КТ копчика в СПБ
- Введение контраста Нет
- Длительность выполнения 10 минут
- Ограничения по весу 120 кг
- Ограничения по возрасту От 15 лет
- Срок получения результата В течение дня
Копчик находится в самой нижней части позвоночного столба и состоит из 3-5 частично сросшихся между собой позвонков. Несмотря на то, что копчик является рудиментарным органом, он выполняет ряд важных функций: служит опорой для позвоночного столба, к нему крепятся мышцы и связки, которые участвуют в работе органов малого таза и обеспечивают подвижность тазобедренных суставов.
Болевой синдром в области копчика называется кокцигодинией и является достаточно распространенной проблемой. Кокцигодиния может быть следствием травм, дегенеративно-дистрофических процессов, сосудистых и воспалительных заболеваний.
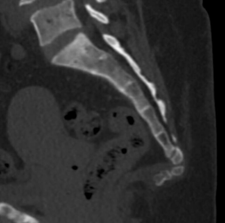
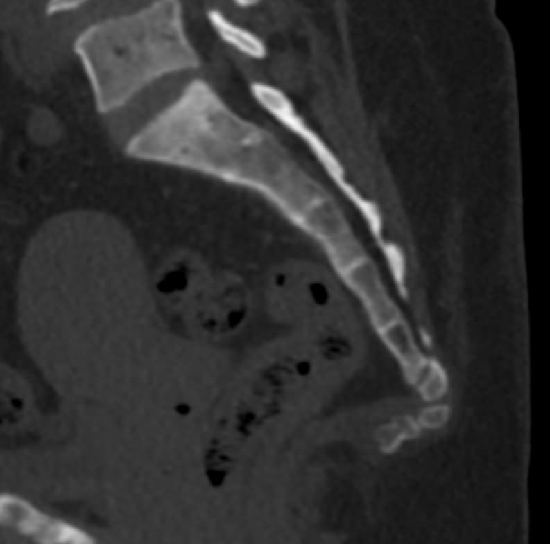
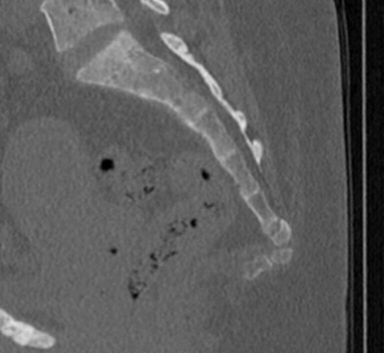
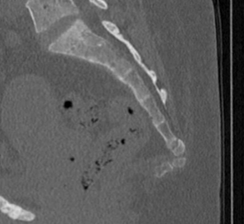
Одним из наиболее информативных методов диагностики заболеваний копчика является мультиспиральная компьютерная томография. Метод основан на использовании рентгеновского излучения и применения инновационных компьютерных программ для детальной визуализации состояния органов и систем организма. Процедура отличается быстротой, безболезненностью и неинвазивностью (то есть проводится без нарушения целостности кожи и расположенных под ней тканей).
В наших центрах обследование копчика выполняется на современных мультиспиральных томографах TOSHIBA AQUILION, оснащенных увеличенным количеством сверхчувствительных детекторов, позволяющих производить 64 или 128 срезов с минимальной толщиной от 0,5 мм.
Инновационные возможности аппаратов дают возможность получить множество послойных снимков высокого качества и реконструировать на их основе трехмерную модель органа. Кроме того, аппаратура позволяет за счет сокращения времени сканирования максимально уменьшить лучевую нагрузку на пациента.
КТ копчика часто используется для диагностики доброкачественных и злокачественных опухолей, поэтому для улучшения визуализации патологических очагов дополнительно применяется внутривенное болюсное контрастирование. Для контрастного усиления используются йодсодержащие контрастные препараты, которые вводятся пациенту внутривенно непосредственно во время исследования.
Методика контрастирования позволяет увидеть на снимке опухоли минимальных размеров за счет того, что контраст избирательно накапливается в измененных тканях и ярко выделяет их на фоне здоровых окружающих тканей. Контрастирование дает возможность определить врачу границы опухоли, ее размеры, степень васкуляризации, точное расположение, прорастание в соседние органы и ткани.
При наличии противопоказаний для компьютерной томографии или для применения йодсодержащих контрастов альтернативным методом исследования состояния копчика и окружающих мягких тканей служит магнитно-резонансная томография. В нашей клинике можно пройти МРТ копчика на новейшем высокопольном 32-канальном томографе экспертного класса.
- Показания к КТ копчика
- Подготовка к КТ копчика
- Противопоказания для проведения КТ копчика
- Что покажет КТ копчика
Показания к КТ копчика
- перелом, повреждение и смещение копчика
- дегенеративно-дистрофические изменения копчика
- воспаление паравертебральных мягких тканей копчикового отдела позвоночного столба
- гематомы, появившиеся в результате травм копчикового отдела
- метастазы и опухолевые объемные образования — доброкачественные и злокачественные
- последствия травм нижнего отдела спины
- аномалии развития костей копчиковой и крестцовой области;
- переломы и деструкция позвоночного столба в копчиковом и крестцовом отделе.
- остеохондроз
Подготовка к КТ копчика
К данному исследованию не требуется сложной специальной подготовки.
Перед проведением КТ мы рекомендуем принести с собой всю медицинскую документацию, которая относится к зоне исследования:
- Направление от лечащего врача;
- Рентгеновские снимки, CD/DVD диски предыдущих КТ- и МРТ-исследований копчика;
- Выписки из амбулаторных карт и стационаров;
- Заключения профильных специалистов.
При необходимости проведения КТ копчика с внутривенным болюсным контрастированием предварительно нужно сдать анализ крови на креатинин для оценки экскреторной функции почек. Анализ крови действителен в течение 14 дней до даты исследования.
Так как контраст выводится преимущественно почками, при наличии почечной недостаточности контрастирование не проводится. В этом случае врач сможет предложить другой способ визуализации копчика.
Пациентам, которые принимают по поводу сахарного диабета такие сахароснижающие препараты, как Метформин или Глюкофаж, необходимо отменить прием данных препаратов за 48 часов до исследования с контрастированием и на 48 часов после введения контраста (временную отмену данных препаратов необходимо согласовать с эндокринологом).
Контрастный препарат вводится внутривенно через установленный в периферическую вену венозный катетер с помощью автоматического устройства (инжектора). В момент введения контраста может появиться неприятный привкус во рту, ощущение прилива, жара во всем теле, но этот дискомфорт через 1-2 минуты исчезает. Контрастное вещество в течение последующих суток полностью выводится из организма преимущественно почками.
Кормящим женщинам, нуждающимся в проведении КТ копчика с контрастированием, необходимо на 24-48 часов после процедуры с введением контраста исключить грудное вскармливание, при этом молоко сцеживать и выливать. Мы рекомендуем заблаговременно запастись грудным молоком для ребенка.
Чтобы исключить появление нечеткости изображений на снимках, мы просим пациента не двигаться в течение всей процедуры. Врач-рентгенолог во время исследования находится в соседнем помещении, разделенном с диагностическим кабинетом стеклянной перегородкой. В аппарат вмонтировано переговорное устройство, с помощью которого есть возможность разговаривать с врачом и при необходимости вызвать медицинский персонал.
Противопоказания для проведения КТ копчика
Проведение компьютерной томографии противопоказано при беременности на любом сроке, так как рентгеновское излучение даже в малых дозах оказывает вредное воздействие на плод.
Также в нашей клинике невозможно выполнить КТ пациентам, у которых масса тела превышает 120 кг (ограничения по весу имеет выдвижной стол томографа).
Также имеются противопоказания для введения йодсодержащего контрастного вещества. Сюда относятся:
- аллергия на йодсодержащие контрастные вещества;
- заболевания почек с выраженными явлениями почечной недостаточности;
- застойная сердечная недостаточность;
- заболевания щитовидной железы с признаками гипертиреоза и тиреотоксикоза;
- тяжелое течение бронхиальной астмы;
- декомпенсированный сахарный диабет.
Что покажет КТ копчика
- аномалии развития.
- заболевания позвоночника и соседних мягких тканей
- опухоли доброкачественные и злокачественные
- перелом крестца или копчика, смещение позвонков и другие травмы, в том числе застарелые.
- ревматические заболевания.
- кисты копчика.
- болезнь Бехтерева.
- дегенеративно-дистрофические патологии позвоночника – остеохондроз и другие.
- туберкулез костных структур.
- аутоиммунные, инфекционные и другие патологии.
Запишитесь на КТ копчика по удобному адресу
ЗаписатьсяСтанция метро
Площадь Восстания Проспект Просвещения Нарвская Рыбацкое Девяткино Гражданский проспект Академическая Политехническая Площадь Мужества Лесная Выборгская Площадь Ленина Чернышевская Владимирская Пушкинская Технологический институт Балтийская Кировский завод Автово Ленинский проспект Проспект Ветеранов Парнас Озерки Удельная Пионерская Чёрная речка Петроградская Горьковская Невский проспект Сенная площадь Фрунзенская Московские ворота Электросила Парк Победы Московская Звёздная Купчино Беговая Зенит Приморская Василеостровская Гостиный двор Маяковская Площадь Александра Невского Елизаровская Ломоносовская Пролетарская Обухово Спасская Достоевская Лиговский проспект Площадь Александра Невского Новочеркасская Ладожская Проспект Большевиков Улица Дыбенко Комендантский проспект Старая Деревня Крестовский остров Чкаловская Спортивная Адмиралтейская Садовая Звенигородская Обводный канал Волковская Бухарестская Международная Проспект Славы Дунайская Шушары Богатырская Каменка Театральная Горный институт Путиловская Юго-Западная Кудрово Шуваловский проспект Каретная Боровая Заставская БроневаяРайон
Центральный Выборгский Кировский Адмиралтейски Василеостровский Калининский Колпинский Красногвардейский Красносельски Кронштадтский Курортный Московский Невский Петроградский Петродворцовый Приморский Пушкинский ФрунзенскийГород
Санкт-Петербург Бокситогорск Бугры Волосово Волхов Всеволожск Выборг Высоцк Гатчина Ивангород Каменногорск Кингисепп Кириши Кировск Колтуши Коммунар Кудрово Лодейное Поле Луга Любань Мурино Никольское Новая Ладога Отрадное Пикалёво Подпорожье Приморск Приозерск Светогорск Сертолово Сланцы Сосновый Бор Сясьстрой Тельмана Тихвин Тосно ШлиссельбургЦены
Услуги, соответствующие запросу, не найдены.
Адреса диагностических центров "Доступная Медицина"
Преимущества наших диагностических центров
Доступные цены
Приемлемые цены
на все услуги
Качественный сервис
Контроль качества
оказываемых услуг
Лучшие специалисты
Высококвалифицированные врачи
Новейшее оборудование
Современные томографы с высочайшим качеством визуализации
Близость к метро
Мы находимся в непосредственной близости от метро и остановок общественного транспорта
Наше оборудование
КТ-СПЕЦИАЛИСТЫ
Лицензии
Современные томографы с высочайшим качеством визуализации
Статьи наших врачей