МРТ брюшной полости в СПБ
- Срок получения результата В течение дня
Магнитно-резонансная томография является современным наиболее информативным методом исследования внутренних органов. Методика МРТ основана на применении внешнего магнитного поля и отличается точностью и достоверностью полученных данных. Отсутствие вредного рентгеновского излучения делает процедуру безопасной и позволяет при необходимости проводить томографию несколько раз в течение короткого периода времени. Это бывает важно, например, для оценки динамики состояния патологических изменений в органах на фоне лечения.
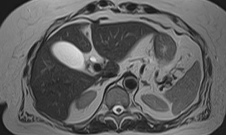
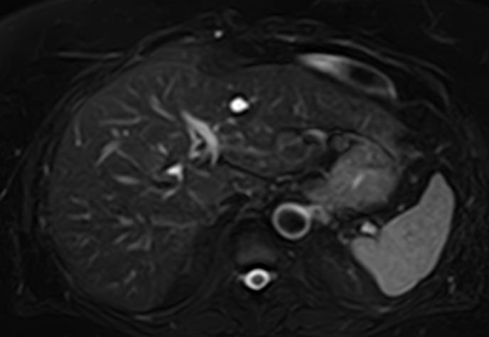
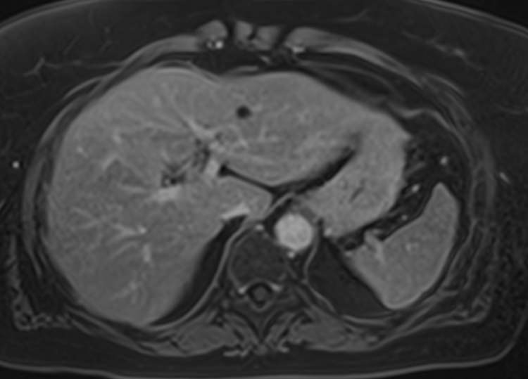
В клинике «Доступная медицина» МР томография проводится на новейшем высокопольном томографе экспертного класса TOSHIBA VANTAGE TITAN 1,5 Тесла. Высокая индукция магнитного поля обеспечивает повышенную четкость изображений при проведении обзорной МРТ брюшной полости, что гарантирует точность и эффективность диагностики заболеваний печени, желчного пузыря, поджелудочной железы и селезенки. Аппарат послойно сканирует исследуемую область с шагом от 1 мм в различных плоскостях, затем трансформирует результаты в трехмерные изображения превосходного качества. Для уточнения характера патологических изменений одного из органов назначается прицельная МР томография данного органа.
МРТ брюшной полости на сегодняшний день является не только безопасной и эффективной методикой обследования внутренних органов, но и максимально достоверным неинвазивным способом диагностики при:
- противоречивых и неоднозначных данных, полученных при проведении УЗИ, рентгенографии, КТ или других обследованиях;
- сложных клинических случаях для проведения дифференциальной диагностики;
- подозрении на развитие онкологического процесса на самой ранней стадии.
Для расширения возможностей диагностики, при необходимости уточнения характера патологических изменений применяется контрастное усиление. Для этого в вену вводится контрастный препарат, содержащий металл гадолиний (Магневист, Гадовист и др). Препарат фиксируется в очагах поражения, позволяя диагностировать их при минимальных размерах, что бывает особенно важно в диагностике опухолей.
- Когда необходимо провести МРТ брюшной полости
- Подготовка к МРТ брюшной полости
- В каких случаях нельзя провести МРТ брюшной полости
Когда необходимо провести МРТ брюшной полости
МРТ брюшной полости показана при следующих симптомах:
- Постоянные или частые боли в животе, возникающие в области желудка, в правом или левом подреберьях, либо без определенной локализации;
- Часто появляющиеся симптомы диспепсии (тошнота, рвота, изжога, отрыжка, горечь во рту, вздутие живота, постоянные запоры или частый жидкий стул);
- Плохое общее самочувствие (повышенная утомляемость, отсутствие аппетита, похудание без диеты и физических нагрузок, повышение температуры тела без видимых причин, бледность кожи);
- Желтушность кожных покровов;
- Анемия без установленной причины.
Какие заболевания можно выявить при проведении МРТ брюшной полости
- Доброкачественные образования (кисты, гемангиомы) и злокачественные опухоли органов брюшной полости (первичные опухолевые очаги и метастатические поражения, в том числе, брюшины).
- Заболевания печени (жировая инфильтрация печени, гепатиты, цирроз и др).
- Заболевания желчного пузыря и желчевыводящих протоков, поджелудочной железы (желчекаменная болезнь, холецистит, панкреатит и др).
- Патологическое скопление жидкости в брюшной полости (асцит).
- Паразитарные и глистные инвазии (эхинококкоз, аскаридоз и др).
- Наследственные патологии и аномалии развития (гипоплазия печени, атрезия желчных протоков, наследственные гепатозы и др).
- Портальная гипертензия на фоне заболеваний печени.
- Травматические повреждения органов брюшной полости.
Подготовка к МРТ брюшной полости
К МРТ брюшной полости требуется заранее подготовиться, чтобы исключить вероятность получения ошибочных данных.
За три дня до исследования мы рекомендуем исключить из рациона пищу, повышающую газообразование (сладкое, мучное, жирное, бобовые, газированные напитки, капусту) и принимать «Эспумизан» по 2 капсулы 3 раза в день (если есть проблемы с газообразованием!). В день исследования «Эспумизан» принимать не нужно.
За 3-4 часа до исследования необходимо отказаться от приема пищи.
За 30-40 минут до исследования необходимо выпить 2 таблетки «Но-шпы» для снижения перистальтики кишечника.
Необходимо принести с собой медицинскую документацию, относящуюся к зоне исследования:
- направление от лечащего врача;
- выписки из амбулаторных карт и стационаров;
- результаты предыдущих исследований (МР-снимки, CD/DVD диски, результаты УЗИ, снимки КТ).
Также нужно принести справку из медучреждения, где были установлены имплантаты или протезы, о том, что они совместимы с МРТ (если имеются такие протезы). Врач-рентгенолог проанализирует их расположение по отношению к зоне исследования и примет решение о возможности проведения МРТ, либо предложит другой способ визуализации.
Если запланировано применение контраста, то пациентам с подозрением на снижение функции почек необходимо предоставить анализ крови с контролем уровня креатинина. Анализ действителен в течение 14 дней до исследования.
Для введения контраста в локтевую вену предварительно устанавливается венозный катетер. Поступление контраста в кровоток может сопровождаться в течение нескольких минут ощущением теплоты во всем теле, появлением металлического привкуса во рту, в дальнейшем этот дискомфорт полностью исчезает. После окончания процедуры контраст выводится из организма в течение суток. Поэтому кормящие женщины в течение следующих 24-48 часов после исследования должны приостановить грудное кормление, молоко при этом сцеживать и выливать.
Непосредственно перед процедурой нужно убрать все электронные устройства, мобильные телефоны, пластиковые карты и металлические предметы (украшения, пирсинг, одежду с металлической фурнитурой).
Пациент ложится на подвижную кушетку томографа на спину. В течение всего периода исследования необходимо не двигаться для получения качественных результатов.
Врач и рентгенолаборант находятся в соседнем помещении за стеклянной перегородкой. В аппарат вмонтировано переговорное устройство, вызвать персонал можно, нажав на специальное сигнальное устройство. По желанию пациента разрешается присутствие родственника или близкого человека при проведении процедуры.
В каких случаях нельзя провести МРТ брюшной полости
МРТ противопоказана, если:
- в теле пациента имеются ферромагнитные (то есть содержащие железо и способные намагничиваться под действием магнитного поля) металлические предметы – это могут быть изделия медицинского назначения (сосудистые скобы, стенты, кава-фильтры, протезы, спицы, штифты, пластины, ортодонтические конструкции) и инородные металлические фрагменты (дробь, пули, осколки, татуировки с использованием металлосодержащих красок);
- присутствуют вживленные электронные устройства, такие как кардиостимуляторы, водители ритма, кохлеарные имплантаты, нейростимуляторы, инсулиновые помпы;
- при беременности до 13 недель, когда плод наиболее чувствителен к воздействию неблагоприятных факторов;
- вес пациента превышает 120 кг (данное ограничение связано с техническими особенностями томографа);
- пациент испытывает клаустрофобию (из-за риска развития панической атаки во время пребывания в тоннеле аппарата);
- противопоказаниями для введения контраста является наличие в анамнезе аллергических реакций на контрастное вещество, беременность на любом сроке, хроническая почечная недостаточность.
Запишитесь на МРТ брюшной полости по удобному адресу
ЗаписатьсяСтанция метро
Площадь Восстания Нарвская Проспект Просвещения Рыбацкое Девяткино Гражданский проспект Академическая Политехническая Площадь Мужества Лесная Выборгская Площадь Ленина Чернышевская Владимирская Пушкинская Технологический институт Балтийская Кировский завод Автово Ленинский проспект Проспект Ветеранов Парнас Озерки Удельная Пионерская Чёрная речка Петроградская Горьковская Невский проспект Сенная площадь Фрунзенская Московские ворота Электросила Парк Победы Московская Звёздная Купчино Беговая Зенит Приморская Василеостровская Гостиный двор Маяковская Площадь Александра Невского Елизаровская Ломоносовская Пролетарская Обухово Спасская Достоевская Лиговский проспект Площадь Александра Невского Новочеркасская Ладожская Проспект Большевиков Улица Дыбенко Комендантский проспект Старая Деревня Крестовский остров Чкаловская Спортивная Адмиралтейская Садовая Звенигородская Обводный канал Волковская Бухарестская Международная Проспект Славы Дунайская Шушары Богатырская Каменка Театральная Горный институт Путиловская Юго-Западная Кудрово Шуваловский проспект Каретная Боровая Заставская БроневаяРайон
Центральный Кировский Выборгский Невский Адмиралтейский Василеостровский Калининский Колпинский Красногвардейский Красносельский Кронштадтский Курортный Московский Петроградский Петродворцовый Приморский Пушкинский ФрунзенскийГород
Санкт-Петербург Бокситогорск Бугры Волосово Волхов Всеволожск Выборг Высоцк Гатчина Ивангород Каменногорск Кингисепп Кириши Кировск Колтуши Коммунар Кудрово Лодейное Поле Луга Любань Мурино Никольское Новая Ладога Отрадное Пикалёво Подпорожье Приморск Приозерск Светогорск Сертолово Сланцы Сосновый Бор Сясьстрой Тельмана Тихвин Тосно ШлиссельбургЦены
Услуги, соответствующие запросу, не найдены.
Адреса диагностических центров "Доступная Медицина"
Преимущества наших диагностических центров
Доступные цены
Приемлемые цены
на все услуги
Качественный сервис
Контроль качества
оказываемых услуг
Лучшие специалисты
Высококвалифицированные врачи
Новейшее оборудование
Современные томографы с высочайшим качеством визуализации
Близость к метро
Мы находимся в непосредственной близости от метро и остановок общественного транспорта
Наше оборудование
МРТ-специалисты
Лицензии
Современные томографы с высочайшим качеством визуализации
Статьи наших врачей