КТ ключицы в СПБ
- Введение контраста Нет
- Длительность выполнения 10 минут
- Ограничения по весу 120 кг
- Ограничения по возрасту От 15 лет
- Срок получения результата В течение дня
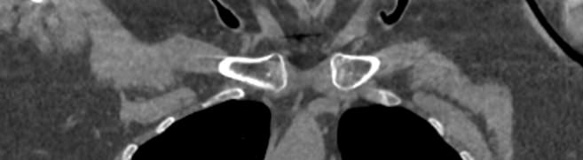
Ключица – небольшая парная кость, имеющая S-образную форму и соединяющая туловище с верхней конечностью. Ключица участвует в формировании двух суставов: с внутренней стороны она образует с грудиной грудино-ключичное сочленение, с наружной – прикрепляется к акромиальному отростку лопатки, образуя ключично-акромиальный сустав.
Ключица защищает проходящие под ней крупные сосуды и нервы плечевого сплетения, а также обеспечивает большой объем движений верхней конечности. Поверхностное расположение ключицы и тесная функциональная связь с верхней конечностью обусловливает частую ее травматизацию. Наиболее распространены переломы, ушибы и вывихи ключицы, ограничивающие подвижность руки.
Кроме этого, часто наблюдаются воспалительные заболевания ключично-акромиального сустава и грудино-ключичного сочленения. Реже встречаются опухоли ключицы как доброкачественные (остеома, хондрома, остеобластокластома, костная киста), так и злокачественные – саркомы и метастатические поражения при отсевах из других опухолевых очагов. При обследовании верхнего плечевого пояса также выявляются врожденные аномалии развития ключицы.
Наиболее информативным методом диагностики заболеваний ключицы является мультиспиральная компьютерная томография, которая наиболее часто применяется в ортопедии и травматологии. Метод основан на сканировании костей, суставов и внутренних органов при помощи веерообразного пучка рентгеновских лучей.
Источник рентгеновского излучения совершает непрерывное вращение вокруг объекта исследования и производит одномоментно множество послойных снимков, которые затем при помощи цифровой обработки данных преобразуются в трехмерные пространственные модели исследуемого органа.
В наших диагностических центрах обследование ключицы проводится на современном оборудовании экспертного класса. В клинике установлены новейшие мультиспиральные компьютерные томографы последнего поколения TOSHIBA AQUILION. Аппараты выполняют послойное сканирование исследуемой зоны с шагом от 0,5 мм, получая детальные снимки и трехмерные изображения высокого качества. При этом возможности аппаратов обеспечивают пониженный уровень лучевой нагрузки на пациента.
Иногда для визуализации патологических образований бывает недостаточно проведения нативной компьютерной томографии. При подозрении на опухолевые образования показано выполнение контрастного усиления. Для этого применяются йодсодержащие контрастные препараты для внутривенного введения. После попадания в кровеносное русло контраст с током крови оказывается в опухолевых очагах и за счет активного поглощения им рентгеновских лучей патологические образования становятся отчетливо видны на фоне здоровых тканей. Методика контрастирования обеспечивает раннюю диагностику опухолевых процессов, что положительно влияет на прогноз заболевания.
- Показания к КТ ключицы
- Подготовка к КТ ключицы
- Противопоказания для проведения КТ ключицы
- Что выявляет КТ ключицы
Показания к КТ ключицы
- новообразования и метастазы в ключицу, а также в окружающие ткани;
- воспалительные процессы тканей;
- болезни костного мозга;
- переломы и трещины ключицы;
- вывих суставов ключицы;
- последствия перенесенных травм (например, массивная костная мозоль после перелома);
- оценка динамики выздоровления;
- инородные тела тканей около ключицы;
- остеомиелит – воспаление кости.
- артриты и артрозы грудино-ключичного и ключично-акромиального суставов
Подготовка к КТ ключицы
Одним из преимуществ данного обследования является отсутствие специальной подготовки.
Желательно предоставить врачу все документы, которые относятся к зоне исследования. В перечень документов входят:
- Направление лечащего врача;
- Выписка из истории болезни или амбулаторной карты;
- Рентгеновские снимки, CD/DVD диски предыдущих КТ- и МРТ-исследований грудной клетки, области ключицы;
- Заключения специалистов.
Если во время проведения КТ планируется использование контраста, то необходимо не более, чем за 14 дней до исследования, сдать анализ крови на креатинин для оценки функциональной способности почек.
Так как контраст выводится преимущественно почками, при наличии почечной недостаточности контрастирование не проводится. В этом случае врач сможет предложить другой метод визуализации ключицы.
Пациентам, которые принимают по поводу сахарного диабета такие сахароснижающие препараты, как Метформин или Глюкофаж, необходимо отменить прием данных препаратов за 48 часов до исследования с контрастированием и на 48 часов после введения контраста (временную отмену данных препаратов необходимо согласовать с эндокринологом).
Контрастный препарат вводится внутривенно через установленный в периферическую вену венозный катетер с помощью автоматического устройства (инжектора). В момент введения контраста может появиться неприятный привкус во рту, ощущение тепла во всем теле, но этот дискомфорт через пару минут быстро исчезает. Контрастное вещество в течение последующих суток полностью выводится из организма преимущественно почками.
Кормящим женщинам, нуждающимся в проведении КТ с контрастированием, необходимо на 24-48 часов после процедуры с введением контраста прервать грудное вскармливание, при этом молоко сцеживать и выливать. Предварительно мы рекомендуем сделать для ребенка запас грудного молока.
Для получения качественных изображений на снимках, пациента просят не двигаться в течение всей процедуры. Врач-рентгенолог во время исследования находится в соседнем помещении, разделенном с диагностическим кабинетом стеклянной перегородкой. В аппарат вмонтировано переговорное устройство, с помощью которого можно разговаривать с врачом и при необходимости вызвать медицинский персонал.
Противопоказания для проведения КТ ключицы
Компьютерная томография не проводится во время беременности на любом сроке, так как рентгеновское излучение, которое предусмотрено методикой КТ, оказывает вредное воздействие на плод.
Также в наших центрах невозможно выполнить КТ пациентам с массой тела, превышающей 120 кг (подвижные части томографов имеют ограничения по весу).
Противопоказания для введения йодсодержащих контрастных препаратов:
- наличие в анамнезе аллергических реакций на йодсодержащие контрастные препараты;
- имеющиеся заболевания почек с выраженным снижением функции почек;
- при застойной сердечной недостаточности;
- при некоторых заболеваниях щитовидной железы (гипертиреоз, тиреотоксикоз);
- в случае тяжелого течения бронхиальной астмы;
- при декомпенсированном сахарном диабете.
Что выявляет КТ ключицы
- последствия травм любой тяжести, микротрещины и переломы со смещением кости и осколочными элементами;
- воспалительные процессы;
- инфекционное поражение кости и сопредельных тканей;
- опухолевые образования;
- аномалии развития
Запишитесь на КТ ключицы по удобному адресу
ЗаписатьсяСтанция метро
Площадь Восстания Проспект Просвещения Нарвская Рыбацкое Девяткино Гражданский проспект Академическая Политехническая Площадь Мужества Лесная Выборгская Площадь Ленина Чернышевская Владимирская Пушкинская Технологический институт Балтийская Кировский завод Автово Ленинский проспект Проспект Ветеранов Парнас Озерки Удельная Пионерская Чёрная речка Петроградская Горьковская Невский проспект Сенная площадь Фрунзенская Московские ворота Электросила Парк Победы Московская Звёздная Купчино Беговая Зенит Приморская Василеостровская Гостиный двор Маяковская Площадь Александра Невского Елизаровская Ломоносовская Пролетарская Обухово Спасская Достоевская Лиговский проспект Площадь Александра Невского Новочеркасская Ладожская Проспект Большевиков Улица Дыбенко Комендантский проспект Старая Деревня Крестовский остров Чкаловская Спортивная Адмиралтейская Садовая Звенигородская Обводный канал Волковская Бухарестская Международная Проспект Славы Дунайская Шушары Богатырская Каменка Театральная Горный институт Путиловская Юго-Западная Кудрово Шуваловский проспект Каретная Боровая Заставская БроневаяРайон
Центральный Выборгский Кировский Адмиралтейски Василеостровский Калининский Колпинский Красногвардейский Красносельски Кронштадтский Курортный Московский Невский Петроградский Петродворцовый Приморский Пушкинский ФрунзенскийГород
Санкт-Петербург Бокситогорск Бугры Волосово Волхов Всеволожск Выборг Высоцк Гатчина Ивангород Каменногорск Кингисепп Кириши Кировск Колтуши Коммунар Кудрово Лодейное Поле Луга Любань Мурино Никольское Новая Ладога Отрадное Пикалёво Подпорожье Приморск Приозерск Светогорск Сертолово Сланцы Сосновый Бор Сясьстрой Тельмана Тихвин Тосно ШлиссельбургЦены
Услуги, соответствующие запросу, не найдены.
Адреса диагностических центров "Доступная Медицина"
Преимущества наших диагностических центров
Доступные цены
Приемлемые цены
на все услуги
Качественный сервис
Контроль качества
оказываемых услуг
Лучшие специалисты
Высококвалифицированные врачи
Новейшее оборудование
Современные томографы с высочайшим качеством визуализации
Близость к метро
Мы находимся в непосредственной близости от метро и остановок общественного транспорта
Наше оборудование
КТ-СПЕЦИАЛИСТЫ
Лицензии
Современные томографы с высочайшим качеством визуализации
Статьи наших врачей