивнее. К тому же по мере удаления от черепа они увеличиваются.

Переломы грудных позвонков возникают при падении с большой высоты на ноги, тяжелых ДТП. Во многих случаях такие травмы бывают сочетанными или оскольчатыми. В пожилом возрасте переломы возникают при меньшей силе удара из-за остеопороза. Хронические заболевания, при которых в межпозвонковых сочленениях происходят дегенеративные изменения, также развиваются с возрастом. Но мелкие травмы, перегрузки, лишний вес, малоподвижный образ жизни или вынужденное положение приводят к нарушению питания дисков и их разрушению и в более молодом возрасте.   

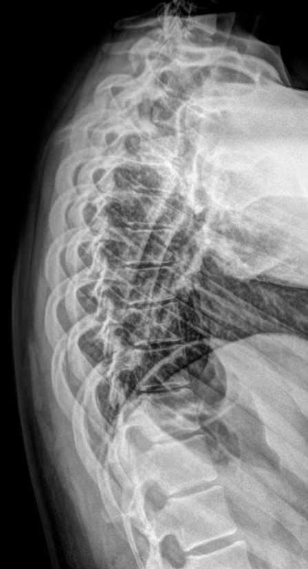
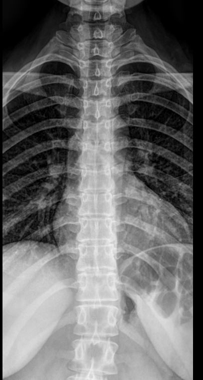
Рентгеновское исследование ― один из основных видов диагностики и первое, что назначают при подозрении на патологию грудного отдела позвоночника. На снимки попадают: 7-й шейный и все 12 грудных позвонков, а также частично ребра и ключицы. Диагностика всегда выполняется в 2 проекциях. Костные образования отчетливо видны и дают возможность определить патологические изменения и назначить необходимое лечение.

Кому назначают рентген грудного отдела позвоночника

Свернуть/развернуть

Рентгенография может подтвердить следующие патологии, которые развиваются в грудном отделе:

  • Травмы: переломы и подвывихи;
  • Врожденные аномалии: расщепление или сращение позвонков;
  • Приобретенные деформации: сколиоз, патологические кифоз и лордоз; 
  • Воспалительные процессы ― спондилит; 
  • Болезнь Бехтерева;
  • Инфекционное поражение, например, туберкулезом или сифилисом;
  • Дегенеративно-дистрофические процессы ― остеохондроз, спондилоартроз; ; 
  • Новообразования.

Для хронических заболеваний, протекающих в грудном отделе позвоночника, характерны такие симптомы:

  • Боль между лопатками, которая усиливается при поднятии рук, наклонах и поворотах, глубоком дыхании;
  • Боль ноющая, отдает по ходу ребер и в грудную клетку;
  • Ограничение движений, чувство скованности, напряжение мышц;
  • Дорсаго ― прострел, внезапная резкая боль при движении;
  • Нехватка воздуха, одышка, задержка дыхания из-за боли.
  • Болезненность при пальпации в месте поражения;
  • Онемение кожи на спине, нижних конечностей;
  • Асимметрия плечевого пояса или видимое искривление позвоночника.

При травме, кроме того, наблюдаются следующие состояния:

  • Хруст, задержка дыхания в момент удара;
  • Одышка, учащенное дыхание;
  • Потливость, слабость, головокружение;
  • Неврологические нарушения при повреждении спинного мозга: от местного нарушения чувствительности до полного паралича тела ниже места перелома.

Боли также могут имитировать болезни жизненно важных органов, расположенных в грудной клетке: сердца, легких, крупных сосудов.

Что покажет рентген грудного отдела позвоночника

Свернуть/развернуть
  • Переломы, в том числе оскольчатые;
  • Деструктивные изменения тел и отростков позвонков;
  • Склероз и деформация замыкательных пластинок;
  • Состояние физиологического кифоза;
  • Наличие сколиоза;
  • Изменение высоты межпозвонковых пространств;
  • Новообразования.

Подготовка к рентгену грудного отдела позвоночника

Свернуть/развернуть

В качестве подготовки необходимо снять украшения с шеи, оголить торс и надеть на пояс защитную накидку. Для прямой проекции надо встать к детектору лицом, с опущенными руками, для боковой ― боком, руки вперед или за голову. Занять правильную позицию помогает рентгенолаборант. Во время съемки, а она длится 1-2 секунды, важно задержать дыхание на вдохе и не двигаться.

Получить снимки на руки можно сразу, а описание ― в течение нескольких часов в этот же день.

Противопоказания

Свернуть/развернуть

Плановая рентгенография противопоказана беременным и детям до 18 лет. Однако в экстренных ситуациях, при сильном ушибе и подозрении на переломы и вывихи в грудном отделе, лечащий врач может принять решение и направить на снимок даже эти категории пациентов. Кормящим мама рекомендуется сцеживать и выливать грудное молоко в течение суток после диагностики. Затем кормление грудью можно восстановить.

Запишитесь на Рентген грудного отдела позвоночника (2 проекции) по удобному адресу

Записаться
Фильтр по услугам Рентген костно-суставной системы

Станция метро

Площадь Восстания Проспект Просвещения Нарвская Рыбацкое Девяткино Гражданский проспект Академическая Политехническая Площадь Мужества Лесная Выборгская Площадь Ленина Чернышевская Владимирская Пушкинская Технологический институт Балтийская Кировский завод Автово Ленинский проспект Проспект Ветеранов Парнас Озерки Удельная Пионерская Чёрная речка Петроградская Горьковская Невский проспект Сенная площадь Фрунзенская Московские ворота Электросила Парк Победы Московская Звёздная Купчино Беговая Зенит Приморская Василеостровская Гостиный двор Маяковская Площадь Александра Невского Елизаровская Ломоносовская Пролетарская Обухово Спасская Достоевская Лиговский проспект Площадь Александра Невского Новочеркасская Ладожская Проспект Большевиков Улица Дыбенко Комендантский проспект Старая Деревня Крестовский остров Чкаловская Спортивная Адмиралтейская Садовая Звенигородская Обводный канал Волковская Бухарестская Международная Проспект Славы Дунайская Шушары Богатырская Каменка Театральная Горный институт Путиловская Юго-Западная Кудрово Шуваловский проспект Каретная Боровая Заставская Броневая

Возраст пациента

Взрослому Ребенку от 15 лет

Пол пациента

Мужчине Женщине

Количество проекций

Одна Две

Введение контраста

С контрастом Без контраста

Цены

Услуги, соответствующие запросу, не найдены.

Рентген черепа (1 проекция)
руб
1 400 руб
Рентген черепа (2 проекции)
руб
1 900 руб
Рентген турецкого седла
руб
1 400 руб
Рентген придаточных пазух носа
руб
1 400 руб
Рентген придаточных пазух носа (2 проекции)
руб
1 900 руб
Рентген костей носа при искривлении носовой перегородки
руб
1 400 руб
Рентген нижней челюсти (2 проекции)
руб
1 900 руб
Рентген атланто-аксиального сочленения
руб
1 400 руб
Рентген шейного отдела позвоночника (2 проекции)
руб
1 900 руб
Функциональные исследования позвоночника (шейный отдел)
руб
3 200 руб
Рентген шейного отдела позвоночника с функциональными пробами + С1 позвонок
руб
3 600 руб
Рентген грудного отдела позвоночника (2 проекции)
руб
1 900 руб
Рентген поясничного-крестцового отдела позвоночника (2 проекции)
руб
1 900 руб
Функциональные исследования позвоночника (поясничный отдел)
руб
3 200 руб
Рентген крестцового отдела позвоночника и копчика (2 проекции)
руб
1 900 руб
Рентген крестцово-подвздошного сочленения (3 проекции)
руб
2 100 руб
Рентген копчика (2 проекции)
руб
1 900 руб
Рентген копчика с функциональными пробами
руб
2 600 руб
Рентген позвоночника при сколиозе в прямой проекции (стичинг)
руб
1 600 руб
Рентген позвоночника при нарушении статики в боковой проекции (стичинг)
руб
1 600 руб
Рентген позвоночника на кифосколиоз в прямой и боковой проекциях (стичинг)
руб
2 600 руб
Рентген ключицы (2 проекции)
руб
1 900 руб
Рентген обеих ключиц (1 проекция)
руб
2 100 руб
Рентген обеих ключиц (2 проекции)
руб
3 100 руб
Рентген ребер (прицельно)
руб
1 400 руб
Рентген лопатки (2 проекции)
руб
1 900 руб
Рентген обеих лопаток (2 проекции)
руб
3 100 руб
Рентген акромиально-ключичного сочленения (2 проекции)
руб
1 900 руб
Рентген обоих акромиально-ключичных сочленений (1 проекция)
руб
2 100 руб
Рентген обоих акромиально-ключичных сочленений (2 проекции)
руб
3 100 руб
Рентген грудино-ключичных сочленений
руб
1 400 руб
Рентген плечевого сустава (2 проекции) (Рентген плеча)
руб
1 900 руб
Рентген обоих плечевых суставов (2 проекции)
руб
3 100 руб
Рентген плечевой кости (2 проекции) (Рентген плеча)
руб
1 900 руб
Рентген локтевого сустава (2 проекции) (Рентген локтя)
руб
1 900 руб
Рентген предплечья (2 проекции) (Рентген локтевой и лучевой костей)
руб
1 900 руб
Рентген лучезапястного сустава (2 проекции)
руб
1 900 руб
Рентген пястно-запястных суставов
руб
1 400 руб
Рентген пястно-фаланговых суставов
руб
1 400 руб
Рентген межфалангового сустава (2 проекции) (прицельно)
руб
1 900 руб
Рентген кисти (2 проекции)
руб
1 900 руб
Рентген обеих кистей (1 проекция)
руб
2 100 руб
Рентген обеих кистей (2 проекции)
руб
3 100 руб
Рентген кистей для определения костного возраста
руб
2 100 руб
Рентген костей таза (Рентген подвздошной, лонной и седалищной костей)
руб
1 400 руб
Рентген тазобедренного сустава (2 проекции)
руб
1 900 руб
Рентген тазобедренных суставов (1 проекция)
руб
2 100 руб
Рентген тазобедренных суставов (2 проекции)
руб
3 100 руб
Рентген тазобедренных суставов в прямой проекции и по Лаунштейну
руб
2 600 руб
Рентген бедренной кости (2 проекции)
руб
1 900 руб
Рентген обеих бедренных костей (1 проекция)
руб
2 100 руб
Рентген обеих бедренных костей (2 проекции)
руб
3 100 руб
Рентген коленного сустава (2 проекции)
руб
1 900 руб
Рентген обоих коленных суставов (1 проекция)
руб
2 100 руб
Рентген обоих коленных суставов (2 проекции)
руб
3 100 руб
Рентген пателло-феморального сочленения с обеих сторон
руб
1 900 руб
Рентген костей голени (2 проекции) (Рентген большеберцовой и малоберцовой костей)
руб
1 900 руб
Рентген костей голени обеих ног (1 проекция)
руб
2 100 руб
Рентген костей голени обеих ног (2 проекции)
руб
3 100 руб
Рентген голеностопного сустава (2 проекции)
руб
1 900 руб
Рентген голеностопных суставов (1 проекция)
руб
2 100 руб
Рентген голеностопных суставов (2 проекции)
руб
3 100 руб
Рентген пяточных костей в боковой проекции
руб
1 400 руб
Рентген пяточных костей (2 проекции)
руб
1 900 руб
Рентген стоп в прямой проекции
руб
2 100 руб
Рентген стопы (2 проекции)
руб
1 900 руб
Рентген стоп в боковой проекции
руб
2 100 руб
Рентген стоп в двух проекциях (Рентген плюсне-фаланговых суставов, Рентген предплюсне-плюсневого сочленения)
руб
3 100 руб
Рентген одной стопы на продольное плоскостопие
руб
1 400 руб
Рентген одной стопы на поперечное плоскостопие
руб
1 400 руб
Рентген одной стопы на продольное и поперечное плоскостопие
руб
1 900 руб
Рентген обеих стоп на продольное плоскостопие
руб
2 100 руб
Рентген обеих стоп на поперечное плоскостопие
руб
2 100 руб
Рентген обеих стоп на продольное и поперечное плоскостопие (Рентген стоп на плоскостопие для военкомата, Рентген стоп на плоскостопие с полной статической нагрузкой)
руб
3 100 руб
Рентген ног (ститчинг)
руб
2 100 руб
Рентген ног (стичинг) 2 проекции/с функциональными пробами
руб
3 100 руб
Дополнительная проекция
руб
600 руб

Адреса диагностических центров "Доступная Медицина"

Преимущества наших диагностических центров

Доступные цены

Приемлемые цены
на все услуги

Качественный сервис

Контроль качества
оказываемых услуг

Лучшие специалисты

Высококвалифицированные врачи

Новейшее оборудование

Современные томографы с высочайшим качеством визуализации

Близость к метро

Мы находимся в непосредственной близости от метро и остановок общественного транспорта

Лицензии

Современные томографы с высочайшим качеством визуализации

Назад
Вперед
Ключникова Екатерина Игоревна
Информация проверена главным врачом клиники Domedica24
Ключникова Екатерина Игоревна
Стаж более 8 лет, главный врач, врач-рентгенолог 1 категории
Площадь Стачек, 9">
ул. 1-я Советская, 8">