Назад МРТ малого таза у женщин в СПБ

7 800
/
По акции в Рыбацком
6 400
руб
Записаться на прием
7 800 руб
По акции в Рыбацком
6 400 руб
Записаться
  • Длительность выполнения 40 минут
  • Срок получения результата В течение дня
  • Ограничения по весу 120 кг
  • Ограничения по возрасту От 15 лет
  • Введение контраста Нет
Описание

В клинике «Доступная медицина» магнитно-резонансная томография выполняется на высокопольном 32-канальном томографе последнего поколения TOSHIBA VANTAGE TITAN 1,5 Тесла, который обладает высокой разрешающей способностью и обеспечивает непревзойденное качество изображений. Аппарат производит сканирование в трех взаимоперпендикулярных плоскостях и послойными срезами с шагом от 1 мм, что позволяет визуализировать структуру органов и тканей малого таза в мельчайших подробностях. Точная и достоверная информация позволяет выявлять различные заболевания на начальной стадии, от чего напрямую зависит успех лечения. 

Что обследуется

Свернуть/развернуть

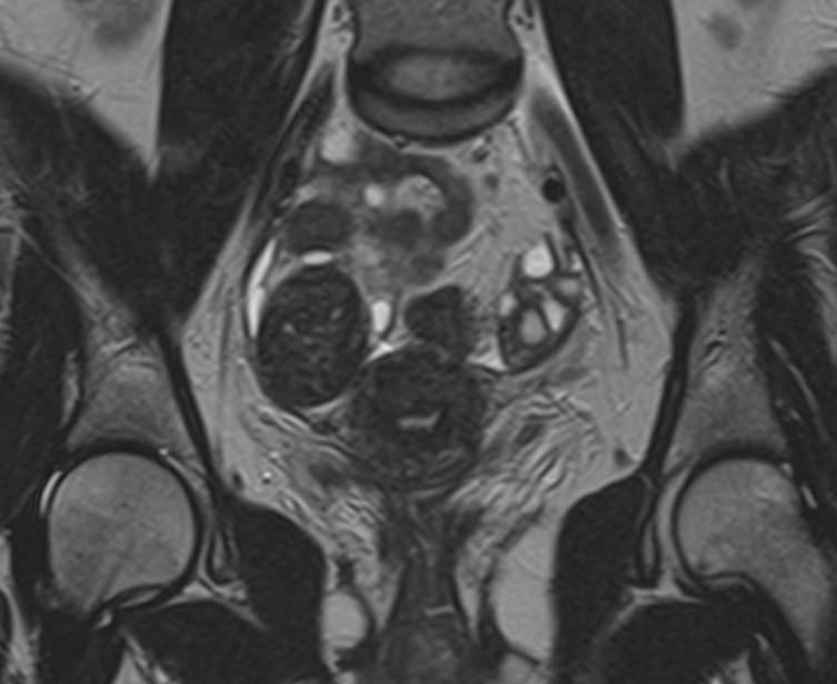
В область исследования входят следующие органы:

  • Матка и маточные трубы
  • Яичники и придатки
  • Лимфатические узлы
  • Мочевой пузырь

Причины проведения МРТ органов малого таза у женщин:

  • аномальное развитие органов этой области;
  • наличие острых и хронических воспалительных заболеваний органов малого таза;
  • предоперационное обследование;
  • выявление причин бесплодия;
  • диагностика кист разного размера и локализации в области малого таза;
  • диагностика доброкачественных и злокачественных опухолевых образований;
  • травмы кишечника.

Показания к МРТ органов малого таза

  • подозрения на опухоль и метастазы в органах малого таза;
  • аномалии формирования органов этой области;
  • подозрение на острые хирургические патологии, такие как разрыв кисты или апоплексия яичника;
  • различные травмы органов малого таза;
  • эндометриоз;
  • постоянные болевые ощущения в области крестца и малого таза неясного происхождения;
  • воспалительные патологии, такие как аднексит или эндометрит у женщин и везикулит или простатит у мужчин;
  • подозрения на заболевания прямой кишки;
  • вероятность развития кисты яичников;
  • влагалищные кровотечения неясного происхождения;
  • бесплодие, не имеющее объективных причин;
  • опухолевые образования в области мошонки.

Что показывает МРТ малого таза у женщин

Свернуть/развернуть

С помощью данного исследования можно получить детальное послойное изображение матки, яичников, мочевого пузыря и мочеотводящих путей, а также жировой клетчатки, окружающей органы, и лимфатических узлов.

МРТ-сканирование органов малого таза позволяет выявить:

  • Причину нарушения оттока мочи;
  • Причину бесплодия;
  • Воспалительные процессы в мочеполовой системе;
  • Эндометриоз и эндометриоидные кисты яичников;
  • Изменение формы и положения матки (двурогая матка, патологический загиб матки, гипоплазия);
  • Изменения в маточных трубах (кровоизлияния, новообразования и врождённые аномалии развития), яичниках и шейке матки;
  • Миоматозные узлы, полипы и новообразования в матке;
  • Сужения или обструкцию (закупорку) мочеточника, изменения уретры (мегауретер и т.д.);
  • Изменения лимфатических узлов и жировой клетчатки, распространение метастазов в них;
  • Поражения мочевого пузыря (эндометриоидную ткань, новообразования и др.);
  • Заболевания прямой кишки (опухоли, свищи).

С помощью МРТ стало возможным проведение бесконтрастной урографии, которая позволяет подробно исследовать мочевой пузырь и мочевыводящие пути. В отличие от сходного метода с применением рентгена МРТ урография исключает лучевую нагрузку и не требует введения контрастных веществ на основе йода, которые могут вызвать аллергию.

МРТ органов малого таза у женщин может выполняться и с применением контрастного вещества:

  • С целью обнаружения или дифференциальной диагностики доброкачественных и злокачественных новообразований;
  • Для обнаружения некоторых видов воспаления в мочеполовой сфере;
  • Для выявления метастатического поражения органов и тканей малого таза.

Противопоказания к МРТ малого таза у женщин

Свернуть/развернуть

МРТ ограничено при:

  • наличии в теле пациентки ферромагнитных, то есть содержащих железо и способных намагничиваться под действием магнитного поля металлических предметов (речь идет об изделиях медицинского назначения – скобы, стенты, кава-фильтры, суставные протезы, спицы, штифты, пластины, ортодонтические конструкции), а также при наличии инородных металлических фрагментов (дробь, пули, осколки, татуировки с использованием металлосодержащих красок);
  • наличии вживленных электронных устройств, это могут быть кардиостимуляторы, водители ритма, кохлеарные имплантаты, нейростимуляторы, инсулиновые помпы;
  • при беременности до 13 недель, когда нужно защитить плод от воздействия любых неблагоприятных факторов;
  • вес пациентки превышает 120 кг (данное ограничение связано с техническими особенностями томографа);
  • если пациентка испытывает клаустрофобию (из-за риска развития панической атаки во время пребывания внутри цилиндрической части томографа);
  • противопоказаниями для введения контраста является наличие в анамнезе аллергических реакций на контрастное вещество, беременность на любом сроке, хроническая почечная недостаточность.

Подготовка к исследованию

Свернуть/развернуть

Чтобы получить качественные и достоверные результаты, необходимо заранее подготовиться к данному исследованию. Требуется соблюдение диеты для уменьшения количества газов в кишечнике, которые могут дать артефакты на полученных изображениях.

За три дня до исследования рекомендуется исключить из рациона пищу, повышающую газообразование (сладкое, мучное, жирное, бобовые, газированные напитки, капусту) и принимать «Эспумизан» по 2 капсулы 3 раза в день (если есть проблемы с газообразованием!). В день исследования «Эспумизан» принимать не нужно. 

За 3-4 часа до исследования следует отказаться от приема пищи.

За 30-40 минут до исследования необходимо выпить 2 таблетки «Но-шпы» для снижения перистальтики кишечника. 

Данное исследование проводится с наполненным мочевым пузырем. Для этого примерно за 1 час до процедуры нужно выпить 0,5 – 1 литр воды и не мочиться до окончания исследования.

Необходимо принести с собой медицинскую документацию, относящуюся к зоне исследования:

  • направление от лечащего врача;
  • выписки из амбулаторных карт и стационаров;
  • результаты предыдущих исследований (МР-снимки, CD/DVD диски, снимки КТ, результаты УЗИ).

Также необходимо сообщить врачу о всех вживленных протезах и электронных устройствах, а также о возможной беременности. 

Кроме того, нужно предоставить справки об имеющихся имплантатах, так как они могут быть изготовлены из материалов, позволяющих проводить МРТ. Если их расположение не создает помех для визуализации исследуемой зоны, врач-рентгенолог примет решение о возможности проведения МРТ.

Если запланировано применение контраста, то пациентке с подозрением на снижение функции почек необходимо предоставить анализ крови с контролем уровня креатинина давностью не более, чем 14 дней до исследования.

Для введения контраста в локтевую вену предварительно устанавливается венозный катетер. В определенный момент во время исследования контраст вводится в вену при помощи дозирующего устройства. Поступление контраста в кровоток может сопровождаться в течение нескольких минут ощущением теплоты во всем теле, появлением неприятного привкуса во рту, в дальнейшем этот дискомфорт полностью исчезает. 

После окончания процедуры контраст выводится из организма в течение суток. Поэтому, если пациентка является кормящей мамой, то в течение следующих 24-48 часов после исследования нельзя прикладывать ребенка к груди, молоко при этом нужно сцеживать и выливать.

Непосредственно перед процедурой нужно убрать все электронные устройства, мобильные телефоны, пластиковые карты и металлические предметы, снять украшения, пирсинг, одежду с металлической фурнитурой. 

Пациентка ложится спиной на подвижную кушетку томографа. В течение всего периода исследования необходимо не двигаться для получения качественных результатов. 

 Врач и рентгенолаборант находятся в соседнем помещении за стеклянной перегородкой. В аппарат вмонтировано переговорное устройство для связи с врачом. Кроме того, вызвать персонал можно, нажав на специальное сигнальное устройство. По желанию разрешается присутствие родственника или близкого человека при проведении процедуры.

Запишитесь на МРТ малого таза у женщин по удобному адресу

Записаться
Фильтр по услугам МРТ органов малого таза

Введение контраста

С контрастом Без контраста

Станция метро

Площадь Восстания Нарвская Проспект Просвещения Рыбацкое Девяткино Гражданский проспект Академическая Политехническая Площадь Мужества Лесная Выборгская Площадь Ленина Чернышевская Владимирская Пушкинская Технологический институт Балтийская Кировский завод Автово Ленинский проспект Проспект Ветеранов Парнас Озерки Удельная Пионерская Чёрная речка Петроградская Горьковская Невский проспект Сенная площадь Фрунзенская Московские ворота Электросила Парк Победы Московская Звёздная Купчино Беговая Зенит Приморская Василеостровская Гостиный двор Маяковская Площадь Александра Невского Елизаровская Ломоносовская Пролетарская Обухово Спасская Достоевская Лиговский проспект Площадь Александра Невского Новочеркасская Ладожская Проспект Большевиков Улица Дыбенко Комендантский проспект Старая Деревня Крестовский остров Чкаловская Спортивная Адмиралтейская Садовая Звенигородская Обводный канал Волковская Бухарестская Международная Проспект Славы Дунайская Шушары Богатырская Каменка Театральная Горный институт Путиловская Юго-Западная Кудрово Шуваловский проспект Каретная Боровая Заставская Броневая

Возраст пациента

Взрослому Ребенку от 15 лет

Пол пациента

Мужчине Женщине

Тип аппарата

Открытый Закрытый

Мощность МРТ

1.5 Тл 3 Тесла

Программы страхования

ДМС Платно ОМС

Цены

Услуги, соответствующие запросу, не найдены.

Адреса диагностических центров "Доступная Медицина"

Преимущества наших диагностических центров

Доступные цены

Приемлемые цены
на все услуги

Качественный сервис

Контроль качества
оказываемых услуг

Лучшие специалисты

Высококвалифицированные врачи

Новейшее оборудование

Современные томографы с высочайшим качеством визуализации

Близость к метро

Мы находимся в непосредственной близости от метро и остановок общественного транспорта

Лицензии

Современные томографы с высочайшим качеством визуализации

Назад
Вперед
Ключникова Екатерина Игоревна
Информация проверена главным врачом клиники Domedica24
Ключникова Екатерина Игоревна
Стаж более 8 лет, главный врач, врач-рентгенолог 1 категории
Площадь Стачек, 9">
ул. 1-я Советская, 8">